Skip to main content

Volume 34 - Issue 4 - April, 2022

04/03/2022
April 2022 Table of Contents and Whole Issue PDF
April 2022 Table of Contents and Whole Issue PDF
April 2022 Table of Contents and...
04/03/2022
Journal of Invasive Cardiology
Original Contribution
04/01/2022
Akihiko Takahashi, MD, PhD; Norimasa Taniguchi, MD, PhD; Takeshi Yamada, MD; Yuki Matsubara, MD; Shunsuke Nakajima, MD, PhD; Soichiro Washimi, MD; Tetsuya Hata, MD; Sho Hashimoto, MD
Distal radial artery access is a novel alternative to conventional radial artery access for coronary catheterization. This study investigated the incidence of vascular complications with percutaneous coronary intervention from DRA access...
Distal radial artery access is a novel alternative to conventional radial artery access for coronary catheterization. This study investigated the incidence of vascular complications with percutaneous coronary intervention from DRA access...
Distal radial artery access is a...
04/01/2022
Journal of Invasive Cardiology
Original Contribution
04/01/2022
Tobias Koppara, MD; Michael Joner, MD; Erion Xhepa, MD, PhD; Adnan Kastrati, MD; Thorsten Kessler, MD; Tareq Ibrahim, MD; Karl-Ludwig Laugwitz, MD; Sebastian Kufner, MD; Salvatore Cassese, MD; Heribert Schunkert, MD; J. J. Coughlan, MB, BCh; Tobias Lenz, MD; Tobias Koch, MD; Jens Wiebe, MD
This study aimed to compare 10-year clinical outcomes in patients with acute coronary syndrome (ACS) treated with new-generation biodegradable-polymer (BP-DES), polymer-free (PF-DES), and permanent-polymer drug-eluting stents (PP-DES).
This study aimed to compare 10-year clinical outcomes in patients with acute coronary syndrome (ACS) treated with new-generation biodegradable-polymer (BP-DES), polymer-free (PF-DES), and permanent-polymer drug-eluting stents (PP-DES).
This study aimed to compare...
04/01/2022
Journal of Invasive Cardiology
Original Contribution
04/01/2022
Ming-Sum Lee, MD, PhD; Rohith Nayak, MD; Sarah Chiu, MD; Franz Schweis, MD; Albert Y.J. Shen, MD, MS
This study’s purpose is to evaluate the incidence, predictors, and outcomes of patients presenting to the cardiac catheterization laboratory with takotsubo syndrome complicated by respiratory failure or shock.
This study’s purpose is to evaluate the incidence, predictors, and outcomes of patients presenting to the cardiac catheterization laboratory with takotsubo syndrome complicated by respiratory failure or shock.
This study’s purpose is to...
04/01/2022
Journal of Invasive Cardiology
Original Contribution
04/01/2022
Farhang Aminfar, MD; Benjamin Honton, MD; Pierre Meyer, MD; Julien Adjedj, MD, PhD; Claude Mariottini, MD; Philippe Durand, MD; Maelle Haessler, RT; Philippe Vareille, RT; William Wijns, MD, PhD; Luc Maillard, MD, PhD
The authors aimed to validate whether quantitative flow ratio (QFR) analysis could be performed by both medical and paramedical certified users.
The authors aimed to validate whether quantitative flow ratio (QFR) analysis could be performed by both medical and paramedical certified users.
The authors aimed to validate...
04/01/2022
Journal of Invasive Cardiology
Original Contribution
04/01/2022
Thomas Hovasse, MD; Hakim Benamer, MD; Stephane Champagne, MD; Thierry Lefèvre, MD; Philippe Garot, MD; Antoinette Neylon, MD; Bernard Chevalier, MD; Thierry Unterseeh, MD; Yves Louvard, MD; Francesca Sanguineti, MD; Anna Maria Loppolo, MD
The aim of this study was to identify independent angiographic predictors of collateral channel tracking success, microcatheter tracking failure, and complications in chronic total occlusion retrograde approach.
The aim of this study was to identify independent angiographic predictors of collateral channel tracking success, microcatheter tracking failure, and complications in chronic total occlusion retrograde approach.
The aim of this study was to...
04/01/2022
Journal of Invasive Cardiology
Brief Communication
04/01/2022
Judit Karacsonyi, MD, PhD; Khaldoon Alaswad, MD; Farouc A. Jaffer, MD, PhD; Emmanouil S. Brilakis, MD, PhD, FACC, FAHA, FESC, FSCAI; Bahadir Simsek, MD; Spyridon Kostantinis, MD; Mir Babar Basir, MD, DO; Sevket Gorgulu, MD; Michael S. Megaly, MD, MS; Amirali Masoumi, MD
The authors aimed to investigate temporal trends in retrograde crossing of epicardial collaterals, introduction of new guidewires, in-hospital MACE, and success rates.
