Skip to main content

Volume 35 - Issue 3 - March, 2023

03/02/2023
March 2023 TOC and Whole Issue PDF
March 2023 TOC and Whole Issue PDF
March 2023 TOC and Whole Issue...
03/02/2023
Journal of Invasive Cardiology
Original Contribution
03/01/2023
Auristela I.O. Ramos, MD, PhD; Nisia L. Gomes, MD; J. Ribamar Costa, Jr., MD, PhD; Alfredo Nunes Ferreira-Neto, MD; Rafael A. Meneguz-Moreno, MD, PhD; Dimytri Siqueira, MD, PhD; Sergio Navarro Braga, MD, PhD; Cesar A. Esteves, MD, PhD; Amanda G.R.M. Sousa, MD, PhD; Zilda Meneghelo, MD, PhD; Mercedes Maldonado, MD
This database analysis of a single-center, high-volume tertiary institution examines preprocedural risk factors of mitral valve restenosis in patients submitted to percutaneous mitral balloon commissurotomy for mitral stenosis.
This database analysis of a single-center, high-volume tertiary institution examines preprocedural risk factors of mitral valve restenosis in patients submitted to percutaneous mitral balloon commissurotomy for mitral stenosis.
This database analysis of a...
03/01/2023
Journal of Invasive Cardiology
Original Contribution
03/01/2023
Michael L. Sternberg, MD; Joseph Nicolazzi, DO; Murti R. Patel, MD; Jonathan Saado, MD; Sarah Kwiatkowski, DO; Royce Kim, DO; Hem Bhardwaj, MD; Zachary M. Gertz, MD
The authors tested the correlation between thermodilution and Fick measurements of cardiac index across a wide range of tricuspid regurgitation severity in patients undergoing right heart catheterization.
The authors tested the correlation between thermodilution and Fick measurements of cardiac index across a wide range of tricuspid regurgitation severity in patients undergoing right heart catheterization.
The authors tested the...
03/01/2023
Journal of Invasive Cardiology
Brief Communication
03/01/2023
Farouc A. Jaffer, MD, PhD; Bahadir Simsek, MD; Spyridon Kostantinis, MD; Rhian E. Davies, DO, MD, MS, FACC, FSCAI; Lorenzo Azzalini, MD, PhD, MSc; Darshan Doshi, MD, MS; Judit Karacsonyi, MD, PhD; Jaikirshan J. Khatri, MD; Emmanouil S. Brilakis, MD, PhD, FACC, FAHA, FESC, FSCAI; Khaldoon Alaswad, MD
Although high body mass index (BMI) is a known risk factor for the development of cardiovascular diseases, people who are overweight or obese often have better outcomes after cardiac procedures. Whether this "obesity paradox" is observed in...
Although high body mass index (BMI) is a known risk factor for the development of cardiovascular diseases, people who are overweight or obese often have better outcomes after cardiac procedures. Whether this "obesity paradox" is observed in...
Although high body mass index...
03/01/2023
Journal of Invasive Cardiology
Original Contribution
03/01/2023
Kevin Ka-Ho Kam, MBChB; Eugene B. Wu, MD, DM; Guang-Min Tam, MBChB; Bryan P. Yan, MBBS, FRACP, MD; Wai Kin Chi, MBChB; Chak-Yu So, MBChB; Ka-Lung Chui, MBChB; Bernard Wong, MBChB; Joseph Yat-Sun Chan, MBBS
The authors describe the combination use of rotational or orbital atherectomy, with intravascular lithotripsy for modifying CAC prior to stent implantation during PCI and retrospectively analyze the outcomes.
The authors describe the combination use of rotational or orbital atherectomy, with intravascular lithotripsy for modifying CAC prior to stent implantation during PCI and retrospectively analyze the outcomes.
The authors describe the...
03/01/2023
Journal of Invasive Cardiology
Original Contribution
03/01/2023
Philippe Zhang, MD; Paul Abraham, MD; Clémence Ferlay, MD; Panagiotis Antiochos, MD; Henri Lu, MD; Christian Roguelov, MD; Pierre Monney, MD; Simon Oestreicher, MD; Agnese Vella, MD; Stephane Fournier, MD, PhD; Matthias Kirsch, MD, PhD; Eric Eeckhout, MD, PhD; Olivier Roux, MD; Olivier Muller, MD, PhD
Data regarding the prevalence of carotid artery stenosis (CAS) in patients undergoing transcatheter aortic valve implantation (TAVI) are scarce. Whether CAS, especially severe or bilateral, is a predictor of worse prognosis after TAVI is...
Data regarding the prevalence of carotid artery stenosis (CAS) in patients undergoing transcatheter aortic valve implantation (TAVI) are scarce. Whether CAS, especially severe or bilateral, is a predictor of worse prognosis after TAVI is...
Data regarding the prevalence of...
