Fibular Intramedullary Nails: Indications, Trends, and Recent Results
Ankle fractures are among the most common presentations to the emergency department, accounting for approximately 9% of all fractures.1 Mechanisms of injury range from a simple ground-level fall to a high-energy motor vehicle accident, posing a unique challenge to providers. The incidence of ankle fractures ranges from 140 to 187 per 100,000 people per year and is slated to increase, secondary to the growing geriatric population and increased participation in sporting activity.2,3 Men are more likely to suffer an ankle fracture in their younger years, whereas women more often sustain these injuries after age 50.2 Ankle fractures and their outcomes can be significantly influenced by several medical comorbidities, including obesity, smoking, diabetes, advanced age, and peripheral vascular disease.4
A multitude of complications comes with treating ankle fractures including, but not limited to, wound healing challenges, periprosthetic fractures, and morbidity due to non-weight-bearing status.5 These complications are especially present in the aforementioned comorbid patients. Additionally, reoperations for ankle fractures are common (11% Weber A, 37.8% Weber B, 51.2% Weber C),6 inducing an increased cost to the patient and health system, further anesthesia risk, and potentially more complications.5,6
To potentially reduce risks, surgeons have turned to the use of intramedullary (IM) fixation. This surgical modality has gained popularity in recent years; however, it has been performed for decades with success.7,8 Surgeons traditionally reserve IM fixation in the lower extremity for tibial and/or femoral fractures, hindfoot fusions, and revisional surgeries; however, its application in fibular fractures has garnered interest as of late.
Historically, open reduction and internal fixation (ORIF) has been the gold standard for surgically treating ankle fractures.9 ORIF offers advantages of achieving anatomic alignment and a stable, reliable framework for securing the fracture, utilizing the well-established AO techniques. Given the presence of comorbid conditions, some foot and ankle surgeons may lean towards a more conservative approach for minimally displaced or non-displaced ankle fractures.10
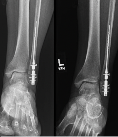
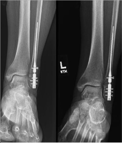
Is there a surgical approach that strikes a happy medium? In our experience, IM fixation for the fibula, while it may not follow the conventional AO techniques, is an appealing alternative to ORIF. Benefits include less anatomic dissection, less prominent hardware, and earlier time to weight-bearing versus the more traditional and historically implemented plate and screw construct.11 IM nails offer relative stability as they do not compress across the fracture site, which deviates from the primary fixation offered by the more traditional ORIF. IM fixation has mostly been reserved for the elderly, patients with diabetes or PVD, or those with significant soft tissue compromise, with the attractive advantages for both the surgeon and the patient. New literature has shed light on the effectiveness and expansion of the utility of IM fixation for fibular fractures (Figure 1).
Anatomic and Biomechanical Considerations
A potential concern with IM fibular nail placement is the ability to properly reduce the fracture(s) and/or visualize vital surrounding structures, avoiding inadvertent injury. An anatomic study revealed the fibular IM nail is effective in reducing fibular fractures in terms of rotation, length, and syndesmotic diastasis, but did not completely reduce translation.12 Some have found a minimally invasive approach to open reduction is sometimes necessary to adequately reduce fibular fractures, even with IM fibular rod placement.13 Another anatomic study, detailing the risk of injury to surrounding structures with IM nail placement into the fibula, found no significant injuries to the peroneal tendons or superficial peroneal nerve, which are the structures at highest risk of injury.14 This study also recommends a skin-only incision with blunt dissection down to bone (tip of the fibula) to avoid damage to these adjacent structures. The insertion point of the fibular nail is relatively safe anatomically and protects structures which may be at higher risk with traditional ORIF and its customary incisions.
The IM fibular nail allows for adaptability to place flexible or rigid trans-syndesmotic fixation through the nail itself. Of note, this feature was not present in first- and second-generation nails. As with traditional ORIF constructs, malreduction of the syndesmosis is also a concern with IM fibular nails.12 How does the fibular nail stack up compared to more traditional fixation in this regard? There is a poorer prognosis for ankle fracture repair following malreduction of the syndesmosis,15 so this question is of utmost importance as fibular nail placement indications are changing to a younger population.
