An Ultrasound Survey of the Radial and Ulnar Arteries in an American Population: Implications for Transradial Access
Abstract
Background. Palpation-guided access of the radial artery (RA) has transradial access (TRA) failure rates averaging 6%-7%. This study aimed to measure RA and ulnar artery (UA) diameters by ultrasound in a typical American population, in hopes of elucidating data that may improve TRA success rates. Methods. Intraprocedural ultrasound measurements of the RA and UA in 565 consecutive patients undergoing TRA were retrospectively analyzed. Results. The RA is usually larger than the UA, with diameters of 3.0 mm and 2.7 mm, respectively. The UA was larger than the RA in 23% of the population studied, being larger than the RA by ≥20% in 6.5%. Men have larger RAs and UAs than women, with RA/UA diameters of 3.2/2.7 mm and 2.8/2.4 mm, respectively. Body mass index did not correlate with RA diameter. An RA to sheath ratio of <1.0 would have occurred in 6% of men and 16% of women with the use of a 6-Fr slender sheath. The distal RA was 0.5 mm (16%) smaller in diameter than the RA. Conclusions. The RA is usually larger than the UA and will be the artery of choice for access in most patients. The UA was larger than the RA by ≥20% in 6.5% of patients studied, possibly making it the wrist artery of choice for access in many of these patients. No clinical variables predict RA or UA diameters. Ultrasound may improve TRA success rates by allowing accurate sizing of the RA/UA, thereby preventing inadvertent sheath oversizing causing radial artery spasm and TRA failure.
J INVASIVE CARDIOL 2023;35(3):E143-E150. Epub 2023 January 26.
Key words: radial artery, transradial access, ulnar artery, ultrasound guidance, vascular access
Transradial access (TRA) for coronary angiography and percutaneous coronary intervention (PCI) continues to increase worldwide, including the United States, because of the proven clinical benefits to patients1,2 and financial benefits to healthcare systems.2,3 Most operators use palpation-guided access of the radial artery (RA),4 with TRA access failure rates by experienced operators averaging 6%-7%.5,6 Inability to cannulate the RA and radial artery spasm (RAS) are the predominant modes of TRA failure.7,8 Palpation-guided TRA cannot assess the size of the RA, and oversizing of an introducer sheath is a known cause of RAS,9,10 a risk factor for subsequent radial artery occlusion (RAO).11-13 Palpation-guided TRA also has higher crossover rates compared with ultrasound (US)-guided TRA.14,15 This ultrasound survey of the RA and UA in 565 consecutive patients in south Florida was performed to assess the diameter of these arteries in an American population, to calculate RA and ulnar artery (UA) to sheath ratios, and to look for clinical variables that may predict the size of the RA and UA in the hope of elucidating data that may allow for higher TRA success rates.
Methods
This is a secondary analysis of data collected in a study of real-time intraprocedural ultrasound measurements of the RA and UA. The Memorial Healthcare System institutional review board approved this study. Informed consent was waived, as this was solely a retrospective data analysis of a prior prospectively collected anonymized database.
Ultrasound measurements of RA and UA. Intraprocedural US evaluation of the RA and UA was performed in a consecutive series of 565 patients undergoing cardiac catheterization (CC) and/or percutaneous coronary intervention (PCI) by a single operator (JR), 3-5 minutes after 0.4 mg of sublingual nitroglycerin, just prior to real-time US-guided RA or UA access. The group studied included elective outpatient and inpatient procedures performed between February 1, 2014 and January 19, 2015. Patients with ST-segment-elevation myocardial infarction (STEMI) were excluded, as they did not undergo complete measurements of the wrist arteries.
