Novel Adaptations in Percutaneous Right Transaxillary Access for Transcatheter Aortic Valve Implantation Using the Sapien Ultra Valve
Abstract
Background. Percutaneous transaxillary access is used as an alternative to the transfemoral approach for transcatheter aortic valve implantation in patients with severe peripheral vascular disease. The left transaxillary approach is usually preferred due to ease of valve alignment with the aortic annulus. Some patients have anatomical and physiological factors which preclude this approach. Moreover, most catheterization lab layouts make left-sided approaches to the heart awkward for imaging, visualization, procedural ease, and radiation protection. Aims. The authors describe novel adaptations to allow successful right transaxillary access for implantation of the transcatheter heart valve using the Edwards Sapien 3 system (Edwards Lifesciences). Methods. We searched our local structural heart database for all patients who underwent transcatheter aortic valve implantation via axillary access, from January 2021 to January 2022. Patients with left axillary access were excluded. Results. We report 6 percutaneous right transaxillary cases performed in the last year using steps which allow smooth delivery of the SAPIEN 3 Ultra valve down the greater curvature of the aorta and providing co-axial alignment of the valve. Only one patient had a vascular complication with arterial dissection at the closure point managed with 8 mm x 37 mm Bentley uncovered stent at the access site. Conclusion. With the modifications described in our article, the right transaxillary approach has now become our preferred secondary access route for TAVI.
J INVASIVE CARDIOL 2023; 35(7):E355-E364. doi: 10.25270/jic/23.00075. Epub 2023 May 30
Key words: transcatheter aortic valve implantation, severe aortic stenosis, transaxillary, transfemoral access, Sapien valve, alternative access
Transcatheter aortic valve implantation (TAVI) is a well-established treatment for patients with symptomatic severe aortic stenosis. The indications for TAVI continue to expand.1,2 Transfemoral (TF) access remains the default route, but a significant proportion of patients have anatomical constraints and require alternative access.3-5 Various alternative non-femoral TAVI access routes have been reported.6-11 Use varies according to regional preferences. Over the last decade the transapical and direct aortic approaches have become less favored, and the percutaneous transaxillary approach is increasingly used.3,12-17 Left transaxillary access has been preferred as it provides better coaxial alignment for device implantation.12-17
The percutaneous right transaxillary approach is usually avoided because of vascular tortuosity and unfavorable device angulation with respect to the native aortic annulus.6,17 However, some patients have anatomical or pathological features that make left axillary access suboptimal, such as extensive calcification, or coronary flow dependent on a left internal mammary artery bypass. Moreover, the layout and design of most catheterization laboratories are such that left-sided approaches to the heart are awkward for imaging, visualization, procedural ease, and radiation protection.
The right percutaneous transaxillary approach is, by contrast, easier for operators, better suited to catheter lab layout and radiation protection. Therefore, we have adapted this implantation technique by taking advantage of the deflectable “pusher” catheter of the Sapien 3 Ultra balloon-expandable valve system (Edwards Lifesciences).
Methods and Results
We searched our local structural heart database for all patients who underwent transcatheter aortic valve implantation via axillary and subclavian access from January 2021 to January 2022. Patients with left axillary access and patients with Evolut Pro TAVI were excluded. In total, 6 patients were identified who had undergone a percutaneous right transaxillary TAVI procedure with the Sapien 3 (S3) Ultra valve Commander system.
We report those 6 cases using novel adaptations and steps which allowed smooth delivery of the SAPIEN 3 Ultra valve down the greater curvature of the aorta and providing co-axial alignment of the valve. Only one patient had a vascular complication with arterial dissection at the closure point managed with 8 mm x 37 mm Bentley uncovered stent at the access site.
Case 1. An 80-year-old male with symptomatic severe aortic stenosis was referred to the structural heart team for consideration of TAVI. He had an endovascular abdominal aortic aneurysm repair (EVAR) in 2016. After his EVAR, he developed a Type II endoleak which was treated by inferior mesenteric artery (IMA) embolization. A transfemoral TAVI via the left femoral artery (LFA) was attempted under anesthetic sedation but access was hindered by extreme fibrotic tissue from his previous femoral surgical cut-downs. After review of his CT scan, it was decided that the next most appropriate access site was the right axillary artery.
