Skip to main content

Volume 33 - Issue 12 - December, 2021

Featured Article

12/01/2021
December 2021 Table of Contents and Whole Issue PDF
December 2021 Table of Contents and Whole Issue PDF
December 2021 Table of Contents...
12/01/2021
Journal of Invasive Cardiology
Original Contribution
12/01/2021
Giuseppe Andò, MD; Stefano Rigattieri, MD, PhD; Stefano Garducci, MD; Ferdinando Varbella, MD; Alexios Karagiannis, MD; Cataldo Palmieri, MD; Roberto Diletti, MD, PhD; Jouke Dijkstra, PhD; Paolo Calabro, MD; Marianna Adamo, MD; Andrea Picchi, MD; Marco Valgimigli, MD, PhD, FESC; Gennaro Sardella, MD, PhD; Ugo Limbruno, MD, PhD; Kazuhiro Dan, MD, PhD; Carlo Briguori, MD, PhD; Hector M. Garcia-Garcia, MD, PhD; Omar Yacob, MD; Kayode O. Kuku, MD; Miguel A. Diaz-Torres, MD; Enrico Frigoli, MD; Giacomo Boccuzzi, MD; Marco Zimarino, MD; Marco Contarini, MD; Filippo Russo, MD
Kazuhiro Dan, MD, PhD and colleagues compared separately the fate of residual dissection and luminal area/dimension by OCT in the target vessel between pPCI and staged PCI, including 1-year clinical outcomes.
Kazuhiro Dan, MD, PhD and colleagues compared separately the fate of residual dissection and luminal area/dimension by OCT in the target vessel between pPCI and staged PCI, including 1-year clinical outcomes.
Kazuhiro Dan, MD, PhD and...
12/01/2021
Journal of Invasive Cardiology
Original Contribution
12/01/2021
Catarina Ruivo, MD; Fernando Montenegro-Sa, MD; Sara Fernandes, MD; Fátima Saraiva, MD; Joana Correia, MD; Sidarth Pernencar, MD; Rita de Carvalho, MD; Francisco Soares, MD; Adriana Belo; Patricia Jackson; João Morais, MD, PhD; Luís Graça-Santos, MD
Non-ST segment elevation myocardial infarction (NSTEMI) patients presenting with occluded culprit artery (OCA) may be at higher risk for worse outcomes.
Non-ST segment elevation myocardial infarction (NSTEMI) patients presenting with occluded culprit artery (OCA) may be at higher risk for worse outcomes.
Non-ST segment elevation...
12/01/2021
Journal of Invasive Cardiology
Original Contribution
12/01/2021
James C. Blankenship, MD; Erin Vanenkevort, PhD; Maulin J. Patel, DO; Gregory W. Yost, DO; Camila M. Maestas, MD; Thomas D. Scott, DO; Shikhar Agarwal, MD
The study aim is to determine whether invasive cardiac procedures following a 3-day (holiday) weekend have worse outcomes compared with procedures following a 2-day (normal) weekend.
The study aim is to determine whether invasive cardiac procedures following a 3-day (holiday) weekend have worse outcomes compared with procedures following a 2-day (normal) weekend.
The study aim is to determine...
12/01/2021
Journal of Invasive Cardiology
Original Contribution
12/01/2021
William H. Matthai, MD; Matthew Herzig; Sameer Khandhar, MD; Harold Palevsky, MD; Jason Fritz, MD; Mili Mehta, MD
Matthew Herzig et al aimed to assess the intermediate-term outcomes for patients receiving catheter-directed thrombolysis for submassive pulmonary embolism.
Matthew Herzig et al aimed to assess the intermediate-term outcomes for patients receiving catheter-directed thrombolysis for submassive pulmonary embolism.
Matthew Herzig et al aimed to...
12/01/2021
Journal of Invasive Cardiology
Original Contribution
12/01/2021
Bassel Mohammad Nijres, MD; Henri Justino, MD; Arpine Davtyan, MD; Bryan P. Mosher, MD, PhD; Asimina Courelli, BS; Kanishka Ratnayaka, MD; Howaida G. El-Said, MD, PhD; John W. Moore, MD, MPH; Peter W. Guyon, Jr., MD
Dr. Guyon and colleagues report a multicenter experience with simultaneous right ventricular outflow tract (RVOT) stenting and transcatheter pulmonary valve implantation using the Melody valve (Medtronic).
Dr. Guyon and colleagues report a multicenter experience with simultaneous right ventricular outflow tract (RVOT) stenting and transcatheter pulmonary valve implantation using the Melody valve (Medtronic).
Dr. Guyon and colleagues report...
12/01/2021
Journal of Invasive Cardiology
Original Contribution
12/01/2021
Ahmed Mahmoud El Amrawy, MD; Mohamed Ibrahim Loutfi, MD; Salah Mohamed El Tahan, MD; Sherif Wagdy Ayad, MD
The study goal was to assess the feasibility and short-term clinical outcomes of implanting 48 mm drug-eluting stents (DESs) for the treatment of long lesions in patients with coronary artery disease (CAD).
The study goal was to assess the feasibility and short-term clinical outcomes of implanting 48 mm drug-eluting stents (DESs) for the treatment of long lesions in patients with coronary artery disease (CAD).
The study goal was to assess the...
12/01/2021
Journal of Invasive Cardiology
Brief Communication
12/01/2021
Brijehswar S. Maini, MD, FACC; Houman Khalili, MD; Anand Desai, MD, MBA; Hamza A. Lodhi, MD; Adithya Mathews, MD, MBA; Priya Bansal, MD; Haider Altaii, MD; Ramez Morcos, MD