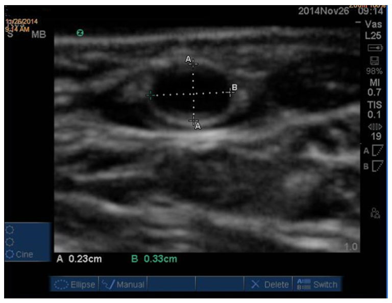
RA/UA measurements were performed using a SonoSite M Turbo portable ultrasound machine equipped with an L25 13-6 MHz vascular transducer probe (SonoSite, Inc) in 2 perpendicular axes: vertical (A, 12–6 o’clock axis) and horizontal (B, 3–9 o’clock axis) (Figure 1). Ultrasound measurements were performed at the typical needle entry points on the wrist, ie, 1-3 cm proximal to the radial styloid process or the pisiform bone. The diameters were measured from the inner-to-inner border of the arterial wall, ie, media to media. The effective size of the artery was calculated as: (A+B)/2.
Data collection and study endpoints. Data for patient age, gender, height, body mass index (BMI), RA and UA sizes, and procedural details (diagnostic or PCI, sheath size, anticoagulation type, access site) were collected and entered in the database. BMI was calculated as weight divided by height squared (kg/m2), and obese classifications were based on World Health Organization definitions (overweight, BMI >25 but <30 kg/m2; obesity class I, BMI 30-34.9 kg/m2; obesity class II, 35-40 kg/m2; and obesity class III, >40 kg/m2).
The primary outcomes of the study were the sizes of RAs and UAs, the radial artery-to-sheath ratio (RASR), and the ulnar artery-to-sheath ratio (UASR). The artery-to-sheath ratio was calculated by dividing the subject’s artery diameter by the outer diameters (ODs) of different sizes of Terumo Glidesheath Slender (GSS) and Glidesheath (GS) introducer sheaths. The ODs of 7 Fr, 6 Fr and 5 Fr GSS sheaths are 2.79 mm, 2.46 mm, and 2.13 mm, respectively. ODs of 6 Fr and 5 Fr GS sheaths are 2.62 mm and 2.29 mm, respectively. Other outcomes included the comparison of radial and ulnar artery size by gender and analysis of the relationship of body size parameters with RA and UA diameters.
Statistical analysis. The data were statistically analyzed with SPSS, version 26 (IBM Corporation). Variables are described as means ± standard deviation or frequency (percentage), as appropriate. The Kolmogorov–Smirnov test was used to test the normality of the distributions of the variables. Differences in the mean values of the variables between groups were analyzed with the unpaired t test. For variables distributed otherwise than normally, differences were assessed by the non-parametric Mann–Whitney U test. One-way analysis of variance followed by Tukey posthoc test was performed to compare differences in radial artery diameters among different BMI groups. Associations between body size variables with RA diameters were analyzed by the Pearson’s correlation test. Differences were considered to be statistically significant at the 2-tailed P<.05.
Results
Patient demographics. A total of 565 patients were studied, with 64% men. The mean age of the study population was 66 years (range, 37-93 years), with women being slightly older than men (68.5 ± 11.0 years vs 65.5 ± 11.9 years; P<.01). BMI was similar in both genders, averaging 29.5 ± 6.0 kg/m2, with 37% being obese (BMI ≥30 kg/m2). Table 1 shows the demographic data of the entire study population.
RA/UA measurements. The mean RA and UA diameters were 3.0 ± 0.6 mm and 2.7 ± 0.6 mm, respectively, in the 565 patients. The diameters of the RA and UA were in a normal Gaussian distribution. The range of the RA diameters was 0.9-5.3 mm, and the range of the UA diameters was 1.1-4.5 mm (Figures 2A and 2B). RA diameter had no strong linear correlation with UA diameter (r=0.24; P<.001) (Figure 2C). Men had larger RA and UA diameters compared with women. The mean diameter of the RA was 3.2 ± 0.6 mm in men and 2.7 ± 0.5 mm in women (Figure 2D) (P<.001). The mean diameter of the UA was 2.8 ± 0.6 mm in men and 2.4 ± 0.5 mm in women (Figure 2D) (P<.001). The RA was larger than the UA in 396 (70%), equal to the UA in 39 (7%), and smaller than the UA in 130 (23%) of 565 patients. Of the 130 patients with a smaller RA, the RA was smaller than the UA by ≥20% in 37 patients (6.5%) (Figure 2F).