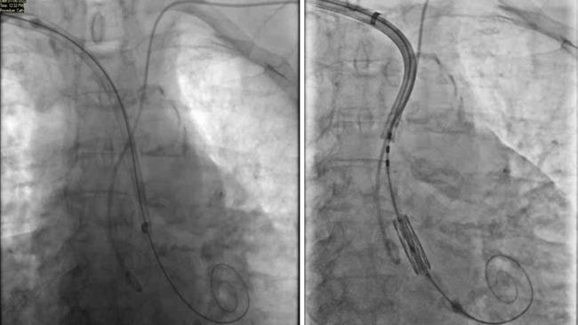
We placed a right radial artery cannula and left radial access for pigtail placement. The right axillary artery was accessed with ultrasound guidance and a 6-French (Fr) sheath was inserted. Two ProGlide sutures were deployed for pre-closure. The 6-Fr sheath was upsized to 11 Fr. The aortic valve was crossed, and a small Safari wire was placed in the left ventricle (LV). A 16-Fr Edwards eSheath was inserted over the Safari wire and positioned in the innominate artery (Figure 1A). The eSheath was partially withdrawn to create space for valve loading (Figure 1B). Once the valve was across the aortic annulus, the pusher catheter was withdrawn to the upper ascending aorta. The flex wheel of the Commander system was angled close to its maximum and the whole apparatus slowly rotated to align the Safari wire on the greater curvature of the aorta. This brought the S3 Ultra valve perfectly into annular alignment (Figure 1C). The 29 mm S3 Ultra valve was deployed in a good position at the aortic annulus, under rapid pacing through the LV wire,18 with no aortic regurgitation (Figure 1D). Vascular closure of the axillary artery was secured with the two ProGlide sutures. There were no procedural complications, and the patient went home the following day.
Case 2. An 84-year-old woman with symptomatic severe aortic stenosis was referred for consideration of TAVI. Her TAVI CT showed bilateral calcified external iliac and common femoral arteries. There was extensive calcification of the infra-renal descending aorta extending to the aortic bifurcation and beyond, precluding transcaval access. The left subclavian artery had ostial calcification narrowing the lumen down to 6 mm x 3 mm. The right axillary artery route was chosen since it was of reasonable caliber and was less calcified.
Under anesthetic sedation, a right radial arterial line and left radial pigtail access was established, followed by ultrasound-guided access to the right axillary artery. A single ProGlide pre-closure suture was deployed. The aortic valve was crossed, and a small Safari wire placed in the LV. A 14-Fr eSheath was inserted (Figure 2A). A 26-mm S3 Ultra valve was taken and loaded with the sheath partially withdrawn. Using angulation of the Edwards Commander system pusher catheter along with rotation of the whole apparatus, a good position on the outer curve of the aorta was established allowing co-axial positioning of the Edwards valve (Figure 2B). This was then implanted under rapid pacing through the LV wire, and as is typical for the transaxillary approach, did not rise more than a millimeter. The final results were very good (Figure 2C), with resolution of her aortic stenosis and no aortic regurgitation. The sheath was removed and the access site closed with the ProGlide and an 8-Fr Angioseal vascular closure device, with a very good result. There were no procedural complications, and the patient went home the following day.
Case 3. An 82-year-old man with severe aortic stenosis was referred to the structural heart team for consideration of aortic valve intervention. His TAVI CT showed an incidental finding of a 7.6 cm infrarenal abdominal aortic aneurysm (AAA) with eccentric thrombus and a chronic dissection flap within the aneurysmal sac. His iliac and femoral arteries were heavily calcified. We reviewed the TAVI CT for alternative access. The right axillary artery appeared to be of good caliber and we deemed it to be technically feasible for access. He was scheduled for TAVI followed by TEVAR.
Under sedation, a right radial line was placed and left radial artery access was used for pigtail placement. Right percutaneous axillary access was gained under ultrasound guidance. The axillary artery was pre-closed with a ProGlide suture. The aortic valve was crossed, and a small Safari wire placed in the LV. A 14 Fr eSheath was inserted and positioned in the ascending aorta. A 26-mm S3 Ultra valve was taken. Using clockwise articulation of the pusher catheter of the Edwards Commander system (Figure 3A and 3B), a very good angulation was achieved. The balloon catheter of the S3 valve was positioned along the outer curvature of the ascending aorta allowing for excellent co-axial alignment of the valve with aortic annulus. A 26-mm S3 Ultra valve was deployed in excellent position (Figure 3C).
