Coronary Artery Anomaly in a Symptomatic Adult Patient
© 2024 HMP Global. All Rights Reserved.
Any views and opinions expressed are those of the author(s) and/or participants and do not necessarily reflect the views, policy, or position of the Journal of Invasive Cardiology or HMP Global, their employees, and affiliates.
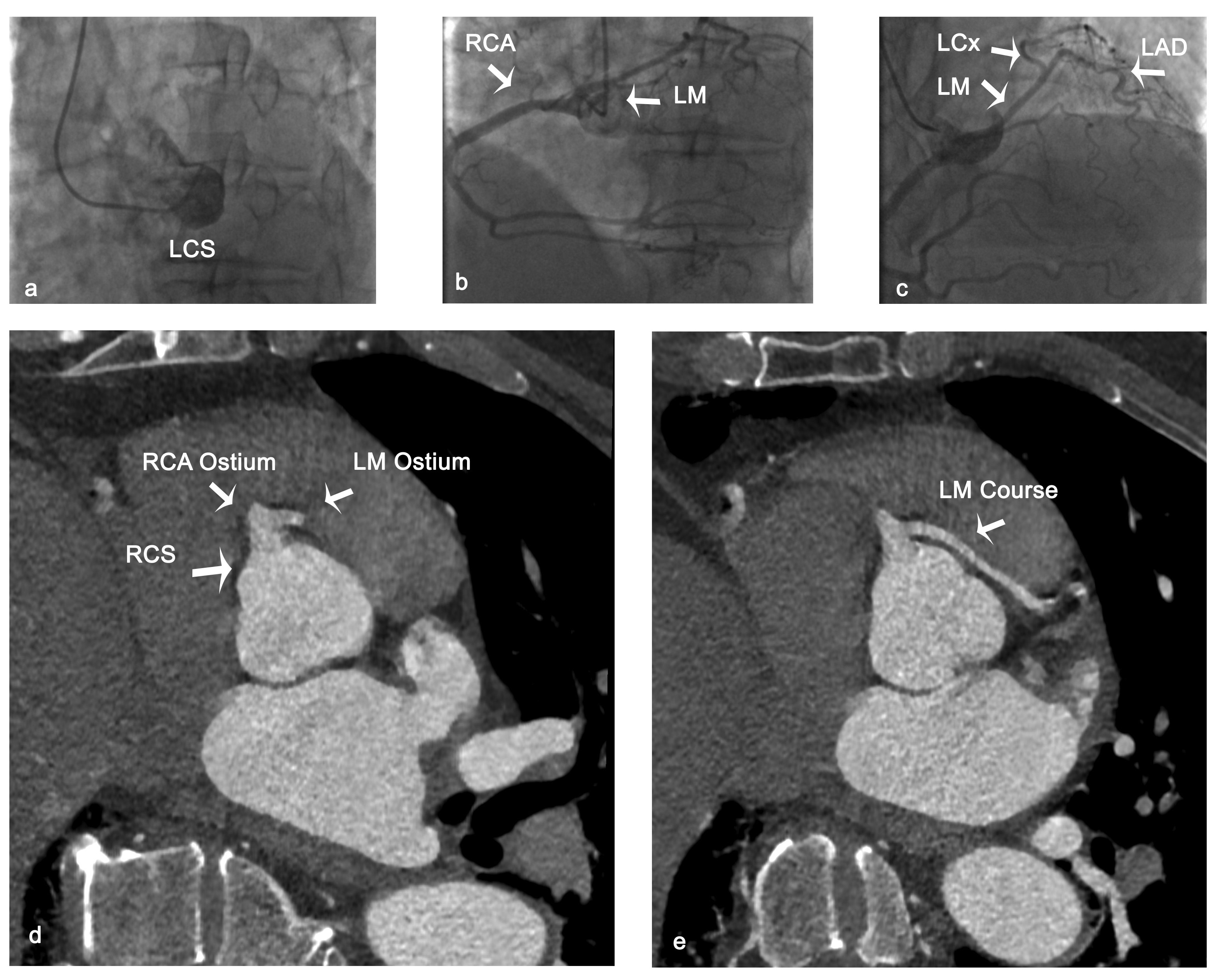
A 55-year-old man was referred to our department for further evaluation of an episode of syncope with significant elevation of troponin (2.800ng/L) after strenuous exercise. We performed coronary angiography, which showed a single coronary artery originating from the right coronary sinus. Significant coronary artery disease was excluded (Figure A-C).
Computed tomography-coronary angiography confirmed the common origin of the left main coronary artery (LM) and the right coronary artery, and revealed an anomalous, long interarterial course of the LM between the aortic root and the pulmonary artery (Figure D and E).
The patient was evaluated by the Heart Team and a stress echocardiogram with dobutamine was performed, which was negative for ischemia. We prescribed further pharmacological treatment with a beta-blocker (bisoprolol 5 mg once daily) and strict exercise restriction.
Affiliations and Disclosures
Eleftherios Kontopodis, MD; Maria Kachrimani, MD; Panagiotis Tzortzakis, MD; Kostantinos Vardakis, MD
From the Department of Cardiology, Creta InterClinic, Heraklion, Greece.
Disclosures: The authors report no financial relationships or conflicts of interest regarding the content herein.
Address for correspondence: Eleftherios Kontopodis, MD, Department of Cardiology, Creta InterClinic, Minoos 63, GR 71304, Heraklion, Crete, Greece. Email: ekontopodis@gmail.com


