Fluoroscopic Recognition of Arteria Lusoria When Utilizing the Right Radial Approach During Cardiac Catheterization: “Shark’s Tooth” Sign
Arteria lusoria (Figure 1) or aberrant right subclavian artery is the most common embryologic abnormality of the aortic arch. It occurs in 0.2%-1.7% of the population.1 When an aberrant subclavian is identified, the brachiocephalic trunk is absent and four great vessels arise from the arch of the aorta: the right common carotid artery, the left common carotid artery, the left subclavian artery, and lastly, the right subclavian, which has a distal left-sided origin.2 The right subclavian course is retroesophogeal and enters the proximal descending aorta at Kommerell’s diverticulum. Patients may be asymptomatic. In a systematic review, Polguj et al found the most commonly reported symptoms related to compression of adjacent structures by aberrant right subclavian artery (arteria lusoria) were dysphagia (71.2%), dyspnea (18.7%), retrosternal pain (17.0%), cough (7.6%), and weight loss greater than 10 kg over a 6-month period (5.9%). Among the less common symptoms, stomachache, back pain, and numbness of the right upper limb were reported.2
Arteria lusoria, literally translating to “arterial freak of nature”, can be a nightmare for an interventional cardiologist to deal with from the right radial approach. In a perfect world, all patients would have previous computed tomography (CT) scans identifying this quagmire beforehand. Unfortunately, that is not the case. Almost inherently, this anomaly will markedly increase case time, contrast dose, fluoroscopic time, and radiation dose to the patient and operator. Anatomic variation of the arterial pathway has an adverse impact on transradial coronary procedural outcomes.
The “Shark’s Tooth”
Radiographically, when encountering right subclavian tortuosity, catheters for the most part cross to the left side of the trachea, and can have an “S”-shaped rounded curve or resemble the profile view of an elephant’s head (Figure 2A). Right subclavian tortuosity in and of itself can make an easy procedure difficult and laborious. Encountering an aberrant right subclavian amplifies the difficulties further. Patients with an aberrant subclavian done from the radial approach are shown to only have a procedural success rate of 60%,3 although this source from Valsecchi et al is somewhat antiquated and techniques dealing with tortuous anatomy have evolved significantly. However, an aberrant subclavian can still put a significant damper on a proceduralist’s day.
Although encountering an aberrant right subclavian during cardiac catheterization is quite infrequent, operators still do encounter it. For the most part, this congenital anomaly is unknown prior to the cath and is typically identified when a right radial approach is utilized. Upon entering the aorta, catheters frequently go into the descending aorta (due to the orientation and location of the junction of the right subclavian and aorta), which may be misconstrued as severe tortuosity.
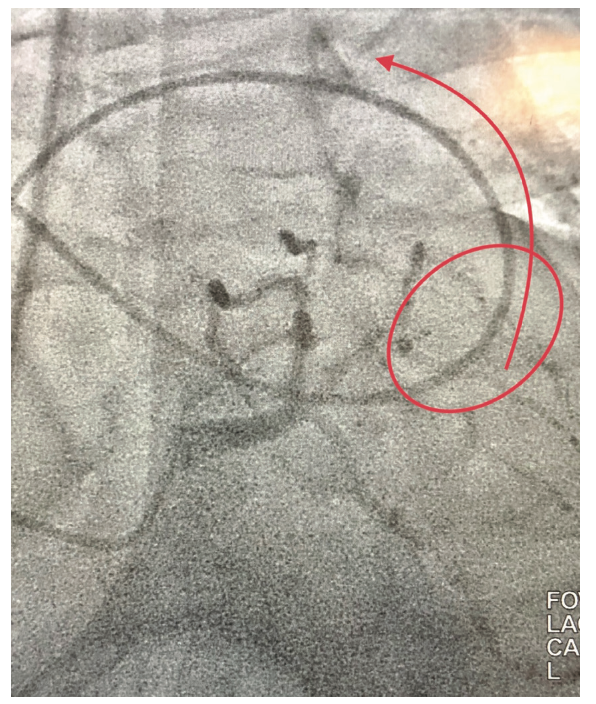
With “standard” right subclavian tortuosity, the catheter crosses the right to left side of the trachea and has a rounded out shape (Figure 2B). Catheters also move inferiorly for a few centimeters before moving back right towards the trachea again, prior to reaching the sinotubular junction. In contrast, with an aberrancy, the catheter crosses the trachea and travels significantly left past the trachea and abruptly turns back to the right, towards the transverse and ascending aorta that is delineated quite well with an left anterior oblique (LAO)/caudal view. The catheter may also follow a superior trajectory before reaching and/or cannulating the coronary ostia (Figure 3).
