Addressing the Subchondral Bone Complex and First Ray Alignment in End-Stage Hallux Rigidus
Click here for a related slideshow and video.
Hallux rigidus is a disabling disease causing arthritis/arthrosis in the first metatarsophalangeal joint (MTPJ) and can correlate with significant morbidity and reduced quality of life. The hallmark clinical findings in hallux rigidus consist of osteoarthritis with cartilage degeneration, pain, and progressive loss of motion of the first MTPJ. The exact etiology of hallux rigidus is unclear but it is most often attributed to injury, rheumatologic disease, and/or foot postural/biomechanical factors. Although less prevalent than hallux valgus, individuals with hallux rigidus report a comparatively higher level of pain and dysfunction.1
The extent of pathology is often obscured as plain radiographs of the subchondral space of the first metatarsal head remain unremarkable throughout the early period of subchondral fracture initiation, which can lead to an incomplete diagnosis.
Magnetic resonance imaging (MRI) is important diagnostically as it enables early detection of fractures and can differentiate repetitive stress fractures and insufficiency fractures. It has been hypothesized that undiagnosed and therefore untreated subchondral insufficiency instability may lead to procedural failure.2
A subchondral insufficiency fracture is a type of stress fracture that occurs below the articular cartilage, on the weight-bearing surface of a bone—in this context, the first metatarsal head. Subchondral insufficiency fractures occur when normal physiological forces are repeatedly applied to an area of bone compromised by nontumorous disease, resulting in fracture.
Stress fractures and insufficiency fractures can result in serious complications, including joint destruction. Therefore, it’s important to obtain a definitive diagnosis before formulating a reconstructive plan. Even though the results are similar, it is important to understand the difference between these fractures. Stress fractures result from abnormal stress on normal bone and are called fatigue fractures, resulting from repetitive stress associated with uncontrolled biomechanical imbalances. An insufficiency fracture is a type of stress fracture that results from normal stresses on abnormal bone. Those occurring in abnormal bone are insufficiency fractures and occur in patients with underlying metabolic syndromes and bone disease, including osteoporosis, which is the most common cause of insufficiency fractures.3 Oftentimes repetitive stress, faulty biomechanics and metabolic issues are all present, all increasing the risk of progressive destructive joint dysfunction and disease.
One should note that chronic joint inflammation is known to cause local osteoporosis in the subchondral bone (periarticular osteopenia).4 In healthy bone, there is a balance between resorption and formation. Inflammatory changes associated with inflammatory types of arthritis versus osteoarthritis adulterate this precious balance (cancellous bone being most affected). Inflammatory cytokines including tumor necrosis factor (TNF) alpha and interleukins have been the major suspects in the pathophysiology of both of these conditions. Whether mechanical forces “outside-in” (eg, wear and tear/microtrauma) and/or autoimmune inflammatory responses “inside-out” (eg, lymphocytic infiltrates, pannus and increased vascularization), stability of the subchondral bone complex is paramount in the presence of bone marrow lesions (trabecular fracture/nonunion).5
Classification Systems and Surgical Options
Clinically and radiographically, different classifications have been described to assess and treat this common condition, the most used of which is by Coughlin and Shurnas.1 The signs and symptoms of hallux rigidus depend on the degree of joint involvement. This ranges from mild pain just before toe-off to more severe ambulation dysfunction not limited to compensatory pain and pathology. Osteophytic proliferation surrounding the first MTPJ causes pain in shoes and worsens with heeled shoes.
There are many surgical options available to treat hallux rigidus, broadly grouped into 2 categories: joint salvage and joint destructive. Joint salvage procedures include cheilectomy and chondroplasty with or without subchondroplasty, various metatarsal and phalangeal osteotomies, and certain arthroplasty procedures, including soft tissue interposition. Joint destructive procedures include resection arthroplasties with or without implant and arthrodesis. From an ideal joint salvage perspective, an implant must stabilize the subchondral trabecular bone pathology with rigid fixation. Subchondroplasty may or may not safely stabilize the subchondral pathology as intended.6 Regarding other first MTPJ implants on the market: these procedures are typically are joint destructive in nature and fully compromise the subchondral bone complex.3
Case Study: A Painful and Stiff Great Toe Joint
A 44-year-old male patient presented with a painful and stiff right great toe joint that interferes with his everyday activities including being unable to walk his dog. His pain level, when seen by his local podiatrist in June 2020, was 9/10 on a visual analog scale. Nearly 2 years of conservative care, which included wider shoes/padding and orthotic management, yielded no improvement. He sought surgical management for this problem. Accordingly, his local podiatrist ordered an MRI without contrast of the area.