Right vs left wrist artery diameters. A total of 502 (89%) of the 565 patients had US measurements made in the right wrist. Sixty-three patients (11%) had measurements made in the left wrist. Mean diameters of the right and left RA were 3.0 ± 0.6 mm and 2.9 ± 0.6 mm, respectively (P=.44) (Figure 3A). Mean diameters of the right and left UA were 2.7 ± 0.6 mm and 2.7 ± 0.6 mm, respectively (P>.99) (Figure 3B). Mean diameters of the right RA and left RA were 3.2 ± 0.6 mm and 3.1 ± 0.5 mm in men vs 2.7 ± 0 .5 mm and 2.4 ± 0.5 mm in women, respectively (Figure 3C). Mean diameters of the right UA and left UA were similar in men (2.8 ± 0.6 mm vs 2.8 ± 0.6 mm; P=.53) and women (2.4 ± 0.5 mm vs 2.4 ± 0.5 mm; P=.77) (Figure 3D). Handedness was not recorded in the database. Measurements of arteries in both the right and left wrists of the same patient were not made.
Dual radial arteries. Ultrasound of the RA occasionally visualized 2 pulsatile “radial arteries.” These 2 arteries are the superficial palmar branch of the radial artery (SPBRA) and the distal radial artery (DRA). This variation in anatomy, ie, a high bifurcation of the RA into the SPBRA and the DRA, was seen in 4.4% of patients, as previously reported.17 The more superficial SPBRA averaged 1.8 ± 0.4 mm in diameter, the deeper DRA averaged 2.6 ± 0.4 mm, and the confluence (the true RA) averaged 3.1 ± 0.4 mm in diameter. No “dual” UAs were seen.
Diameters of the RA in obese patients. The mean RA diameter in the 565 patients studied was 3.0 ± 0.6 mm. One hundred nineteen patients (21%) had a BMI <25 kg/m2, 238 (42%) had a BMI 25-30 kg/m2, 171 (30%) had a BMI 31-40 kg/m2, and 37 (7%) had a BMI >40 kg/m2, with mean RA diameters of 3.0 mm, 3.0 mm, 3.0 mm, and 3.1 mm in these groups, respectively (P=.18) (Figure 4A). A weak correlation was found between RA diameter with height (r=0.35; P<.001), weight (r=0.27; P<.001), and no correlation between RA diameter and BMI (r=0.09; P=.04) (Figures 4B, 4C, 4D).
Radial artery to sheath ratio and ulnar artery to sheath ratio. As shown in Figure 5, an RASR of <1.0 was found in 2% of men with a 5-Fr GSS, 6% of men with a 6-Fr GSS, and 17% of men with a 7-Fr GSS. An RASR of <1.0 was found in 7% of women with a 5-Fr GSS, 16% of women with a 6-Fr GSS, and 49% of women with a 7-Fr GSS. A UASR of <1.0 with 5-Fr GSS, 6-Fr GSS, and 7-Fr GSS was found in 9%, 20%, and 38% of men and 21%, 44%, and 74% of women, respectively. RASR of <1.0 with 5-Fr GS and 6-Fr GS was found in 5% and 13% of men, and in 14% and 43% of women, respectively.
Vertical vs horizontal RA diameters. The vertical diameter of the RA averaged 2.7 ± 0.5 mm. The horizontal diameter of the RA averaged 3.3 ± 0.7 mm. The RA horizontal diameter on average was 0.62 ± 0.52 mm greater than the RA vertical diameter.