We encountered five aberrant subclavians over a several-year period. Three were unknown prior to catheterization. One was known prior from a CT angiogram where we used a left radial approach (Figure 4A). One was done femorally; the anomaly was only identified when the catheter took an unusual course several times. Aortic root angiography was subsequently done and the aberrancy was identified (Figure 4B). Three were done from the right radial approach. Two were confirmed with angiography and one was later confirmed with a CT angiogram that had been done previously; however, this report was not available prior to the cath.
Radiographically, all have a similar appearance (Figures 5-8). They move left across the trachea, well into the lung field, and make an acute trajectory change back to the right, towards the transverse and ascending aorta. This abrupt course of the catheter change resembles a “shark’s tooth” and as a radiographic sign, may offer the clue of an aberrant subclavian. Different wires may enable easier negotiation into the ascending aorta. Wholey wires (Medtronic) may be used because of their soft tip and strong shaft. Hydrophilic wires such as Glidewires (Terumo) are also used to navigate through the aberrancy. Keeping an Amplatz super stiff wire in the catheter may help provide the necessary support for selective coronary angiography. Even if operators get close to the coronary ostia, tension and energy built up in the catheter can disallow selective engagement and force a bailout to the contralateral radial or the femoral approach. Conversely, there are times in the presence of this ominous anatomy when catheters will engage quicker than the operator can do a “time out.” A skillful operator might display some “catheter legerdemain” to negotiate these problems; however, a little bit of luck also goes a long way. One doesn’t necessarily have to be a funambulist to recognize and selectively cannulate the coronaries.
RCA = right coronary artery; LCA = left coronary artery; LSA = left subclavian artery
Rare as it is, arteria lusoria is a menacing obstacle for an interventional cardiologist or any operator that is utilizing a right radial approach. If known prior to procedure, an ultrasound-guided femoral or left radial approach should be used to potentially reduce contrast dose, as well as operator and patient radiation dose. This approach might also preserve the operator’s mental capital if the procedure becomes time-consuming. If the anomaly is unknown to the operator, the “shark’s tooth” sign could identify the aberrancy on initial catheter passage promptly. If the operator struggles with selective engagement, identification of the aberrant subclavian can ameliorate the course of the procedure for the better.
Disclosures: Richard Casazza is Director of R&D for Tesslagra Design Solutions.
Richard Casazza, MAS, RT(R)(CI) can be contacted at all4ugq@aol.com or on Twitter @Tesslagra
References
1. Patel T, Shah S, Pancholy S, et al. Working through challenges of subclavian, innominate, and aortic arch regions during transradial approach. Catheter Cardiovasc Interv. 2014 Aug 1; 84(2): 224-235. doi: 10.1002/ccd.25418
2. Polguj M, Chrzanowski Ł, Kasprzak JD, et al. The aberrant right subclavian artery (arteria lusoria): the morphological and clinical aspects of one of the most important variations--a systematic study of 141 reports. ScientificWorldJournal. 2014; 2014: 292734. doi: 10.1155/2014/292734
3. Valsecchi O, Vassileva A, Musumeci G, et al. Failure of transradial approach during coronary interventions: anatomic considerations. Catheter Cardiovasc Interv. 2006 Jun; 67(6): 870-878. doi: 10.1002/ccd.20732


