Antegrade Dissection Re-entry for Management of Retained Microcatheter Tips During PCI for Chronic Total Occlusion: A Case Series
Abstract
Application of the hybrid algorithm for the treatment of coronary chronic total occlusions requires the operator to readily deploy complex techniques and advanced technologies to achieve successful revascularization. Patient-specific factors and limitations in torquability and material strength of low-profile equipment such as microcatheters can result in procedural complications due to device fracture. Using a mini-series of 2 cases to demonstrate the successful application of antegrade dissection re-entry techniques to overcome such challenges, we highlight procedural complexities and risk, and review prior approaches and literature.
J INVASIVE CARDIOL 2022;34(12):E879-E882. Epub 2022 November 4.
Key words: complications, coronary chronic total occlusion, CTO-PCI, stenting
Application of the hybrid algorithm for the treatment of chronic total occlusions (CTOs) by percutaneous coronary intervention (PCI) would not be possible without access and ready deployment of a variety of different technologies to mitigate patient-specific challenges, such as optimal guide support, while minimizing time required for device changes.1 We highlight the technical advantages gleaned from the use of combined devices such as the TrapLiner guide-extension catheter (Teleflex), the use of microcatheters to facilitate rapid wire exchanges, and dedicated balloons and catheters designed to enable controlled dissection re-entry techniques. The challenge herein lies with the advanced nature of coronary atherosclerosis frequently encountered in these cases, which often feature heavily calcified lesions that predispose to heightened procedural complexity and risk. Equipment failure in these scenarios is a function of the material limits of these devices and patient-related factors. We describe 2 cases of fractured and subsequently retained microcatheters during the treatment of CTOs, followed by a review of published techniques for retrieval or management of a fractured microcatheter.
Case Descriptions
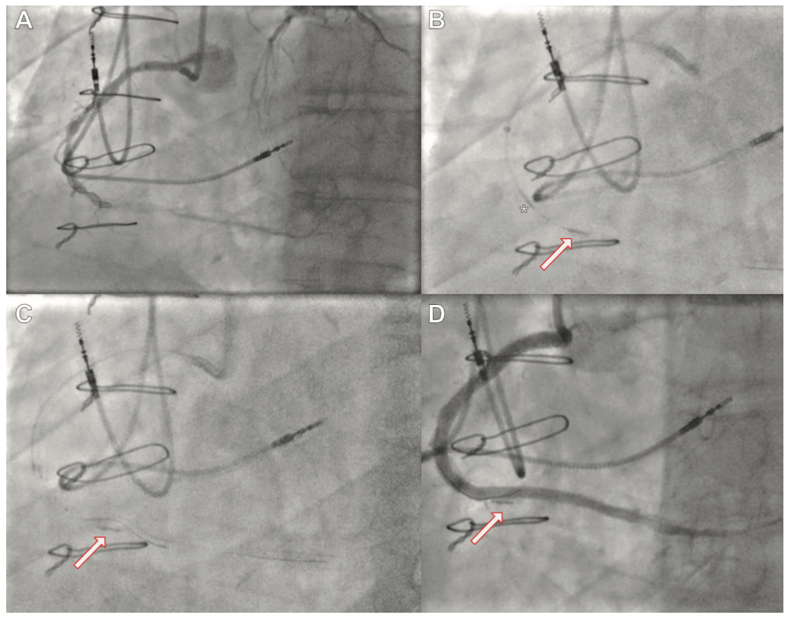
Case 1. A 78-year-old male with class III Canadian Cardiovascular Society (CCS) angina was discussed at the local heart team meeting. Past medical history comprised atrial fibrillation, previous permanent pacemaker implantation and coronary artery bypass graft surgery (>20 years ago) with left internal mammary artery to the left anterior descending (LAD) artery and second diagonal (D2) as jump graft (patent), saphenous vein graft (SVG) to the first diagonal (D1; patent, stented), and SVG to the posterior descending artery (PDA; occluded). The native right coronary artery (RCA) was chronically occluded in its mid to distal segment (Figure 1A). There was retrograde collateral supply to the distal PDA from a branch of the first obtuse marginal (OM1; via SVG), which itself originated at the location of a severe lesion in the proximal circumflex (LCX) artery. The inferior wall was viable on echocardiography and, in light of limiting angina, the heart team recommended PCI to the CTO of his native RCA (J-CTO score 2).
