Percutaneous Closure of Severe Calcified Patent Ductus Arteriosus With Two Amplatzer Devices
J INVASIVE CARDIOL 2023;35(7):E385-E388. doi: 10.25270/jic/22.00332
Key words: patent ductus arteriosus, Amplatzer Duct Occluder II, Amplatzer Vascular Plug II
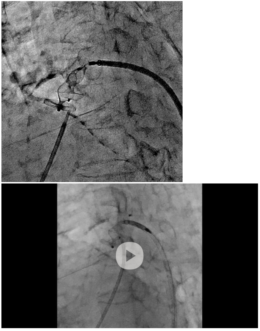
An 89-year-old woman was referred for closure of a patent ductus arteriosus (PDA). Contrast-computed tomography showed Krichenko type C PDA with severe calcification (Figure 1). Initial angiography revealed severe calcification of the PDA (Figure 2, Video 1), and the mid-ductus diameter was 6 mm and the ductus length was 14 mm.
Ao = aorta; MPA = main pulmonary artery.
We selected a 6/6 Amplatzer Duct Occluder II (ADO II) (Abbott) device, and final angiography showed a slight residual shunt through the PDA. The ADO II device was released with the hope that the residual shunt would disappear due to endothelialization in the chronic phase. However, transthoracic echocardiography showed no improvement in the residual shunt a few months after the procedure. Her symptoms gradually worsened.
We chose re-intervention for the residual shunt. Intravascular ultrasound revealed that an incomplete closed space outside the ADO II caused the residual shunt (Figure 3, Video 2). We concluded that the ADO II device was over-stretched and not well-positioned due to severe calcification of the PDA. An Amplatzer Vascular Plug II (AVP II) (Abbott) 14/10 was deployed in the space (Figure 4, Video 3), and the PDA flow disappeared completely.
PDA in elderly individuals commonly features severe calcification. However, severe calcification can prevent endothelialization due to lack of appropriate deployment. An additional AVP II could be helpful in case of closure difficulty by a single PDA device.
Affiliations and Disclosures
From the Department of Cardiology, Tokyo Bay Urayasu Ichikawa Medical Center, Urayasu-City, Chiba, Japan.
Disclosure: The authors report no financial relationships or conflicts of interest regarding the content herein. The authors affirm that the images have not been previously published.
The authors report that patient consent was received for the publication of the images herein.
Manuscript accepted December 8, 2022.
Address for correspondence: Hiroya Takafuji, MD, FACC, FESC, 3-4-32, Todaijima, Urayasu-City, Chiba 279-0001, Japan. Email: hiroyat@jadecom.jp


