Intravascular Lithotripsy (Shockwave Therapy) Post Stent Placement for a Calcified Coronary Lesion
Intravascular lithotripsy (IVL) has been recently approved for calcified coronary lesions. The most striking aspect of using IVL is its ease of use and safety. The serial Disrupt CAD trials evaluated the utility of IVL for lesion preparation of severely calcified coronary stenoses prior to stent implantation. The studies’ primary safety and efficacy endpoints were met among patients from different regions, including the United States, Europe, and Japan. Coronary IVL prior to stent implantation was well tolerated, with a low rate of major periprocedural clinical and angiographic complications and 30-day major adverse cardiac events. Here, we present a case in which Shockwave IVL was used after the stent was placed but could not be expanded despite high-pressure balloon inflations.
Case Report
An 80-year-old female presented for pre-op cardiac evaluation after she suffered a stroke and was found to have a 99% stenosis of left internal carotid artery. On further evaluation, she complained of anginal symptoms and had an abnormal nuclear stress test. She therefore underwent coronary angiography, which showed mild mid left anterior descending (LAD) coronary artery and circumflex disease.
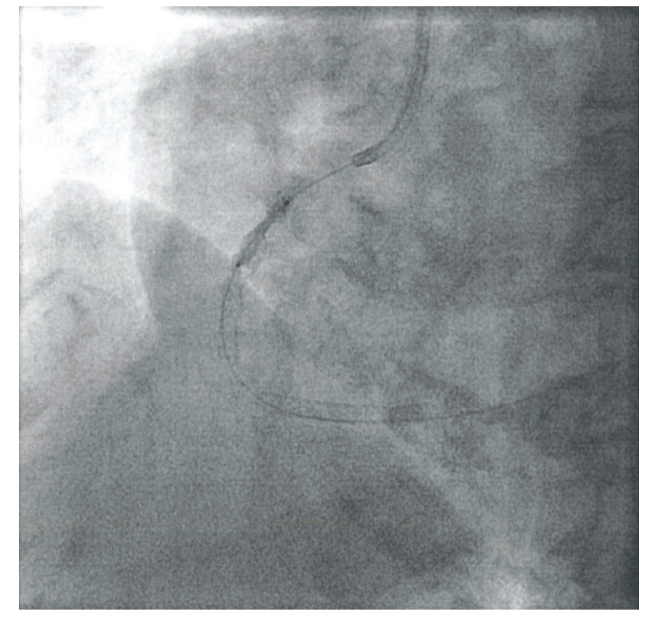
However, the right coronary artery (RCA) had a tight 80%-90% mid stenosis and a 100% occlusion distally. She underwent percutaneous coronary intervention of the RCA with successful cannulation of the distal RCA followed by a 3.5 mm drug-eluting stent (DES) placement. The mid RCA was also treated and stented with a 3.5 mm DES. However, the proximal segment of the mid-RCA stent could not be fully expanded despite high-pressure inflations. Another 3.5 mm DES was inserted to fully cover the proximal portion of the lesion, with high-pressure dilatations using noncompliant (NC) 3.5 mm and NC 3.75 mm balloons. High pressures of 20-24 atmospheres could not dilate the stent, because of the ring of calcium in the deep layers of the artery (Figure 1). A 4.0 mm NC balloon could not cross. The procedure was terminated. Surgical consult was obtained, but the patient was deemed high risk because of concomitant carotid artery stenosis and recent stroke. Therefore, it was decided to bring her back and try Shockwave therapy (IVL).
