Kissing-Catheter Technique in Percutaneous Transcatheter Closure of Patent Ductus Arteriosus: A Snare-Free Approach
© 2024 HMP Global. All Rights Reserved.
Any views and opinions expressed are those of the author(s) and/or participants and do not necessarily reflect the views, policy, or position of the Journal of Invasive Cardiology or HMP Global, their employees, and affiliates.
Abstract
Objectives. For percutaneous closure of the patent ductus arteriosus (PDA) with a mushroom-shaped occluder, the establishment of a guidewire rail with the antegrade venous approach may be difficult in some cases. The retrograde technique can be used instead; however, the use of a snare system may bring extra costs and risks. The aim of the study was to report on a new method that fulfills the retrograde technique without the use of a snare system in transcatheter closure of PDA.
Methods. From May 2019 to January 2023, we attempted transcatheter closure using the kissing-catheter technique after failure of the conventional antegrade venous approach on 22 consecutive patients with PDA. This technique involves docking the distal ends of the antegrade catheter and retrograde catheter in the main pulmonary artery, and sending an exchange guidewire from one catheter, through the docking junction, and externalized from the proximal end of the other. Then, an artery-PDA-vein guidewire loop was established for the delivery of the occluder. The results and operation time of this method were analyzed.
Results. Successful establishment of the guidewire rail was achieved in all patients. The average time from attempting to dock the 2 catheters to successfully passing the guidewire was 26 ± 15 seconds. There were no complications during or after the procedures.
Conclusions. The snare-free kissing-catheter technique is an efficient and reliable method for transcatheter closure of PDA in cases where the antegrade approach is difficult.
Introduction
Isolated patent ductus arteriosus (PDA) is one of the common congenital heart diseases, and transcatheter closure represents the established, standard approach for the correction of this lesion. Since the advent of the Amplatzer Duct Occluder (ADO),1,2 a mushroom-shaped occluder has been the most commonly used device for PDA closure. This procedure requires the establishment of a guidewire rail from a venous access (mainly the femoral vein) to the main pulmonary artery (MPA) and crossing the PDA to reach the descending aorta, over which the delivery system can be advanced from the venous approach and through the PDA. However, the conventional antegrade wire-guided approach may be difficult in some patients with certain PDA morphology. In these cases, a retrograde wire-assisted technique can be used instead, whereby the catheter/guidewire is introduced from the arterial approach, passed through the PDA to reach the MPA, and then captured by a snare system, which is introduced from the venous access.3,4
However, this method cannot be applied in the absence of a snare system and may increase the cost and risk of the procedure. Here, we propose a new snare-free method, the “kissing-catheter technique,” which can be used as an alternative approach for cases where the antegrade approach is difficult.
Methods
From May 2019 to January 2023, 22 consecutive patients (18 female) with PDA on whom we attempted transcatheter closure using the kissing-catheter technique after failure of the conventional antegrade venous approach were included in this study. Ethics approval was obtained from the local Ethics Committee in Beijing Anzhen Hospital of Capital Medical University, and informed consent was obtained from all patients or their parents.
The procedures were performed under general anesthesia for young children who could not cooperate, or local anesthesia for older children and adults. After femoral arterial and venous access were established, an aortogram was performed through a 5-French (Fr) pigtail catheter to assess the morphology of the PDA and make sure that the mushroom-shaped device was suitable for closure. The device size was chosen according to the PDA size and configuration.
