Skip to main content

Volume 37 - Issue 1 - January, 2025

Featured Article

Original Contribution
07/29/2024
Alexander C. Egbe, MD, MPH, MS; William R. Miranda, MD; C. Charles Jain, MD; Heidi M. Connolly, MD
The purpose of this study was to compare cardiac hemodynamics and prevalence of HFpEF between coarctation of aorta patients with vs without obesity, and to assess the relationship between obesity and HFpEF in this population.
The purpose of this study was to compare cardiac hemodynamics and prevalence of HFpEF between coarctation of aorta patients with vs without obesity, and to assess the relationship between obesity and HFpEF in this population.
The purpose of this study was to...
07/29/2024
Journal of Invasive Cardiology
Original Contribution
08/19/2024
Louis Verreault-Julien, MD, MPH; Israth Jahan, BSc; Nandini Dendukuri, PhD; Luiz F. Ybarra, MD, MBA; Samer Mansour, MD; Alexis Matteau, MD; Harinda C. Wijeysundera, MD, PhD; Anthony Fung, MBBS; Simon Robinson, MD; Jean-Michel Paradis, MD; Can Manh Nguyen, MD; Stéphane Rinfret, MD, SM
Chronic total occlusion percutaneous coronary intervention can be performed using an antegrade-only approach or a retrograde approach (RA). Whether an RA carries a higher risk of complications needs further investigation.
Chronic total occlusion percutaneous coronary intervention can be performed using an antegrade-only approach or a retrograde approach (RA). Whether an RA carries a higher risk of complications needs further investigation.
Chronic total occlusion...
08/19/2024
Journal of Invasive Cardiology
Brief Communication
08/14/2024
Ramya C. Mosarla, MD; Hamza Ahmed, BS; Shaline D. Rao, MD; Bernard S. Kadosh, MD; Jennifer A. Cruz, DO; Randal I. Goldberg, MD; Tajinderpal Saraon, MD; Bruce E. Gelb, MD; Aprajita Mattoo, MD; Sunil V. Rao, MD; Sripal Bangalore, MD, MHA
The authors characterize radial artery patency after distal transradial access in patients with advanced chronic kidney disease in a retrospective, single-center, real-world study and compare outcomes with that of the largest published...
The authors characterize radial artery patency after distal transradial access in patients with advanced chronic kidney disease in a retrospective, single-center, real-world study and compare outcomes with that of the largest published...
The authors characterize radial...
08/14/2024
Journal of Invasive Cardiology
Original Contribution
08/14/2024
Shinya Nagayoshi, MD; Shinya Fujii, MD, PhD; Takashi Miyamoto, MD, PhD; Makoto Muto, MD, PhD
The authors evaluated the success rate of lesion passage using the precedent intravascular ultrasound technique for total occlusion lesions of pulmonary arteries and to evaluate the improvement in remote blood flow in cases of initially...
The authors evaluated the success rate of lesion passage using the precedent intravascular ultrasound technique for total occlusion lesions of pulmonary arteries and to evaluate the improvement in remote blood flow in cases of initially...
The authors evaluated the...
08/14/2024
Journal of Invasive Cardiology
Original Contribution
08/09/2024
Michaella Alexandrou, MD; Athanasios Rempakos, MD; Deniz Mutlu, MD; Ahmed Al-Ogaili, MD; Pedro E.P. Carvalho, MD; Dimitrios Strepkos, MD; James W. Choi, MD; Paul Poommipanit, MD; Khaldoon Alaswad, MD; Mir Babar Basir, DO; Rhian Davies, DO, MS; Farouc A. Jaffer, MD, PhD; Philip Dattilo, MD; Anthony H. Doing, MD; Lorenzo Azzalini, MD, PhD, MSc; Nazif Aygul, MD; Raj Chandwaney, MD; Brian K. Jefferson, MD; Sevket Gorgulu, MD; Jaikirshan J. Khatri, MD; Laura D. Young, MD; Oleg Krestyaninov, MD; Dmitrii Khelimskii, MD; Jarrod Frizzell, MD; Omer Goktekin, MD; James D. Flaherty, MD; Daniel R. Schimmel, MD, MS; Keith H. Benzuly, MD; Mahmut Uluganyan, MD; Ramazan Ozdemir, MD; Yousif Ahmad, MRCP, PhD, FSCAI, FACC, BMBS; Bavana V. Rangan, BDS, MPH; Olga C. Mastrodemos, BA; M. Nicholas Burke, MD; Konstantinos Voudris, MD; Yader Sandoval, MD; Emmanouil S. Brilakis, MD, PhD