An aortogram showed moderate aortic regurgitation, therefore the valve was post-dilated with a further 2 milliliters of contrast. However, the leak persisted and led us to implant an 8 mm AVP 4 device using an AL1 catheter in the left coronary sinus to lie parallel to the frame of the Edwards valve. This device placement (Figure 3D) reduced the leak significantly with simultaneous TAVI and para-valvular leak (PVL) closure.19 The vascular closure was secured with a ProGlide followed by a planned 8-Fr Angio-Seal vascular closure device. There were no procedural complications, and the patient went home the next day.
Case 4. An 81-year-old man was referred by the surgeons to the structural heart team for consideration of TAVI and possible percutaneous coronary intervention. He had an invasive coronary angiogram showing 3-vessel disease. His TAVI CT showed a 71-mm abdominal aortic aneurysm (AAA) extending from the aortic bifurcation up to the renal arteries. On the left side, there was a left common iliac artery (LCIA) aneurysm and a tortuous stenosis. The right iliac system was also severely tortuous but relatively less calcified, and the right ilio-femoral run-off appeared suitable for TAVI access. TAVI was attempted via the right femoral artery (RFA), but it proved impossible to advance an eSheath or dilators due to vascular rigidity and calcification. At this point, a decision was made to stop and reassess for possible transaxillary access.
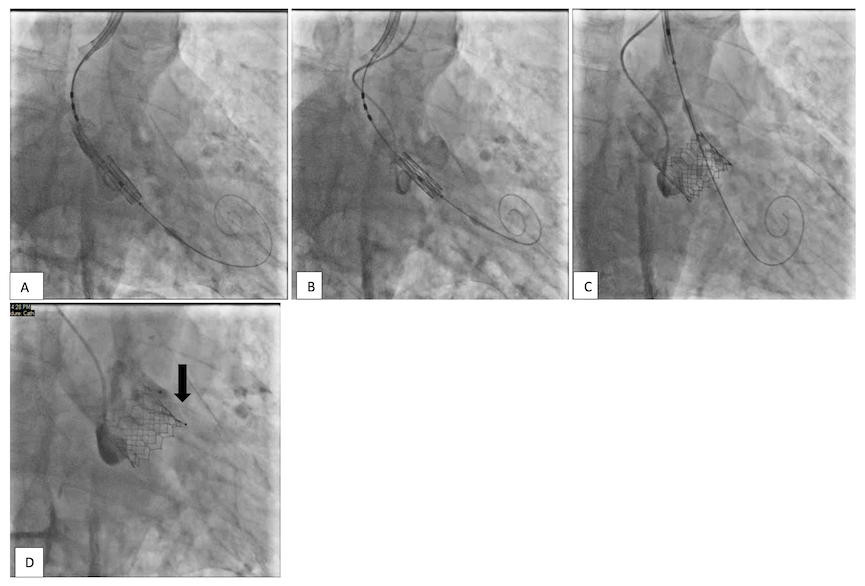
A second attempt at TAVI was made under anesthetic sedation. A Vygon arterial line was placed in the right radial artery. Left radial access was used for secondary access. Both required ultrasound guidance in view of his calcific peripheral vascular disease. Right axillary artery access was gained under ultrasound guidance. Initially, a 6-Fr sheath was inserted into the right axillary artery. Two ProGlide sutures were deployed for pre-closure. A 26 S3 Ultra valve was advanced into position across the annulus. Using the retroflex of the ES commander system, the S3 valve was position to allow co-axial alignment (Figure 4A). Under rapid pacing and balloon expansion, the balloon failed to inflate, suggesting separation of the balloon from the end of the catheter.20 Blood came back into the indeflator. We were able to recapture the valve into the end of the eSheath successfully (Figure 4B) using techniques previously described.20 We then put in a second introducer, and a second 26 mm S3 Ultra valve was used. Articulation of the Flexwheel was applied and excellent co-axial alignment was achieved with the balloon catheter along the outer curvature of the ascending aorta (Figure 4C). This was put in a good position just below the aortic annulus (Figure 4D). The axillary access was closed with two ProGlide sutures, but at the end of the case there appeared to be a poor arterial trace. Angiography revealed arterial dissection at the closure point (Figure 4E). This was dilated with a 5.0 mm coronary balloon. We elected to implant an 8 mm x 37 mm Bentley uncovered stent at the access site. The final result was good with the pulse wave restored with reasonable blood pressure. He was successfully discharged from the hospital after 3 days.
