Crossing a Difficult-to-Cross Coronary Lesion: The Utility of the Wire Surfing Technique
Abstract
A difficult-to-cross coronary lesion, due to vessel tortuosity and almost complete occlusion, was crossed using the wire surfing technique. This case report captures the details of the case and presents it in the light of fluid hemodynamics, with focus on viscosity and resistance to flow.
Case Report
A 73-year-old female presented to the cardiac catheterization laboratory with chest pain, a half-millimeter ST-segment depression in inferior leads, and rising troponin over the previous 14 hours. Angiography revealed a completely occluded large first obtuse marginal artery (OM1) with an acute angle take-off from a dominant circumflex coronary artery.
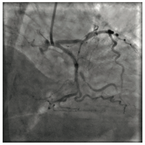
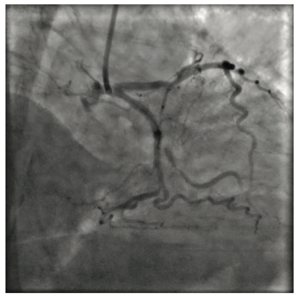
A Balance Middleweight (BMW) wire (Abbott Vascular), followed by a Hi-Torque Whisper guidewire (Abbott Vascular) failed to cross the lesion due to the severity of stenosis and the angulated take-off of the OM. The angulation was tackled with an additional curve on the Whisper wire’s tip, by itself and then in combination with a 90-degree angled SuperCross microcatheter (Teleflex). The Hi-Torque Whisper wire was able to enter the ostium of the OM by parking the microcatheter with its tip parallel to the ostium; however, it still failed to cross the lesion. The tip would enter the lesion and then buckle and bounce off into the main circumflex due to the severity of stenosis, which appeared to be 100% (Figure 1, Video 1). The presence of brisk antegrade flow in the OM distal to the stenosis was convincing for an invisible microchannel available across the occlusion; therefore, we decided to utilize the ability of the fluid contrast agent to find the microchannel. We positioned the wire at the occlusion and injected 10 cc of contrast with high manual pressure, effectively replacing the blood in the microchannel with the lower viscosity contrast agent, and captured the scene under cine angiography. At this time, the wire was inside the SuperCross microcatheter, which allowed the wire to float inside the microcathether without resistance by the Copilot Bleedback Control valve (Abbott Vascular), which was tight around the microcatheter. Simultaneous to contrast agent injection by the assistant, the operator advanced the wire very slowly and let the wire float itself, along with the contrast agent, across the uncrossable microchannel into the distal OM1 (Figure 2A-B, Video 2). The proposed mechanism is the replacement of red blood cells (RBC) by the contrast media mixing with blood. Once the wire crossed the lesion, the rest of the case was expeditiously completed with angioplasty and stenting of the OM.
Video 1.
Video 2.
Discussion
The viscosity of different fluids increases from 1 cP (1 centipoise or cP in the centimetre gram second system of units) for water to 1.5 cP for plasma, to 3.5 cP for whole blood, to 11.8 cP for contrast (Visipaque [GE Healthcare] or iodixanol 320).1 However, these viscosities are measured in larger tubes with nonthrombotic physiology, unlike what is seen in acute coronary syndrome, where increased platelet reactivity and rouleaux formation is likely to markedly increase the viscosity of whole blood as compared to that of contrast or water.
Whole blood viscosity has been shown to be reduced by contrast media injection.2 Although water’s viscosity is Newtonian (it stays constant under different flow conditions), blood’s viscosity follows non-Newtonian hydrodynamics as it increases under lower flow states (Figure 3). This is due to the interaction between RBC and plasma proteins that leads to chains of several RBC in series, ie, rouleaux formation in low flow states, a phenomenon that is clinically utilized in measurement of erythrocyte sedimentation rate. Since the flow markedly reduces distal to the subtotal occlusion, the viscosity distal to the stenotic lesion increases due to rouleaux formation by blood cells. The diameter of the capillaries is 8 to 10 microns, almost identical to that of RBC, so in normal flow conditions, RBC can only move through normal capillaries in single file. By injecting contrast media, the column of RBC is replaced by a lower viscosity medium. Advancing a hydrophilic wire at the same time utilizes the hydro planar surfing properties of the wire, so the wire finds the flow by itself and crosses the lesion. Whether the main reason for crossing the lesion was the reduced viscosity as compared to the surfing capacity of a hydrophilic wire is beyond the scope of this case report. The hydrophilic properties of the wire did not change during the procedure and the wire failed to cross the lesion by itself until we injected contrast medium forcefully, indicating that the viscosity reduction plays an essential role.
