Skip to main content

Volume 34 - Issue 11 - November, 2022

11/01/2022
November 2022 Table of Contents
November 2022 Table of Contents
November 2022 Table of Contents
11/01/2022
Journal of Invasive Cardiology
Clinical Images
11/01/2022
Alejandro Lemor, MD; Pedro Villablanca, MD, MSc; Mir Babar Basir, MD, DO; Mohammad Alqarqaz, MD; Lina Ya'Quob, MD
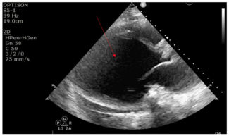
This case visually demonstrates the effect of LV unloading in a 30-year-old male, with a history of coronavirus disease 2019 (COVID-19) myocarditis. The patient developed COVID-19 and subsequently developed nonischemic cardiomyopathy with an...
This case visually demonstrates the effect of LV unloading in a 30-year-old male, with a history of coronavirus disease 2019 (COVID-19) myocarditis. The patient developed COVID-19 and subsequently developed nonischemic cardiomyopathy with an...
This case visually demonstrates...
11/01/2022
Journal of Invasive Cardiology
Clinical Images
11/01/2022
Ankita Dhir, MD; Yash Paul Sharma, MD, DM; Dinkar Bhasin, MBBS, MD, DM
A woman in her 60s presented with symptomatic complete heart block and was advised permanent pacemaker implantation. During the procedure, left axillary vein access was attempted using fluoroscopic landmarks but was not successful. A venogram...
A woman in her 60s presented with symptomatic complete heart block and was advised permanent pacemaker implantation. During the procedure, left axillary vein access was attempted using fluoroscopic landmarks but was not successful. A venogram...
A woman in her 60s presented...
11/01/2022
Journal of Invasive Cardiology
Clinical Images
11/01/2022
Achmad Fauzi Yahya, MD; Aninka Saboe, MD
A 53-year-old man was planned for staged percutaneous coronary intervention (PCI) to the left circumflex artery (LCX). He had history of primary PCI at the proximal left anterior descending (LAD) 6 months earlier. Following coronary...
A 53-year-old man was planned for staged percutaneous coronary intervention (PCI) to the left circumflex artery (LCX). He had history of primary PCI at the proximal left anterior descending (LAD) 6 months earlier. Following coronary...
A 53-year-old man was planned...
11/01/2022
Journal of Invasive Cardiology
Clinical Images
11/01/2022
Andreas S. Kalogeropoulos, MD, PhD, FRCP; John Klein, MRCP; Simon R. Redwood, MD, FRCP, MBBS; Bernard Prendergast, PhD, FRCP, MD; Tiffany Patterson, MBBS, PhD, FRCP
A 76-year-old-male transferred to our center with severe breathlessness (New York Heart Association III-IV). On examination, he was afebrile, hypoxic, and tachycardic with a wide pulse-pressure (blood pressure, 110/40 mm Hg). Chest...
A 76-year-old-male transferred to our center with severe breathlessness (New York Heart Association III-IV). On examination, he was afebrile, hypoxic, and tachycardic with a wide pulse-pressure (blood pressure, 110/40 mm Hg). Chest...
A 76-year-old-male transferred...
11/01/2022
Journal of Invasive Cardiology
Original Contribution
11/01/2022
Maria N. Tovar Forero, MD; Leon Visser, BSc; Alessandra Scoccia, MD; Eric Boersma, PhD; Tara Neleman, BSc; Rutger-Jan Nuis, MD, PhD; Frederik T.W. Groenland, MD; Wijnand K. den Dekker, MD, PhD; Jurgen M.R. Ligthart, RT, BSc; Jeroen Wilschut, MD; Nicolas M. Van Mieghem, MD, PhD; Roberto Diletti, MD, PhD; Joost Daemen, MD, PhD; Felix Zijlstra, MD, PhD
Thinner stent struts might lead to a higher risk of recoil and subsequently a smaller minimal stent area (MSA), which is known to be the strongest predictor of stent failure. We compared procedural performance between an ultrathin-strut...