Physical exam findings at that visit in 2022 included dermatological, vascular, and neurological findings all within normal limits. Musculoskeletal findings included hypermobility at the first metatarsocuneiform joint and painful end-range dorsiflexion at the right first MTPJ in the with less than 5 degrees dorsiflexion upon weight-bearing.
Previous right foot X-ray findings included long and elevated first metatarsal with a large osteochondral defect of the central metatarsal head with eburnation and dorsal spurring consistent with moderate-to-severe primary osteoarthritis of the great toe joint (Stage 3 Coughlin and Shurnas classification).
The MRI without contrast showed severe osteoarthritic changes of the first MTPJ of the right foot with osteophytic lipping and stage III chondral wear and subchondral stress response.
A Closer Look at the Rationale for Surgical Reconstruction
It is evident that this patient’s biomechanical challenges could benefit from surgical intervention to improve function and reduce symptomatology of the right first MTPJ. Risks and prognosis were discussed in detail with the patient.
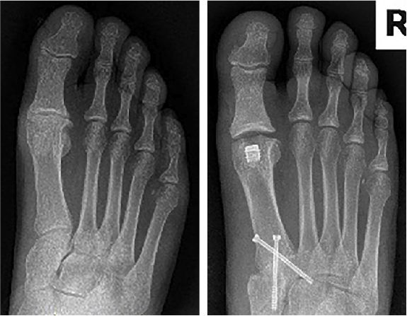
We decided to pursue a metatarsal-internal cuneiform arthrodesis with an insertion of a titanium hydroxyapatite-coated implant with attached dermal allograft (S-Core, Subchondral Solutions, Inc.), to stabilize his subchondral bone complex, reduce pain, and regenerate type II hyaline cartilage on his degenerative first metatarsal head. I explained to the patient that a joint destructive procedure could always take place as a last resort and that shortening and plantarflexion of his first ray will be mandatory for his procedural success, allowing adequate movement of the hallux on the first metatarsal.
We felt the S-Core implant was necessary to decompress the first metatarsal as well as stabilize the subchondral bone complex via intra-osseous rigid fixation and the assistance of a cylindrical decompression osteotomy through the subchondral pathology in question. The patient agreed with the surgical rationale and proceeded with the discussed procedures above.
A Guide to the Postoperative Course in This Case
The patient was strictly non-weight-bearing for 2 weeks postop then converted to partial weight-bearing for 4–6 weeks and full weight-bearing after 6–8 weeks (after fusion was apparent on plain film radiographs). A walker boot was utilized 24/7 during the entire 6–8 weeks and passive range of motion of his first MTPJ was initiated within 24 hours of surgery. He then converted to athletic shoes at 6–8 weeks. Physical therapy 3 times a week for 4 weeks began at 6 weeks postop after radiographic demonstration of consolidation of his arthrodesis.
Twelve-week X-rays revealed continued full consolidation of his first metatarsal-internal cuneiform arthrodesis, which allowed shortening and plantarflexing of the first ray. Joint space was increased in the first MTPJ with adequate bone removal noted. There was no implant subsidence or ectopic bone formation, the implant was stationary, and no movement evident. The patient was very pleased with the procedure and had very minimal swelling of his right foot at 12 weeks postop with a pain level is 2/10.
At 4 months postop we performed hardware removal (two 3.0-mm partially threaded cannulated cancellous screws) due to localized pain of the right midfoot only. Resolution of right midfoot pain occurred 2 weeks after this latest procedure.
Nearly 1 year postoperatively after the index procedure, the patient continues to do well, performing all activities of daily living with minimal-to-no discomfort.
