Skip to main content

Volume 36 - Issue 12 - December, 2024

Erratum
11/06/2024
Paraskevi Taxiarchi, PhD; Evangelos Kontopantelis, PhD; Tim D. Kinnaird, MD; Nick Curzen, PhD, FRCP, FESC; Javed M. Ahmed, MBBS, FRCP, MD; Azfar G. Zaman, BSc, MD, FRCP, MBChB; Peter Ludman, MD; Ahmad Shoaib, MD; Glen P. Martin, PhD; Mamas A. Mamas, DPhil, BMBCh, MRCP, MD
This is a correction to the article: Taxiarchi P, Kontopantelis E, Kinnaird T, Curzen N, Ahmed J, Zaman A, Ludman P, Shoaib A, Martin GP, Mamas MA. Same-Day Discharge After Elective Percutaneous Coronary Intervention for Chronic Total...
This is a correction to the article: Taxiarchi P, Kontopantelis E, Kinnaird T, Curzen N, Ahmed J, Zaman A, Ludman P, Shoaib A, Martin GP, Mamas MA. Same-Day Discharge After Elective Percutaneous Coronary Intervention for Chronic Total...
This is a correction to the...
11/06/2024
Journal of Invasive Cardiology
Brief Communication
07/29/2024
Ahmed Al-Ogaili, MD; Deniz Mutlu, MD, PhD; Michaella Alexandrou, MD; Athanasios Rempakos, MD; Bavana V. Rangan, BDS, MPH, MD; Olga C. Mastrodemos, BA; Yader Sandoval, MD; M. Nicholas Burke, MD; Emmanouil S. Brilakis, MD, PhD, FACC, FAHA, FESC, FSCAI
The authors examined the frequency and temporal trends of guide catheter extension use in a large CTO-PCI registry.
The authors examined the frequency and temporal trends of guide catheter extension use in a large CTO-PCI registry.
The authors examined the...
07/29/2024
Journal of Invasive Cardiology
Original Contribution
07/24/2024
Chen Zhang, MD; Lingxiao Chen, MM; Hong Gu, PhD
The authors propose a new snare-free method that can be used as an alternative approach for cases of patent ductus arteriosus percutaneous closure where the antegrade approach is difficult.
The authors propose a new snare-free method that can be used as an alternative approach for cases of patent ductus arteriosus percutaneous closure where the antegrade approach is difficult.
The authors propose a new...
07/24/2024
Journal of Invasive Cardiology
Original Contribution
07/22/2024
Jess Hatfield, MD; Michael D. Woods, BS; Kendall Hammonds, MPH; Laith Wahab, DO, MS, OMS-IV; Vinh Nguyen, MD; Ossama Abou Hassan, MD; Javed Butler, MD; Robert J. Widmer, MD, PhD
The purpose of this study was to investigate the relationship between coronary artery disease, heart failure, and wall motion abnormalities on transthoracic echocardiography.
The purpose of this study was to investigate the relationship between coronary artery disease, heart failure, and wall motion abnormalities on transthoracic echocardiography.
The purpose of this study was to...
07/22/2024
Journal of Invasive Cardiology
Clinical Images
07/22/2024
Eleftherios Kontopodis, MD; Maria Kachrimani, MD; Panagiotis Tzortzakis, MD; Kostantinos Vardakis, MD
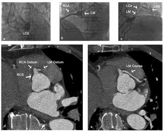
A 55-year-old man was referred to our department for further evaluation of an episode of syncope with significant elevation of troponin (2.800ng/L) after strenuous exercise. The authors performed a coronary angiography, which showed a single...
A 55-year-old man was referred to our department for further evaluation of an episode of syncope with significant elevation of troponin (2.800ng/L) after strenuous exercise. The authors performed a coronary angiography, which showed a single...
A 55-year-old man was referred...
07/22/2024
Journal of Invasive Cardiology
Clinical Images
07/19/2024
Masashi Yokoi, MD; Tsuyoshi Ito, MD; Junki Yamamoto, MD; Yoshihiro Seo, MD
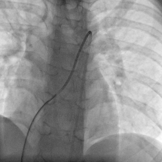
A 79-year-old man with the diagnosis of acute myocardial infarction complicating cardiogenic shock received Impella CP (Abiomed) insertion via a femoral approach.
A 79-year-old man with the diagnosis of acute myocardial infarction complicating cardiogenic shock received Impella CP (Abiomed) insertion via a femoral approach.
A 79-year-old man with the...
07/19/2024
Journal of Invasive Cardiology
Original Contribution
07/18/2024
Paolo Alberto Del Sole, MD; Mattia Lunardi, MD, PhD, MSc; Stefano Andreaggi, MD; Simone Fezzi, MD, MSc; Gabriele Pesarini, MD, PhD; Roberto Scarsini, MD, PhD; Flavio Ribichini, MD
The author report a case series of consecutive TAVI procedures that were considered unsuitable for the transfemoral approach after PTA failure and were consequently performed with IVL assistance.
The author report a case series of consecutive TAVI procedures that were considered unsuitable for the transfemoral approach after PTA failure and were consequently performed with IVL assistance.
The author report a case series...
07/18/2024
Journal of Invasive Cardiology
Clinical Images
07/12/2024
Octavio Jiménez Melo, MD; Valeriano Ruiz-Quevedo, MD; Pablo Legarra Oroquieta, MD; Raúl Ramallal Martínez, MD; Oscar Alcalde Rodríguez, MD; Guillermo Sánchez Elvira, MD; Pablo Bazal Chacón, MD; David Conty Cardona, MD
The authors provide a detailed 1-year follow-up of a patient with jailed pacemaker leads from transcatheter caval valve implantation.
The authors provide a detailed 1-year follow-up of a patient with jailed pacemaker leads from transcatheter caval valve implantation.
The authors provide a detailed...
07/12/2024
Journal of Invasive Cardiology
Clinical Images
07/01/2024
Neelam Dahiya, MD, DM; Somyata Somendra, MD, MRCP
The authors present a case of a 59-year-old man with a history of diabetes, hypertension, and obesity, who reported having chest pain 3 days prior to his presentation in their institute. During evaluation, his routine blood investigations,...
The authors present a case of a 59-year-old man with a history of diabetes, hypertension, and obesity, who reported having chest pain 3 days prior to his presentation in their institute. During evaluation, his routine blood investigations,...
The authors present a case of a...
07/01/2024
Journal of Invasive Cardiology
Clinical Images
06/26/2024
Praveen Murugesan, DM; Balaji Pakshirajan, DNB, FNB; Ajit Mullasari Sankardas, DM
An elderly woman presented with worsening shortness of breath for a duration of 3 days. She had a history of provoked deep vein thrombosis of the right lower limb with sub-massive pulmonary embolism, for which she was on oral anticoagulant...
An elderly woman presented with worsening shortness of breath for a duration of 3 days. She had a history of provoked deep vein thrombosis of the right lower limb with sub-massive pulmonary embolism, for which she was on oral anticoagulant...
An elderly woman presented with...
06/26/2024
Journal of Invasive Cardiology
Brief Communication
06/17/2024