Though not directly compared to plate fixation, Bastias and colleagues set out to investigate anatomic restoration of the syndesmosis using an IM fibular nail.12 They found this fixation method allows restoration of the anatomical parameters of the ankle in terms of fibular rotation, length, and syndesmotic diastasis. However, fibular translation had significant differences compared with the uninjured ankle based on bilateral computed tomography (CT) evaluation. In this study, it is worth mentioning rigid fixation was used through the fibular nail, which may have contributed to the syndesmotic malreduction. Flexible fixation, when compared to rigid trans-syndesmotic fixation, exhibits a lower syndesmotic malreduction rate.16 The ability to place flexible trans-syndesmotic fixation through the fibular nail may be advantageous. Additional head-to-head comparisons of syndesmotic reduction abilities of the nail and traditional plating/screws are still necessary. Based on the literature available,12 postoperative CT scans are recommended for proper evaluation of the syndesmotic reduction, should there be a concern.
Comparable biomechanical properties have been described between the fibular IM nail and the standard lateral plate fixation. Smith and colleagues compared ORIF to IM nail fixation and demonstrated the fibular nail had superior torque to failure and improved position maintenance versus traditional plating with a lag screw.17 This is advantageous, especially in a potentially nonadherent subset of patients who are feared to bear weight sooner than advised, or in patients who are unable to remain non-weight-bearing secondary to their age or comorbid conditions. It should be noted that in this study, the fibular nail group had trans-syndesmotic fixation placed where the plate group did not, potentially adding more inherent stability to this fixation construct. A similar study found the IM nail group had less external rotation stiffness in highly unstable ankle fractures.18 Syndesmotic diastasis was comparable between the fibular nail group and the plate group, both of which utilized a single trans-syndesmotic screw.19 Carter and colleagues demonstrated the load to failure was similar using a locking plate versus an intramedullary nail in unstable geriatric ankle fractures in a cadaveric biomechanical comparison.20
If biomechanically equivalent or superior, one should consider IM fibular fixation for displaced or unstable ankle fractures, though more evidence would be beneficial.
Indications and Contraindications for Fibular IM Nails
With the emergence of newer literature and technology, there appears to be expanding indications and narrowing contraindications for the fibular IM nail. Classically, descriptions of fibular nail utilization were of patients with ankle fractures and significant comorbidities, such as tobacco use, type 2 diabetes, peripheral neuropathy, end-stage renal disease, alcoholism, and osteoporosis.21-23 Additionally, those patients may be of advanced age, have skin compromise (i.e., fracture blisters, extreme swelling), or involve a general concern for nonadherence. ORIF has traditionally been reserved for younger, active patients, Weber C, pronation external rotation (PER) injuries, trimalleolar fractures, and comminuted fibular fractures.24
Diabetes. Patients with diabetes are at increased risk for wound healing complications and loss of fracture fixation with standard ORIF.25,26 When feasible, physicians may choose nonoperative management for this demographic, and subsequent delays in healing or further ankle deformity may occur.27 As already discussed, less dissection of the soft tissue envelope and a small incision are benefits of the fibular nail. There is less periosteal stripping, which provides better local blood delivery to the fracture site itself.28 Ashman and colleagues found low reoperation rates for wound healing issues, low complication rates, and favorable functional outcomes in patients with diabetes with unstable ankle fractures.29 Studies theorize the utility of the fibular IM nail in patients with diabetes,21,22,29 but these authors were unable to find any studies with a direct comparison of fibular IM nail to ORIF or nonoperative management. This warrants future comparative studies in this patient population.
High energy trauma. High-energy and/or unstable fractures have not typically been fixated with fibular IM nails; however, we find some recent literature supports this approach in those with the aforementioned comorbidities and risks.22 Overall maintenance of IM nail alignment has been of some concern; thus additional adjunctive fixation can be considered in those with syndesmotic injuries or unstable ankle fractures.22 Although there appear to be numerous indications for the fibular nail, there is no literature to date discussing its utility in comminuted distal fibular fractures. Rather, a spanning bridge plate is the historically accepted choice for these types of fractures.
