A STEMI Where Stenting Was Deferred: Acute Plaque Rupture in Myocardial Bridge
Keywords: STEMI, myocardial bridge, stenting
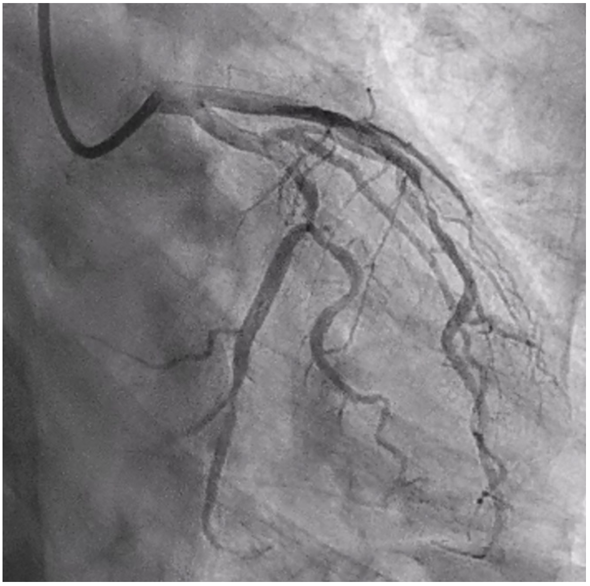
A 63-year-old male with a history significant for 50 pack years of tobacco use and a cerebrovascular accident presented with unstable angina. His electrocardiogram (ECG) showed sinus bradycardia with nonspecific ST/T wave changes (Figure 1A). Coronary angiography demonstrated significant myocardial bridging of the mid left anterior descending artery (LAD) (Video 1 and Figure 2) and nonobstructive coronary artery disease (CAD) otherwise. His left circumflex (LCX) CAD was physiologically insignificant on assessment with instantaneous wave-free ratio (Figure 3). The following day, the patient developed transient anterior ST-segment elevation myocardial infarction with a troponin of 0.5 ng/mL (Figure 1B). He was brought back for coronary angiography with intracoronary imaging. His baseline angiogram was unchanged and optical coherence tomography (OCT) was performed in the LAD, which showed evidence of acute plaque rupture within the myocardial bridging segment (Video 2 and Figure 4). There was a concern for stenting the bridging segment due to reported higher rates of target-lesion revascularization and concerns of stent thrombosis, stent fracture, and coronary perforation. Therefore, cardiothoracic surgery was consulted for unroofing of the mid LAD or surgical bypass, which are generally considered safe and effective.1,2 The left internal mammary artery was found to be a poor conduit in the operating room due to size and flow limitation. Given that the patient already had a median sternotomy, surgical revascularization with saphenous vein grafting and surgical myotomy to relieve the systolic compression were performed. The latter would facilitate durable percutaneous revascularization options in the future.
This case of acute plaque rupture within a myocardial bridging segment demonstrates the importance of performing hemodynamic assessment of intermediate-appearing coronary lesions, as well as utilizing intracoronary imaging to characterize coronary lesions and aid in selecting the appropriate treatment plan.
References
1. Lee MS, Chen CH. Myocardial bridging: an up-to-date review. J Invasive Cardiol. 2015;27(11):521-528.
2. Tarantini G, Migliore F, Cademartiri F, Fraccaro C, Iliceto S. Left anterior descending artery myocardial bridging: a clinical approach. J Am Coll Cardiol. 2016;68(25):2887-2899. doi:10.1016/j.jacc.2016.09.973.
Affiliations and Disclosures
From the 1Division of Cardiology, Virginia Commonwealth University Pauley Heart Center, Richmond, Virginia; and 2Division of Cardiology, Central Virginia Veterans Affairs Healthcare System, Richmond, Virginia.
Disclosure: The authors have completed and returned the ICMJE Form for Disclosure of Potential Conflicts of Interest. The authors report no conflicts of interest regarding the content herein.
The authors report that patient consent was provided for publication of the images used herein.
Manuscript accepted March 17, 2022.
Address for correspondence: Nayef Abouzaki, MD, 1201 Broad Rock Blvd, Box 111J, Richmond, VA 23249. Email: nayef.abouzaki@gmail.com
Related Articles
- Valves, Vegetations, and Valves
- Real-World Experience of Coronary Intravascular Lithotripsy in an Asian Population: A Retrospective, Observational, Single-Center, All-Comers Registry
- Crop Circles in Optical Coherence Tomography
- ACAOS (Anomalous Coronary Artery From the Opposite Sinus) as Part of a Chaos: 75 Years of Harmonious Occult Coexistence