This phenomenon has been described in the past, in the case of a difficult-to-cross lesion where the interventionalist placed the introducer needle in the Tuohy-Borst introducer to facilitate the forward motion of the coronary wire.3 An automated injector was used to inject at a high pressure and flow (850 psi; 6 cc per second) and avoided the manipulation of the wire. The wire was carried by the surfing wave across the uncrossable lesion, without any operator manipulation of the wire. The wire had been parked at the ostium of the lesion prior to the injection. Then the operator injected and showed crossability of the uncrossable lesion, with no active manipulation of the wire to target the microchannel but depending on the natural forces of flow dynamics to help the wire find the microchannel. Our case adds to this discussion in the literature and offers a new, plausible insight for an explanation of this crossing regarding lowering the viscosity of blood. The interventionalist utilizes an introducer needle in the Tuohy-Borst to free the wire from the ‘grab’ of the Tuohy-Borst, allowing the wire to move following the natural laws of physics. In our case, we achieved the same effect by using an angled SuperCross .014-inch coronary catheter in the Copilot valve, which similarly allowed the wire to move freely from the restrictions of the Copilot valve.
Whole blood not only has much higher viscosity than water at rest, but its viscosity is also inversely related to the flow due to its non-Newtonian nature. Because of the high degree of interaction between the elements of blood (RBC, white blood cells, and plasma proteins) when it is not flowing, a driving pressure significantly greater than zero is required for stationary blood to start flowing again. This is referred to as the yield stress required to initiate flow (Figure 3). During critical coronary stenosis, exhaustion of autoregulatory vasodilation of arterioles leads to capillary derecruitment, which further increases the resistance through the microcirculatory bed. This driving pressure, or required yield stress, is likely higher in severe coronary stenosis, and apparently can be overcome by injecting contrast media with increased force manually, as in our case.
If clotting mechanisms are stimulated in the blood, platelet aggregation and interactions with plasma proteins occur. This leads to entrapment of red cells and clot formation, dramatically increasing blood viscosity. In acute coronary syndrome, local platelet reactivity is further enhanced, thereby making it more difficult to cross a microchannel.
Conclusion
The procedural concept of “wire surfing” can be applied to a coronary angioplasty of a chronic total occlusion (CTO). The endothelialized microchannels in a coronary CTO have been shown to be 160-230 microns.4 It is the standard .014-inch coronary wire that is 355 microns in diameter that needs assistance in crossing the coronary microchannel. Therefore, reducing the concentration of RBC in capillaries by injecting pure contrast media may decrease the viscosity of blood in the capillaries, allowing blood to flow forward and enabling the .014-inch wire to cross a microchannel.
Disclosure: Dr. Ammar reports no conflicts of interest regarding the content herein.
Dr. Khawaja Afzal Ammar can be contacted at wi.publishing28@aah.org
References
1. Klabunde RE. Cardiovascular Physiology Concepts. Accessed March 18, 2022. Cvphysiology.com/Hemodynamics/H011#:~:text=Because%20of%20molecular%20interactions%20between,to%20water%20is%20about%201.8. Accessed March 18, 2022.
2. Strecker EP, Stengel M, Witte S. Influence of an ionic and nonionic xray contrast medium of haemorheology. In: Taenzer V, Wende S, ed. Recent developments in nonionic contrast media. Stuttgart, Germany: Georg Thieme Verlag; 1989: 24.
3. Stys A, Oleszak F, Gedela M, Wilson J, Stys T. How to wire a complex coronary trifurcation: A novel guidewire contrast surfing technique. Cath Lab Digest. 2018 Apr; 26(4): 38. Accessed March 18, 2022. https://www.hmpgloballearningnetwork.com/site/cathlab/article/how-wire-complex-coronary-trifurcation-novel-guidewire-contrast-surfing-technique
4. Dash D. Coronary chronic total occlusion intervention: a pathophysiological perspective. Indian Heart J. 2018 Jul-Aug; 70(4): 548-555. doi: 10.1016/j.ihj.2018.01.021