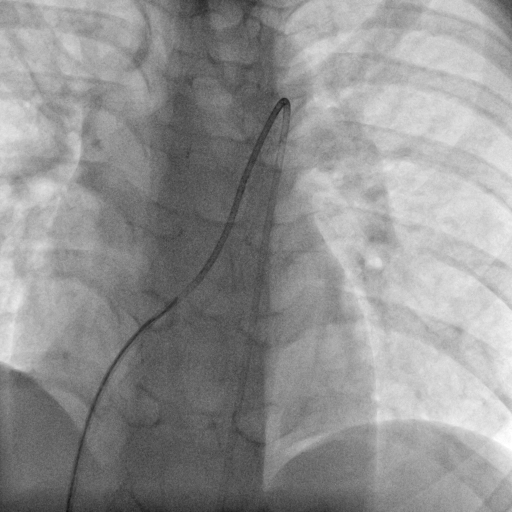
Through the femoral vein, a 5-Fr multipurpose A catheter (MP-A catheter, Cordis) was used in an attempt to cross the PDA from the MPA directly or with the assistance of a guidewire. If the antegrade approach was not successful after more than 5 minutes, operators switched to the kissing-catheter method. The antegrade catheter was left in the middle of the MPA. From the femoral artery, another 5-Fr MP-A catheter (retrograde catheter) was introduced to the descending aorta and advanced through the PDA to the middle of the MPA directly or with the assistance of a guidewire. Under a 30° cranial with 15° left anterior oblique (LAO) fluoroscopic projection, operators manipulated the antegrade and retrograde catheters simultaneously so that their distal ends would dock with each other tip to tip. A 260-cm, 0.035-inch exchange guidewire was sent from one of the catheters to another, through the docking-junction, and externalized from the proximal end of the catheter. Then, an artery-PDA-vein guidewire loop was established (Figures 1-3; Videos 1 and 2).
Over this guidewire rail, the delivery sheath was advanced from the venous side through the PDA and into the descending aorta. The device (ADO, or domestic mushroom-shaped occluder) was deployed to occlude the PDA and released after aortogram confirmed the proper position and no significant residual leak. All patients had echocardiographic follow-up at 24 hours, and 1, 3, 6, and 12 months after closure.
Continuous variables were presented as mean ± standard deviation, Student’s t-test was used for comparison, and P-values less than 0.05 were considered statistically significant. Categorical variables were shown as number and percent. Statistical analysis was performed using SPSS statistics 20 software (IBM).
Results
The average age of the 22 patients was 11.9 ± 10.3 years (range: 11 months to 34 years), and the mean weight was 31.5 ± 18.4 kg (range: 10-65 kg). Sixteen patients were younger than 18 years and 10 patients weighed less than 20 kg. All patients had clinical and echocardiographic findings of a left-to-right shunt through the PDA. Based on the PDA classification described by Krichenko et al,5 PDA anatomy was classified as type A in 17 patients (77.3%), D in 1 patient (4.5%), and E in 4 patients (18.2%). The average diameter of the PDA (at the pulmonary end) was 3.0 ± 1.0 mm (range: 1.7-5.3 mm), and the mean pulmonary artery arterial pressure was 19 ± 3 mm Hg (range: 15-29 mm Hg).
In all 22 patients, the artery-PDA-vein guidewire loop was successfully established using the kissing-catheter method. The average kissing-time (time from attempting to dock the 2 catheters to successfully passing the guidewire) for the guidewire rail establishment was 26 ± 15 seconds (range: 6-64 seconds). The exchange guidewire was sent from the antegrade catheter to the retrograde catheter in 15 patients, and from the retrograde catheter to the antegrade catheter in 7 patients. The average kissing-time of these 2 groups was 28 ± 17 seconds and 22 ± 10 seconds respectively, and no statistical difference was detected (t = 0.938, P = .360).
In Case 8, the initial attempt to dock the catheters was unsuccessful when the MP-A1 catheters were used. Lateral fluoroscopy revealed that, due to the patient's relatively long MPA, when the tips of the 2 MP-A1 catheters met in the middle of the MPA, it was the segments after the bends of the catheters that attached to the top wall of the MPA, so that the front segments of the 2 catheters could not be aligned. To correct this, we replaced the MP-A1 catheters with MP-A2 catheters, which have relatively long front segments before the bends, and successfully achieved the docking action. In the other cases, the MP-A1 catheters were all successfully used in kissing operations.
All patients were successfully occluded, and there were no complications during or after the procedures. The clinical data of the 22 patients are shown in the Table.

Discussion
The pulmonary artery end of the PDA is adjacent to the bifurcation of the left and right pulmonary arteries derived from the MPA, and presents many varieties in the shapes and sizes, the location and angle origin from the MPA, and the spatial relationship with the left and right pulmonary arteries.5, 6 Consequently, passing through the PDA from the venous side is not always easy. Given the anatomical diversity of the PDA, no single type of catheter can suit all situations. The MP-A catheter, an end-hole catheter with a 120° bend at a certain distance from the top, is one of the most widely used catheters in PDA closure. This catheter can be conveniently delivered from the femoral vein to the MPA, and, in most cases, can easily pass through the PDA from the MPA directly or with the assistance of a wire. But for PDAs with certain morphological characteristics, such as severe tortuosity or a steep angle at the connection to the MPA, or a too small ostium on the pulmonary artery side, it may be difficult to engage the catheter with the pulmonary artery end of the PDA without frequently slipping into the left or right pulmonary arteries. Repeated attempts may increase the probability of success. Also, because PDAs are generally not visible under X-ray, the attempted operation is somewhat blind. Furthermore, infinite attempts will increase the dose of radiation and the risk of vascular injury.
