Skip to main content

Volume 31 - Issue 3 - March 2023

Featured Article

Sponsored by Chiesi USA, Inc.
03/06/2023
Shailendra Singh, MD
Acute coronary syndrome (ACS) encompasses a broad patient population that may involve a variety of clinical scenarios. As we know, the potential of high-risk sequelae in ACS makes it imperative to utilize a thoughtful approach when treating...
Acute coronary syndrome (ACS) encompasses a broad patient population that may involve a variety of clinical scenarios. As we know, the potential of high-risk sequelae in ACS makes it imperative to utilize a thoughtful approach when treating...
Acute coronary syndrome (ACS)...
03/06/2023
Cath Lab Digest
Case Report
03/31/2023
Yasin Hussain, MD; Samit Shah, MD, PhD, FACC, FSCAI
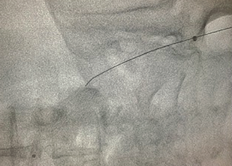
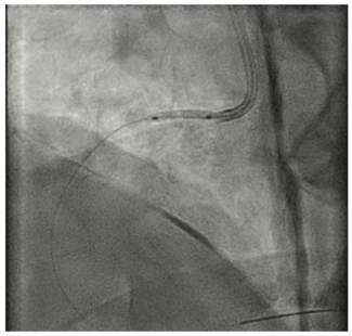
The Takeru PTCA Balloon Dilation Catheter, (Terumo Interventional Systems), is a new alternative to address lesions that had historically been considered “balloon uncrossable.”
The Takeru PTCA Balloon Dilation Catheter, (Terumo Interventional Systems), is a new alternative to address lesions that had historically been considered “balloon uncrossable.”
The Takeru PTCA Balloon Dilation...
03/31/2023
Cath Lab Digest
Case Report
03/10/2023
Bernadette S. Speiser, BSN, MSN, CCRN, RCIS; Patrick Burchfiel, MA, BSN, CEN; Jessica Finster, RN, BSN
The source of the blood stasis and clot formation leading to stroke has most often been identified as the left atrial appendage (LAA). More than 90% of intracardiac thrombi in patients with cardioembolic events occur in this location.(4)
The source of the blood stasis and clot formation leading to stroke has most often been identified as the left atrial appendage (LAA). More than 90% of intracardiac thrombi in patients with cardioembolic events occur in this location.(4)
The source of the blood stasis...
03/10/2023
Cath Lab Digest
Cath Lab Ergonomics
03/06/2023
Matthew B. O'Steen, MD, FACC
The last thing I wanted to do is have back problems. I started thinking about trying the GLift, then started wearing it, and quickly became disciplined in its use.
The last thing I wanted to do is have back problems. I started thinking about trying the GLift, then started wearing it, and quickly became disciplined in its use.
The last thing I wanted to do is...
03/06/2023
Cath Lab Digest
Case Report
03/05/2023
Zaheed Tai, MD, DO, FACC, FSCAI
The tip in technique is typically utilized when a retrograde wire crosses into the true lumen, but a microcatheter is unable to follow.
The tip in technique is typically utilized when a retrograde wire crosses into the true lumen, but a microcatheter is unable to follow.
The tip in technique is...
03/05/2023
Cath Lab Digest
Letter to the Editor
03/05/2023
Morton J. Kern, MD, MSCAI, FACC, FAHA; Matthew Holland, MD, FACC, FSCAI
The January 2023 “Conversations in Cardiology”1 was timely and interesting. I recently discussed this very issue on CCU rounds. A point that I do not believe was brought up by any of the contributors is the role of the “pre-discharge”...
The January 2023 “Conversations in Cardiology”1 was timely and interesting. I recently discussed this very issue on CCU rounds. A point that I do not believe was brought up by any of the contributors is the role of the “pre-discharge”...
The January 2023 “Conversations...
03/05/2023
Cath Lab Digest
News
03/02/2023
Analyzing the most extensive datasets in the United States, researchers from the Icahn School of Medicine at Mount Sinai have revealed that vaccination against COVID-19 is associated with fewer heart attacks, strokes, and other cardiovascular...
Analyzing the most extensive datasets in the United States, researchers from the Icahn School of Medicine at Mount Sinai have revealed that vaccination against COVID-19 is associated with fewer heart attacks, strokes, and other cardiovascular...
Analyzing the most extensive...
03/02/2023
Cath Lab Digest
Clinical Editor's Corner
02/16/2023
Kirk N. Garratt, MD, MSc; Bonnie H. Weiner, MD, MBA, FSCAI, FACC; Morton J. Kern, MD, MSCAI, FACC, FAHA; Christopher J. White, DO, MD
The issue of what constitutes safe practice in the no-SOS labs is not trivial. Before I present a summary of the revised consensus statement, I thought I would stimulate our thinking by providing a real case from our lab, what my colleagues...
The issue of what constitutes safe practice in the no-SOS labs is not trivial. Before I present a summary of the revised consensus statement, I thought I would stimulate our thinking by providing a real case from our lab, what my colleagues...
The issue of what constitutes...
02/16/2023
Cath Lab Digest
Clinical Images
02/16/2023
Pradnya Brijmohan Bhattad, MD; Luigi Pacifico, DO
A 54-year-old female presented with acute onset of typical substernal chest pain and was hemodynamically stable. A coronary angiogram (Figure 1/Videos 1-2, available on cathlabdigest.com) showed spontaneous coronary artery dissection (SCAD)...
A 54-year-old female presented with acute onset of typical substernal chest pain and was hemodynamically stable. A coronary angiogram (Figure 1/Videos 1-2, available on cathlabdigest.com) showed spontaneous coronary artery dissection (SCAD)...
A 54-year-old female presented...
02/16/2023
Cath Lab Digest
ECG Education
02/16/2023
Pradnya Brijmohan Bhattad, MD; Mazen Roumia, MD, FACC, FSCAI
Electrocardiogram (ECG) characteristics of Brugada pattern include coved ST segment elevation that is gradually descending in leads V1-V3 with either a true right bundle branch block or a pseudo-right bundle branch block pattern.
Electrocardiogram (ECG) characteristics of Brugada pattern include coved ST segment elevation that is gradually descending in leads V1-V3 with either a true right bundle branch block or a pseudo-right bundle branch block pattern.
Electrocardiogram (ECG)...
02/16/2023
Cath Lab Digest