Stentectomy by an Entrapped Rotational Atherectomy Burr
© 2024 HMP Global. All Rights Reserved.
Any views and opinions expressed are those of the author(s) and/or participants and do not necessarily reflect the views, policy, or position of the Journal of Invasive Cardiology or HMP Global, their employees, and affiliates.
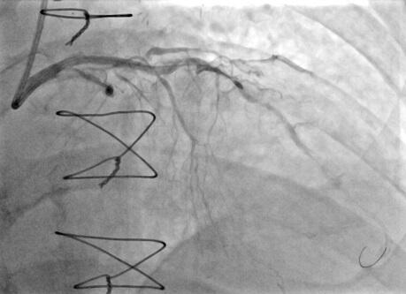
A 73-year-old man presented with exertional angina and anterior ischemia on stress testing. He had undergone prior coronary artery bypass surgery and multiple percutaneous coronary interventions (PCI). Coronary angiography demonstrated multiple severe and heavily calcified stenoses in the mid- and distal left anterior descending artery (LAD) within previously implanted stents (Figure 1, Video 1).
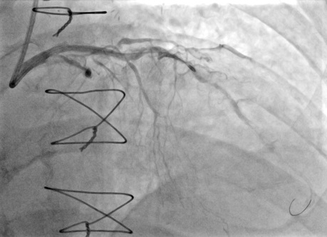
He was referred for PCI, however, despite maximizing support with a guide catheter extension, the mid-LAD could not be crossed even with 1.0-mm balloons. Rotational atherectomy was performed with a 1.5-mm Rotablator burr over a Rota-Floppy guidewire (Boston Scientific) at 160 000 rpm, causing ST-segment elevation due to no reflow. After successful treatment of no reflow with aspiration through a Penumbra catheter and administration of intracoronary nicardipine and adenosine, repeat rotational atherectomy was performed and the LAD lesions were successfully crossed. Upon withdrawal, the burr became entrapped in the mid-LAD within a stented segment (Figure 2, Video 2). Removing the burr by pulling on Dynaglide mode was not successful. We cut the shaft of the burr and advanced a guide catheter extension over the burr into the mid-LAD (Video 3). After multiple attempts and pulling the guidewire, we were able to remove the entrapped burr (Video 4). The burr was covered by stent fragments (Figure 3).
The patient remained stable and repeat angiography showed no evidence of dissection or perforation. Intravascular imaging showed severely calcified neoatherosclerosis. Angioplasty with intravascular lithotripsy and noncompliant balloons was then performed with an excellent result (Figure 4, Video 5).
Rotational atherectomy remains indispensable for treating heavily calcified uncrossable lesions. Our case illustrates 2 potential complications of rotational atherectomy through previously implanted stents: no reflow and burr entrapment. The burr was entrapped within prior stents resulting in “stentectomy” upon removal, fortunately without complications. Although stentectomy can be performed surgically before suturing bypass grafts, this case demonstrates inadvertent stentectomy by an entrapped Rotablator burr. Atherectomy within a previously stented coronary segment should be performed with caution.
Affiliations and Disclosures
Ahmed Al-Ogaili, MD1; Emmanouil S. Brilakis, MD, PhD2
From the 1Division of Cardiovascular Medicine, Penn Presbyterian Medical Center, Perelman School of Medicine at the University of Pennsylvania, Philadelphia, Pennsylvania, USA; 2Minneapolis Heart Institute and Minneapolis Heart Institute Foundation, Abbott Northwestern Hospital, Minneapolis, Minnesota, USA.
Disclosures: Dr. Brilakis receives consulting/speaker honoraria from Abbott Vascular, the American Heart Association (associate editor, Circulation), Amgen, Asahi Intecc, Biotronik, Boston Scientific, Cardiovascular Innovations Foundation (Board of Directors), CSI, Elsevier, GE Healthcare, IMDS, Medicure, Medtronic, Siemens, Teleflex, and Terumo; receives research support from Boston Scientific, GE Healthcare; is the owner of Hippocrates LLC; and is a shareholder in MHI Ventures, Cleerly Health, and Stallion Medical. The remaining authors report no financial relationships or conflicts of interest regarding the content herein.
Consent statement: The authors confirm that informed consent was obtained from the patient for the intervention(s) described in the manuscript and to the publication thereof.
Address for correspondence: Emmanouil S. Brilakis, MD, PhD, Center for Complex Coronary Interventions, Minneapolis Heart Institute, Center for Coronary Artery Disease at the Minneapolis Heart Institute Foundation, 920 E 28th Street #300, Minneapolis, MN 55407, USA. Email: esbrilakis@gmail.com; X: @esbrilakis