The authors aimed to investigate temporal trends in retrograde crossing of epicardial collaterals, introduction of new guidewires, in-hospital MACE, and success rates.
The authors aimed to investigate...
04/01/2022
Journal of Invasive Cardiology
Brief Communication
04/01/2022
Tobias Zeus, MD; Xavier Freixa, MD, PhD; Sergio Berti, MD; Sven Fischer, MD; Boris Schmidt, MD; Kai Magnusson, MD; Carsten Skurk, MD; Pedro Luis Cepas-Guillen, MD
This paper aimed to assess the outcomes of nonagenarian patients undergoing LAAO from the prospective global Amplatzer Amulet observational study.
This paper aimed to assess the outcomes of nonagenarian patients undergoing LAAO from the prospective global Amplatzer Amulet observational study.
This paper aimed to assess the...
04/01/2022
Journal of Invasive Cardiology
Original Contribution
04/01/2022
Mario Goessl, MD, PhD; Yale Wang, MD; Ivan Chavez, MD; Anil Poulose, MD; M. Nicholas Burke, MD; Emmanouil S. Brilakis, MD, PhD, FACC, FAHA, FESC, FSCAI; Judit Karacsonyi, MD, PhD; Yashasvi Chugh, MD; Rupinder Buttar, MD; Tak W. Kwan, MD, FACC; Evangelia Vemmou, MD; Ilias Nikolakopoulos, MD; Santiago Garcia, MD
Percutaneous coronary interventions (PCI) with intravascular ultrasound (IVUS) guidance have been associated with better long-term outcomes, but adoption remains limited. There are limited data on the impact of IVUS on chronic total...
Percutaneous coronary interventions (PCI) with intravascular ultrasound (IVUS) guidance have been associated with better long-term outcomes, but adoption remains limited. There are limited data on the impact of IVUS on chronic total...
Percutaneous coronary...
04/01/2022
Journal of Invasive Cardiology
Original Contribution
04/01/2022
Arturo Giordano, MD, PhD; Nicola Corcione, MD; Paolo Ferraro, MD; Giuseppe G.L. Biondi-Zoccai, MD, PhD; Martino Pepe, MD, PhD; Palma Luisa Nestola, MD; Alberto Morello, MD; Michele Cimmino, MD; Michele Albanese, MD; Salvatore Giordano, MD
The next iteration of drug-eluting stents (DESs) for percutaneous coronary intervention (PCI) has focused on bioresorbable polymers and thin struts. The Alex Plus DES is a new-generation sirolimus-eluting device with 70 µm cobalt chromium...
The next iteration of drug-eluting stents (DESs) for percutaneous coronary intervention (PCI) has focused on bioresorbable polymers and thin struts. The Alex Plus DES is a new-generation sirolimus-eluting device with 70 µm cobalt chromium...
The next iteration of...
04/01/2022
Journal of Invasive Cardiology
Original Contribution
04/01/2022
Shmuel Banai, MD; Haim Danenberg, MD; Aviram Hochstadt, MD; Itamar Loewenstein, MD; David Zahler, MD; Ariel Finkelstein, MD; Hana Vaknin-Assa, MD; Yan Topilsky, MD; Katia Orvin, MD; Maayan Konigstein, MD; Shmuel Bazan, MD; David Planner, MD; Arie Steinvil, MD; Amir Halkin, MD; Abid R. Assali, MD; Victor Guetta, MD; Ran Kornowski, MD; Israel M. Barbash, MD; Amit Segev, MD
The Medtronic Evolut Pro valve (EPV) is a new-generation self-expanding valve (SEV), particularly designed to reduce paravalvular leak (PVL) rates in transcatheter aortic valve replacement (TAVR). We aimed to compare the safety and efficacy...
The Medtronic Evolut Pro valve (EPV) is a new-generation self-expanding valve (SEV), particularly designed to reduce paravalvular leak (PVL) rates in transcatheter aortic valve replacement (TAVR). We aimed to compare the safety and efficacy...
The Medtronic Evolut Pro valve...
04/01/2022
Journal of Invasive Cardiology
Original Contribution
04/01/2022
Mattia Galli, MD; Adriaan Wilgenhof, MD; Giuseppe G.L. Biondi-Zoccai, MD, PhD; Yannick Willemen, MD, PhD; Benjamin Scott, MD; Carl Convens, MD; Paul Vermeersch, MD, PhD; Francesco Romeo, MD; Stefan Verheye, MD, PhD; Carlo Zivelonghi, MD; Giovanni M. Vescovo, MD; Juan Guido Chiabrando, MD; Marco Lombardi, MD; Pierfrancesco Agostoni, MD, PhD; Marco Giuseppe Del Buono, MD
Provisional stenting was considered the preferred technique for LM bifurcation PCI due to the supposed lower risks of thrombosis and restenosis. However, recent studies showed potential advantages of double kissing-crush technique over the...