Case 5. An 82-year-old man with severe aortic stenosis and bilateral occluded vertebral arteries was referred for consideration of a TAVI procedure. His TAVI CT showed heavily calcified iliac and femoral arteries. A transcaval approach was excluded due to circumferential distal aortic calcification. He came for the procedure with a creatinine of 310 µmol/L. We placed a Vygon catheter in the right radial and a 5-Fr pigtail in the left radial artery. The right axillary artery was accessed under ultrasound guidance and two ProGlide sutures were placed. A 14-Fr Edwards eSheath was inserted and taken down to ascending aorta positioned just above the aortic annulus. The aortic valve was then crossed, and small Safari wire placed in the left ventricle. A 26-mm S3 Ultra valve was advanced into the sheath which was partially withdrawn to allow space for the balloon catheter/ pusher and valve loading (Figure 5A). We used a significant bend on the pusher to align the valve to the greater curvature of the aorta. As the valve was implanted slowly under rapid pacing, the inner catheter was advanced slightly to hold it just under the annulus (Figure 5B). The angiographic result was very good with excellent valve position and no aortic regurgitation (Figure 5C). Vascular closure was achieved with two ProGlide sutures. The closure was assessed from the right radial approach and confirmed a good seal (Figure 5D). He remained in hospital for 4 days and was discharged home successfully.
Case 6. A 76-year-old man with symptomatic severe aortic stenosis was initially referred to the surgical team for consideration of an inpatient aortic valve replacement (AVR) and coronary artery bypass grafts. He had severe peripheral vascular disease, severe LV impairment, and no good vascular conduits. He was referred for consideration of TAVI. A TAVI CT demonstrated heavily calcified femoral and iliac arteries. The right axillary artery was of reasonable caliber and moderately calcified.
We prepared for right transaxillary TAVI under anesthetic sedation. A Vygon arterial line was placed in the right radial artery and 5 Fr radial sheath was inserted in the left radial for secondary access. Under ultrasound guidance, a 6-Fr access was inserted into the right axillary artery. A ProGlide was deployed for pre-closure. A 6-Fr sheath was progressively up-sized to allow insertion of a 16-Fr eSheath. The initial alignment of the S3 valve was not co-axial with the aortic annulus (Figure 6A). Using the retroflex of the ES commander system, the 29 mm S3 Ultra valve was positioned to the greater curvature of aorta allowing co-axial alignment (Figure 6B). A 29 mm S3 Ultra valve was deployed in a satisfactory position (Figure 6C). Initially there was mild to moderate aortic regurgitation, but this was obliterated with a further 1 ml of contrast. Right axillary artery closure was achieved with an 8-Fr Angio-Seal vascular closure and a ProGlide vascular closure system. There were no complications, and the patient went home the next day.
Discussion
Despite the advances in TAVI device delivery systems, there are still limitations to transfemoral access for TAVI procedures. Various comorbidities and anatomical restrictions preclude TF-TAVI in up to 10% of patients.4,5 Therefore, alternative access options continue to be needed. Left transaxillary access for TAVI is difficult from an organizational and logistical viewpoint in many catheterization laboratories. The right axillary access avoids these difficulties. Operator comfort is improved, imaging visualization is unchanged, team procedural familiarity remains optimal, and radiation protection is straightforward.
A successful right transaxillary procedure with the Edwards Sapien system can be achieved using the pusher catheter flexed and rotated to align with the greater curvature. Minor optimization can then be added with the LV wire and/or the inner valve catheter.
A few minor points are worth noting. The S3 rises only a few millimeters on implantation from the right transaxillary approach. This is probably due to a combination of the shorter distance to the heart and the flex of the pusher catheter which stabilizes the system. Therefore, a slightly higher pre-implant position is required for an optimal implant.
The transaxillary artery is relatively easy to damage. A pair of Proglide sutures can sometimes damage the artery; therefore, we prefer to use a single Proglide and an 8-Fr Angioseal, assuming that the Angioseal sheath stems blood flow on insertion. In case of axillary artery occlusion, having right radial access is important for placement of a stent.
With the modifications described in our article, the right transaxillary approach has now become our preferred secondary access route for TAVI.
Limitations. The main limitation of our study is the small patient population. Additionally, the techniques described above are facilitated by using mainly the ES Commander system.
