Skip to main content

Volume 35 - Issue 7 - July, 2023

Featured Article

Original Contribution
05/16/2023
Bahadir Simsek, MD; Emmanouil S. Brilakis, MD, PhD, FACC, FAHA, FESC, FSCAI; Spyridon Kostantinis, MD; Olga C. Mastrodemos, BA; Salman S. Allana, MD; Beatrice D. Rynders, BS; Yale Wang, MD; Elizabeth Page, BA; Ivan Chavez, MD; Vennela Avula, BSPH; Anil Poulose, MD; Judit Karacsonyi, MD, PhD; M. Nicholas Burke, MD; Bavana V. Rangan, BDS, MPH, MD; Michael R. Mooney, MD; Paul Sorajja, MD; Yader Sandoval, MD; Jay H. Traverse, MD; Mario Gössl, MD, PhD; Evan Walser-Kuntz, MS; Larissa Stanberry, PhD; Athanasios Rempakos, MD
Coronary artery dissection is a feared and potentially life-threatening complication of percutaneous coronary intervention (PCI). We examined the clinical, angiographic, and procedural characteristics, and outcomes of coronary dissection at a...
Coronary artery dissection is a feared and potentially life-threatening complication of percutaneous coronary intervention (PCI). We examined the clinical, angiographic, and procedural characteristics, and outcomes of coronary dissection at a...
Coronary artery dissection is a...
05/16/2023
Journal of Invasive Cardiology
Original Contribution
07/10/2023
Adnan Kassier, MD; Ronak Soni, MD; Kameel Kassab, MD; Dilpat Kumar, MBBS; Yashwant Agrawal, MD, FACC, FSCAI; Veera Pavan Kotaru, MD; Frank Saltiel, MD; Tim A. Fischell, MD, FACC, FSCAI; Jagadeesh K. Kalavakunta, MD; Vishal Gupta, MD, MPH
Percutaneous coronary intervention (PCI) of saphenous vein grafts (SVG) can be challenging due to no reflow phenomenon from distal embolization of debris and microvascular vasoconstriction, resulting in myocardial injury post-procedure....
Percutaneous coronary intervention (PCI) of saphenous vein grafts (SVG) can be challenging due to no reflow phenomenon from distal embolization of debris and microvascular vasoconstriction, resulting in myocardial injury post-procedure....
Percutaneous coronary...
07/10/2023
Journal of Invasive Cardiology
07/06/2023
July 2023 JIC
July 2023 JIC
July 2023 JIC
07/06/2023
Journal of Invasive Cardiology
Clinical Images
07/06/2023
Alan Chan Ka Chun, MBBS; Kam-Tim Chan, MBBS, MD; Michael Lee, MBBS; Cheuk Bong Ho, MBBS; Ivan Wong, MBBS
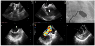
Traditionally, percutaneous mitral commissurotomy (PMC) is performed under fluoroscopy only. In difficult cases, general anesthesia with transesophageal echocardiography (TEE) guidance is needed. Intracardiac echocardiography (ICE) enables...
Traditionally, percutaneous mitral commissurotomy (PMC) is performed under fluoroscopy only. In difficult cases, general anesthesia with transesophageal echocardiography (TEE) guidance is needed. Intracardiac echocardiography (ICE) enables...
Traditionally, percutaneous...
07/06/2023
Journal of Invasive Cardiology
Clinical Images
07/06/2023
Dimitrios Karelas, MD, MSc; Nikolaos Platogiannis, MD, MSc; John Papanikolaou, MD, PhD
A 67-year-old man with a history of smoking, hyperlipidemia, and hypertension complained of central chest pain radiating to his left arm for 2 hours and contacted the attending cardiologist. Based on medical history and symptom description,...
A 67-year-old man with a history of smoking, hyperlipidemia, and hypertension complained of central chest pain radiating to his left arm for 2 hours and contacted the attending cardiologist. Based on medical history and symptom description,...
A 67-year-old man with a history...
07/06/2023
Journal of Invasive Cardiology
Clinical Images
07/06/2023
Tal Salamon, MD; Keren Zissman, MD; Amnon Eitan, MD
A 76-year-old female with severe symptomatic aortic stenosis underwent cardiac CT angiography imaging. Severe calcification of the ascending aorta (porcelain aorta) precluded surgical aortic valve replacement.
A 76-year-old female with severe symptomatic aortic stenosis underwent cardiac CT angiography imaging. Severe calcification of the ascending aorta (porcelain aorta) precluded surgical aortic valve replacement.
