Difficult Percutaneous Closure of Axillary Access
Keywords: axillary access, percutaneous closure
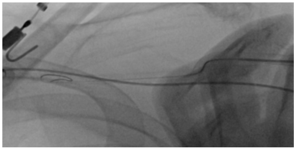
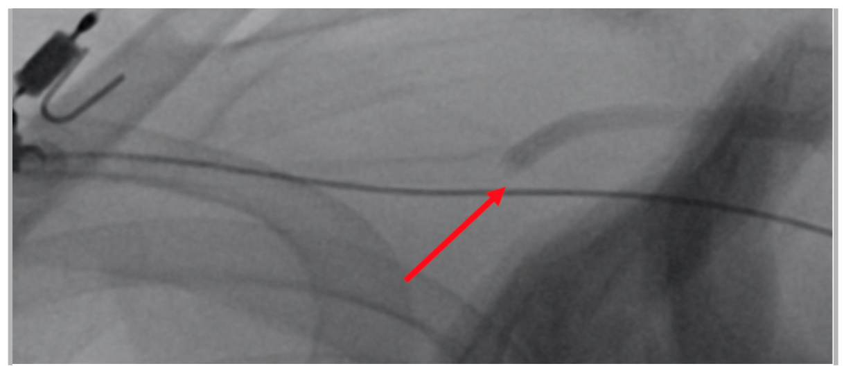
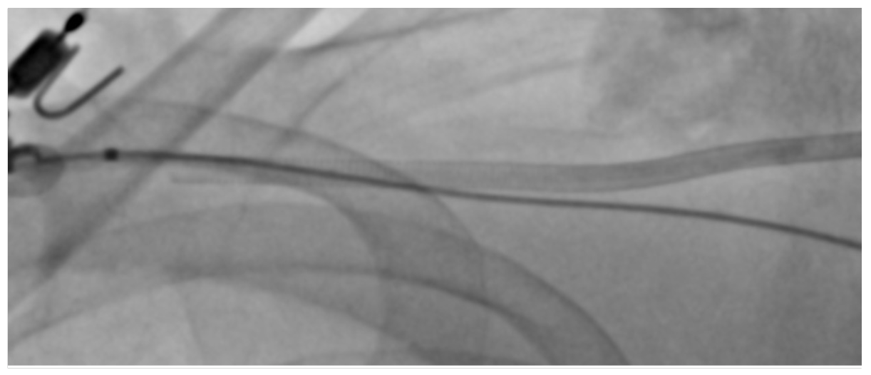
A 64-year-old female presented for closure of her left axillary access for intra-aortic balloon pump (IABP). We intended to close the access with standard balloon-assisted dry closure. A 7-Fr slender radial sheath was placed via left radial artery with a 7-mm peripheral balloon (Admiral; Medtronic) advanced to the subclavian artery. The IABP was removed over an 0.025-inch J-wire. There was already kinking noted at the entry site as indicated (Figure 1) due to adverse angulation. We failed to advance a Proglide device (Abbott) over an 0.035-inch wire due to kinking at transition zone of soft and hard part of the Proglide device (Figure 2).
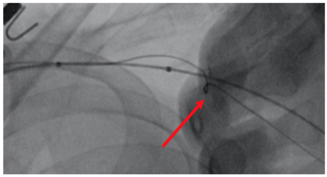
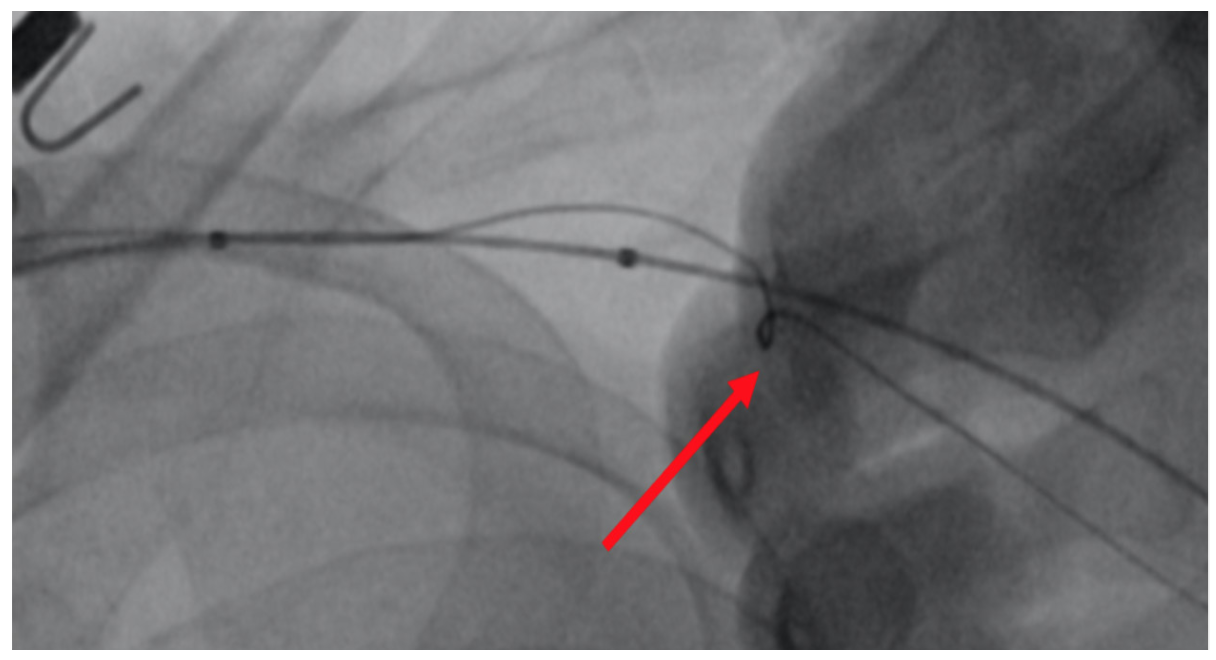
We then tried a 6 Fr Angio-Seal device (Terumo), but were unable to pass the inner part of the device with the collagen plug into the soft outer sheath which was kinked again at the indicated site (Figure 3). However, when we were retrieving the Angio-Seal, the foot plate was inadvertently trapped in the top part of the outer sheath. We maintained access after bypassing the caught foot plate with a needle introducer and wiring of the kinked outer sheath with an 0.018-inch Glidewire Advantage (Terumo) (Figure 4).
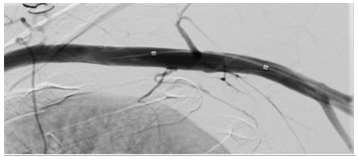
Next, we switched to an Amplatz superstiff wire (Boston Scientific) to rail the Proglide device beyond the wire exit port into the axillary artery carefully to ease the transition zone intravascularly. Two Proglides were deployed sequentially at 90° under fluoroscopy (Figure 5). The suture knots were brought close to the arteriotomy with optimal alignment of the pusher guided by fluoroscopy (Figure 6).