Robert S. Zhang, MD1, Eugene Yuriditsky, MD1, Eric Bailey, MD2, Lindsay Elbaum, MD1, Allison A. Greco, MD3, Radu Postelnicu, MD3, Vikramjit Mukherjee, MD3, Norma Keller, MD1, Carlos L. Alviar, MD1, James M. Horowitz, MD1, Sripal Bangalore, MD, MHA1

Robert S. Zhang, MD1, Eugene Yuridits...
The objective of the study was to examine and compare the hemodynamic impact of saddle vs non-saddle pulmonary embolism in a selected patient population.
The objective of the study was to examine and compare the hemodynamic impact of saddle vs non-saddle pulmonary embolism in a selected patient population.
The objective of the study was ...
06/17/2024
Journal of Invasive Cardiology
Clinical Images
06/12/2024

Rawan Mahmoud, MD1; Mohammad Alkhalil, MD1,2

Rawan Mahmoud, MD1; Mohammad Alkhalil...
The authors describe the use of parallel wires to aid the implantation of a transcatheter heart valve in a patient who lacked significant aortic valve calcification.
The authors describe the use of parallel wires to aid the implantation of a transcatheter heart valve in a patient who lacked significant aortic valve calcification.
The authors describe the use of...
06/12/2024
Journal of Invasive Cardiology
Clinical Images
06/10/2024

Arun Sharma, DM1; Harsimran Bhatia, MD1; Vansha Mehta, MBBS1; Manphool Singhal, MD, DNB1; Parag Barwad, DM2; Sanjeev Hanumantacharya Naganur, DM2

Arun Sharma, DM1; Harsimran Bhatia, M...
A 46-year-old woman presented with complaints of shortness of breath (New York Heart Association II) for the past 3 years. There was no history of orthopnea or paroxysmal nocturnal dyspnea, nor of trauma or previous aortic or cardiovascular...
A 46-year-old woman presented with complaints of shortness of breath (New York Heart Association II) for the past 3 years. There was no history of orthopnea or paroxysmal nocturnal dyspnea, nor of trauma or previous aortic or cardiovascular...
A 46-year-old woman presented...
06/10/2024
Journal of Invasive Cardiology