Ortner’s Syndrome Due to Giant Thoracic Aortic Aneurysm
Key words: aortic aneurysm, Ortner’s syndrome, cardiovocal syndrome, atherosclerosis
Case Presentation
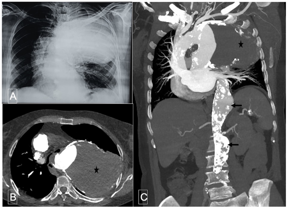
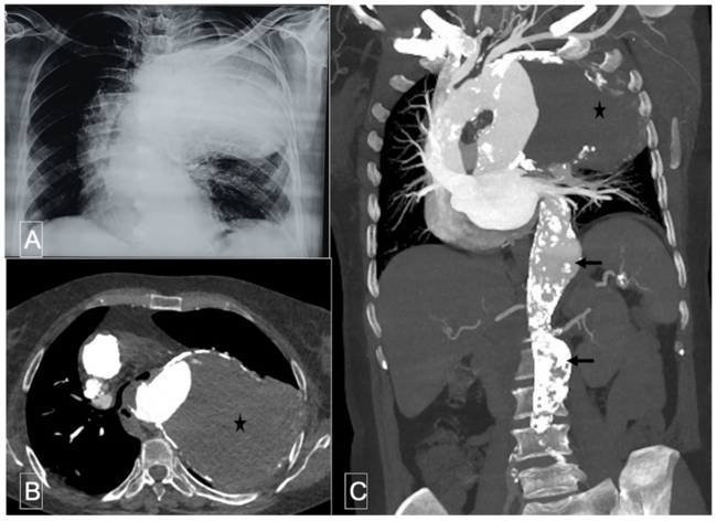
A 61-year-old hypertensive female patient with dyslipidemia presented with hoarseness of voice for the past 2 months. Her physical examination revealed tracheal shift to the right and dullness and decreased breath sounds in the left infrascapular area. Chest radiograph showed a smooth, round opacity in the upper and middle lung fields in the left lung with its broad base toward the upper mediastinum (Figure 1A). Computed tomography (CT) of the chest and aorta revealed a giant saccular aneurysm of the proximal descending thoracic aorta (DTA) with eccentric thrombosis of most of the aneurysmal sac (Figure 1B and Figure 1C). CT aortogram also showed 2 additional aortic aneurysms at the distal DTA and abdominal aorta with extensive background atherosclerotic disease. The patient was advised to consider surgical repair of the aneurysm, but refused surgery and decided to remain on medical therapy.
Ortner’s syndrome is hoarseness of the voice caused by enlarged cardiac structures compressing the left recurrent laryngeal nerve (LRLN). The LRLN is vulnerable for impingement by cardiac structures due to its anatomical course. LRLN is longer and it hooks below the arch of the aorta, posterior to the ligamentum arteriosum before ascending toward the tracheo-esophageal groove. Ortner’s syndrome has been commonly described with left atrial enlargement due to mitral stenosis; however, other causes like aortic aneurysm, pulmonary artery aneurysm, and aortic dissection have been described. Although rare, hoarseness of the voice could be the only presenting complaint in aortic aneurysms, like in this case.
Affiliations and Disclosures
From the 1Department of Cardiology and 2Department of Radiodiagnosis and Imaging, Postgraduate Institute of Medical Education and Research, Chandigarh, India.
Disclosure: The authors have completed and returned the ICMJE Form for Disclosure of Potential Conflicts of Interest. The authors report no conflicts of interest regarding the content herein.
Manuscript accepted January 3, 2022.
Address for correspondence: Dr. Bhupendra Kumar Sihag, MD, DM, Assistant Professor, Department of Cardiology, Advanced Cardiac Center, PGIMER Chandigarh 160012. Email: drbhupendrasihag@gmail.com
Related Articles