There was still persistent oozing, possibly due to subcutaneous position of the suture knots. We then advanced a 10-cm, 7-Fr hydrophilic braided Arrow sheath (Teleflex) to avoid kinking and inserted a 6-Fr Angio-Seal directly into the sheath (Figure 7 and Figure 8). There was sufficient length to deliver the footplate into the vessel (Figure 9). Careful traction was applied to the Angio-Seal device until it was against the sheath tip. Then, traction to the whole system brought the footplate to the arteriotomy site and subsequently revealed the tamper tube, which was pushed in good alignment on fluoroscopy to tap the collagen plug in place (Figure 10). Final subtracted angiogram from the over-the-wire balloon catheter confirmed good hemostasis (Figure 11).
This case illustrates step-by-step troubleshooting in difficult axillary access closure. Meticulous access techniques, especially a shallower angle of access would minimize subsequent closure difficulties due to kinked sheath or inability to advance closure devices through angulated subcutaneous tract. A standard balloon-assisted dry closure technique; escalation of wire support; trial of different closure devices with understanding in their mechanisms of failure; meticulous deployment of closure devices under fluoroscopy; a novel approach in deliverance of Angio-Seal device in a hydrophilic braided sheath all contributed to successful hemostasis.
Affiliations and Disclosures
From the Division of Cardiology, Queen Elizabeth Hospital, Hong Kong SAR.
Disclosure: The authors have completed and returned the ICMJE Form for Disclosure of Potential Conflicts of Interest. The authors report no conflicts of interest regarding the content herein.
The authors report that patient consent was provided for publication of the images used herein.
Manuscript accepted April 26, 2022.
Address for correspondence: Esmond Yan Hang Fong, MBBS, Division of Cardiology, Queen Elizabeth Hospital, Hong Kong SAR. Email: fongesmond@gmail.com
Related Reading


