Ruptured Chordae During Percutaneous Mitral Commissurotomy: Immediate Recognition by Intracardiac Echocardiography
J INVASIVE CARDIOL 2023;35(7):E394-E397. doi: 10.25270/jic/22.00364
Key words: Intracardiac echocardiography (ICE); rupture chordae; percutaneous mitral commissurotomy (PMC)
Traditionally, percutaneous mitral commissurotomy (PMC) is performed under fluoroscopy only. In difficult cases, general anesthesia with transesophageal echocardiography (TEE) guidance is needed. Intracardiac echocardiography (ICE) enables operators to perform PMC under local anesthesia while providing intra-procedural imaging guidance, as in TEE. Hereby, we describe a case of PMC guided by ICE to allow early detection of complications.
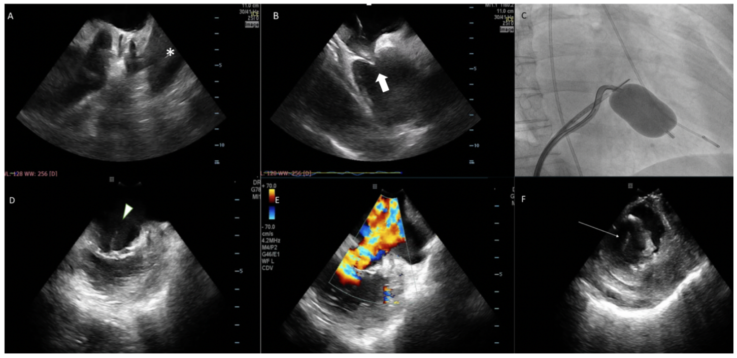
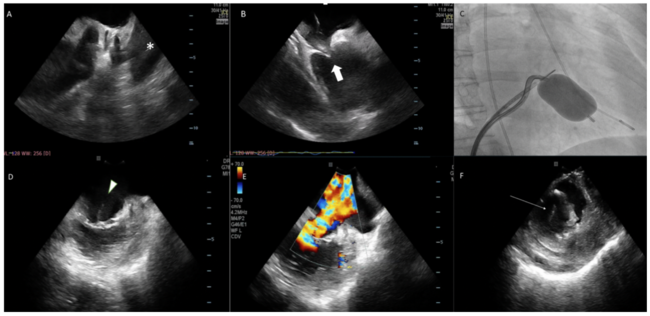
A 67-year-old woman was referred for PMC due to severe mitral stenosis. Pre-operative TEE showed favorable mitral anatomy. Under local anesthesia, ICE (ViewFlex Xtra; Abbott) was first positioned at the main pulmonary artery to exclude left atrial appendage (LAA) thrombus (Figure 1A). Transeptal puncture was guided by ICE at the right atrium (Figure 1B), aiming at inferior-posterior puncture to allow for more direct access to the mitral valve. An Inoue wire was then advanced into the left atrium under full heparinization. After dilatation of the interatrial septum with a 14 Fr dilator, the ICE catheter was advanced into the left atrium through the same transseptal site. The Inoue balloon was directed across the mitral valve and inflated to 24 mm under ICE and fluoroscopic guidance (Figure 1C). Immediately after balloon inflation, a giant V wave was noted. ICE at the left atrial as well as the right ventricular position revealed rupture of the mitral chordae causing severe mitral regurgitation (Figure 1D and 1F, Videos 1-3). Patient remained stable and was referred for early mitral valve surgery.
This case illustrated a typical case of ICE-guided PMC, which improved safety of the procedure by excluding left atrial thrombus, guiding transseptal puncture, and immediate detection of complication without the need for general anesthesia. ICE should be used during PMC to enhance procedural safety and enable early detection of complications should they arise.
Affiliations and Disclosures
From the Division of Cardiology, Queen Elizabeth Hospital, Hong Kong.
Disclosure: The authors have reported that they have no relationships relevant to the contents of this paper to disclose.
The authors attest they are in compliance with human studies committees and animal welfare regulations of the authors’ institutions and Food and Drug Administration guidelines, including patient consent where appropriate.
Manuscript accepted January 6, 2023.
Address for correspondence: Cheuk Bong Ho, MBBS, Division of Cardiology, Queen Elizabeth Hospital, 30 Gascoigne Road, Hong Kong SAR, Email: bongii2001@gmail.com