Many factors determine whether the PDA is easily passable from the aortic side, including the fact that the aortic end is usually a wide ampulla and the direction of the shunt is from the aorta to the pulmonary artery, but the most important factor is that the anatomy of the aortic end with adjacent structures is relatively simple. The MP-A catheter can almost always pass through the PDA from the aortic end, directly or with the assistance of a wire. Therefore, when the antegrade venous approach through the PDA cannot be established successfully, a retrograde approach from the artery can be established first; then, with the assistance of a snare system, an approach through the PDA from the vein is established. However, this method cannot be applied in the absence of a snare system and will, to some extent, bring additional financial burdens to the patients, especially in developing countries. Specifically, in China, the use of a snare system may increase the overall treatment cost by more than 10%. Furthermore, snaring operations carry the potential risk of snagging and damaging the valves or PDAs.
The kissing-catheter technique is also based on the retrograde approach but avoids the snaring operations. This method is similar to the kissing microcatheter technique previously described for percutaneous coronary intervention,7 but has not been used for PDA closure before because it seems difficult to dock the distal ends of 2 small lumen catheters in the relatively wide 3-dimensional space of the MPA. However, due to its shape and inherent stiffness, when a MP-A catheter reaches the MPA from the femoral vein, in most cases, its front end tends to press against the top wall of the MPA, pointing to the pulmonary artery bifurcation. Likewise, when a MP-A catheter reaches the MPA from the descending aorta through the PDA, in most cases, its front end also tends to contact the top wall of the MPA, pointing to the pulmonary valve. Then, we can manipulate the 2 end-to-end catheters to move their distal ends on the 2-dimensional surface of the top wall of the MPA, and dock them with each other easily.
Compared with the conventional antegrade approach of directly passing through the PDA from the MPA, the kissing-catheter technique has some advantages that contribute to its success. First, the docking of the catheters and the passage of the wires are visible, thereby avoiding blind attempts. Second, the kissing catheters can construct a smooth pathway for the wire to pass through, avoiding the possible sharp angle or severe tortuosity at the MPA-PDA connection. Finally, the connected catheters avoid the jet-flow at the ostium of the PDA that may work against the passage of the wire.
Our data confirmed the feasibility of the kissing-catheter technique: the success rate in our group was 100%, and the average fluoroscopy time for the artery-PDA-vein guidewire loop establishment was from 6 seconds to 64 seconds with an average of 26 seconds, which was acceptable in clinical practice. Based on our experience, the operative time can be further shortened as proficiency increases.
The choice of appropriate projections to accurately monitor the docking of the 2 catheters and the passage of the wire is a key point in the kissing method. If only single plane fluoroscopy is available, projections that can fully display the long axis of the MPA and are perpendicular to the top wall of the MPA will be suitable. According to our practice, a projection of 30° cranial with 15° LAO is the optimal choice. If a biplane equipment is available, a lateral projection may serve as a useful auxiliary.
Another key point in this method is the challenge of passing the wire through the junction of the 2 catheters while the catheters are swaying due to the heartbeat. For patients with strong heartbeat, the docking of the catheters could be unstable. In this instance, operators must catch the rhythm of the swaying catheters and advance the wire through the junction at the moment the catheters align with each other. Based on our experience, this is not difficult to achieve.
While in theory any end-hole catheters that can contact the top wall of the MPA with its distal end, including catheters manually processed during the procedure, can be used in this method, this study only involved the most commonly used MP-A catheters: the MP-A1 and MP-A2. Although these 2 catheters have a similar shape, the front segment before the bend is longer in the MP-A2 than in the MP-A1. According to our data, the MP-A1 can work in most cases. However, for patients with relatively long MPA, the catheters will be deep into the MPA when they meet in the middle of it. As a result, the segments after the bends of the MP-A1 catheters will attach to the top wall of the MPA, while the distal ends of the catheters will depart from this surface and, as a result, no longer be docked easily. In these cases, only MP-A2 catheters with a relatively long front segment before bend can be docked successfully.