Discussion
To our knowledge, this is the first study of a large American population evaluating RA and UA diameters, RASR and UASR, and factors related to RA and UA diameters. Our study results confirm previously reported data of predominantly non-American populations,9,18-20 including the following: (1) The RA is usually larger than the UA, with diameters of 3.0 mm and 2.7 mm, respectively; (2) there was a large range of diameters in the RA and UA, from 0.9-5.3 mm in the RA and 1.1-4.5 mm in the UA, both in a normal Gaussian distribution; (3) men have larger RAs and UAs than women, with RA/UA diameters of 3.2/2.7 mm and 2.8/2.4 mm, respectively; (4) BMI does not correlate with RA diameter; and (5) the RA is larger than the distal RA by 0.5 mm.
Unique findings of our study include the following: (1) the UA was larger than the RA in 23% of the population studied, with the UA being larger than the RA by ≥20% in 6.5%. (2) the bifurcation of the RA into the DRA and SPBRA occurred proximal to the normal TRA access point in 4.4% of patients, which gave the appearance of “dual RAs” on ultrasound, with the smaller SPBRA always being superior to the larger DRA; (3) RASR of <1.0 occurred in 28%, 9%, and 4% of patients studied with 7-Fr, 6-Fr, and 5-Fr GSS sheaths, respectively, and in 24% and 8% with 6-Fr and 5-Fr GS sheaths, respectively; (4) right and left RA diameters were equivalent; (5) the horizontal diameter of the RA averaged 0.62 ± 0.52 mm longer than the vertical diameter of the RA; and (6) RA diameter had a very weak linear correlation with UA diameter (r=0.24; P<.001), ie, knowing the size of the RA did not help in predicting the size of the ipsilateral UA.
Our findings may lead to improved TRA rates and less crossover to a secondary access site by influencing which artery of the wrist should be accessed and which size introducer sheath should be used. As the RA is usually larger than the UA, accessing the RA will be the artery of choice in most patients. However, as the UA was significantly larger (≥20%) than the RA in 6.5% of patients studied, there should be consideration for UA access when the RA has an RASR significantly <1.0 and the ipsilateral UA is larger than the RA. This can only be determined by ultrasound.
If an operator only accesses the RA, using palpation guidance, there may be inadvertent oversizing of a sheath, as the true diameter of the RA can never be known by palpation, thereby causing RAS and possible TRA failure. When the diameter of the RA/UA is known by ultrasound measurement, RASR/UASR can easily be calculated to prevent inadvertent sheath oversizing. In 1999, Saito et al recognized the importance of preventing sheath oversizing in the RA to prevent complications, concluding that “if the ratio of the radial artery inner diameter/cannulated sheath outer diameter is equal to or greater than 1.0, the incidence of flow reduction is significantly low.”9 Our data showed that an RASR of <1.0 would occur in 6% of men and 16% of women with 6-Fr GSS sheaths and in 13% of men and 43% of women with 6-Fr GS sheaths in our population studied. If an RASR is significantly <1.0 for a 6-Fr sheath, one should consider using a smaller sheath to obtain an RASR >1.0 or consider using the ipsilateral UA if it is larger than the RA and the UASR would be >1.0 for the desired sheath. Accessing the UA has been shown to be feasible and safe.21,22 The operator of the current study (JR) uses UA access in approximately 5% of wrist access cases, when the RASR would be < 1.0 for the sheath size desired with the ipsilateral UA being larger than the RA, giving a UASR of >1.0. This strategy has significantly reduced the incidence of sheath-induced RAS, contributing to a consistent TRA failure rate of <1.0%.15
Sheath oversizing is when the RASR is <1.0. In our experience, an RASR >0.88-0.90 in a normal-appearing, non-calcified RA on US usually allows for the successful insertion of a sheath without spasm. This ability of the RA to be successfully stretched by a sheath slightly larger than its resting diameter has been noted by others.9 Anecdotally, in our experience, sheath-induced RAS is usually only seen with an RASR/UASR of <1.0. In a calcified RA, as seen in some dialysis patients, sheath oversizing is in any vessel with RASR <1.0. A calcified RA will not stretch, and attempts to do so usually end in failure. Use of smaller sheaths with an RASR >1.0 or alternative access is recommended for a heavily calcified RA.