Conclusion
With the modifications described in our article, the right transaxillary approach is a safe and efficient procedure for TAVI. Right transaxillary access has now become our preferred secondary access route for TAVI.
Impact on daily practice. (1) PRTAX can be used as a secondary access route for TAVI. (2) As compared to left transaxillary access for TAVI, the right axillary access avoids difficulties from an organizational and logistical viewpoint in many catheter labs. (3) Operator comfort is improved, imaging visualization is unchanged, team procedural familiarity remains optimal, and radiation protection is straightforward.
Ethics. The authors have conformed to institutional guidelines. All patients had appropriate and informed procedural consent in this study.
Affiliations and Disclosures
From 1Sussex Cardiac Centre, Brighton and Sussex University Hospitals, Royal Sussex County Hospital, Brighton, England, United Kingdom; and 2Assistant Professor of Cardiology, Peshawar Institute of Cardiology (PIC), Peshawar, Pakistan.
Disclosure: The authors have completed and returned the ICMJE Form for Disclosure of Potential Conflicts of Interest. Dr David Hildick-Smith (DHS) is a proctor and consultant/advisor to Edwards, Medtronic, Boston Scientific and Abbott. Dr James Cockburn (JC) is Proctor for Boston Scientific. All other authors have no conflicts of interest to declare.
The authors report that patient consent was provided for publication of the images used herein.
Manuscript accepted April 12, 2023.
Address for correspondence: Mohammad Waleed, Sussex Cardiac Centre, Brighton and Sussex University Hospitals, Royal Sussex County Hospital, Brighton, BN2 5BE, England, United Kingdom. Email: waleed1280@yahoo.com; mohammed.waleed1@nhs.net
References
1. Mack MJ, Leon MB, Thourani VH, et al. Transcatheter aortic-valve replacement with a balloon-expandable valve in low-risk patients. N Engl J Med. 2019;380(18):1695-1705. Epub 2019 Mar 16. doi: 10.1056/NEJMoa1814052
2. Popma JJ, Deeb GM, Yakubov SJ, et al. Transcatheter aortic-valve replacement with a self-expanding valve in low-risk patients. N Engl J Med. 2019;380(18):1706-1715. Epub 2019 Mar 16. doi: 10.1056/NEJMoa1816885
3. Zhan Y, Toomey N, Ortoleva J, Kawabori M, Weintraub A, Chen FY. Safety and efficacy of transaxillary transcatheter aortic valve replacement using a current-generation balloon-expandable valve." J Cardiothoracic Surg. 2020;15(1):244. doi: 10.1186/s13019-020-01291-z
4. Grover FL, Vemulapalli S, Carroll JD, et al for the STS/ACC TVT Registry. 2016 Annual Report of the Society of Thoracic Surgeons/American College of Cardiology Transcatheter Valve Therapy Registry. Ann Thorac Surg 2017;103(3):1021-1035. Epub 2016 Dec 9. doi: 10.1016/j.athoracsur.2016.12.001
5. Auffret V, Lefevre T, Van Belle E, et al. Temporal trends in transcatheter aortic valve replacement in France: FRANCE 2 to FRANCE TAVI. J Am Coll Cardiol. 2017;70(1):42–55. doi: 10.1016/j.jacc.2017.04.053
6. Lanz J, Greenbaum A, Pilgrim T, Tarantini G, Windecker S. Current state of alternative access for transcatheter aortic valve implantation." Eurointervention. 2018;14(AB):AB40-AB52. doi: 10.4244/EIJ-D-18-00552
7. Overtchouk P, Modine T. Alternate access for TAVI: stay clear of the chest." Interv Cardiol. 2018;13(3):145-150. doi: 10.15420/icr.2018.22.1
8. Gaede L, Kim W-K, Blumenstein J, et al. Temporal trends in transcatheter and surgical aortic valve replacement. Herz. 2017;42(3):316-324. Epub 2016 Aug 5. doi: 10.1007/s00059-016-4461-1
9. Ruge H, Lange R, Bleiziffer S, et al. First successful aortic valve implantation with the Corevalve ReValving System via right subclavian artery access: a case report. Heart Surg Forum. 2008;11(5):E323-E324. doi: 10.1532/HSF98.20081021
10. Nielsen HM Klaaborg KE, Nissen H, et al. A prospective, randomised trial of transapical transcatheter aortic valve implantation vs. surgical aortic valve replacement in operable elderly patients with aortic stenosis: the STACCATO trial. EuroIntervention. 2012;8(3):383-389.