Thinner stent struts might lead to a higher risk of recoil and subsequently a smaller minimal stent area (MSA), which is known to be the strongest predictor of stent failure. We compared procedural performance between an ultrathin-strut...
Thinner stent struts might lead...
11/01/2022
Journal of Invasive Cardiology
Original Contribution
10/25/2022
Peter W. Guyon, Jr., MD; Nicholas J. Dreger, MD; Nicole L. Herrick, MD; Howaida G. El-Said, MD, PhD; John W. Moore, MD, MPH
PA/IVS is a rare cyanotic congenital heart lesion traditionally palliated with multiple procedures and surgeries. Entirely non-surgical transcatheter management from infancy to adulthood may be possible; however, the pathway from neonatal...
PA/IVS is a rare cyanotic congenital heart lesion traditionally palliated with multiple procedures and surgeries. Entirely non-surgical transcatheter management from infancy to adulthood may be possible; however, the pathway from neonatal...
PA/IVS is a rare cyanotic...
10/25/2022
Journal of Invasive Cardiology
Original Contribution
10/20/2022
Ismail Dogu Kilic, MD; Mehmet Cilingiroglu, MD, FSCAI, FACC, FESC, FAHA; Ibrahim Halil Inanc, MD; Muhammad Ajmal, MD; Cezar A. Iliescu, MD, FACC, FSCAI; Konstantinos Marmagkiolis, MD, MBA, FACC, FSCAI
Approximately 5.8 million people experience peripheral arterial disease (PAD) in the United States today. Superficial femoral artery (SFA) disease is the most common cause of symptomatic PAD. New-generation nitinol stents, drug-coated stents,...
Approximately 5.8 million people experience peripheral arterial disease (PAD) in the United States today. Superficial femoral artery (SFA) disease is the most common cause of symptomatic PAD. New-generation nitinol stents, drug-coated stents,...
Approximately 5.8 million people...
10/20/2022
Journal of Invasive Cardiology
Original Contribution
10/20/2022
Won-Keun Kim, MD; Johannes Blumenstein, MD, PhD
Few data exist on immediate outcomes of the next-generation Acurate neo2 prosthesis (Boston Scientific), which is distinguished by an active sealing mechanism. We sought to determine procedural outcomes of transfemoral transcatheter aortic...
Few data exist on immediate outcomes of the next-generation Acurate neo2 prosthesis (Boston Scientific), which is distinguished by an active sealing mechanism. We sought to determine procedural outcomes of transfemoral transcatheter aortic...
Few data exist on immediate...
10/20/2022
Journal of Invasive Cardiology
Original Contribution
10/13/2022
Georg Wolff, MD; Raphael Romano Bruno, MD; Tobias Zeus, MD; Artur Lichtenberg; Malte Kelm, MD; Friedhelm Beyersdorf; Christian Jung, MD, PhD; Christian W. Hamm, MD, PhD, FESC; Jan Gummert, MD, PhD; Andreas M. Zeiher, MD; Magnus Settergren, MD; Amin Polzin, MD; Bernhard Wernly, MD, PhD; Christian Frerker, MD; Raffi Bekeredjian, MD; Timm Bauer, MD; Andreas Beckmann, MD; Sabine Bleiziffer, MD; Stephan M. Ensminger, MD, PhD; Helge Möllmann, MD, PhD; Christopher U. Meduri, MD, MPH; Thomas Walther, MD, PhD; Kari Feldt, MD
We aimed to develop and validate an effective prediction model for 1-year mortality risk in elective transfemoral transcatheter aortic valve replacement (TAVR), ie, the TAVR-Risk (TARI) model.
We aimed to develop and validate an effective prediction model for 1-year mortality risk in elective transfemoral transcatheter aortic valve replacement (TAVR), ie, the TAVR-Risk (TARI) model.