Further Pointers on Addressing Subchondral Dysfunction
Some colleagues feel that the inclusion of MR imaging is uneconomical and unnecessary in the evaluation of hallux rigidus. Consequently, X-rays may underestimate the extent of pathology. Not identifying and addressing subchondral dysfunction when performing even a cheilectomy may be the true etiology of recurrence and long-term unsatisfactory results.2
Also, in regard to achieving motion at the first MTPJ with implant arthroplasty, the balance of the hallux flexor-extensor and abductor-adductor mechanisms and the insertion of the plantar aponeurosis into the proximal phalanx are critical to maintaining the stability of the first MTPJ.7,8 The compression and shear stress on the MTP joint during gait is dissipated by the dorsal gliding of the hallux on the MTPJ articulation.4,5 Total arthroplasty procedures that replace the metatarsal head are vulnerable to dorsally directed and shearing weight-bearing stresses, which lead to loosening and implant failure.5 Total or partial joint destructive procedures that replace the metatarsal head are vulnerable to dorsally directed and shearing weight-bearing stresses, which can lead to loosening and implant failure.7
Also, excessively long (as in this case study) and short first metatarsals have been found as predisposing factors in the literature for metatarsus primus elevatus and hallux rigidus. Therefore, the length of the first metatarsal should always be taken into account when performing corrective first metatarsal osteotomy in feet with hallux rigidus.9,10
In Conclusion
To restore function and reduce the pain of a patient scoring a grade 2–3 on the Coughlin/Shurnas Grading System, this author feels it is reasonable to use the S-Core platform technology in conjunction with a first metatarsal-internal cuneiform arthrodesis. This will optimize a favorable mechanical arrangement through dorsal gliding on the metatarsal head and preservation of the sesamoid attachments to the proximal phalanx. This mechanical advantage can occur because the implant is placed intraosseously and subarticularly within the subchondral space and does not interfere with the external supporting structures involving the first MTP joint.11,12 Shortening and plantarflexing the first metatarsal via an arthrodesis effectively decompresses the first MTPJ, which is also essential in restoring the motion of the first MTPJ and maintaining healthy stress on the S-Core implant while cartilage regeneration takes place.
Daniel S. Schulman, DPM, FACFAS, is a board-certified surgical podiatrist who has been practicing in the Phoenix Metro area for the past 25 years. His hospital affiliations include Banner Boswell Medical Center in Sun City, Banner Gateway in Mesa, and Honor Healthcare - Thompson Peak in Scottsdale. In July 2023 became the Director of Podiatry at IHMS.
References
- Coughlin MJ, Shurnas PS. Hallux rigidus: demographics, etiology, and radiographic assessment. Foot Ankle Int. 2003 Oct;24(10):731-43. doi: 10.1177/107110070302401002.
- Coughlin M, Ferkel R, Adams S, et al. Hallux rigidus: The Subchondral Bone Complex – It’s (sic) Role in the Long-term Success of Surgical Efforts. Subchondral Solutions. Available at https://tinyurl.com/bdfx5ve7.
- Shaker A. Stress and insufficiency fractures. Clinic Rev Bone Miner Metab. 2018;16:3–15
- Hillyard KCL, Shabbir S, Sirisena UN, Hogarth M, Sahu A. Insufficiency fractures: A rare cause of foot and ankle pain in three patients with rheumatoid arthritis. Radiol Case Rep. 2018;13(4):855-861. doi: 10.1016/j.radcr.2018.05.016. PMID: 30002787; PMCID: PMC6039983.
- Eriksen EF, Ringe JD. Bone marrow lesions: a universal bone response to injury? Rheumatol Int. 2012;32(3):575-84. doi: 10.1007/s00296-011-2141-2. Epub 2011 Sep 8. PMID: 21901347.
- Sharma A, Akoh CC, Parekh SG. Outcomes following subchondroplasty in the first metatarsal head. Foot Ankle Orthop. 2020;5(4):2473011420S00437. doi: 10.1177/2473011420S00437. PMCID: PMC8696398.
- Johnson KA, Buck PG. Total replacement arthroplasty of the first metatarsophalangeal joint. Foot Ankle. 1981;1(6):307-14. doi: 10.1177/107110078100100602. PMID: 7349856.
- Mann RA. Surgical implications of biomechanics of the foot and ankle. Clin Orthop. 1980; 146:111–118.
- Anwander H, Alkhatatba M, Lerch T, Schmaranzer F, Krause FG. Evaluation of radiographic features including metatarsus primus elevatus in hallux rigidus. J Foot Ankle Surg. 2022;61(4):831-835. doi: 10.1053/j.jfas.2021.11.027. Epub 2021 Dec 7. PMID: 34974984.
- Camasta CA. Radiographic evaluation and classification of metatarsus primus elevatus. Reconstructive Surgery of the Foot & Leg. Lippincott Williams & Wilkins; 1994.
- Townley CO, Taranow WS. A metallic hemiarthroplasty resurfacing prosthesis for the hallux metatarsophalangeal joint. Foot Ankle Int. 1994; 15:575–580.
- Blair MP, Brown LA. Hallux limitus/rigidus deformity: a new great toe implant. J Foot Ankle Surg. 1993; 32:257–262.


