Skip to main content

Volume 34 - Issue 12 - December, 2022

12/01/2022
December 2022 TOC and Whole Issue PDF
December 2022 TOC and Whole Issue PDF
December 2022 TOC and Whole...
12/01/2022
Journal of Invasive Cardiology
Clinical Images
12/01/2022
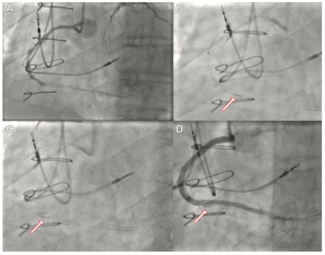
Leticia Barrios, MD; Marion Delcroix, MD, PhD; Steven Dymarkowski, MD, PhD; Johan Bennett, MD, PhD; Tom Adriaenssens, MD, PhD
A 43-year-old woman with pulmonary arterial hypertension associated with atrial septal defect, surgically repaired 5 years ago, and treated with the endothelin receptor antagonist macitentan monotherapy due to phosphodiesterase-5-inhibitor...
A 43-year-old woman with pulmonary arterial hypertension associated with atrial septal defect, surgically repaired 5 years ago, and treated with the endothelin receptor antagonist macitentan monotherapy due to phosphodiesterase-5-inhibitor...
A 43-year-old woman with...
12/01/2022
Journal of Invasive Cardiology
Clinical Images
12/01/2022
Ali Dogan, MD; Oguz Konukoglu; Kenan Sever, MD; Mehmet Balkanay; Denyan Mansuroglu, MD
A 55-year-old male patient presented with a history of left ventricular assist device (LVAD) implantation due to ischemic cardiomyopathy. He was admitted to the cardiology department with progressive dyspnea. A HeartMate 3 (Abbott) had been...
A 55-year-old male patient presented with a history of left ventricular assist device (LVAD) implantation due to ischemic cardiomyopathy. He was admitted to the cardiology department with progressive dyspnea. A HeartMate 3 (Abbott) had been...
A 55-year-old male patient...
12/01/2022
Journal of Invasive Cardiology
Clinical Images
12/01/2022
Ganesh Kasinadhuni, MD; Rajesh Vijayvergiya, MD, DM; Akash Batta, MD; Atit A. Gawalkar, DM; Manphool Singhal, MD
A 52-year-old diabetic, hypertensive male presented with progressive dyspnea and palpitation for the last 3 months. Clinical examination revealed low blood pressure in lower limbs with an ankle-brachial index (ABI) of 0.50. Systemic...
A 52-year-old diabetic, hypertensive male presented with progressive dyspnea and palpitation for the last 3 months. Clinical examination revealed low blood pressure in lower limbs with an ankle-brachial index (ABI) of 0.50. Systemic...
A 52-year-old diabetic,...
12/01/2022
Journal of Invasive Cardiology
Clinical Images
12/01/2022
Yoshinobu Murasato, MD, PhD; Soichiro Omura, MD; Shoko Fukuda, MD
A 69-year-old man underwent coronary intervention for stenosis in the left main (LM) quadrifurcation lesion with SYNTAX score 23 (SYNTAX II score: coronary intervention 27.5, bypass surgery 33.5) 1 week after primary stenting in the right...
A 69-year-old man underwent coronary intervention for stenosis in the left main (LM) quadrifurcation lesion with SYNTAX score 23 (SYNTAX II score: coronary intervention 27.5, bypass surgery 33.5) 1 week after primary stenting in the right...
A 69-year-old man underwent...
12/01/2022
Journal of Invasive Cardiology
Clinical Images
12/01/2022
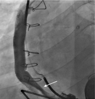
Angus Shing Fung Chui, MBChB; Alan Ka Chun Chan, MBBS; Michael Kang-Yin Lee, MD; Esmond Yan Hang Fong, MBBS
A 64-year-old female presented for closure of her left axillary access for intra-aortic balloon pump (IABP). We intended to close the access with standard balloon-assisted dry closure. A 7-Fr slender radial sheath was placed via left radial...
A 64-year-old female presented for closure of her left axillary access for intra-aortic balloon pump (IABP). We intended to close the access with standard balloon-assisted dry closure. A 7-Fr slender radial sheath was placed via left radial...
A 64-year-old female presented...
12/01/2022
Journal of Invasive Cardiology
Clinical Images
12/01/2022
Angelo Squeri, MD; Fausto Castriota, MD; Giuseppe Gobbi, MD; Roberto Nerla, MD
An 80-year-old man with severe tricuspid regurgitation and a longstanding history of atrial fibrillation was referred to our center to undergo percutaneous tricuspid valve repair due to persistent peripheral edema that was not controlled by...