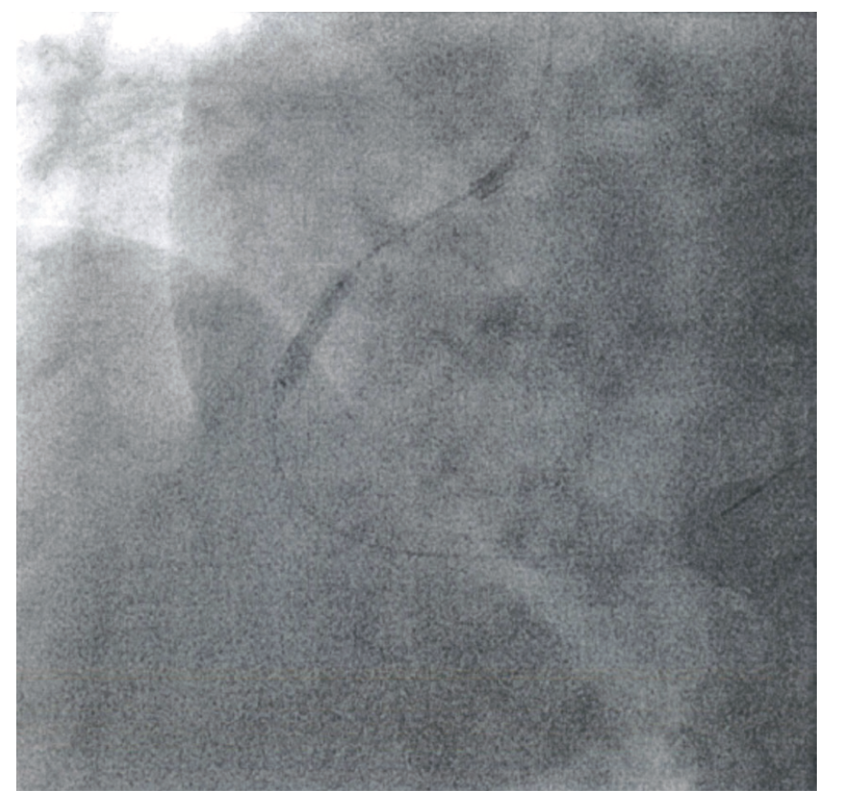
The patient was brought to the lab and plans were made to perform intravascular lithotripsy. After a NC balloon could not expand (Figure 2), a 3.0 mm Shockwave lithotripsy balloon was advanced and positioned inside the stent (Figure 3). Four pulses of IVL were given. After the 4th pulse, the lithotripsy balloon waist disappeared (Figure 4). The lesion was then expanded without any difficulty using a standard 4.0 mm NC balloon. Intravascular ultrasound showed the fractures in the walls of the artery after Shockwave IVL (Figures 5-6). An excellent angiographic result (Figure 7) was obtained and the patient was discharged home the same day.
Discussion
Shockwave IVL therapy has been recently approved by the FDA and is increasingly being used for tough-to-dilate calcified coronary lesions. Most cases reported are of successful IVL use in patients with highly calcified lesions identified prior to stenting. However, our case demonstrates an off-label application, where lithotripsy was safely and successfully used inside a poorly expanded stent due to a ring of calcium in the deeper layers of the coronary artery. Hopefully, this technique will provide much-needed relief to interventional cardiologists for the treatment of calcified coronary lesions, thus obviating the need to refer such patients for bypass surgery in the future.
Disclosures: The authors report no conflicts of interest regarding the content herein.
The authors can be contacted via S. Tariq Shahab, MD, FACC, FACP, Director Vascular & Interventional Cardiology Fairfax, Virginia, and Clinical Associate Professor of Medicine (Cardiology) George Washington University Hospital, Interventional Cardiologist Inova Fairfax Hospital at stshahab@gmail.com
References
1. Kereiakes DJ, Virmani R, Hokama JY, et al. Principles of intravascular lithotripsy for calcific plaque modification. JACC Cardiovasc Interv. 2021 Jun 28; 14(12): 1275-1292. doi: 10.1016/j.jcin.2021.03.036
2. Madhavan MV, Tarigopula M, Mintz GS, et al. Coronary artery calcification: pathogenesis and prognostic implications. J Am Coll Cardiol. 2014 May 6;63(17):1703-1714. doi: 10.1016/j.jacc.2014.01.017
3. Brodmann M, Werner M, Brinton TJ, et al. Safety and performance of lithoplasty for treatment of calcified peripheral artery lesions. J Am Coll Cardiol. 2017 Aug 15; 70(7): 908-910. doi: 10.1016/j.jacc.2017.06.022


