Visualization of HeartMate 3 Outflow Graft Twisting by Selective Graft Angiography
Keywords: angiography, left ventricular assist device
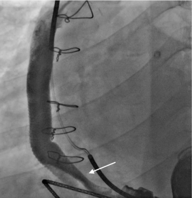
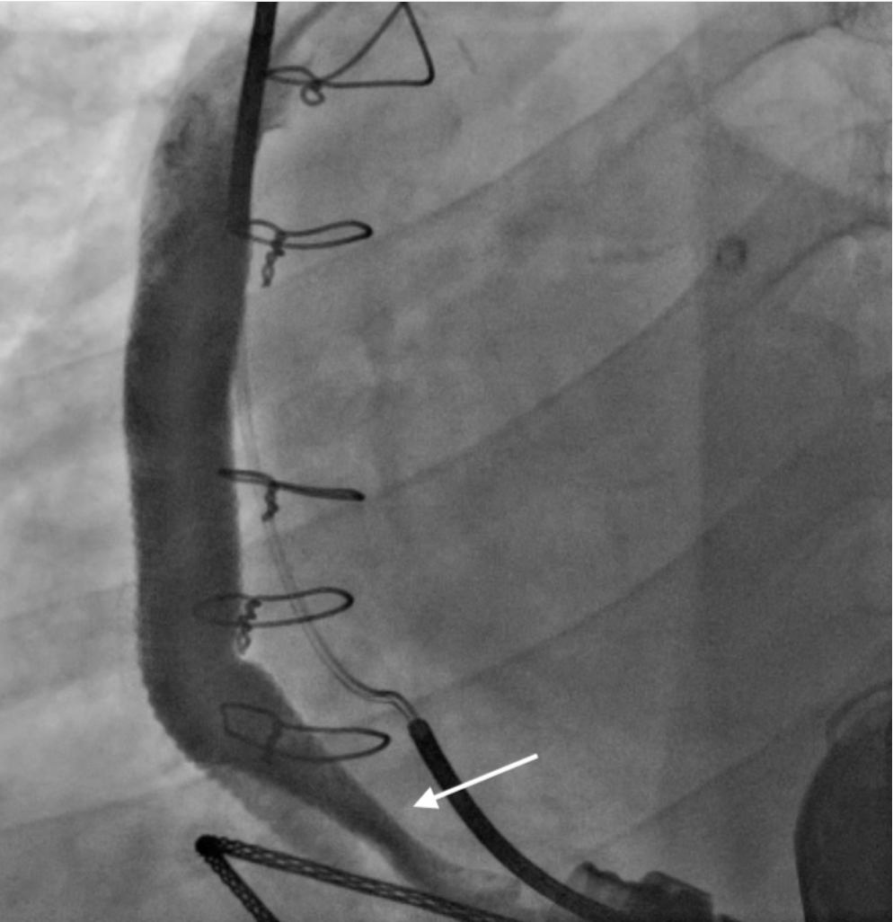
A 55-year-old male patient presented with a history of left ventricular assist device (LVAD) implantation due to ischemic cardiomyopathy. He was admitted to the cardiology department with progressive dyspnea. A HeartMate 3 (Abbott) had been implanted in the patient 3 years prior. Low-flow alarms were detected on the LVAD. An echocardiographic evaluation indicated enlargement of the left ventricle, aortic valve openings nearly in every beat, and deviation of the septum to the right. The lactate dehydrogenase (LDH) level was slightly elevated (355 U/L; normal range, 135-225 U/L). The patient was transferred to the catheterization unit to evaluate the outflow graft. The LVAD was temporarily stopped to demonstrate retrograde flow from the aorta through the outflow graft. Selective visualization was performed after engagement of a pigtail catheter in the outflow graft (Figure 1; Video Series). Twisting at the beginning of the outflow graft was clearly depicted. The patient underwent surgery to correct the twisting. The LVAD-graft junction area was reached with a left subcostal incision. The graft sheath was removed. Approximately 270° of rotation was detected at a distance of 10 cm from the LVAD (Figure 2). After correction, flow increased immediately back to normal levels.
Affiliations and Disclosures
From the 1Istanbul Yeni Yuzyil University, Faculty of Medicine, Gaziosmanpasa Hospital Cardiology Department; and 2Istanbul Yeni Yuzyil University, Faculty of Medicine, Gaziosmanpasa Hospital
Cardiovascular Surgery Department, Istanbul, Turkey.
Disclosure: The authors have completed and returned the ICMJE Form for Disclosure of Potential Conflicts of Interest. The authors report no conflicts of interest regarding the content herein.
The authors report that patient consent was provided for publication of the images used herein.
Manuscript accepted May 9, 2022.
Address for correspondence: Ali Dogan, MD, Associate Professor of Cardiology, Istanbul Yeni Yuzyil University, Faculty of Medicine, Gaziosmanpasa Hospital, Cardiology Department, Gaziosmanpasa, Istanbul, Turkey. Email: drdali@hotmail.com
Related Reading
- Triple-Access Retrograde Chronic Total Occlusion Intervention Through Vein Graft and Epicardial Collaterals
- Follow-up Outcomes After Chronic Total Occlusion Percutaneous Coronary Intervention in Patients With and Without Prior Coronary Artery Bypass Graft Surgery: Insights From the PROGRESS-CTO Registry
- Rotational Atherectomy of an Undilatable Ostial Saphenous Vein Graft Lesion
- Clinical Outcomes of Percutaneous Coronary Intervention for Chronic Total Occlusion in Native Coronary Arteries vs Saphenous Vein Grafts