With biradial 7-Fr access and Amplatz Left 1 catheters in both the native RCA and the occluded SVG, we followed the hybrid algorithm and were successful in wiring the true lumen distally with antegrade wire escalation, using a Gladius MG14 (Asahi Intecc). The proximal cap, however, proved uncrossable and the microcatheter (Turnpike Spiral; Teleflex) became stuck and disintegrated upon retrieval, leaving the tip within the occlusion (Figure 1B). Attempts to dilate the proximal cap using a 1.0 balloon in order to release the tip of the microcatheter proved unsuccessful. Rewiring the true lumen distally using a Turnpike Gold microcatheter (Teleflex) and Gladius Mongo wire was attempted but failed, and the “scratch and go” technique using a Confianza Pro 12 wire (Asahi Intecc) to puncture the vessel wall proximal to the occlusion to gain access to the subintimal space also failed. We subsequently employed the balloon-assisted subintimal entry (BASE) technique with a 4.0-mm balloon proximal to the occlusion to create a controlled dissection and advance a knuckled polymer-jacketed wire (Gladius MG14; Asahi Intecc) around the occlusion (Figure 1C). Antegrade dissection re-entry (ADR) attempts with the use of a dedicated Stingray balloon (Boston Scientific) and utilizing the initial wire as a marker of the true lumen failed due to heavy calcification at the level of the previous SVG touchdown. We subsequently escalated using stick and drive (Hornet 14 [Boston Scientific]; Astato 20 [Asahi Intecc]; and Stingray wires) and stick and swap (Pilot 200 wire; Abbott Vascular) techniques, all of which failed due to angulation and heavy calcification. A retrograde attempt with a Turnpike LP 150 wire (Teleflex) via SVG-D1 failed due to extreme angulations preventing the successful wiring of the septal collaterals despite the use of an angulated Supercross 120 microcatheter (Teleflex). We then attempted to use retrograde access from the occluded SVG-PDA, but were unable to wire retrogradely due to angulation and lack of distal visualization. However, the retrograde microcatheter in the PDA was then used as a marker of the distal true lumen for a further attempt at ADR, which proved successful after predilating the subintimal track with a 1.0 balloon to allow for delivery of a new Stingray balloon to the PDA. Stick and drive technique with a Hornet 14 wire was successful, as confirmed via tip injection from the retrograde microcatheter. The native RCA was eventually stented under intravascular ultrasound (IVUS)-guided sizing and optimization using 2.5 x 28-mm, 3.5 x 38-mm, and 4 x 28-mm drug-eluting stents. With this approach, the retained microcatheter tip was jailed between the stent and vessel architecture and was hence excluded from the newly formed vessel lumen. The very distal vessel was optimized using a 2.5 x 30-mm drug-eluting balloon (Figure 1D).