Emerging literature is beginning to change the indications for the fibular IM rod for some providers, including in pilon and other unstable ankle fractures.22,30 Faber and colleagues demonstrated comparable outcomes with the use of fibular IM nails in lieu of lateral plating for pilon fractures.30 However, further studies are needed to establish a direct comparison between standard plating and the use of a fibular nail for pilon and other high-energy fracture patterns, as there is a paucity of literature. The potential advantages of the IM nail in high-energy traumas are worth discussing. With the inherent risk of skin compromise due to excessive swelling or open fractures, the IM nail may be a viable alternative for fibular fixation to help preserve the already compromised soft tissue envelope. Hopefully, future studies will explore using the fibular nail to treat unstable and high-energy ankle fractures as we continue to broaden the scope of use. Less is known in regard to IM fibular nail use in Weber C ankle fractures, as most of the available literature discusses Weber A and B fractures only. Further studies on using the fibular IM nail in Weber C fractures would also be valuable.
Elderly patients. The geriatric population is one of the most classically described populations for use of the fibular IM nail. The nail offers less dissection through brittle skin and leaves a smaller wound to heal, less operating room time, and ultimately less anesthesia risk.31 Those of advanced age exhibit significantly higher rates of postop delirium, cognitive dysfunction, and increased morbidity and mortality.32 Secondly, the nail offers earlier ambulation, even potential immediate weight-bearing, which may decrease fall risk and skilled nursing requirements and provides a stable construct.33 With this in mind, the fibular nail may decrease insufficiency fracture-related morbidity and mortality in this demographic.
The incidence of geriatric fractures increases with rising age.1 There are relatively low surgical complication rates for fibular fractures, but there is substantially increased 1-year mortality in both nonoperative and operative groups after a fibular fracture.1 Nonoperative management of geriatric fibular fractures had a 2-fold increase in mortality, with operative intervention having a protective effect compared to the conservative group.1 However, providers may have reserved conservative management for frailer, more comorbid individuals with a higher baseline risk of morbidity and mortality.
Locking plates are typically utilized for osteopenic and osteoporotic bone, though this does require significantly more dissection and risks wound healing complications. One option to avoid significant dissection is minimally invasive plate osteosynthesis (MIPO), which has shown promising results in this population.34 There is minimal literature showing direct comparisons between MIPO and IM nails, though current studies show that IM fibular nailing has significantly lower wound healing complications but may not reduce the fracture rotation completely.35,36 Also, MIPO still requires adequate edema control preop, which may delay surgery and pose additional risk. Barlow and colleagues showed early weight-bearing had a significant effect on the patient’s ability to maintain independent living and likelihood to return home.37 This would have a great impact on their overall physical and emotional well-being postop, ideally decreasing morbidity and mortality in the elderly population.
Pediatric patients. Of note, there is a paucity of literature to describe the use of IM nailing for pediatric fibular fractures. Odéhouri-Koudou and team showed satisfactory results of IM nailing in various locations, including the fibula, in children.38 However, the sample size was small and there was no direct comparison between the nail and traditional plating. Further studies to evaluate the IM nail in pediatric ankle fractures requiring operation would be of future interest, though we understand the indications in this population are likely scarce.
Comparing Plates With IM Nails
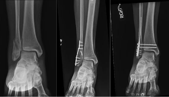
The key question is then, how does the IM nail compare to a more traditional plate and screw construct for fibular fractures? Numerous studies compare the approaches, most of them very recent, as this technique has garnered popularity. Overall, the literature consistently shows lower complication rates with the fibular IM nail.31,39-41 A 2022 level 1 study found sufficient quality of evidence in the current studies available to conclude that there is no clinical difference between the IM nail and ORIF 12 months postoperatively.42 With that being said, there were reduced complications with the IM nail as previously discussed, and no difference in union rates42 (Figure 2).
