Effective 3 Leaflet Grasping During TriClip Procedure: The “3-Point” Buzzer Beater
An 80-year-old man with severe tricuspid regurgitation (Video Series) and a longstanding history of atrial fibrillation was referred to our center to undergo percutaneous tricuspid valve repair due to persistent peripheral edema that was not controlled by medical therapy.
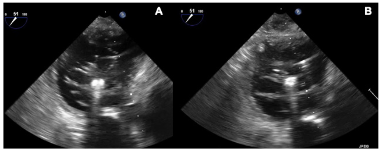
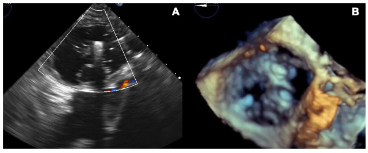
Under transesophageal echocardiography guidance, we attempted to grasp the anterior and septal leaflets. However, grasping was not initially successful. The clip was moved and deployed centrally, spanning the septal leaflet on one side and anterior and posterior leaflets close to the anteroposterior commissure on the other (Figure 1). Tissue grasping was checked and confirmed. Excellent final result was obtained with triple orifice creation (Figure 2) and mild residual regurgitation (Video Series).
To the best of our knowledge, this is the first report of simultaneous grasping of the 3 leaflets during TriClip (Abbott Cardiovascular) implantation. The final valve configuration with a triple orifice (Figure 3) resembled the result of the clover surgical technique. This technique should be considered in selected cases of challenging grasping.
Affiliations and Disclosures
From GVM Care and Research, Maria Cecilia Hospital, Cotignola, Italy.
Disclosure: The authors have completed and returned the ICMJE Form for Disclosure of Potential Conflicts of Interest. The authors report no conflicts of interest regarding the content herein.
The authors report that patient consent was provided for publication of the images used herein.
Manuscript accepted March 25, 2022.
Address for correspondence: Roberto Nerla, MD, Maria Cecilia Hospital, Via Corriera 1, 48033 Cotignola RA, Italy. Email: robertonerla83@gmail.com
Related Reading
- Acute Right Ventricular Reshaping After TriClip in Ebstein’s-Like Anomaly Assessed by Multimodality Imaging
- Leadless Pacemaker Implantation in a Patient With Previous Aortic, Mitral and Tricuspid Valve Interventions
- Caval Valve Implantation for Tricuspid Regurgitation: Insights From the United States Caval Valve Registry
- Valves, Vegetations, and Valves
- Transcatheter Tricuspid Valve-in-Valve Replacement Via Right Internal Jugular Vein Access in a 39-Year-Old Woman
- Transcatheter Mitral Valve-in-Valve and Valve-in-Ring Replacement in High-Risk Surgical Patients: Feasibility, Safety, and Longitudinal Outcomes in a Single-Center Experience
- Percutaneous Closure of a Poorly Tolerated Ventricular Septal Defect After Triple Valvular Prosthesis Surgery


