Routine Defibrillator Pad Placement: For All Patients in the Cardiac Cath Lab?
Cardiac arrhythmia is very well-known event in the cardiac catheterization lab (CCL), especially during coronary/electrophysiological procedures. These arrhythmias can be benign or short term, or can be fulminant, requiring external shock. Initial time-out is standard of care; however, rarely used equipment including defibrillator pads/devices are not routinely discussed.1 Since we don’t use defibrillation on a regular basis, there is risk of becoming less aware and even forgetting where to look when there is a need.2 Here we are going to discuss a case-based scenario to emphasize the need for regular practice/drills with this equipment in order to retain the necessarily familiarity for timely use.
Clinical Case
A 62-year-old female with a past medical history of hypertension, hyperlipidemia, and diabetes mellitus, and who was an active smoker, underwent coronary angiography due to her chest pain and positive nuclear stress test for ischemia. An echocardiogram showed normal left and right ventricular function, and no significant valvular disease. A nuclear stress test revealed a moderate-size reversible myocardial perfusion defect in the antero-lateral and apical wall consistent with ischemia.
Procedure
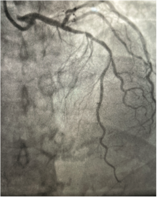
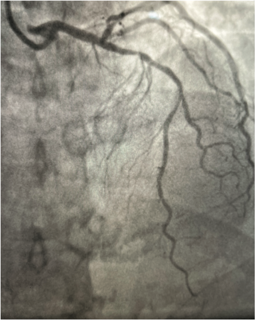
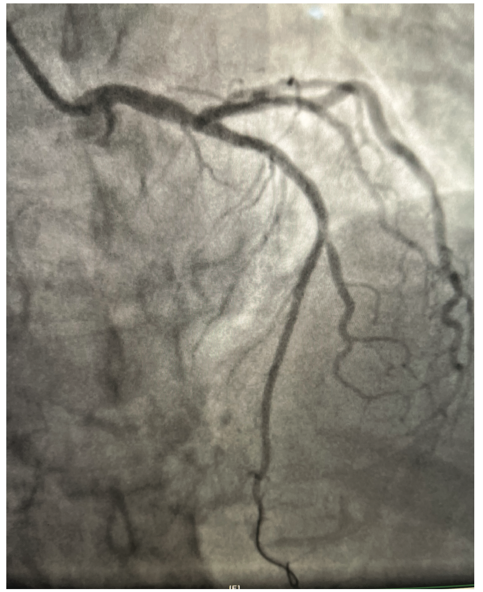
The left coronary artery was cannulated through the right radial artery with a 6 French Judkins left 3.5 guide catheter. The mid left anterior descending (LAD) artery showed a 70%-80% long lesion (Figure 1). After adequate anticoagulation with heparin, an .14-inch Runthrough wire (Terumo) was used to wire the LAD without difficulty. The patient’s vitals were within normal range. An uneventful predilatation of the mid LAD lesion with a compliant 2.5 mm x 20 mm balloon was performed. After predilatation, an angiogram showed no angiographic dissection and TIMI-III flow (Figure 2). A 2.75 mm x 38 mm drug-eluting stent was advanced to the lesion without any difficulty. The stent was positioned with a contrast puff and direct fluoroscopy. Just prior to the stent placement, the patient’s rhythm became ventricular fibrillation. The rhythm was immediately identified and a nurse began looking for defibrillator pads. Another cath lab technologist moved to the sterile drape to start cardiopulmonary resuscitation (CPR), with an adjustment of the cath lab table and fluoroscopy camera on the way. Defibrillator pads were found, and placed on the patient’s chest and side. An external shock was delivered and the patient converted to normal rhythm. Less than 30 seconds of CPR was performed. Since we were certain of the position of the stent, and no angiographically significant dissection or perforation was visualized, we deployed the stent in the mid LAD during the chaos of getting defibrillator pads and preparation for CPR. The patient remained in ventricular fibrillation even after stent deployment. Regular rhythm was restored only after an external shock and the patient immediately regained complete consciousness. Multiple coronary images were obtained, but no abnormal coronary etiology of the ventricular fibrillation could be found (Figure 3). Post dilatation of the stent was performed with a 3.0 mm noncompliant balloon. A final angiogram showed good stent apposition without any complications. A limited cardiac cath lab echocardiogram showed no evidence of pericardial effusion. The procedure was concluded successfully without any final complications.
Learning Points
A. Why should defibrillator pads be placed on every patient in the cardiac cath lab?
1. Rare events can be fatal.
2. Fulminant arrhythmia can be restored to normal rhythm only by external shock.
3. Locating defibrillator pads in a life-threatening clinical setting might be challenging and delay vital treatment.
4. In heavy patients, placement and movement of the patient can cause further delay, especially working around a sterile area and large fluoroscopic equipment.
5. Any chest abnormalities or a significant amount of hair is an additional limiting factor in delivering external shock.
6. The average cost of defibrillator pads is $20 each, less than one-fifth the cost of a single guide catheter used during cardiac catheterization.
B. Why is CPR challenging during coronary intervention?
1. The need to maintain sterility.
2. The height of the cardiac cath lab table, which limits the ability to perform effective CPR by those shorter in height.
3. Fluoroscopic equipment and cameras limit the area to stand and move for the performance of efficient CPR.
4. CPR itself can be traumatic and can cause complications/trauma from the presence of a guide catheter, guidewire, stent, and/or balloon already in the coronaries.
5. Losing device position during CPR can delay lifesaving additional treatment.
Conclusion
Coronary angiography with or without stent placement is not just a procedure, it is a vital procedure. Anything and everything can be arrhythmogenic to the coronaries. Iatrogenic arrhythmia, though rare, can be fatal without external shock treatment in due time. Taking the necessary step of placing defibrillator pads on every coronary patient can be lifesaving in the cardiac cath lab. Including this step in the standard time-out is additional preparedness to consider. CPR in the cardiac cath lab is challenging and might not be as effective as regular CPR due to position and placement of the patient. CPR itself can cause additional de novo complications, so precautionary measures should be the goal.
Disclosures: The authors report no conflicts of interest regarding the content herein.
The authors can be contacted via Kusum Lata, MD, FACC, FSCAI, at lata.drkusum@gmail.com
References
1. Kern MJ. Managing urgency during a cardiac cath. Cath Lab Digest. 2021 Nov;29(11): 8-11. Accessed March 21, 2022. https://www.hmpgloballearningnetwork.com/site/cathlab/clinical-editors-corner/managing-urgency-during-cardiac-cath
2. Wilson RF, Sirna S, White CW, Kerber RE. Defibrillation of high-risk patients during coronary angiography using self-adhesive, preapplied electrode pads. Am J Cardiol. 1987 Aug 1; 60(4): 380-382. doi: 10.1016/0002-9149(87)90252-9