A 76-year-old female with severe...
07/06/2023
Journal of Invasive Cardiology
Clinical Images
07/06/2023
Hiroya Takafuji, MD; Makio Muraishi, MD; Kotaro Obunai, MD
An 89-year-old woman was referred for closure of a patent ductus arteriosus (PDA). Contrast-computed tomography showed Krichenko type C PDA with severe calcification.
An 89-year-old woman was referred for closure of a patent ductus arteriosus (PDA). Contrast-computed tomography showed Krichenko type C PDA with severe calcification.
An 89-year-old woman was...
07/06/2023
Journal of Invasive Cardiology
Original Contribution
07/06/2023
Anthony J. Mazzella, MD; Anil K. Gehi, MD; Ryan Searcy, MD; John P. Vavalle, MD; Matthew A. Cavender, MD, MPH; Lindsey Rosman, PhD
Physical activity (PA) is an important clinical and quality of life outcome after transcatheter aortic valve replacement (TAVR). We examined the effect of TAVR on objectively measured PA in patients with cardiac implanted electronic devices...
Physical activity (PA) is an important clinical and quality of life outcome after transcatheter aortic valve replacement (TAVR). We examined the effect of TAVR on objectively measured PA in patients with cardiac implanted electronic devices...
Physical activity (PA) is an...
07/06/2023
Journal of Invasive Cardiology
Original Contribution
07/06/2023
Spyridon Kostantinis, MD; Olga C. Mastrodemos, BA; Emmanouil S. Brilakis, MD, PhD, FACC, FAHA, FESC, FSCAI; Salman S. Allana, MD; Paul Poommipanit, MD, FACC, FSCAI; Sevket Gorgulu, MD; Stéphane Rinfret, MD, SM; Omer Goktekin, MD; Nazif Aygul, MD; Judit Karacsonyi, MD, PhD; M. Nicholas Burke, MD; Oleg Krestyaninov, MD; Bavana V. Rangan, BDS, MPH, MD; Jaikirshan J. Khatri, MD; Dmitrii Khelimskii, MD; Barry F. Uretsky, MD; Khaldoon Alaswad, MD; Philip Dattilo, MD; Karim M. Al-Azizi, MD, FACC, FSCAI, FESC; Srinivasa Potluri, MD, FACC, FSCAI; Wissam A. Jaber, MD; William J. Nicholson, MD; Yader Sandoval, MD; Athanasios Rempakos, MD; Bahadir Simsek, MD
Although discouraged, ad hoc chronic total occlusion (CTO) percutaneous coronary intervention (PCI) is occasionally performed. We examined the clinical, angiographic characteristics, and procedural outcomes of patients who underwent ad hoc...
Although discouraged, ad hoc chronic total occlusion (CTO) percutaneous coronary intervention (PCI) is occasionally performed. We examined the clinical, angiographic characteristics, and procedural outcomes of patients who underwent ad hoc...
Although discouraged, ad hoc...
07/06/2023
Journal of Invasive Cardiology
Original Contribution
06/18/2023
Mohamed Farag, MSc, PhD; Mohaned Egred, MBChB, MD, BSc(Hons), FRCP, BSc, MRCP; Johan Bennett, MD, PhD; Joseph "Jo" Dens, MD, PhD; Shu Xian Loh, MD; Ella Poels, MD, PhD; Luc Janssens, MD; Koen Ameloot, MD, PhD; Jeroen Tahon, MD
Recurrent in-stent restenosis (ISR) remains a serious problem. Optimal modification of the underlying mechanism during index percutaneous coronary intervention (PCI) is key to prevent ISR. Excimer laser coronary atherectomy (ELCA) has its own...
Recurrent in-stent restenosis (ISR) remains a serious problem. Optimal modification of the underlying mechanism during index percutaneous coronary intervention (PCI) is key to prevent ISR. Excimer laser coronary atherectomy (ELCA) has its own...
Recurrent in-stent restenosis...
06/18/2023
Journal of Invasive Cardiology
Original Contribution
05/30/2023
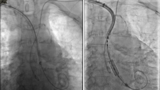
David Hildick-Smith, MD, MBBS, FRCP; Sam McGrath, MD; Mohammad Waleed, MBBS, MRCP, MPH; Sandeep Arunothayaraj, MBBS, MD; Michael Michail, MBBS, PhD, MRCP, MD; James Cockburn, MBBS, MD, FRCP
The authors describe adaptations for successful right transaxillary access for implantation of a transcatheter heart valve using the Edwards Sapien 3 system.
The authors describe adaptations for successful right transaxillary access for implantation of a transcatheter heart valve using the Edwards Sapien 3 system.
The authors describe adaptations...
05/30/2023
Journal of Invasive Cardiology