We aimed to develop and validate...
10/13/2022
Journal of Invasive Cardiology
Original Research
10/13/2022
Santiago Garcia, MD; Anastasios Milkas, MD, PhD; Byeong-Keuk Kim, MD, PhD; M. Nicholas Burke, MD; Nidal Abi Rafeh, MD; Jaikirshan J. Khatri, MD; Lorenzo Azzalini, MD, PhD, MSc; Kevin J. Croce, MD, PhD; Michael S. Megaly, MD, MS; Khaldoon Alaswad, MD; Amirali Masoumi, MD; Wissam A. Jaber, MD; Kambis Mashayekhi, MD; William J. Nicholson, MD; Margaret B. McEntegart, MD, PhD, BSc(Hons), MBChB; Andrea Gagnor, MD; Seung-Whan Lee, MD, PhD; Georgios Sianos, MD, PhD; Scott A. Harding, MD, RT(R)(CV); Dimitrios Karmpaliotis, MD, PhD; Alexandre Avran, MD, PhD; Yangsoo Jang, MD, PhD; Emmanouil S. Brilakis, MD, PhD, FACC, FAHA, FESC, FSCAI; Farouc A. Jaffer, MD, PhD; Darshan Doshi, MD, MS; Judit Karacsonyi, MD, PhD; Etsuo Tsuchikane, MD, PhD; Bahadir Simsek, MD; Hsien-Li Kao, MD; Bavana V. Rangan, BDS, MPH, MD; Carlo Di Mario, MD, PhD, FESC, FACC, FRCP; Spyridon Kostantinis, MD; Roberto Garbo, MD; Alfredo Ruggero Galassi, MD; Paul Poommipanit, MD, FACC, FSCAI; Khalid O. Tammam, MD, PhD; Gerald S. Werner, MD, PhD; Evangelia Vemmou, MD; Masahisa Yamane, MD, PhD; Eugene B. Wu, MD, DM; Ilias Nikolakopoulos, MD; Stéphane Rinfret, MD, SM; Paul Knaapen, MD, PhD
Chronic total occlusion (CTO) percutaneous coronary intervention (PCI) can improve patient symptoms, but it remains controversial whether it impacts subsequent clinical outcomes.
Chronic total occlusion (CTO) percutaneous coronary intervention (PCI) can improve patient symptoms, but it remains controversial whether it impacts subsequent clinical outcomes.
Chronic total occlusion (CTO)...
10/13/2022
Journal of Invasive Cardiology
Original Contribution
10/13/2022
Valeria Duarte, MD; Ponraj Chinnadurai, MBBS; C. Huie Lin, MD, PhD; Maria Katsarou, MD
Endovascular repair of aortic coarctation (CoA) has become an important tool in the treatment of an expanding patient population. In this study, we present our 10-year experience with endovascular repair of CoA.
Endovascular repair of aortic coarctation (CoA) has become an important tool in the treatment of an expanding patient population. In this study, we present our 10-year experience with endovascular repair of CoA.
Endovascular repair of aortic...
10/13/2022
Journal of Invasive Cardiology
Original Contribution
09/16/2022
Claudiu Ungureanu, MD; Marc Blaimont, MD; Silviu Dumitrascu, MD; Caroline Lepiece, MD; Giuseppe Colletti, MD; Adel Aminian, MD; Gabriele Luigi Gasparini, MD
The transradial access (TRA) currently represents the access site of choice in PCI, but complex anatomy could lead to complications and access-site crossover. The assisted-tracking techniques described in the past (such as balloon-assisted...
The transradial access (TRA) currently represents the access site of choice in PCI, but complex anatomy could lead to complications and access-site crossover. The assisted-tracking techniques described in the past (such as balloon-assisted...
The transradial access (TRA)...
09/16/2022
Journal of Invasive Cardiology