An 80-year-old man with severe tricuspid regurgitation and a longstanding history of atrial fibrillation was referred to our center to undergo percutaneous tricuspid valve repair due to persistent peripheral edema that was not controlled by...
An 80-year-old man with severe...
12/01/2022
Journal of Invasive Cardiology
Original Contribution
12/01/2022
Laurie-Anne Boivin-Proulx, MD, MSc; Nicolas Pranno, MD; Simon-Pierre Demers, MD; Marc Jolicoeur, MD; Fabrice Ieroncig, MD; Guillaume Marquis-Gravel, MD, MSc; Anna Nozza, MSc; Marwa Soltani, MD; Yahya Alansari, MD; Charles Massie, MD; Philippe Simard, MD; Jean-Michel Paradis, MD; Lorena Rosca, MD; Brian J. Potter, MS, ATC, NREMT, MDCM; Ismahane Ghersi, MD; Louis Verreault-Julien, MD, MPH; Jean-Simon Lalancette, MD; Gabriel Massicotte, MD; Annabel Chen-Tournoux, MD; Benoit Daneault, MD; Jean G. Diodati, MD
The objective is to assess the comparative effectiveness and safety of dual-antiplatelet therapy (DAPT) vs triple therapy with DAPT + oral anticoagulant in patients with anterior ST-segment elevation myocardial infarction and with new-onset...
The objective is to assess the comparative effectiveness and safety of dual-antiplatelet therapy (DAPT) vs triple therapy with DAPT + oral anticoagulant in patients with anterior ST-segment elevation myocardial infarction and with new-onset...
The objective is to assess the...
12/01/2022
Journal of Invasive Cardiology
Letter to the Editor
12/01/2022
Faris G. Araj, MD
I read with interest the report by Chen et al describing a phenomenon of fluctuating cutaneous varices as a clue to obstructive shock secondary to a right atrial (RA) mass in an intubated patient.
I read with interest the report by Chen et al describing a phenomenon of fluctuating cutaneous varices as a clue to obstructive shock secondary to a right atrial (RA) mass in an intubated patient.
I read with interest the report...
12/01/2022
Journal of Invasive Cardiology
Original Contribution
11/23/2022
Paul Poommipanit, MD, FACC, FSCAI; Rhian E. Davies, DO, MD, MS, FACC, FSCAI; Judit Karacsonyi, MD, PhD; Stéphane Rinfret, MD, SM; Bavana V. Rangan, BDS, MPH, MD; Raj Chandwaney, MD; Nidal Abi Rafeh, MD; M. Nicholas Burke, MD; Abdul M. Sheikh, MD; Michael S. Megaly, MD, MS; Jaikirshan J. Khatri, MD; Luiz Fernando Ybarra, MD, PhD, MBA; Ahmed M. ElGuindy, MD, MSc, FRCP; Khaldoon Alaswad, MD; Basem Elbarouni, MD; Emmanouil S. Brilakis, MD, PhD, FACC, FAHA, FESC, FSCAI; Omer Goktekin, MD; Yader Sandoval, MD; Farouc A. Jaffer, MD, PhD; Catalin Toma, MD; Bahadir Simsek, MD; Spyridon Kostantinis, MD; Olga C. Mastrodemos, BA; Salman S. Allana, MD
Whether saphenous vein grafts (SVGs) should be occluded after successful chronic total occlusion (CTO) percutaneous coronary intervention (PCI) of the corresponding native vessel remains controversial.
Whether saphenous vein grafts (SVGs) should be occluded after successful chronic total occlusion (CTO) percutaneous coronary intervention (PCI) of the corresponding native vessel remains controversial.
Whether saphenous vein grafts...
11/23/2022
Journal of Invasive Cardiology
Original Contribution
11/23/2022
Yuhe Xia, MS; Hamza Ahmed, BS; Daniela Iskhakov, PA-C; Frederick Feit, MD; Carlos L. Alviar, MD; Norma Keller, MD; Sripal Bangalore, MD, MHA; Jeffrey S. Berger, MD, MS; Sylvie Hall, PharmD, MPH
This quality-improvement project included 515 adult patients receiving clopidogrel for ACS or ischemic heart disease and referred for coronary angiography/percutaneous coronary intervention. The project was divided into 2 phases: (1)...