Provisional stenting was considered the preferred technique for LM bifurcation PCI due to the supposed lower risks of thrombosis and restenosis. However, recent studies showed potential advantages of double kissing-crush technique over the...
Provisional stenting was...
04/01/2022
Journal of Invasive Cardiology
Clinical Images
04/01/2022
Yamasandi Siddegowda Shrimanth, MD, DM; Yash Paul Sharma, MD, DM; Dinkar Bhasin, MBBS, MD, DM; Prashant Panda, MD, DM
A 63-year-old male patient presented with angina for 6 months with recent aggravation of symptoms. Physical examination was unremarkable. The electrocardiogram was within normal limits, cardiac troponin levels were not elevated, and left...
A 63-year-old male patient presented with angina for 6 months with recent aggravation of symptoms. Physical examination was unremarkable. The electrocardiogram was within normal limits, cardiac troponin levels were not elevated, and left...
A 63-year-old male patient...
04/01/2022
Journal of Invasive Cardiology
Clinical Images
04/01/2022
Raúl Moreno-Gómez, MD, PhD; Guillermo Galeote, MD, PhD; Santiago Jimenez-Valero, MD, PhD; Alfonso Jurado-Román, MD, PhD; Andrea Severo, MD
An 84-year-old male presented with refractory angina despite optimal medical treatment and multiple coronary revascularization procedures. Coronary sinus (CS) reducer implantation was programmed.
An 84-year-old male presented with refractory angina despite optimal medical treatment and multiple coronary revascularization procedures. Coronary sinus (CS) reducer implantation was programmed.
An 84-year-old male presented...
04/01/2022
Journal of Invasive Cardiology
Clinical Images
04/01/2022
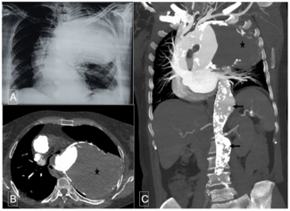
Yamasandi Siddegowda Shrimanth, MD, DM; Parag Barwad, MD, DM; Muniraju Maralakunte, MD; Arun Sharma, MD, DM; Bhupendra Kumar Sihag, MD, DM
A 61-year-old hypertensive female patient with dyslipidemia presented with hoarseness of voice for the past 2 months. Her physical examination revealed tracheal shift to the right and dullness and decreased breath sounds in the left...
A 61-year-old hypertensive female patient with dyslipidemia presented with hoarseness of voice for the past 2 months. Her physical examination revealed tracheal shift to the right and dullness and decreased breath sounds in the left...
A 61-year-old hypertensive...
04/01/2022
Journal of Invasive Cardiology
Clinical Images
04/01/2022
Zaki Akhtar, MBBS; Christos Kontogiannis, MD; Sumeet Sharma, MD
A 65-year-old man with a prior history of pulmonary embolism was admitted with resting chest pain. High-sensitive troponin level was normal (32 ng/L [0-40]) and physical examination was unremarkable. The 12-lead electrocardiogram revealed...
A 65-year-old man with a prior history of pulmonary embolism was admitted with resting chest pain. High-sensitive troponin level was normal (32 ng/L [0-40]) and physical examination was unremarkable. The 12-lead electrocardiogram revealed...
A 65-year-old man with a prior...
04/01/2022
Journal of Invasive Cardiology
Original Contribution
03/25/2022
Teresa Romero Delgado, MD; Gabriela Tirado-Conte, MD; Pilar Jimenez-Quevedo, MD; Angela McInerney, MD; Luis Marroquin, MD; Alberto Alperi, MD, PhD; Laurent Faroux, MD, MSc; Guillem Muntane-Carol, MD; Siamak Mohammadi, MD; Eric Dumont, MD; Robert De La Rochelliere, MD; Josep Rodés-Cabau, MD, PhD; Dimitri Kalavrouziotis, MD; Jean-Michel Paradis, MD; Luis Nombela-Franco, MD; Carlos Macaya, MD, PhD; Maxime Tetu-Couture, MS
Unplanned hospital readmissions after transcatheter aortic valve replacement (TAVR) are frequent and have been associated with a poor prognosis. The authors sought to determine the trends in the incidence and causes of unplanned hospital...
Unplanned hospital readmissions after transcatheter aortic valve replacement (TAVR) are frequent and have been associated with a poor prognosis. The authors sought to determine the trends in the incidence and causes of unplanned hospital...
Unplanned hospital readmissions...
03/25/2022
Journal of Invasive Cardiology