Left Ventricular Outflow Tract Pseudoaneurysm Causing Coronary Systolic Compression
© 2024 HMP Global. All Rights Reserved.
Any views and opinions expressed are those of the author(s) and/or participants and do not necessarily reflect the views, policy, or position of the Journal of Invasive Cardiology or HMP Global, their employees, and affiliates.
A left ventricular outflow tract (LVOT) pseudoaneurysm represents an uncommon complication of aortic valve replacement and aortic root surgery, with a range of potential clinical outcomes. We present the case of a patient who was admitted for a non-ST-elevation myocardial infarction (NSTEMI) caused by an LVOT pseudoaneurysm, resulting in coronary systolic compression.
A 65-year-old woman underwent aortic and mitral valve replacement with a mechanical prosthesis due to rheumatic valve disease in 2019. Preoperative coronary angiography showed no coronary lesions (Figure 1). The echocardiogram showed a preserved left ventricular ejection fraction.
In 2022, she was admitted to the hospital for NSTEMI. Coronary angiography was performed (Figure 2) with the following findings:
- Left main coronary artery without significant stenosis.
- Left anterior descending artery (LAD) with proximal systolic compression phenomenon without complete collapse. Remaining vessel without lesions.
- Circumflex artery (Cx) with complete systolic compression phenomenon.
- Dominant right coronary artery without significant lesions.
Aortography showed no dilatation of the aortic root or ascending aorta. Intravascular ultrasound (IVUS) at maximum depth showed normal wall coronary structure, no atheromatous stenosis, and no dissection. However, vessel compression was observed in the proximal areas of the LAD and Cx (Figure 3), suggesting an extracoronary structure not identified by this technique (Videos 1-5).
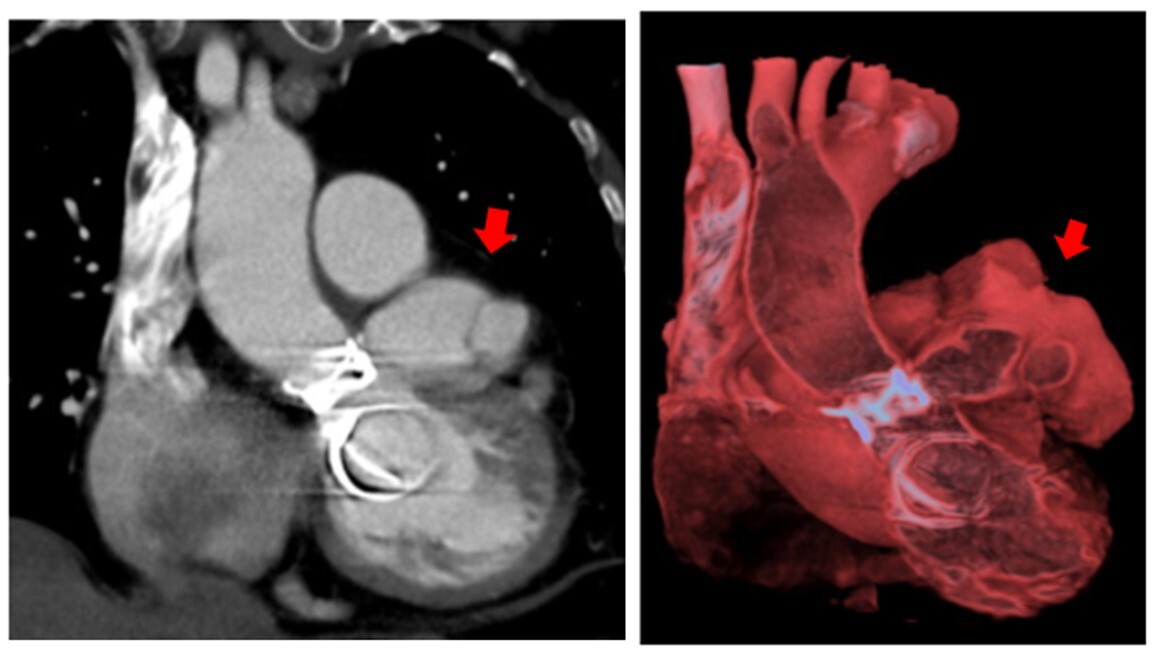
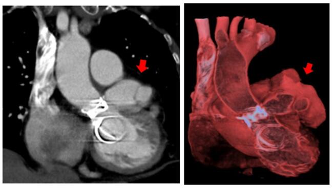
Transesophageal echocardiogram showed a large pulsatile cavity around the aortic root connected to the left ventricle at the level of the anterolateral region of the aortic prosthetic ring, consistent with a pseudoaneurysm. This finding was confirmed by a thoracic computed tomography scan, which showed a large pseudoaneurysm with polylobulated morphology and multiple sacculations that appeared to originate from the upper edge of the mitroaortic junction (Figure 4).
The patient underwent surgery to repair the pseudoaneurysm with a bovine pericardial patch and aortic prosthetic valve replacement with a new mechanical prosthesis.
Affiliations and Disclosures
Pablo González Alirangues, MD; Roberto del Castillo Medina, MD; Carlos García Jiménez, MD; Javier Botas Rodríguez, MD, PhD
From the Department of Cardiology, Hospital Universitario Fundacion Alcorcon, Madrid, Spain.
Disclosures: The authors report no financial relationships or conflicts of interest regarding the content herein.
Consent statement: The authors confirm that informed consent was obtained from the patient for the intervention described in the manuscript and to the publication thereof.
Address for correspondence: Pablo González Alirangues, MD, Department of Cardiology, Hospital Universitario Fundacion Alcorcon, Madrid, Spain. Email: pabloglez88@gmail.com; X: @pabloglez8