As previously discussed, multiple demographics may find benefit with the fibular IM nail, especially those at high risk.22 In contrast, a 2021 retrospective comparative study looked at patients between 18 and 50 years old with AO-OTA 44B or C fractures (Weber B and C included) who participated in sports or higher-level activities.43 They found the IM nail group had poorer radiographic reduction on CT compared to ORIF, especially in Weber C, PER, trimalleolar, and comminuted fibula injuries. Although reduction was not as good with the fibular nail, there were significantly fewer complications and there were no differences in clinical outcomes between groups. While the IM nail may not always provide the same reduction as ORIF, the clinical outcomes differences are negligible indicating the IM nail is an adequate option compared to ORIF in young, active patients.44 Of note, we suspect newer advances in fibular IM fixation will aid in correcting these downfalls and continue to provide adequate patient satisfaction, currently supported by recent literature.20,45-50
At this time, plate fixation does appear to be superior for anatomic reduction as discussed,41 but further studies are required to assess for any significant long-term negative sequelae after IM fixation of the fibula. Overall, there is a lower risk of implant removal, lower complications, and earlier return to weight-bearing in the appropriate patient with IM fixation of distal fibular fractures.49,51-53 Newer literature suggests the possibility of achieving sufficient syndesmotic stabilization through the utilization of IM fixation, thereby potentially broadening its already expanding range of indications.12,54
Additionally, the IM nail has not been shown to have a higher learning curve compared to standard fixation,11 making its ease of use an added benefit. Lastly, as discussed as a benefit within the geriatric population, early return to weight bearing gets our patients back on their feet.
In Conclusion
We believe IM nailing for stabilization of fibular fractures should be in the surgeon’s armamentarium for fixation options. The fibular nail offers less dissection, lower complication rates, earlier weight-bearing, and adequate reduction and stabilization of fibula fractures with good functional outcomes. Newer literature hints at our ability to push the boundaries for the use of these nails in high-energy and unstable ankle fractures and in patterns with syndesmotic instability. Multiple studies show similar, if not superior, overall results in a head-to-head comparison between the fibular nail and ORIF of fibular fractures. Further literature on pediatric patients, Weber C, PER, and comminuted fibular fractures are required to adequately analyze its utility in these populations as well as long-term follow-up results.
Our goal with this article is not to advocate for the use of fibular IM nails, as this will be at the surgeon’s discretion, but rather our intention is to highlight the current literature, recent trends, and outcomes with this fixation method.
Ian Barron, DPM, FACFAS, is a board certified foot and reconstructive rearfoot/ankle surgeon. He practices at Gentle Foot Care - A Division of Ohio Foot & Ankle Specialists.
References
- Bariteau JT, Hsu RY, Mor V, Lee Y, DiGiovanni CW, Hayda R. Operative versus nonoperative treatment of geriatric ankle fractures: a Medicare Part A claims database analysis. Foot Ankle Int. 2015 Jun;36(6):648-55. doi: 10.1177/1071100715573707. Epub 2015 Feb 24. PMID: 2571211
- Daly PJ, Fitzgerald RH Jr, Melton LJ, Ilstrup DM. Epidemiology of ankle fractures in Rochester, Minnesota. Acta Orthop Scand. 1987 Oct;58(5):539-44. doi: 10.3109/17453678709146395. PMID: 3425285
- Vanderkarr MF, Ruppenkamp JW, Vanderkarr M, Parikh A, Holy CE, Putnam M. Incidence, costs and post-operative complications following ankle fracture - A US claims database analysis. BMC Musculoskelet Disord. 2022 Dec 26;23(1):1129. doi: 10.1186/s12891-022-06095-x. PMID: 36567314; PMCID: PMC9791722
- Beahrs TR, Reagan J, Bettin CC, Grear BJ, Murphy GA, Richardson DR. Smoking effects in foot and ankle surgery: an evidence-based review. Foot Ankle Int. 2019 Oct;40(10):1226-1232. doi: 10.1177/1071100719867942. Epub 2019 Aug 18. PMID: 31423824.
