TAVI Between a Rock and a Hard Place in a Transplanted Heart
Keywords: TAVI, aortic stenosis, cardiac transplant
A 61-year-old man presented with progressive, limiting breathlessness. He had undergone orthotropic heart transplant 34 years prior for idiopathic dilated cardiomyopathy, subsequently requiring renal transplantation for calcineurin inhibitor nephrotoxicity. Echocardiography confirmed severe aortic stenosis, and he was reviewed by the heart team for consideration of transcatheter aortic valve intervention (TAVI).
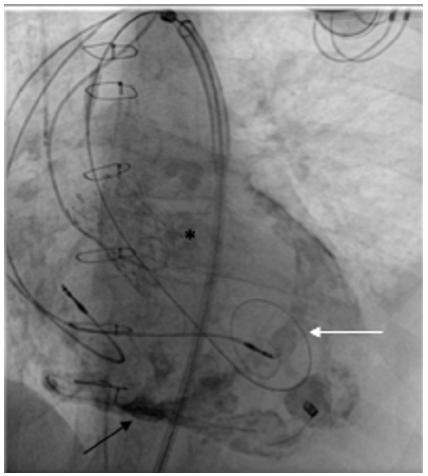
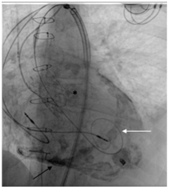
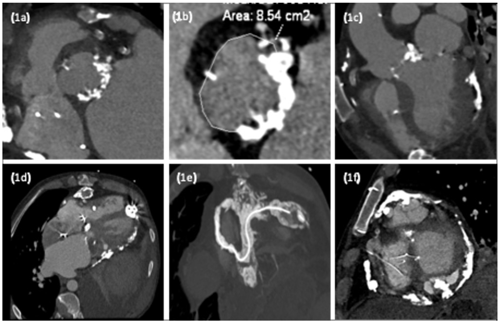
Gated cardiac computed tomography (Figure 1) revealed extensive eccentric calcification of the left ventricular outflow tract (LVOT) extending into the mitral valve leaflet and a large aortic annulus (33 mm; mean annular diameter/area, 854 mm2). This is larger than all recommended manufacturer annular size limits, although observational data support the use of both Edwards Sapien 3 and Medtronic Evolut R in such annuli. In this case, the extent of LVOT calcification significantly increased the risk of annular rupture with a balloon-expandable valve. Hence, a self-expanding, 34-mm Evolut R valve was chosen and deployed successfully via the femoral route (Figure 2).
TAVI in a transplanted heart has been described in a handful of previous case reports. These patients offer extensive management challenges, with substantial risk. With the increasing use of older hearts for transplant and better long-term survival, it is likely that TAVI may be considered more often in transplant patients, which will require careful heart team consideration and preprocedural planning.
Affiliations and Disclosures
From the 1Wessex Cardiothoracic Unit, University Hospital Southampton NHS Foundation Trust, Southampton, United Kingdom; and 2Department of Cardiothoracic Radiology, University Hospital Southampton NHS Foundation Trust, Southampton, United Kingdom.
Disclosure: The authors have completed and returned the ICMJE Form for Disclosure of Potential Conflicts of Interest. The authors report no conflicts of interest regarding the content herein.
The authors report that patient consent was provided for publication of the images used herein.
Manuscript accepted March 17, 2022.
Address for correspondence: John Rawlins, MD, E Level North Wing, University Hospital Southampton, Tremona Road, Southampton, Hampshire, SO16 6YD, United Kingdom. Email: john.rawlins@uhs.nhs.uk
Related Articles
- Outcomes of Transcatheter Aortic Valve Replacement in Patients Treated With Systemic Steroids
- Procedural Mortality With Transcatheter Aortic Valve Replacement – Balloon Inflation is Associated With Increased Risk
- Comparison of Catheterization Versus Echocardiographic-Based Gradients in Balloon-Expandable Versus Self-Expanding Transcatheter Aortic Valve Implantation
- Review: Peripheral Vascular Disease involving Transplant Renal Artery
- Transcatheter Mitral Valve Repair Using Mitraclip in Patients with Renal Transplantation
- Ascites and Edema After Bicaval Orthotopic Heart Transplant