03/01/2023
Journal of Invasive Cardiology
Original Research
03/01/2023
Jonathan S. Roberts, MD; Jianli Niu, MD, PhD
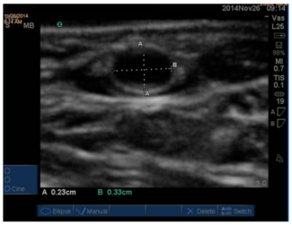
Palpation-guided access of the radial artery (RA) has transradial access (TRA) failure rates averaging 6%-7%.  This study aimed to measure RA and ulnar artery (UA) diameters by ultrasound in a typical American population, in hopes of...
Palpation-guided access of the radial artery (RA) has transradial access (TRA) failure rates averaging 6%-7%.  This study aimed to measure RA and ulnar artery (UA) diameters by ultrasound in a typical American population, in hopes of...
Palpation-guided access of the...
03/01/2023
Journal of Invasive Cardiology
Clinical Images
03/01/2023
Saad M. Ezad, MD, MBBCh; Peter O'Kane, MD, MRCP
This case of a 72-year-old gentleman presenting with angina and moderate stenosis demonstrates the ability to image a target vessel non-invasively and revascularize percutaneously or surgically with bioresorbable vascular scaffolds.
This case of a 72-year-old gentleman presenting with angina and moderate stenosis demonstrates the ability to image a target vessel non-invasively and revascularize percutaneously or surgically with bioresorbable vascular scaffolds.
This case of a 72-year-old...
03/01/2023
Journal of Invasive Cardiology
Clinical Images
03/01/2023
Bruno Brochado, MD; Andre Alexandre, MD; Tiago Adrega, MD; Joao Silveira, MD; Severo Torres, MD; Les Stewart
A 65-year-old man who presented with lateral ST-segment-elevation myocardial infarction was referred for primary percutaneous coronary intervention. These image show brachiocephalic artery perforation with subsequent mediastinal hematoma.
A 65-year-old man who presented with lateral ST-segment-elevation myocardial infarction was referred for primary percutaneous coronary intervention. These image show brachiocephalic artery perforation with subsequent mediastinal hematoma.
A 65-year-old man who presented...
03/01/2023
Journal of Invasive Cardiology
Clinical Images
03/01/2023
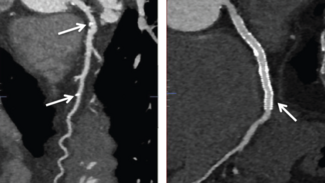
Atsushi Tanaka, MD, PhD; Yuichi Ozaki, MD, PhD; Motoki Taniguchi, MD; Yosuke Katayama, MD, PhD; Yasushi Ino, MD, PhD
This image series shows the use of intravascular ultrasound and optical coherence tomography in the diagnosis and treatment of a 52-year-old male patient with hypertension admitted for inferior ST-segment-elevation myocardial infarction.
This image series shows the use of intravascular ultrasound and optical coherence tomography in the diagnosis and treatment of a 52-year-old male patient with hypertension admitted for inferior ST-segment-elevation myocardial infarction.
This image series shows the use...
03/01/2023
Journal of Invasive Cardiology
Clinical Images
03/01/2023
Barbara D. Lawson, MD; Issa Kutkut, MD; Zachary M. Gertz, MD; Babar Khan, MD; Stephen O. Hunley, MD
When dislodged stents remain on the coronary wire, the wire can be snared outside of the body. These two cases demonstrate the use of the presnaring technique to retrieve dislodged coronary stents when the stent remained on the coronary wire.
When dislodged stents remain on the coronary wire, the wire can be snared outside of the body. These two cases demonstrate the use of the presnaring technique to retrieve dislodged coronary stents when the stent remained on the coronary wire.
When dislodged stents remain on...
03/01/2023
Journal of Invasive Cardiology
Clinical Images
03/01/2023
Javier Rodriguez Collado, MD, PhD; Jesus Herrero Garibi, MD, PhD; Ignacio Cruz-Gonzalez, MD, PhD; Pablo J. Antunez Muinos, MD; Sergio Lopez Tejero, MD
Left atrial appendage occlusion has emerged as an alternative to oral anticoagulation in non-valvular atrial fibrillation. This case shows that the Amplatzer steerable sheath is useful for LAAO, especially in cases with challenging anatomies.
Left atrial appendage occlusion has emerged as an alternative to oral anticoagulation in non-valvular atrial fibrillation. This case shows that the Amplatzer steerable sheath is useful for LAAO, especially in cases with challenging anatomies.
Left atrial appendage occlusion...
03/01/2023
Journal of Invasive Cardiology
Clinical Images
03/01/2023
Konstantinos E. Stathogiannis, MD, PhD; John W. MacArthur, MD; Jason T. Lee, MD; Rahul P. Sharma, MD, MBBS, FRACP
This complex case of a valve embolized into the bicuspid aortic root demonstrates the need for in-depth knowledge of various devices and techniques available. A 75-year-old man presented with New York Heart Association class III symptoms.
This complex case of a valve embolized into the bicuspid aortic root demonstrates the need for in-depth knowledge of various devices and techniques available. A 75-year-old man presented with New York Heart Association class III symptoms.
This complex case of a valve...
03/01/2023
Journal of Invasive Cardiology