- Mehta SS, Rees K, Cutler L, Mangwani J. Understanding risks and complications in the management of ankle fractures. Indian J Orthop. 2014 Sep;48(5):445-52. doi: 10.4103/0019-5413.139829. PMID: 25298549; PMCID: PMC4175856
- Macera A, Carulli C, Sirleo L, Innocenti M. Postoperative complications and reoperation rates following open reduction and internal fixation of ankle fracture. Joints. 2018 May 21;6(2):110-115. doi: 10.1055/s-0038-1653949. PMID: 30051108; PMCID: PMC6059857.
- Harvey FJ, Hodgkinson AH, Harvey PM. Intramedullary nailing in the treatment of open fractures of the tibia and fibula. J Bone Joint Surg Am. 1975 Oct;57(7):909-15. PMID: 1194302.
- Lottes JO. Blind nailing technique for insertion of the triflange medullar nail: report of three hundred nailings for fractures of the shaft of the tibia. JAMA. 1954;155(12):1039–1042. doi:10.1001/jama.1954.03690300017004
- Rydberg EM, Zorko T, Sundfeldt M, Möller M, Wennergren D. Classification and treatment of lateral malleolar fractures - a single-center analysis of 439 ankle fractures using the Swedish Fracture Register. BMC Musculoskelet Disord. 2020 Aug 5;21(1):521. doi: 10.1186/s12891-020-03542-5. PMID: 32758193; PMCID: PMC7409659.
- Baertl S, Alt V, Rupp M. Surgical enhancement of fracture healing - operative vs. nonoperative treatment. Injury. 2021 Jun;52 Suppl 2:S12-S17. doi: 10.1016/j.injury.2020.11.049. Epub 2020 Nov 17. PMID: 33234264.
- Bäcker HC, Vosseller JT. Fibular nail fixation: topical review. Foot Ankle Int. 2019 Nov;40(11):1331-1337. doi: 10.1177/1071100719864593. Epub 2019 Aug 18. PMID: 31423821
- Bastías GF, Bravo F, Astudillo C, et al. Restoration of anatomic parameters and syndesmotic reduction after intramedullary nailing of distal fibular fractures. Foot Ankle Orthop. 2022 Dec 8;7(4):24730114221141388. doi: 10.1177/24730114221141388. PMID: 36518921; PMCID: PMC9742579.
- Rehman H, Gardner WT, Rankin I, Johnstone AJ. The implants used for intramedullary fixation of distal fibula fractures: A review of literature. Int J Surg. 2018 Aug;56:294-300. doi: 10.1016/j.ijsu.2018.06.019. Epub 2018 Jun 28. PMID: 29964180.
- Goss DA Jr, Reb CW, Philbin TM. Anatomic structures at risk when utilizing an intramedullary nail for distal fibular fractures: a cadaveric study. Foot Ankle Int. 2017 Aug;38(8):916-920. doi: 10.1177/1071100717709572. Epub 2017 May 24. PMID: 28539054.
- Sagi HC, Shah AR, Sanders RW. The functional consequence of syndesmotic joint malreduction at a minimum 2-year follow-up. J Orthop Trauma. 2012 Jul;26(7):439-43. doi: 10.1097/BOT.0b013e31822a526a. PMID: 22357084.
- Sanders D, Schneider P, Taylor M, Tieszer C, Lawendy AR; Canadian Orthopaedic Trauma Society. Improved reduction of the tibiofibular syndesmosis with TightRope compared with screw fixation: results of a randomized controlled study. J Orthop Trauma. 2019 Nov;33(11):531-537. doi: 10.1097/BOT.0000000000001559. PMID: 31633643.
- Smith G, Mackenzie SP, Wallace RJ, Carter T, White TO. Biomechanical comparison of intramedullary fibular nail versus plate and screw fixation. Foot Ankle Int. 2017 Dec;38(12):1394-1399. doi: 10.1177/1071100717731757. Epub 2017 Oct 3. PMID: 28971694.
- Kohler FC, Schenk P, Nies T, et al. Fibula nail versus locking plate fixation-a biomechanical study. J Clin Med. 2023 Jan 16;12(2):698. doi: 10.3390/jcm12020698. PMID: 36675627; PMCID: PMC9862725.