Familiarity with the sheathless guiding catheter technique may also prevent oversizing.23,24 A small RA with a diameter of 2.0 mm can be safely accessed with a 5-Fr GSS (OD = 2.13 mm; RASR = 0.94) for a coronary angiogram. If a complex bifurcation lesion is found requiring PCI with a 6-Fr guiding catheter, stepping up to a 6-Fr GSS or 6-Fr GS would result in RASRs of 0.81 and 0.76, respectively, increasing the risk of sheath-induced RAS and TRA failure. If a 6-Fr guiding catheter by itself was then used, this would result in an RASR of 1.0, making it less likely to cause sheath-induced RAS, thereby decreasing the chance of TRA failure.
We found a very large range in RA and UA diameters in our population, with the RA ranging in size from 0.9 to 5.3 mm in diameter. A large RA may feel “weak” in a hypotensive patient or with a deep RA, or a small RA may feel “bounding” in a hypertensive patient or in a very superficial RA. “Weak,” “barely palpable,” and “bounding” pulses by palpation cannot accurately assess RA or UA size. The use of US is the only way one can know the true diameter of the RA or UA.
There were no clinical or anthropometric variables in our study that allowed for the consistent prediction of the size of the RA or UA, as has been documented in previous studies.18 Obese patients do not necessarily have larger RAs than non-obese patients. Tall patients had a weak correlation for larger RA (r=0.35; P<.001). Again, the use of US is the only way to know the size of the RA and UA.
The 2 leading causes of TRA failure by experienced operators are the inability to successfully cannulate the RA7,8 and RAS, some caused by inadvertent sheath oversizing.9 The use of US guidance may significantly reduce both of these complications.14-16 Real-time US to measure the size of the RA and UA, followed by the calculation of the RASR and UASR to guide the operator for proper sheath size selection, may significantly decrease RAS by preventing inadvertent sheath oversizing. Direct US-guided TRA may also improve the ability of operators to successfully cannulate the RA, as compared with palpation-guided TRA.14 As shown in the RAUST trial,14 US-guided TRA compared with palpation-guided TRA access resulted in quicker TRA, a higher percentage of TRA on the first attempt, fewer multiple attempt cases, and less TRA failure with subsequent crossover to another access site.
In most patients, the bifurcation of the SPBRA and DRA occurs at the level of the wrist crease at the base of the thenar eminence, distal to the typical puncture site for TRA. In this data set, a “high bifurcation” in the proximal wrist was seen in 4.4% on US proximal to the typical TRA site. Two parallel arteries were seen, representing the SPBRA and DRA, when using US at the usual site for TRA. When these were followed proximally, the confluence, ie, the true RA, was typically seen 2-3 cm proximal to the typical TRA access site. With US guidance, a high bifurcation can be easily detected, allowing access of the larger, slightly more proximal true RA, rather than of the smaller SPBRA or DRA.17 As the SPBRA is more superficial than the DRA, it is probably palpated more easily than the DRA in a high bifurcation, and may therefore be the artery accessed by palpation when US is not used and a high bifurcation is unknown. As the diameter of the SPBRA averaged 1.82 ± 0.37 mm in our study, even a 5-Fr GSS would have an RASR of significantly <1.0, and may cause spasm of the SPBRA, which could potentially propagate proximally into the RA. As the DRA averaged 2.59 ± 0.36 mm (which was 0.5 mm smaller in diameter than the RA) in our study, it could be accessed in the wrist under US guidance in a high bifurcation and would be adequate in size for a 6-Fr sheath. This can only be known with US guidance. Prevention of inadvertent access of a small SPBRA and accessing the true RA in those with a high bifurcation may be ways to improve TRA success rates in a small number of patients.