This quality-improvement project included 515 adult patients receiving clopidogrel for ACS or ischemic heart disease and referred for coronary angiography/percutaneous coronary intervention. The project was divided into 2 phases: (1)...
This quality-improvement project...
11/23/2022
Journal of Invasive Cardiology
Original Contribution
11/23/2022
Alexander Lauten, MD; Christian Frerker, MD; Raffi Bekeredjian, MD; Brunilda Alushi, MD, PhD; Umniye Balaban; Eva Herrmann; Andreas Schaefer, MD; Sabine Bleiziffer, MD; Timm Bauer, MD; Helge Möllmann, MD, PhD; Andreas Beckmann, MD; Thomas Walther, MD, PhD; Stephan M. Ensminger, MD, PhD; Lenard Conradi, MD
Currently, it is unclear whether transcatheter aortic valve implantation (TAVI) without predilation (direct TAVI; d-TAVI) or with preimplantation balloon valvuloplasty (b-TAVI) provides similar clinical safety and efficacy. Therefore, we...
Currently, it is unclear whether transcatheter aortic valve implantation (TAVI) without predilation (direct TAVI; d-TAVI) or with preimplantation balloon valvuloplasty (b-TAVI) provides similar clinical safety and efficacy. Therefore, we...
Currently, it is unclear whether...
11/23/2022
Journal of Invasive Cardiology
Brief Communication
11/04/2022
Antonis N. Pavlidis, MD, PhD; Thomas E. Kaier, MD, MBA, PhD; Nicholas Aroney, MBBS; Andreas S. Kalogeropoulos, MD, PhD, FRCP; Chandan D. Bhavnani, MBBS; Maciej Marciniak, PhD
Application of the hybrid algorithm for the treatment of coronary chronic total occlusions requires the operator to readily deploy complex techniques and advanced technologies to achieve successful revascularization. Patient-specific factors...
Application of the hybrid algorithm for the treatment of coronary chronic total occlusions requires the operator to readily deploy complex techniques and advanced technologies to achieve successful revascularization. Patient-specific factors...
Application of the hybrid...
11/04/2022
Journal of Invasive Cardiology
Original Contribution
11/04/2022
Richard Kobza, MD; Florim Cuculi, MD; Mathias Wolfrum, MD; Stefan Toggweiler, MD; Federico Moccetti, MD; Matthias Bossard, MD; Adrian Attiger-Toller, MD; Simon F. Stämpfli, MD, MSc; Stephanie Brunner; Matthias Paul, MD; Bart De Boeck, MD, PhD; Peter Matt, MD
Patients with severe mitral regurgitation (MR) frequently present with concomitant right ventricular (RV) dysfunction and tricuspid regurgitation (TR). We aimed to investigate the prognostic relevance of RV function, RV dimension, and TR in...
Patients with severe mitral regurgitation (MR) frequently present with concomitant right ventricular (RV) dysfunction and tricuspid regurgitation (TR). We aimed to investigate the prognostic relevance of RV function, RV dimension, and TR in...
Patients with severe mitral...
11/04/2022
Journal of Invasive Cardiology
Original Contribution
11/04/2022
Omar Abozied, MD; Dhanya Ramachandran, MD; Alexander C. Egbe, MBBS, MPH, MD, MS; William R. Miranda, MD; Jason H. Anderson, MD; Heidi M. Connolly, MD; Jae K. Oh, MD; Kartik Andi, MD; Ahmed Goda, MD
The purpose of this study was to determine whether LA strain cut-off points can detect increased LV filling pressure in adults with coarctation of aorta.
The purpose of this study was to determine whether LA strain cut-off points can detect increased LV filling pressure in adults with coarctation of aorta.
The purpose of this study was to...
11/04/2022
Journal of Invasive Cardiology
Original Contribution
10/25/2022
Michael Butzner, DrPH, MPH; Martin S. Maron, MD; Phil Sarocco, MSc; Eric Stanek, PharmD; Laura A. Robertson, MD; Chia-Chen Teng; Hiangkiat Tan
Patients with obstructive hypertrophic cardiomyopathy (oHCM) and severe refractory symptoms may require invasive septal reduction therapies (SRTs), either surgical septal myectomy (SM) or transcatheter alcohol septal ablation (ASA). The main...
Patients with obstructive hypertrophic cardiomyopathy (oHCM) and severe refractory symptoms may require invasive septal reduction therapies (SRTs), either surgical septal myectomy (SM) or transcatheter alcohol septal ablation (ASA). The main...
Patients with obstructive...
10/25/2022
Journal of Invasive Cardiology