A Ping Pong Thrombus in the Left Atrium
Abstract
J INVASIVE CARDIOL 2021;33(12):E1011.
Key words: left atrial thrombus, transesophageal echocardiography
Case Presentation
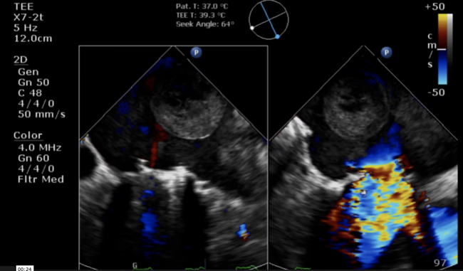
A 69-year-old woman with atrial fibrillation and rheumatic heart disease who underwent mechanical mitral replacement 20 years ago presented with sudden coma. She took warfarin regularly until 10 days prior when she developed gum bleeding. The neurologic examination revealed reduced muscle strength on the right side of the body and alteplase was administered. Then, computed tomography revealed multifocal hypodensities in the bilateral cerebellum, thalami, left parietal, and occipital lobes with thalamic hemorrhage. Anticoagulation was not given for 2 weeks until transesophageal echocardiographic examination revealed normally functioning mechanical mitral prosthesis and a 4 cm left atrial heterogenous thrombus moving around the left atrium like a ping pong ball. Also visible was a thrombus within the left atrial appendage (Figure 1A and 1C, arrow). The left atrial thrombus moved toward the mitral orifice and was bounced away by mitral regurgitant jet; it moved like a ping pong ball (Video Series). Cardiac arrest occurred 1 week after examination with successful resuscitation, presumably due to transient mitral obstruction of the huge thrombus. Her condition gradually recovered and anticoagulation has been resumed.
Affiliations and Disclosures
From the 1Cardiovascular Center, MacKay Memorial Hospital, Taipei, Taiwan; 2Department of Medicine, Mackay Medical College, New Taipei, Taiwan; and 3Department of Artificial Intelligence and Medical Applications, MacKay Junior College of Medicine, Nursing, and Management, Taipei, Taiwan.
Disclosure: The authors have completed and returned the ICMJE Form for Disclosure of Potential Conflicts of Interest. The authors report no conflicts of interest regarding the content herein.
Manuscript accepted July 16, 2021.
The authors report patient consent for the images used herein.
Address for correspondence: Shu-I Lin, MD, Cardiovascular Center, MacKay Memorial Hospital, 92, Sec 2, Zhongshan N. Rd., Taipei, Taiwan 10449. Email: yardbird881@gmail.com
Related Articles
- Importance of Right Marginal Branch Protection During Primary Angioplasty in Inferior ST-Elevation Myocardial Infarction With Right Ventricular Involvement
- Manual Coronary Thrombectomy in Primary PCI: What a Satisfaction it is Sometimes to Look Into the Catheter
- Infected Thrombus on a TAVI Aortic Valve