- Switaj PJ, Fuchs D, Alshouli M, et al. A biomechanical comparison study of a modern fibular nail and distal fibular locking plate in AO/OTA 44C2 ankle fractures. J Orthop Surg Res. 2016 Sep 15;11(1):100. doi: 10.1186/s13018-016-0435-5. PMID: 27628500; PMCID: PMC5024498.
- Carter TH, Wallace R, Mackenzie SA, Oliver WM, Duckworth AD, White TO. The fibular intramedullary nail versus locking plate and lag screw fixation in the management of unstable elderly ankle fractures: a cadaveric biomechanical comparison. J Orthop Trauma. 2020 Nov;34(11):e401-e406. doi: 10.1097/BOT.0000000000001814. PMID: 33065664.
- Dabash S, Eisenstein ED, Potter E, Kusnezov N, Thabet AM, Abdelgawad AA. Unstable ankle fracture fixation using locked fibular intramedullary nail in high-risk patients. J Foot Ankle Surg. 2019 Mar;58(2):357-362. doi: 10.1053/j.jfas.2018.08.033. Epub 2019 Jan 3. PMID: 30612876.
- Albana MF, Jimenez ML, Brill BJ, Principe MJ, Quercetti NF 3rd. Indications for retrograde intramedullary screw fixation of the distal fibula: a retrospective cohort series. OTA Int. 2022 Oct 13;5(4):e216. doi: 10.1097/OI9.0000000000000216. PMID: 36569110; PMCID: PMC9782339.
- Huang CW, Wu WT, Yu TC, Chen IH, Wang JH, Yeh KT. Retrograde intramedullary Kirschner wire fixation as an alternative for treating distal fibular shaft fractures combined with distal tibial pilon fractures. J Pers Med. 2022 Jul 10;12(7):1124. doi: 10.3390/jpm12071124. PMID: 35887621; PMCID: PMC9315716.
- Kho DH, Cho BK, Choi SM. Midterm outcomes of unstable ankle fractures in young patients treated by closed reduction and fixation with an intramedullary fibular nail vs open reduction internal fixation using a lateral locking plate. Foot Ankle Int. 2021 Nov;42(11):1469-1481. doi: 10.1177/10711007211017470. Epub 2021 Jun 29. PMID: 34184908.
- Chaudhary SB, Liporace FA, Gandhi A, et al. Complications of ankle fracture in patients with diabetes. J Am Acad Orthop Surg. 2008;16:159–170.
- McCormack RG, Leith JM. Ankle fractures in diabetics. Complications of surgical management. J Bone Joint Surg [Br]. 1998;80-B:689–692.
- Miller AG, Margules A, Raikin SM. Risk factors for wound complications after ankle fracture surgery. J Bone Joint Surg Am. 2012 Nov 21;94(22):2047-52. doi: 10.2106/JBJS.K.01088. PMID: 23172322
- Bong MR, Kummer FJ, Koval KJ, Egol KA. Intramedullary nailing of the lower extremity: biomechanics and biology. J Am Acad Orthop Surg. 2007;15:97–106.
- Ashman BD, Kong C, Wing KJ, Penner MJ, Bugler KE, White TO, Younger AS. Fluoroscopy-guided reduction and fibular nail fixation to manage unstable ankle fractures in patients with diabetes: a retrospective cohort study. Bone Joint J. 2016 Sep;98-B(9):1197-201. doi: 10.1302/0301-620X.98B9.37140. PMID: 27587520
- Faber RM, Parry JA, Haidukewych GH, Koval KJ, Langford JL. Complications after fibula intramedullary nail fixation of pilon versus ankle fractures. J Clin Orthop Trauma. 2021 Jan 7;16:75-79. doi: 10.1016/j.jcot.2020.12.025. PMID: 33717942; PMCID: PMC7920162.
- White TO, Bugler KE, Appleton P, Will E, McQueen MM, Court-Brown CM. A prospective randomised controlled trial of the fibular nail versus standard open reduction and internal fixation for fixation of ankle fractures in elderly patients. Bone Joint J. 2016 Sep;98-B(9):1248-52. doi: 10.1302/0301-620X.98B9.35837. PMID: 27587528.