Case 2. An 82-year-old male with CCS 3 angina due to triple-vessel disease and, specifically, an occlusion in the mid LAD artery (J-CTO score 3) (Figure 2A) was treated with PCI consisting of biradial 7-Fr access, Extra-Backup (EBU) 3.5 to the left coronary artery and AL1 to the RCA with an initial AWE approach using a Turnpike Spiral microcatheter and a Gladius Mongo wire. We were able to cross the mid LAD lesion, but were subsequently unable to advance or rotate the microcatheter with modest amount of force due to angulation and heavy calcification. The microcatheter tip disintegrated and remained dislodged in the CTO segment (Figure 2B). Brief attempts to re-cross in distal true lumen using Gaia third wire (Asahi Intecc) and Confianza Pro 12 wire failed, as did an ADR attempt using a Gladius Mongo wire only. Employing a side-BASE technique using a 3.0 balloon in the D1 branch allowed us to advance a Pilot 200 wire in the subintimal space proximal to the occlusion and a second Turnpike spiral MC successfully tracked around the occlusion (Figure 2C). We completed an ADR using a Stingray balloon and Hornet 14 wire using the stick and drive technique. Using IVUS for sizing, the distal to proximal vessel was predilated and subsequently stented with overlapping drug-eluting stents. Following stent deployment, the patient developed hypotension due to a proximal LAD perforation causing a pericardial effusion; this was treated with a 3.5 x 20-mm covered stent and pericardiocentesis, restoring normal hemodynamic parameters with a good angiographic result (Figure 2D). Again, using a dissection re-entry technique, the retained microcatheter tip was effectively jailed behind stent struts within the vessel architecture.
Click HERE to view the Supplemental Video Series
Discussion
Retained coronary microcatheters appear to be a rare complication of PCI; retrieval of a retained tip has been described by using a guide-extension catheter in a proximal coronary artery.2 In another case series,3 abrupt vessel closure was described as a complication of the device entrapment, which could subsequently be solved using laser atherectomy. In a similar case, acute vessel closure from a retained Corsair MC (Asahi Intecc) tip was successfully treated with rotational atherectomy over a rotawire floppy that was successfully passed beyond the retained MC tip.4
According to a summary from Megaly et al,5 which interrogated the Manufacturer and User Facility Device Experience (MAUDE) database for medical devices over an almost 10-year period, only about one-third of devices could be successfully retrieved, and most failures occurred due to tip fracture related to over-torquing and forceful pulling of the MC from heavily diseased and calcified coronary segments—similar to the forces at play in the 2 cases presented.
Ultimately, the final management of retained MC fragments will depend on size, length, and location of the fragment. The outer diameter of, for example, a Turnpike Spiral microcatheter ranges from 1.6 Fr (0.53 mm) at the tip to 2.9 Fr (0.97 mm) at the proximal shaft; the former unlikely to be accessible to devices such as a snare, unless the fracture occurred further proximal on the device and a significant proportion of the shaft is still accessible. This, however, does not appear to be the common failure mode of these devices, as most reports refer to fractured and retained tips. Management options including the mechanical fragmentation by use of laser or rotational atherectomy will likely cause at least temporary occlusion in the vascular bed further distally, albeit with reportedly no adverse effects. A recent review article by Sanz-Sánchez et al6 recommended an algorithmic approach to the management of device entrapment, using pulling, trapping, snaring, plaque modification, and telescoping techniques to enable percutaneous retrieval of the retained device. Our mini-series escalates from this approach and details situations where, despite the structured approach suggested above, the entrapped device cannot be retrieved.
The option of circumventing the issue by using an “around-and-re-entry” approach such as the demonstrated 2 cases of ADR does not remove the fragment, but secures the device in place within the vessel architecture while excluding the foreign body from the newly formed lumen. Although we have encountered this complication rarely in our CTO program, either strategy—disobliteration or fixation—does appear to be a valid solution without measurable clinical impediment. Neither option will be a panacea; in some scenarios, the lack of distal wire position (or option to exchange for a dedicated rotational atherectomy wire) will preclude the disobliteration approach. In some environments, there will be a lack of the necessary technology or skillset, as not all CTO operators routinely employ ADR, and dissection re-entry techniques by their very nature carry a small risk of loss of distal flow if unsuccessful.7 Provided the operator is competent in ADR techniques, this approach would, however, have the advantage of a controlled and highly predictable outcome, where one does not further fragment and dislodge any retained material without control over the ultimate embolization destination. A retained fragment held in place by compressive forces exerted from the subsequently stented subintimal space is therefore an alternative management strategy if prevention and retrieval fail.
