Vanishing Right Atrial Thrombus
© 2024 HMP Global. All Rights Reserved.
Any views and opinions expressed are those of the author(s) and/or participants and do not necessarily reflect the views, policy, or position of the Journal of Invasive Cardiology or HMP Global, their employees, and affiliates.
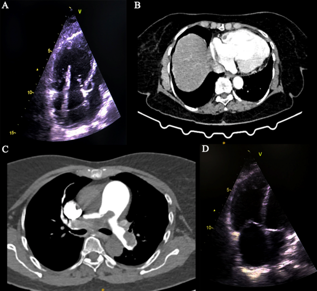
An elderly woman presented with worsening shortness of breath for a duration of 3 days. She had a history of provoked deep vein thrombosis of the right lower limb with a sub-massive pulmonary embolism (PE), for which she was on an oral anticoagulant for 2 years. Echocardiography showed a large, mobile, serpentine mass attached to the roof of the right atrium (RA) (Figure 1A, Video 1). Cardiac computed tomography (CT) characterized the mass as a thrombus and confirmed its attachment to the RA roof (Figure 1B). A massive PE involving the main pulmonary artery and both of its branches was also noted (Figure 1C). The PE Severity Index score was 163, which denoted high-risk PE, and systemic thrombolysis was done with tenecteplase. Subsequently, the thrombus in the right atrium completely resolved (Figure 1D, Video 2).
Repeat CT was done to look for resolution of the pulmonary thrombus. However, persistent pulmonary artery thrombus was noted (Figure 2A) and a percutaneous aspiration thrombectomy was planned. The pulmonary artery systolic pressure (PASP) was 71 mm Hg (Figure 2B) and a pulmonary angiogram showed a dense filling defect in the main and right pulmonary arteries (Figure 2C, Video 3). An 80-cm 10-French Flexor sheath (Cook Medical) was taken into the right pulmonary artery over a 0.035-inch Teflon wire. Multiple runs of thrombus aspiration were done with an Indigo system CAT 8 aspiration catheter (Penumbra) in the main, right upper, right lower, and left pulmonary arteries (Figure 2D). A 0.035-inch J-tip separator wire (Terumo) was passed through the thrombus to break it to facilitate suction. The PASP reduced to 57 mm Hg (Figure 2E) and pulmonary angiography showed minimal resolution of the filling defect after thrombo-suction (Figure 2F, Video 4).
The patient’s symptoms resolved considerably, and she was doing well at 1-month follow-up. It is likely that the patient had chronic thrombo-embolic pulmonary hypertension with an acute PE.
Affiliations and Disclosures
Praveen Murugesan, DM; Balaji Pakshirajan, DNB, FNB; Ajit Mullasari Sankardas, DM
From the Department of Cardiology, Institute of Cardio-Vascular diseases, The Madras Medical Mission, Chennai, Tamil Nadu, India.
Disclosures: The authors report no financial relationships or conflicts of interest regarding the content herein.
Consent statement: Informed consent obtained from the patient’s son.
Address for correspondence: Praveen Murugesan, DM, Department of Cardiology, Institute of Cardio-Vascular Diseases, The Madras Medical Mission, Chennai, Tamil Nadu 600037, India. Email: praveenmaiims@gmail.com
Back to December 2024 Table of Contents