Dr. Lodhi and colleagues compare technical success of A2P2 vs non-A2P2 MitraClip procedures in terms of residual MR and transmitral gradient (TMG) in the contemporary setting as the operator experience has increased.
Dr. Lodhi and colleagues compare technical success of A2P2 vs non-A2P2 MitraClip procedures in terms of residual MR and transmitral gradient (TMG) in the contemporary setting as the operator experience has increased.
Dr. Lodhi and colleagues compare...
12/01/2021
Journal of Invasive Cardiology
Brief Communication
12/01/2021
Hector Cubero-Gallego, MD, PhD; Angela McInerney, MD; Beatriz Vaquerizo, MD, PhD; Nieves Gonzalo, MD; Helena Tizon-Marcos, MD, MSc; Neus Salvatella, MD; Marcos Garcia-Guimaraes, MD; Alejandro Negrete, MD; Raul Millan, MD
This study reports procedural and short-term clinical outcomes from a real-world series with the use of coronary lithotripsy in the context of primary angioplasty in ST-segment elevation myocardial infarction (STEMI).
This study reports procedural and short-term clinical outcomes from a real-world series with the use of coronary lithotripsy in the context of primary angioplasty in ST-segment elevation myocardial infarction (STEMI).
This study reports procedural...
12/01/2021
Journal of Invasive Cardiology
Brief Contribution
12/01/2021
Emmanouil S. Brilakis, MD, PhD, FACC, FAHA, FESC, FSCAI; Subhash Banerjee, MD, FSCAI; Yashasvi Chugh, MD; Santiago Garcia, MD; M. Nicholas Burke, MD; Jaikirshan J. Khatri, MD; Mehdi H. Shishehbor, DO, MPH, PhD; Kevin J. Croce, MD, PhD; Khaldoon Alaswad, MD; Bilal Murad, MD
Currently only the peripheral intravascular lithotripsy device is approved for use in the United States. We queried the United States FDA MAUDE database from January 1, 2016 to December 14, 2020 for all reports of adverse events and modes of...
Currently only the peripheral intravascular lithotripsy device is approved for use in the United States. We queried the United States FDA MAUDE database from January 1, 2016 to December 14, 2020 for all reports of adverse events and modes of...
Currently only the peripheral...
12/01/2021
Journal of Invasive Cardiology
Original Contribution
12/01/2021
Cailtin M. Heyden, DO; Jonathan E. Brock; Kanishka Ratnayaka, MD; Howaida G. El-Said, MD, PhD; John W. Moore, MD, MPH
We reviewed our experience using IVUS as an adjunctive tool to diagnose lesions and assess intervention in pediatric patients during cardiac catheterization.
We reviewed our experience using IVUS as an adjunctive tool to diagnose lesions and assess intervention in pediatric patients during cardiac catheterization.
We reviewed our experience using...
12/01/2021
Journal of Invasive Cardiology
Original Contribution
12/01/2021
Sanjog Kalra, MD; Sean Janzer, MD; Sehrish Memon, MD; Evan Friend, BS, MD; Jon C. George, MD, MBA
Three-dimensional (3D) printing technology is increasingly being utilized for preprocedural planning of interventional procedures. However, utility of 3D models of obstructive and clinically relevant renal artery disease has not been...
Three-dimensional (3D) printing technology is increasingly being utilized for preprocedural planning of interventional procedures. However, utility of 3D models of obstructive and clinically relevant renal artery disease has not been...
Three-dimensional (3D) printing...
12/01/2021
Journal of Invasive Cardiology
Original Contribution
12/01/2021
Adi Sharabi-Nov, MD, MPH; Zipi Regev-Avraham, PhD; Zuheir Farraj, BSc; Zeev Israeli, MD; Rodrigo Bagur, MD, PhD; Saeed Khatib, MD; Lidia Izakson, MD; Majdi Halabi, MD; Elena Bukovetzky, PhD; Soliman Khatib, PhD
We sought to determine whether anxiety and CRP levels in patients undergoing elective left heart catheterization differ when routine sedation with midazolam is administered.
We sought to determine whether anxiety and CRP levels in patients undergoing elective left heart catheterization differ when routine sedation with midazolam is administered.
We sought to determine whether...
12/01/2021
Journal of Invasive Cardiology
Original Contribution
12/01/2021
Ashwin S. Nathan, MD; Alexander C. Fanaroff, MD, MHS; Bryce V. Johnson, MD; Edward R. Horton, MD; Christopher Domenico, PharmD; Michael A. Acker, MD; Daniel M. Kolansky, MD
Bryce Johnson, MD and colleagues aimed to characterize outcomes associated with cangrelor administration used in an antiplatelet bridging strategy in real-world clinical scenarios within a large academic medical system.
Bryce Johnson, MD and colleagues aimed to characterize outcomes associated with cangrelor administration used in an antiplatelet bridging strategy in real-world clinical scenarios within a large academic medical system.
Bryce Johnson, MD and colleagues...
12/01/2021
Journal of Invasive Cardiology
Clinical Images
12/01/2021