- Strøm C, Rasmussen LS, Sieber FE. Should general anaesthesia be avoided in the elderly? Anaesthesia. 2014 Jan;69 Suppl 1(Suppl 1):35-44. doi: 10.1111/anae.12493. PMID: 24303859; PMCID: PMC5207212.
- Zyskowski M, Wurm M, Greve F, et al. A prospective randomized study comparing functional outcome in distal fibula fractures between conventional AO semitubular plating and minimal invasive intramedullary “photodynamic bone stabilization.” J Clin Med. 2022 Dec 2;11(23):7178. doi: 10.3390/jcm11237178. PMID: 36498750; PMCID: PMC9736249.
- Luong K, Huchital MJ, Saleh AM, Subik M. Management of distal fibular fractures with minimally invasive technique: a systematic review. J Foot Ankle Surg. 2021 Jan-Feb;60(1):114-120. doi: 10.1053/j.jfas.2020.05.017. Epub 2020 Jun 7. PMID: 33172782.
- Wang B, Zhao Y, Wang Q, et al. Minimally invasive percutaneous plate osteosynthesis versus intramedullary nail fixation for distal tibial fractures: a systematic review and meta-analysis. J Orthop Surg Res. 2019 Dec 21;14(1):456. doi: 10.1186/s13018-019-1479-0. PMID: 31864398; PMCID: PMC6925456.
- Liu XK, Xu WN, Xue QY, Liang QW. Intramedullary nailing versus minimally invasive plate osteosynthesis for distal tibial fractures: a systematic review and meta-analysis. Orthop Surg. 2019 Dec;11(6):954-965. doi: 10.1111/os.12575. PMID: 31823496; PMCID: PMC6904655.
- Barlow C, Duggleby L, Barton T. Early weight bearing in elderly patients with ankle fractures reduces care needs and maintains independence. Foot Ankle Surg. 2023 Jan;29(1):63-66. doi: 10.1016/j.fas.2022.09.006. Epub 2022 Sep 21. PMID: 36175269.
- Odéhouri-Koudou TH, Gouli JC, Kreh JB, Tembély S, Ouattara O, Dick KR. Elastic stable intramedullary nailing in paediatric traumatology at Yopougon Teaching Hospital (Abidjan). Afr J Paediatr Surg. 2011 May-Aug;8(2):155-8. doi: 10.4103/0189-6725.86052. PMID: 22005355.
- Asloum Y, Bedin B, Roger T, Charissoux JL, Arnaud JP, Mabit C. Internal fixation of the fibula in ankle fractures: a prospective, randomized and comparative study: plating versus nailing. Orthop Traumatol Surg Res. 2014 Jun;100(4 Suppl):S255-9. doi: 10.1016/j.otsr.2014.03.005. Epub 2014 Apr 4. PMID: 24709304.
- Guo W, Wu F, Chen W, Tian K, Zhuang R, Pan Y. Can Locked fibula nail replace plate fixation for treatment of acute ankle fracture? A systematic review and meta-analysis. J Foot Ankle Surg. 2023 Jan-Feb;62(1):178-185. doi: 10.1053/j.jfas.2022.10.003. Epub 2022 Oct 13. PMID: 36333182.
- Zawam SH, Mabrouk MG, El-Desouky MA. Lateral malleolar fractures Weber Type A and B: does percutaneous intramedullary screw confer a solid alternative to the traditional neutralization plate? Int Orthop. 2022 Sep;46(9):2127-2134. doi: 10.1007/s00264-022-05425-x. Epub 2022 May 16. PMID: 35575804; PMCID: PMC9372115.
- Walsh JP, Hsiao MS, LeCavalier D, McDermott R, Gupta S, Watson TS. Clinical outcomes in the surgical management of ankle fractures: A systematic review and meta-analysis of fibular intramedullary nail fixation vs. open reduction and internal fixation in randomized controlled trials. Foot Ankle Surg. 2022 Oct;28(7):836-844. doi: 10.1016/j.fas.2022.03.009. Epub 2022 Mar 24. PMID: 35339374.
