Skip to main content

Volume 36 - Issue 11 - November 2023

Cover Feature
11/01/2023
A veterinary drug, xylazine, is being found with alarming frequency as an adulterant to street drugs such as opioids and heroin. Podiatrists may uniquely encounter one of the documented adverse effects of this drug. In this feature, the...
A veterinary drug, xylazine, is being found with alarming frequency as an adulterant to street drugs such as opioids and heroin. Podiatrists may uniquely encounter one of the documented adverse effects of this drug. In this feature, the...
A veterinary drug, xylazine, is...
11/01/2023
Podiatry Today
Feature
11/01/2023
Alexa Bykowski, DPM; Ian Barron, DPM, FACFAS; Zachary Hill, DPM
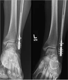
Can intramedullary (IM) nails reduce and stabilize fibular fractures? These authors take a closer look at recent literature, present indications and contraindications, and compare plates with IM nails.
Can intramedullary (IM) nails reduce and stabilize fibular fractures? These authors take a closer look at recent literature, present indications and contraindications, and compare plates with IM nails.
Can intramedullary (IM) nails...
11/01/2023
Podiatry Today
Feature
11/01/2023
Timothy P. Cheung, DPM, PhD, CPT, AACFAS; Usman Aleem, DPM; Rumzah Paracha, MD; Steven D. Vyce, DPM, FACFAS; Brian Fuehrlein, MD, PhD; Arij Rashid, DPM, AACFAS
Alcohol use disorder can lead to health problems and podiatric complications for patients. These authors provide evidence-based recommendations for a systematic approach for early interventions for patients with alcohol use disorder...
Alcohol use disorder can lead to health problems and podiatric complications for patients. These authors provide evidence-based recommendations for a systematic approach for early interventions for patients with alcohol use disorder...
Alcohol use disorder can lead to...
11/01/2023
Podiatry Today
Online Exclusive
11/01/2023
Sonia Chuang, BS; Noah Rosenblatt, PhD; Stephanie C. Wu, DPM, MSc, FACFAS
Dry needling therapy can be an effective adjunctive treatment for patients with plantar fasciitis unrelieved by stretching. These authors discuss practical considerations with dry needling, as well as the research.
Dry needling therapy can be an effective adjunctive treatment for patients with plantar fasciitis unrelieved by stretching. These authors discuss practical considerations with dry needling, as well as the research.
Dry needling therapy can be an...
11/01/2023
Podiatry Today
Diabetes Watch
11/01/2023
Windy E. Cole, DPM, CWSP, FACCWS
Venous insufficiency and the diabetic foot: is there a link? Let’s just say the relationship is “complicated.” This article will explore the overlapping pathophysiological processes of glucose toxicity, diabetic neuropathy and venous...
Venous insufficiency and the diabetic foot: is there a link? Let’s just say the relationship is “complicated.” This article will explore the overlapping pathophysiological processes of glucose toxicity, diabetic neuropathy and venous...
Venous insufficiency and the...
11/01/2023
Podiatry Today
Surgical Pearls
11/01/2023
Daniel S. Schulman, DPM, FACFAS
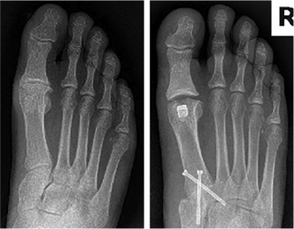
The author reports a case of a 44-year-old male with painful hallux rigidus using a titanium hydroxyapatite-coated implant.
The author reports a case of a 44-year-old male with painful hallux rigidus using a titanium hydroxyapatite-coated implant.
The author reports a case of a...
11/01/2023
Podiatry Today
Treatment Dilemmas
11/01/2023
Bob Baravarian, DPM, FACFAS; Milad Adloo, DPM
Trauma to the lateral ankle can lead to a myriad of problems for our patients, including peroneal subluxation and dislocation. Several treatment methods exist with varying degrees of difficulty and success rates. In this article, we will...
Trauma to the lateral ankle can lead to a myriad of problems for our patients, including peroneal subluxation and dislocation. Several treatment methods exist with varying degrees of difficulty and success rates. In this article, we will...
Trauma to the lateral ankle can...
11/01/2023
Podiatry Today
Forum
11/01/2023
Kevin A. Kirby, DPM, MS
In this last in the series of Forum articles which I have written for Podiatry Today over the past 15 years, I wanted to share a few of the factors that have affected and motivated me over the past 40 years since I graduated from podiatry...
In this last in the series of Forum articles which I have written for Podiatry Today over the past 15 years, I wanted to share a few of the factors that have affected and motivated me over the past 40 years since I graduated from podiatry...
In this last in the series of...
11/01/2023
Podiatry Today