The authors examined a multicenter registry of CTO PCI to explore the prevalence of peripheral artery disease and its effects on techniques used during the procedure and in-hospital outcomes.
The authors examined a multicenter registry of CTO PCI to explore the prevalence of peripheral artery disease and its effects on techniques used during the procedure and in-hospital outcomes.
The authors examined a...
08/09/2024
Journal of Invasive Cardiology
Clinical Images
08/07/2024
Richard Tanner, MD; Francesca R. Prandi, MD; Gilbert H.L. Tang, MD, MSc, MBA; Ismail El-Hamamsy, MD, PhD; Barry A. Love, MD; Lucy M. Safi, DO; Samin K. Sharma, MD; Stamatios Lerakis, MD, PhD; Annapoorna S. Kini, MD
A 39-year-old man with Shone complex presented with acute decompensated heart failure. He had undergone 4 previous sternotomies and a 23-mm Sapien XT transcatheter aortic valve replacement for severe bioprosthetic aortic regurgitation in 2014.
A 39-year-old man with Shone complex presented with acute decompensated heart failure. He had undergone 4 previous sternotomies and a 23-mm Sapien XT transcatheter aortic valve replacement for severe bioprosthetic aortic regurgitation in 2014.
A 39-year-old man with Shone...
08/07/2024
Journal of Invasive Cardiology
Clinical Images
08/05/2024
Ahmed Al-Ogaili, MD; Emmanouil S. Brilakis, MD, PhD, FACC, FAHA, FESC, FSCAI
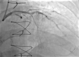
A 73-year-old man presented with exertional angina and anterior ischemia on stress testing. He had undergone prior coronary artery bypass surgery and multiple percutaneous coronary interventions.
A 73-year-old man presented with exertional angina and anterior ischemia on stress testing. He had undergone prior coronary artery bypass surgery and multiple percutaneous coronary interventions.
A 73-year-old man presented with...
08/05/2024
Journal of Invasive Cardiology
Clinical Images
07/30/2024
Kyriakos Dimitriadis, MD, PhD; Eirini Beneki, MD, MSc, PhD(c); Konstantinos Aznaouridis, MD, PhD; Constantina Aggeli, MD, PhD; Konstantinos Tsioufis, MD, PhD
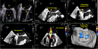
A 75-year-old woman with a history of heart failure was referred for dyspnea upon exertion due to severe mitral regurgitation.
A 75-year-old woman with a history of heart failure was referred for dyspnea upon exertion due to severe mitral regurgitation.
A 75-year-old woman with a...
07/30/2024
Journal of Invasive Cardiology
Clinical Images
07/30/2024
Pablo González Alirangues, MD; Roberto del Castillo Medina, MD; Carlos García Jiménez, MD; Javier Botas Rodríguez, MD, PhD
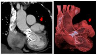
The authors present the case of a patient who was admitted for a non-ST-elevation myocardial infarction caused by an left ventricular outflow tract pseudoaneurysm, resulting in coronary systolic compression.
The authors present the case of a patient who was admitted for a non-ST-elevation myocardial infarction caused by an left ventricular outflow tract pseudoaneurysm, resulting in coronary systolic compression.
The authors present the case of...
07/30/2024
Journal of Invasive Cardiology
Clinical Images
07/26/2024
Richard Casazza, MAS; David J. Epstein, MD; Nicole DeLeon, MD; Enrico Montagna, RT (CI); Isa Sarro; Arsalan Hashmi, MD
The authors present a 54-year-old woman with a medical history of opioid addiction, anxiety disorder, and current cigarette smoker who presented to the hospital via Emergency Medical Service after an episode of syncope at home.
The authors present a 54-year-old woman with a medical history of opioid addiction, anxiety disorder, and current cigarette smoker who presented to the hospital via Emergency Medical Service after an episode of syncope at home.
The authors present a...
07/26/2024
Journal of Invasive Cardiology