11. Nielsen HM Klaaborg KE, Nissen H, et al. 2017 AHA/ACC focused update of the 2014 AHA/ACC guideline for the management of patients with valvular heart disease: a report of the American College of Cardiology/American Heart Association Task Force on Clinical Practice Guidelines. J Am Coll Cardiol. 2017;70(2):252-289. Epub 2017 Mar 15. doi: 10.1016/j.jacc.2017.03.011
12. Schäfer U, Deuschl F, Schofer N, et al. Safety and efficacy of the percutaneous transaxillary access for transcatheter aortic valve implantation using various transcatheter heart valves in 100 consecutive patients. Int J Cardiol. 2017;232:247-254. Epub 2017 Jan 7. doi: 10.1016/j.ijcard.2017.01.010
13. Gleason TG, Schindler JT, Hagberget RC, et al. Subclavian/axillary access for self-expanding transcatheter aortic valve replacement renders equivalent outcomes as transfemoral." Ann Thorac Surg. 2018;105(2):477-483. Epub 2017 Nov 1. doi: 10.1016/j.athoracsur.2017.07.017
14. Dahle TG, Kaneko T, McCabe JM. Outcomes following subclavian and axillary artery access for transcatheter aortic valve replacement: Society of the Thoracic Surgeons/American College of Cardiology TVT Registry Report. JACC Cardiovasc Interv. 2019;12(7):662-669. doi: 10.1016/j.jcin.2019.01.219
15. van der Wulp K, Verkroost MWA, van Wely MH, et al. Feasibility and outcomes of transcatheter aortic valve implantation using the left axillary artery as primary access site. Ann Thorac Surg. 2019;107(2):546-552. Epub 2018 Oct 4. doi: 10.1016/j.athoracsur.2018.07.093
16. Caceres M, Rebecca B, Roselli EE. The axillary/subclavian artery access route for transcatheter aortic valve replacement: a systematic review of the literature. Ann Thorac Surg. 2012;93(3):1013-1018. Epub 2012 Jan 5. doi: 10.1016/j.athoracsur.2011.10.056
17. Deuschl F, Schofer N, Seiffert M, et al. Direct percutaneous transaxillary implantation of a novel self‐expandable transcatheter heart valve for aortic stenosis." Catheter Cardiovasc Interv. 2017;90(7):1167-1174. Epub 2017 Mar 15. doi: 10.1002/ccd.26986
18. Hilling-Smith R, Cockburn J, Dooley M, et al. Rapid pacing using the 0.035‐in. Retrograde left ventricular support wire in 208 cases of transcatheter aortic valve implantation and balloon aortic valvuloplasty. Catheter Cardiovasc Interv. 2017;89(4):783-786. Epub 2016 Oct 11. doi: 10.1002/ccd.26720
19. Cockburn J, Charlton T, Gomes A, Trivedi U, Hildick-Smith D. Transcatheter aortic valve implantation and simultaneous closure of associated paravalvular leak. Cardiovasc Interv Ther. 2016;31(1):56-60. Epub 2015 Feb 10. doi: 10.1007/s12928-015-0318-4
20. Cockburn J, Arunothayaraj S, Gannaway A, et al. Balloon seal separation leading to Sapien 3 transcatheter heart valve deployment failure: complications and management. Cardiovasc Revasc Med. 2022;40S:144-147. Epub 2021 Jul 24. doi: 10.1016/j.carrev.2021.07.025
Related Reading
TAVI With or Without Predilation: Trends From a Large, Propensity-Score Weighted German Aortic Valve Registry (GARY) Population
Utilization Trends and Short-Term Outcomes for Transcatheter and Surgical Aortic Valve Replacement Surgery in New York
A Novel Model to Predict 1-Year Mortality in Elective Transfemoral Aortic Valve Replacement: The TAVR-Risk Score
Emergent Off-Label TAVR for Native Aortic Valve Endocarditis
Transcatheter Aortic Valve Replacement Through a Single Femoral Access: A Multicenter Experience
Comparison of Catheterization Versus Echocardiographic-Based Gradients in Balloon-Expandable Versus
Self-Expanding Transcatheter Aortic Valve Implantation


