Delayed Iatrogenic Left Ventricular Apex Perforation Sealed With an Amplatzer Septal Occluder Device Under Transthoracic Echocardiography Guidance
Abstract
J INVASIVE CARDIOL 2021;33(12):E1004.
Key words: left ventricle, pseudoaneurysm, transthoracic echocardiography
Case Presentation
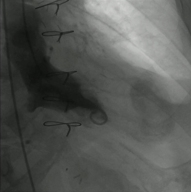
An 80-year-old patient with type A aortic dissection underwent emergent supracoronary ascending aorta and hemi-arch replacement surgery followed by aortic valve and partial root replacement during the same admission due to complications. Three months later, he was readmitted with heart failure symptoms. Transthoracic echocardiography(TTE) showed pericardial effusion and a large pseudoaneurysm with narrow neck at the left ventricular (LV) apex, which was partially thrombosed (Video 1). Due to unacceptably high surgical risk, a percutaneous closure was planned. Under TTE guidance, an 8 mm ventricular septal defect Amplatzer occluder device (St. Jude Medical) was successfully implanted in a retrograde fashion (Videos 2-4 and Figure 1). The TTE showed minimal residual leak (Video 5). Finally, percutaneous drainage of the pseudoaneurysm was performed.
LV pseudoaneurysm is a rare complication of myocardial infarction, interventional procedures, trauma, infection, or cardiac surgery. High rates of spontaneous rupture and death have been described when the pseudoaneurysm is left untreated. Percutaneous closure has emerged as an alternative to surgery in patients with unacceptable surgical risk. In this case, TTE allowed optimal characterization of the defect and successful procedure guidance, avoiding risks derived from more invasive intraprocedural imaging techniques.
Affiliations and Disclosures
From the Department of Cardiology, Leiden University Medical Center, Leiden, The Netherlands.
Disclosure: The authors have completed and returned the ICMJE Form for Disclosure of Potential Conflicts of Interest. The authors report no conflicts of interest regarding the content herein.
Manuscript accepted February 5, 2021.
The authors report patient consent for the images used herein.
Address for correspondence: JM Montero-Cabezas, MD, Department of Cardiology, Leiden University Medical Center, Albinusdreef 2, 2333 ZA, Leiden, The Netherlands. Email: J.M.Montero_Cabezas@lumc.nl
Related Articles
- No Room for Excess Room: Cobra Head Deformity of Both Discs of an Amplatzer Atrial Septal Occluder Device
- Transbasilic Approach for Percutaneous Closure of an Atrial Septal Defect
- Extracardial Migration of an Atrial Septal Defect Occluder Device
- Accidental Closure of the Left Upper Pulmonary Vein With an Amplatzer Atrial Septal Defect Occluder