Many previous studies measuring RA diameters have used only the vertical axis.18-20 In our study, the vertical diameter of the RA was 0.62 ± 0.52 mm smaller than the horizontal diameter, and 0.31 ± 0.04 mm smaller than the mean RA diameter, ie, the average of the horizontal and vertical diameters. This may partially explain why RA diameters in some previous studies are smaller than those we obtained in our study, because only the vertical diameter was used for determination of RA diameter, while we used the average of the horizontal and vertical diameters to report RA diameter. Also, our patients all received sublingual nitroglycerin 3-5 minutes prior to US measurements, which is known to increase mean RA diameter from baseline by up to 0.5 mm.25-27 When using US to assess the size of the RA, an average of the horizontal and vertical diameters gives the best sizing, rather than only using the vertical diameter. The typical oval shape of the RA seen in our study, with a longer horizontal axis, was likely due to compression of the RA with the US probe.
Most operators already have good success rates with TRA, averaging 93%-94%.5,6 Better success rates will require small incremental changes in our techniques. The use of US in every TRA case may allow some of this small incremental change by preventing inadvertent sheath oversizing causing sheath-induced RAS, accessing the UA when the RASR is significantly <1.0 and the ipsilateral UASR is >1.0, accessing the true RA when the bifurcation of the SPBRA and DRA is anomalously high in the wrist, and allowing direct visualization of the RA for needle-guided access.
Study limitations. This was a retrospective observation study, with the inherent limitations of this type of study. All measurements were performed by a single highly experienced radial operator (JR) who used a standard protocol on all patients. This may have minimized confounding bias. This standard protocol included sublingual nitroglycerin 3-5 minutes prior to RA/UA measurements and then access, which is not the standard in most cath labs. The study population was from south Florida with genetically diverse patients; therefore, population differences may exist that were not captured in this dataset. Measurements of the RA and UA were not obtained in both wrists, but rather only in the wrist that was used for access. Because of this, we could not comment on intra-person variations in right and left RA and UA diameters, ie, whether a small or large RA in one arm was predictive of a small or large RA in the opposite arm.
Conclusion
This survey of the RA and UA in an American population found that men have larger RAs and UAs than women, with RA/UA diameters of 3.2/2.7 mm and 2.8/2.4 mm, respectively. As the RA is usually larger than the UA, the RA will be the artery of choice for TRA access in most patients. In 23% of patients, though, the UA was larger than the RA, and in 6.5% of patients, the UA was ≥20% larger than the RA. In those patients with a small RA and an RASR of <1.0, with the ipsilateral UA being larger than the RA, one should consider accessing the UA if it gives an UASR of >1.0. A unique aspect of our study was the calculation of RASR and UASR in all 565 patients. As 6-Fr sheaths remain the most common used for both diagnostic and interventional TRA,4 we calculated an RASR of <1.0 in 6% of men and 16% of women with the use of a 6-Fr GSS sheath, and in 13% of men and 43% of women with the use of a 6-Fr GS sheath, likely increasing the risk of inadvertent RAS from sheath oversizing if a 6-Fr sheath was used in these patients. There were no clinical variables that allowed size determination of either the RA or UA. Routine intraprocedural US to assess wrist artery anatomy and diameter will allow the operator to use the properly sized sheath in the wrist artery selected for access, likely decreasing inadvertent sheath oversizing and preventing RAS and incrementally improving TRA success. Future studies will be needed to confirm this.
Availability of data. The anonymized data are available from the authors upon reasonable request and after approval from the Memorial Healthcare System institutional review board.
Affiliations and Disclosures
From the Memorial Cardiac and Vascular Institute, Memorial Regional Hospital, Memorial Healthcare System, Hollywood, Florida.
Disclosure: The authors have completed and returned the ICMJE Form for Disclosure of Potential Conflicts of Interest. The authors report no conflicts of interest regarding the content herein.
Manuscript accepted November 18, 2022.