In our study, we attempted 2 directions to advance the wires to establish the artery-PDA-vein loops: from antegrade catheters to retrograde catheters, and from retrograde catheters to antegrade catheters. Based on our experience, both methods were effective and safe, and the difficulty of each operation was similar.
Limitations. Several limitations of our study should be acknowledged. First, this is a retrospective study with all inherent limitations. However, we included all consecutive patients in whom we attempted the kissing-catheter method to reduce any selection bias that may affect the success rate. Second, this study may not reflect the success rate and operation time of the kissing-catheter procedures in the real-world practice, as the operator in this study was a highly experienced interventional cardiologist. Finally, the number of patients involved in this study was relatively small, since this method was only used as a solution for special situations, and so we are not sure if this method can be applied to all cases. However, based on its reliable principles, in theory this method can be used in most cases. More cases are needed in the future to confirm the widespread applicability of this method.
Conclusions
We proposed a new snare-free method, the kissing-catheter technique, to resolve the difficulty of establishing a track in percutaneous closure of PDA. We also indicated the optimal fluoroscopic projection of 30° cranial with 15° LAO. To our knowledge, this method has not been described before for PDA closure. The data of our current study show that this method is efficient and reliable and can act as an alternative approach in cases where the conventional antegrade approach is difficult.
Affiliations and Disclosures
Chen Zhang, MD; Lingxiao Chen, MM; Hong Gu, PhD
From the Department of Pediatric Cardiology, Beijing Anzhen Hospital, Capital Medical University, Beijing, China
Disclosures: The authors report no financial relationships or conflicts of interest regarding the content herein.
Address for correspondence: Chen Zhang, MD, Department of Pediatric Cardiology, Beijing Anzhen Hospital, Capital Medical University, 2 Anzhen Road, Chaoyang District, Beijing, China. Email: 021zhangchen@126.com
References
1. Masura J, Walsh KP, Thanopoulous B, et al. Catheter closure of moderate- to large-sized patent ductus arteriosus using the new Amplatzer duct occluder: immediate and short-term results. J Am Coll Cardiol. 1998;31(4):878-882. doi:10.1016/s0735-1097(98)00013-8
2. Thanopoulos BD, Hakim FA, Hiari A, et al. Further experience with transcatheter closure of the patent ductus arteriosus using the Amplatzer duct occluder. J Am Coll Cardiol. 2000;35(4):1016-1021. doi:10.1016/s0735-1097(99)00626-9
3. Hsin HT, Lin LC, Hwang JJ, Ho SG, Tseng CD, Chiang FT. Retrograde wire-assisted percutaneous transcatheter closure of persistent ductus arteriosus with Amplatzer duct occluder in the elderly: A new application. Catheter Cardiovasc Interv. 2004;61(2):264-267. doi:10.1002/ccd.10762
4. Zhang JF, Huang D, Yang YN, Gao XM, Ma YT. Percutaneous transcatheter closure of patent ductus arteriosus with an amplatzer duct occluder using retrograde guidewire-established femoral arteriovenous loop. Clin Exp Pharmacol Physiol. 2008;35(5-6):606-610. doi:10.1111/j.1440-1681.2007.04850.x
5. Krichenko A, Benson LN, Burrows P, Möes CA, McLaughlin P, Freedom RM. Angiographic classification of the isolated, persistently patent ductus arteriosus and implications for percutaneous catheter occlusion. Am J Cardiol. 1989;63(12):877-880. doi:10.1016/0002-9149(89)90064-7
6. May LA, Masand PM, Qureshi AM, Jadhav SP. The ductus arteriosus: a review of embryology to intervention. Pediatr Radiol. 2023;53(3):509-522. doi:10.1007/s00247-022-05518-0
7. Funatsu A, Kobayashi T, Nakamura S. Use of the kissing microcatheter technique to exchange a retrograde wire for an antegrade wire in the retrograde approach to intervention in chronic total occlusion. J Invasive Cardiol. 2010;22(5):E74-77.


