Skip to main content

Volume 30 - Issue 4 - April 2022

Featured Article

Cutting-Edge Technology
04/05/2022
Marcus St John, MD, FACC, FSCAI; Ramon Quesada, MD, FACP, FACC, FSCAI
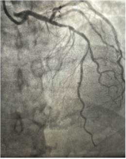
We have taken the step of treating not just the epicardial vessels, but also treating the microvasculature and addressing no-reflow with SuperSaturated Oxygen (SSO2) Therapy to reduce infarct size (TherOx SSO2 Therapy, ZOLL Medical).
We have taken the step of treating not just the epicardial vessels, but also treating the microvasculature and addressing no-reflow with SuperSaturated Oxygen (SSO2) Therapy to reduce infarct size (TherOx SSO2 Therapy, ZOLL Medical).
We have taken the step of...
04/05/2022
Cath Lab Digest
Case Report
04/05/2022
Zaheed Tai, MD, DO, FACC, FSCAI
The patient is a 79-year-old male with a history of chronic atrial fibrillation, peripheral arterial disease with previous iliac stents, venous insufficiency, hypertension, and lifestyle-limiting claudication, with the left leg more...
The patient is a 79-year-old male with a history of chronic atrial fibrillation, peripheral arterial disease with previous iliac stents, venous insufficiency, hypertension, and lifestyle-limiting claudication, with the left leg more...
The patient is a 79-year-old...
04/05/2022
Cath Lab Digest
Case Report
04/05/2022
Khawaja Afzal Ammar, MBBS, MS
A difficult-to-cross coronary lesion, due to vessel tortuosity and almost complete occlusion, was crossed using the wire surfing technique. This case report captures the details of the case and presents it in the light of fluid hemodynamics,...
A difficult-to-cross coronary lesion, due to vessel tortuosity and almost complete occlusion, was crossed using the wire surfing technique. This case report captures the details of the case and presents it in the light of fluid hemodynamics,...
A difficult-to-cross coronary...
04/05/2022
Cath Lab Digest
Cath Lab Discussions
04/05/2022

A question for the CLD Editorial Board and readers from Clifford L. DeBruce, RN, Chest Pain Coordinator, at Mercy Hospital Fort Smith in Arkansas.

A question for the CLD Editorial Boar...
A question for the CLD Editorial Board and readers from Clifford L. DeBruce, RN, Chest Pain Coordinator, at Mercy Hospital Fort Smith in Arkansas.
A question for the CLD Editorial Board and readers from Clifford L. DeBruce, RN, Chest Pain Coordinator, at Mercy Hospital Fort Smith in Arkansas.
A question for the CLD Editorial...
04/05/2022
Cath Lab Digest
Case Report
04/05/2022
Richard Casazza, MAS, RT(R)(CI)
Arteria lusoria or aberrant right subclavian artery is the most common embryologic abnormality of the aortic arch. It occurs in 0.2%-1.7% of the population.1 When an aberrant subclavian is identified, the brachiocephalic trunk is absent and...
Arteria lusoria or aberrant right subclavian artery is the most common embryologic abnormality of the aortic arch. It occurs in 0.2%-1.7% of the population.1 When an aberrant subclavian is identified, the brachiocephalic trunk is absent and...
Arteria lusoria or aberrant...
04/05/2022
Cath Lab Digest
Case Report
04/04/2022
S. Tariq Shahab, MD, FACC, FACP; Fadi Ghrair, MD
Intravascular lithotripsy (IVL) has been recently approved for calcified coronary lesions. The most striking aspect of using IVL is its ease of use and safety. The serial Disrupt CAD trials evaluated the utility of IVL for lesion preparation...
Intravascular lithotripsy (IVL) has been recently approved for calcified coronary lesions. The most striking aspect of using IVL is its ease of use and safety. The serial Disrupt CAD trials evaluated the utility of IVL for lesion preparation...
Intravascular lithotripsy (IVL)...
04/04/2022
Cath Lab Digest
Suggested Technique
04/04/2022
Adam T. Stys, MD, FACC; Zoltan Varga, MD, PhD; Tomasz P. Stys, MD, FACC, FSCAI; Chirag K. Desai, MD; Jacob M. Haiar
Despite advanced methods for modification of resistant coronary lesions, dilatation of highly calcified coronary artery segments remains a challenge. Traditional methods used in these situations include inflation with noncompliant balloons,...
Despite advanced methods for modification of resistant coronary lesions, dilatation of highly calcified coronary artery segments remains a challenge. Traditional methods used in these situations include inflation with noncompliant balloons,...
Despite advanced methods for...
04/04/2022
Cath Lab Digest
Cath Lab Management
04/03/2022
Anshita Kumari; Kusum Lata, MD, FACC, FSCAI
Cardiac arrhythmia is very well-known event in the cardiac catheterization lab (CCL), especially during coronary/electrophysiological procedures. These arrhythmias can be benign or short term, or can be fulminant, requiring external shock.
Cardiac arrhythmia is very well-known event in the cardiac catheterization lab (CCL), especially during coronary/electrophysiological procedures. These arrhythmias can be benign or short term, or can be fulminant, requiring external shock.
Cardiac arrhythmia is very...
04/03/2022
Cath Lab Digest
Clinical Editor's Corner
04/03/2022
Lloyd W. Klein, MD; Morton J. Kern, MD, MSCAI, FACC, FAHA; Andrew Youmans, RN; Michael J. Lim, MD; Stephen R. Ramee, MD
Dr. Kern and other expert contributors recently discussed TAVR: Who Should Prep the Device?1 (January 2022), outlining the role of industry representatives compared to cath lab staff. In this article, several contributors cited the staffing...
Dr. Kern and other expert contributors recently discussed TAVR: Who Should Prep the Device?1 (January 2022), outlining the role of industry representatives compared to cath lab staff. In this article, several contributors cited the staffing...
Dr. Kern and other expert...
04/03/2022
Cath Lab Digest
Letter to the Editor
04/03/2022
Lloyd W. Klein, MD
I read with interest the case report of Casazza and colleagues in the February issue of CLD showing bilateral coronary artery fistulae. It’s an excellent case and I appreciate the wonderful demonstration in the angiograms.
I read with interest the case report of Casazza and colleagues in the February issue of CLD showing bilateral coronary artery fistulae. It’s an excellent case and I appreciate the wonderful demonstration in the angiograms.
I read with interest the case...
04/03/2022
Cath Lab Digest
Cath Lab Management
03/25/2022
Sarah Davis-Arnold, MSN, RN, RCIS, NPD-BC
The Core Curriculum allows nurses and allied professionals to build specialty knowledge that enhances the delivery of safe patient care.
The Core Curriculum allows nurses and allied professionals to build specialty knowledge that enhances the delivery of safe patient care.
The Core Curriculum allows...
03/25/2022
Cath Lab Digest