Address for correspondence: Jonathan S. Roberts, MD, 1150 N 35th Avenue, Suite 605, Hollywood, FL 33021. Email: jonathanroberts@mhs.net
References
1. Feldman DN, Swaminathan RV, Kaltenbach LA, et al. Adoption of radial access and comparison of outcomes to femoral access in percutaneous coronary intervention: an updated report from the National Cardiovascular Data Registry (2007-2012). Circulation. 2013;127 (23):2295-3306. doi:10.1161/CIRCULATIONAHA.112.000536
2. Mason PJ, Shah B, Tamis-Holland JE, et al. An update on radial artery access and best practices for transradial coronary angiography and intervention in acute coronary syndrome: a scientific statement from the American Heart Association. Circ Cardiovasc Interv. 2018;11 (9):e000035. doi:10.1161/HCV.0000000000000035
3. Amin AP, Patterson M, House JA, et al. Costs associated with access site and same-day discharge among medicare beneficiaries undergoing percutaneous coronary intervention: an evaluation of the current percutaneous coronary intervention care pathways in the United States. JACC Cardiovasc Interv. 2017;10(4):342-351. doi:10.1016/j.jcin.2016.11.049
4. Shroff AR, Fernandez C, Vidovich MI, et al. Contemporary transradial access practices: results of the second international survey. Catheter Cardiovasc Interv. 2019;93(7):1276-1287. doi:10.1002/ccd.27989
5. Valgimigli M, Gagnor A, Calabró P, et al. Radial versus femoral access in patients with acute coronary syndromes undergoing invasive management: a randomised multicentre trial. Lancet. 2015;385(9986):2465-2476. doi:10.1016/S0140-6736(15)60292-6
6. Mehta SR, Jolly SS, Cairns J, et al. Effects of radial versus femoral artery access in patients with acute coronary syndromes with or without ST-segment elevation. J Am Coll Cardiol. 2012;60(24):2490-2499. doi:10.1016/j.jacc.2012.07.050
7. Abdelaal E, Brousseau-Provencher C, Montminy S, et al. Risk score, causes, and clinical impact of failure of transradial approach for percutaneous coronary interventions. JACC Cardiovasc Interv. 2013;6(11):1129-1137. doi:10.1016/j.jcin.2013.05.019
8. Romagnoli E, Biondi-Zoccai G, Sciahbasi A, et al. Radial versus femoral randomized investigation in ST-segment elevation acute coronary syndrome: the RIFLE-STEACS (Radial Versus Femoral Randomized Investigation in ST-Elevation Acute Coronary Syndrome) study. J Am Coll Cardiol. 2012;155(2):243-248. doi:10.1016/j.ijcard.2010.10.010
9. Saito S, Ikei H, Hosokawa G, Tanaka S. Influence of the ratio between radial artery inner diameter and sheath outer diameter on radial artery flow after transradial coronary intervention. Catheter Cardiovasc Interv. 1999;46(2):173-178. doi:10.1002/(SICI)1522-726X(199902)46:2<173::AID-CCD12>3.0.CO;2-4
10. van der Heijden D, van Leeuwen MA, Janssens GN, et al. Endothelial dysfunction and the occurrence of radial artery spasm during transradial coronary procedures: the ACRA-Spasm study. EuroIntervention. 2016;12(10):1263-1270. doi:10.4244/EIJV12I10A207
11. Goldsmit A, Kiemeneij F, Gilchrist IC, et al. Radial artery spasm associated with transradial cardiovascular procedures: results from the RAS registry. Catheter Cardiovasc Interv. 2014;83(1):E32-E36. doi:10.1002/ccd.25082
12. Aminian A, Lalmand J, Dolatabadi D. Prevention of radial artery spasm: importance of a multifactorial approach. JACC Cardiovasc Interv. 2013;6(11):1214. doi:10.1016/j.jcin.2013.04.026
13. Rashid M, Kwok CS, Pancholy S, et al. Radial artery occlusion after transradial interventions: a systematic review and meta-analysis. J Am Heart Assoc. 2016;5(1):e002686. doi:10.1161/JAHA.115.002686
