Acute Right Ventricular Reshaping After TriClip in Ebstein’s-Like Anomaly Assessed by Multimodality Imaging
Abstract
J INVASIVE CARDIOL 2021;33(12):E1005-E1007.
Key words: cardiac magnetic resonance imaging, tricuspid valve repair
Case Presentation
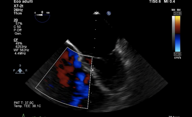
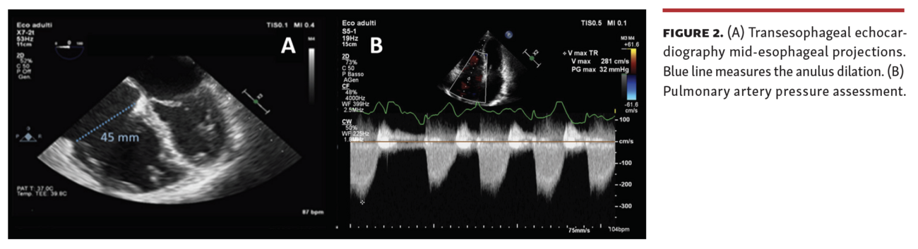
The efficacy of transcatheter edge-to-edge tricuspid valve repair (TTVR) has been recently demonstrated not only for the reduction of tricuspid regurgitation (TR) but also in terms of right ventricular remodeling. We report the case of a 78-year-old female patient with a history of atrial fibrillation and severe isolated TR in New York Heart Association functional classification III despite optimal medical therapy. The preprocedural transesophageal echocardiography (TEE) showed severe TR associated with Ebstein’s-like valve displacement, and dilation of the right atrium and ventricle with “atrialized” portion. The tricuspid annulus plane systolic excursion was preserved (20 mm) with acceptable systolic pulmonary artery pressure (PAP) of 30 mmHg (Figure 1 and Figure 2; Video Series).
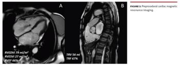
The preprocedural cardiac magnetic resonance (CMR) showed a right ventricular end-diastolic volume index (RVEDi) of 79 mL/m2, right ventricular end-systolic volume index (RVESi) of 27 mL/m2, tricuspid regurgitant volume (TRV) of 56 mL, and tricuspid regurgitant fraction (TRF) of 67% (Figure 3). Due to the patient's history of breast cancer radiotherapy and high surgical risk, the heart team preferred a transcatheter approach as the treatment option. The first TriClip (Abbott Vascular) was successfully implanted in the anteroseptal commissure, determining annulus size reduction and the subsequent necessity of transesophageal echocardiographic projection change to assess the result due to acute reshaping (Figure 4 and Figure 5; Video Series). A second TriClip was implanted in the anteroseptal commissure, highlighting the changes in the valvular plane and cardiac axis (Video Series). Residual TR was trivial (Video Series). The acute remodeling was confirmed at the CMR follow-up (Figure 6), with significant volume and TR reductions (RVEDi, 39 mL/m2; RVESi, 18 mL/m2; TRV, 8 mL; and TRF, 23%).
This case demonstrates immediate and considerable right ventricular reshaping due to successful TTVR with a sustained result at 6 months in isolated primary TR.
Affiliations and Disclosures
From the 1Department of Cardiology, Inselspital, University of Bern, Bern, Switzerland; 2Centro per la Lotta Contro L'Infarto Foundation, Rome, Italy; 3Saint Camillus International University of Health Sciences, Rome, Italy; 4GVM Care & Research Maria Cecilia Hospital, Cotignola (RA), Italy; and 5Invasive Cardiology Unit, Humanitas Clinical and Research Center, IRCCS, Milan, Italy.
Disclosure: The authors have completed and returned the ICMJE Form for Disclosure of Potential Conflicts of Interest. The authors report no conflicts of interest regarding the content herein.
Manuscript accepted July 8, 2021.
The authors report patient consent for the images used herein.
Address for correspondence: Alessandro Sticchi, MD, Inselspital, University Hospital of Bern, Bern, Switzerland, Centro per la Lotta Contro L'Infarto (CLI) Foundation, Rome, Italy, Saint Camillus, International University of Health Sciences, Rome Via Freiburgstrasse 18, 3010 Bern, Switzerland. Email: sticchialessandro@gmail.com
Related Articles
- Percutaneous Renal Artery Stenting With Optical Coherence Tomography Imaging in a Young Boy With Recanalized-Thrombus Associated Renal Artery Stenosis
- Reframing Optimal Implantation of the Sapien 3 Transcatheter Heart Valve
- Zeroing on Gadolinium to Complement Intravascular Ultrasound In Zero-Contrast Percutaneous Coronary Interventions