Affiliations and Disclosures
From the 1Cardiology Department, St Thomas’ Hospital, London, United Kingdom; 2Cardiology Department, Mater Hospital, Brisbane, Queensland, Australia; 3Cardiology Department, Mitera Hospital, Athens, Greece; and 4East Surrey Hospital, East Surrey, United Kingdom.
Disclosure: The authors have completed and returned the ICMJE Form for Disclosure of Potential Conflicts of Interest. The authors report no conflicts of interest regarding the content herein.
Manuscript accepted July 21, 2022.
Address for correspondence: Antonis N. Pavlidis, MD, PhD, Department of Cardiology, St. Thomas’ Hospital, Westminster Bridge Road, London SE1 7EH, United Kingdom. Email: antonis.pavlidis@gstt.nhs.uk; Twitter: @tomkaier
References
1. Kaier TE, Kalogeropoulos A, Pavlidis AN. Guide-extension facilitated antegrade dissection re-entry: a case series. J Invasive Cardiol. 2020;32(8):E209-E212.
2. Tsujimura T, Ishihara T, Iida O, et al. Successful percutaneous retrieval of a detached microcatheter tip using the guide-extension catheter trapping technique: a case report. J Cardiol Cases. 2019;20(5):168-171. doi:10.1016/j.jccase.2019.07.007
3. Tajti P, Ayoub M, Loffelhardt N, Mashayekhi K. Management of microcatheter fracture in complex percutaneous coronary intervention with laser atherectomy. Cardiovasc Revasc Med. 2021;28:208-211. doi:10.1016/j.carrev.2020.12.017
4. Alkhalil M, McQuillan C, Moore M, Spence M, Owens C. Use of rotablation to rescue a “fractured” micro catheter tip: a case report. World J Cardiol. 2019;11(7):189-194. doi:10.4330/wjc.v11.i7.189
5. Megaly M, Sedhom R, Pershad A, et al. TCT CONNECT-239 complications and failure modes of coronary microcatheters. Insights from the manufacturer and user facility device experience (MAUDE) database. J Am Coll Cardiol. 2020;76(17):B105-B106. doi:10.1016/j.jacc.2020.09.255
6. Sanz‐Sánchez J, Mashayekhi K, Agostoni P, et al. Device entrapment during percutaneous coronary intervention. Catheter Cardiovasc Interv. 2022;99(6):1766-1777. doi:10.1002/ccd.30160
7. Wu EB, Brilakis ES, Lo S, et al. Advances in CrossBoss/Stingray use in antegrade dissection reentry from the Asia Pacific Chronic Total Occlusion Club. Catheter Cardiovasc Interv. 2020;96(7):1423-1433. doi:10.1002/ccd.28607
Related Reading
- No-Reflow Complicating Chronic Total Occlusion Coronary Revascularization
- Solving Challenging Situations and Complications in Everyday Percutaneous Coronary Intervention Using Chronic Total Occlusion Techniques
- Saphenous Vein Graft Occlusion Following Native Vessel Chronic Total Occlusion Percutaneous Coronary Intervention
- A Systematic Review and Meta-Analysis of Clinical Outcomes of Patients Undergoing Chronic Total Occlusion Percutaneous Coronary Intervention
- Electrocautery-Facilitated Crossing (ECFC) of Chronic Total Occlusions
- Impact of Intravascular Ultrasound Utilization for Stent Optimization on 1-Year Outcomes After Chronic Total Occlusion Percutaneous Coronary Intervention
- The Impact of a Chronic Total Coronary Occlusion on Outcomes of Patients With an Implantable Cardioverter Defibrillator: Insights From the EXPLORE Trial
- Complex Chronic Total Occlusion Revascularization — A Comparison of Biradial Versus Femoral Access
- Temporal Trends in Chronic Total Occlusion Percutaneous Coronary Interventions: Insights From the PROGRESS-CTO Registry