- Kho DH, Cho BK, Choi SM. Midterm outcomes of unstable ankle fractures in young patients treated by closed reduction and fixation with an intramedullary fibular nail vs open reduction internal fixation using a lateral locking plate. Foot Ankle Int. 2021 Nov;42(11):1469-1481. doi: 10.1177/10711007211017470. Epub 2021 Jun 29. PMID: 34184908.
- Umbel BD, Sharpe BD, Reynolds C, Philbin TM. Intramedullary fixation of distal fibula fractures. Foot Ankle Spec. 2023 Apr;16(2):104-112. doi: 10.1177/1938640021991735. Epub 2021 Mar 6. PMID: 33682466.
- Al-Obaidi B, Wiik AV, Bhattacharyya R, Mushtaq N, Bhattacharya R. Fibular nails for open and closed ankle fractures: Results from a non-designer level I major trauma centre. J Orthop Surg (Hong Kong). 2019 Jan-Apr;27(1):2309499019832420. doi: 10.1177/2309499019832420. PMID: 30803314.
- Coifman O, Bariteau JT, Shazar N, Tenenbaum SA. Lateral malleolus closed reduction and internal fixation with intramedullary fibular rod using minimal invasive approach for the treatment of ankle fractures. Foot Ankle Surg. 2019 Feb;25(1):79-83. doi: 10.1016/j.fas.2017.08.008. Epub 2017 Sep 7. PMID: 29409300.
- Wordie SJ, Carter TH, MacDonald D, Duckworth AD, White TO. Percutaneous fixation of posterior malleolar fractures in patients with unstable ankle fractures treated with a fibular intramedullary nail: a description of a technique and review of outcomes. J Orthop Trauma. 2022 Apr 1;36(4):195-200. doi: 10.1097/BOT.0000000000002262. PMID: 34483324.
- Attia AK, Fayed A, Mahmoud K, Labib SA, Aydogan U, Juliano P. Locked intramedullary nailing provides superior functional outcomes and lower complication rates than plate fixation of distal fibula fractures. A systematic review and meta-analysis of comparative studies. Foot Ankle Surg. 2022 Oct;28(7):986-994. doi: 10.1016/j.fas.2022.02.005. Epub 2022 Feb 12. PMID: 35184992
- Hodgkins CW, Fleites J. Fibula Nailing: A retrospective review of 110 consecutive FibuLock Nails. J Orthop Trauma. 2022 Jul 1;36(7):366-369. doi: 10.1097/BOT.0000000000002329. PMID: 34962238.
- Schumann J, Burgess B, Ryan D, Garras D. A retrospective analysis of distal fibula fractures treated with intramedullary fibular nail fixation. J Foot Ankle Surg. 2023 Jul-Aug;62(4):737-741. doi: 10.1053/j.jfas.2023.03.005. Epub 2023 Mar 24. PMID: 36966965.
- McClure TT, Taylor BC, Huber G, Glazier M, Myers DM, DeGenova DT. Intramedullary screw fixation versus traditional plating for distal fibula fractures. J Foot Ankle Surg. 2023 Mar-Apr;62(2):355-359. doi: 10.1053/j.jfas.2022.09.003. Epub 2022 Sep 21. PMID: 36280403.
- Tas DB, Smeeing DPJ, Emmink BL, et al. Intramedullary fixation versus plate fixation of distal fibular fractures: a systematic review and meta-analysis of randomized controlled trials and observational studies. J Foot Ankle Surg. 2019 Jan;58(1):119-126. doi: 10.1053/j.jfas.2018.08.028. PMID: 30583773.
- Raj V, Barik S, Richa. Distal fibula fractures-intramedullary fixation versus plating: a systematic review and meta-analysis of randomized control trials. Foot Ankle Spec. 2022 Aug 24:19386400221118470. doi: 10.1177/19386400221118470. Epub ahead of print. PMID: 36004427
- Rushing CJ. Ankle fracture fixation using a novel flexible intramedullary fibular nail and alignment guide affording syndesmotic re-alignment along the centroidal axis. Foot Ankle Surg Techniques Reports Cases. 2023;3(4):100271