14. Seto AH, Roberts JS, Abu-Fadel MS, et al. Real-time ultrasound guidance facilitates transradial access: RAUST (Radial Artery access with Ultrasound Trial). JACC Cardiovasc Interv. 2015;8(2):283-291. doi:10.1016/j.jcin.2014.05.036
15. Baumann F, Roberts JS. Evolving techniques to improve radial/ulnar artery access: crossover rate of 0.3% in 1,000 consecutive patients undergoing cardiac catheterization and/or percutaneous coronary intervention via the wrist. J Interv Cardiol. 2015;28(6):574-582. doi:10.1111/joic.12258
16. Chugh SK, Chugh S, Chugh Y, Rao SV. Feasibility and utility of pre-procedure ultrasound imaging of the arm to facilitate transradial coronary diagnostic and interventional procedures (PRIMAFACIE-TRI). Catheter Cardiovasc Interv. 2013;82(1):64-73. doi:10.1002/ccd.24585
17. Baumann F, Roberts JS. Real time intraprocedural ultrasound measurements of the radial and ulnar arteries in 565 consecutive patients undergoing cardiac catheterization and/or percutaneous intervention via the wrist: understanding anatomy and anomalies may improve access success. J Interv Cardiol. 2015;28(6):574-582. doi:10.1111/joic.12258
18. Dharma S, Kedev S, Patel T, et al. Radial artery diameter does not correlate with body mass index: a duplex ultrasound analysis of 1706 patients undergoing trans-radial catheterization at three experienced radial centers. Int J Cardiol. 2017;20(8):674-677. doi:10.1016/j.carrev.2018.09.006
19. Beniwal S, Bhargava K, Kausik SK. Size of distal radial and distal ulnar arteries in adults of southern Rajasthan and their implications for percutaneous coronary interventions. Indian Heart J. 2014;66(5):506-509. doi:10.1016/j.ihj.2014.08.010
20. Ashraf T, Panhwar Z, Habib S, et al. Size of radial and ulnar artery in local population. J Pak Med Assoc. 2010;60(10):817-819.
21. Fernandez R, Zaky F, Ekmejian A, et al. Safety and efficacy of ulnar artery approach for percutaneous cardiac catheterization: systematic review and meta-analysis. Catheter Cardiovasc Interv. 2018;91(7):1273-1280. doi:10.1002/ccd.27479
22. Kong N, Rasberry K, Gold D, et al. The transulnar approach to coronary angiography and intervention: assessing the anatomy of the ulnar artery using angiography. J Invasive Cardiol. 2022;34(3):E164-E170.
23. Tada N, Takizawa K, Kahata M, Taguri M, Ootomo T, Inoue N. Sheathless guide catheter coronary intervention via radial artery: single-center experience with 9658 procedures. J Invasive Cardiol. 2015;27(5):237-241.
24. Chen HC, Lee WC, Hsueh SK, et al. Transradial percutaneous coronary intervention for chronic total occlusion of coronary artery disease using sheathless standard guiding catheters. Int J Cardiol Heart Vasc. 2014;6:35-41. doi:10.1016/j.ijcha.2014.12.001
25. Oshibuchi R, Ueno A. An analysis of the effects of nitroglycerin on forearm circumference, with simultaneous recordings of arterial and venous diameters and blood pressure. Jpn Heart J. 1997;38(3):409-417. doi:10.1536/ihj.38.409
26. Chong AY, Lo T, George S, Ratib K, Mamas M, Nolan J. The effect of pre-procedure sublingual nitroglycerin on radial artery diameter and Allen’s test outcome—relevance to transradial catheterization. Cardiovasc Revasc Med. 2018;19(2):163-167. doi:10.1016/j.carrev.2017.07.016
27. Roberts J, Manur R. Ultrasound-guided radial artery access by a non-ultrasound trained interventional cardiologist improved first-attempt success rates and shortened time for successful radial artery cannulation. J Invasive Cardiol. 2013;25(12):676-679.