J.M. Montero-Cabezas, MD;  V. Delgado, MD, PhD;  F. van der Kley, MD

J.M. Montero-Cabezas, MD;  V. De...
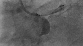
High rates of spontaneous rupture and death have been described when the pseudoaneurysm is left untreated. In this case, transthoracic echocardiography allowed optimal characterization of the defect and successful procedure guidance, avoiding...
High rates of spontaneous rupture and death have been described when the pseudoaneurysm is left untreated. In this case, transthoracic echocardiography allowed optimal characterization of the defect and successful procedure guidance, avoiding...
High rates of spontaneous...
12/01/2021
Journal of Invasive Cardiology
Clinical Images
12/01/2021
Marco Toselli, MD; Alessandro Sticchi, MD; Kailash Garhwal, MD; Angelo Squeri, MD; Antonio Colombo, MD; Francesco Giannini, MD
We report the case of a 78-year-old female patient with a history of atrial fibrillation and severe isolated TR in New York Heart Association functional classification III despite optimal medical therapy. This case illustrates immediate and...
We report the case of a 78-year-old female patient with a history of atrial fibrillation and severe isolated TR in New York Heart Association functional classification III despite optimal medical therapy. This case illustrates immediate and...
We report the case of a...
12/01/2021
Journal of Invasive Cardiology
Clinical Images
12/01/2021
Abdul Hakeem, MD; Chunguang Chen, MD; Mark J. Russo, MD, MS
This is the first published description of edge-to-edge transcatheter mitral valve repair (ETE-TMVr) in a patient with Down’s Syndrome. This case experience suggests a potential role for ETE-TMVr in high-risk and complex congenital mitral...
This is the first published description of edge-to-edge transcatheter mitral valve repair (ETE-TMVr) in a patient with Down’s Syndrome. This case experience suggests a potential role for ETE-TMVr in high-risk and complex congenital mitral...
This is the first published...
12/01/2021
Journal of Invasive Cardiology
Clinical Images
12/01/2021
Raj Verma; Pankaj Puar, BHSc; Subodh Verma, MD, PhD; Bobby Yanagawa, MD, PhD; Makoto Hibino, MD, MPH, PhD; Nitish K. Dhingra, BHSc
In this case illustration, a Gerbode defect in a 52-year-old woman caused by infective endocarditis was closed with autologous pericardium. Postoperative echocardiographic findings were satisfactory without residual shunt flow or perivalvular...
In this case illustration, a Gerbode defect in a 52-year-old woman caused by infective endocarditis was closed with autologous pericardium. Postoperative echocardiographic findings were satisfactory without residual shunt flow or perivalvular...
In this case illustration, a...
12/01/2021
Journal of Invasive Cardiology
Clinical Images
12/01/2021
Jerôme Wintzer-Wehekind, MD; Benjamin Faurie, MD, PhD; Mohamed Abdellaoui, MD; Jacques Monsegu, MD, PhD; Clément Servoz, MD
During stent positioning after predilating with a non-compliant balloon, we observed major motion of our device in the left main coronary artery. Under those conditions, accurate stent placement was uncertain. To remedy this situation, we...
During stent positioning after predilating with a non-compliant balloon, we observed major motion of our device in the left main coronary artery. Under those conditions, accurate stent placement was uncertain. To remedy this situation, we...
During stent positioning after...
12/01/2021
Journal of Invasive Cardiology
Clinical Images
12/01/2021
Shu-I Lin, MD; Shu-Fan Kuo, MD; Cheng-Ting Tsai, MD; Ying-Hsiang Lee, MD
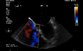
In this illustrative case, TEE in a 69-year-old woman revealed normally functioning mechanical mitral prosthesis and a 4 cm left atrial heterogenous thrombus moving around her left atrium like a ping pong ball.
In this illustrative case, TEE in a 69-year-old woman revealed normally functioning mechanical mitral prosthesis and a 4 cm left atrial heterogenous thrombus moving around her left atrium like a ping pong ball.
In this illustrative case, TEE...
12/01/2021
Journal of Invasive Cardiology