Re-Defining Balloon Uncrossable
Background
Complex coronary interventions for calcified lesions or critical stenoses often require atherectomy for plaque modification to allow delivery of standard balloon catheters. However, the risk of atherectomy can be high in aorto-ostial lesions, tortuous or small caliber vessels, or hemodynamically unstable patients. The Takeru PTCA Balloon Dilation Catheter (Terumo Interventional Systems) is a new alternative to address lesions that had historically been considered “balloon uncrossable.” Available in semi-compliant, non-compliant, and over-the-wire options with diameters from 1.5 to 4.0 mm, the Takeru balloon has a smaller crossing profile and tighter re-wrap than many other balloons on the market. As a result, our catheterization laboratory has transitioned to using the Takeru balloon as our first-line angioplasty balloon.
Clinical Case
A 77-year-old man with hypertension, hyperlipidemia, diabetes mellitus, and chronic kidney disease stage 3 presented to our hospital with progressive angina. He underwent stress testing that showed an area of inferior ischemia as well as transient ischemic dilatation concerning for multivessel coronary artery disease. Diagnostic coronary angiography showed severe calcific disease of the left anterior descending artery (LAD), a diffusely diseased left circumflex (LCx), and a critical ostial stenosis of the right coronary artery (RCA) (Figure 1A-C). The patient was evaluated for coronary artery bypass graft surgery but determined to be at prohibitive risk for open heart surgery. We proceeded with planned multivessel percutaneous coronary intervention in staged sessions due to the patient’s underlying kidney disease.
Procedure
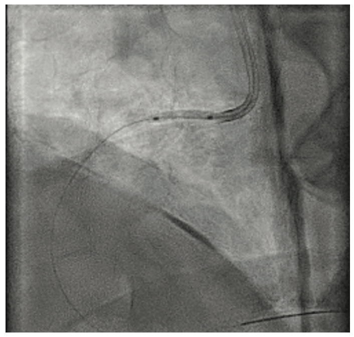
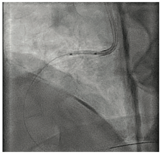
We proceeded with intervention to the RCA via right radial access using a 6 French (Fr) Terumo Glidesheath. Due to the critical ostial stenosis, a Terumo Runthrough wire was loaded in a 6 Fr Judkins right (JR)4 guide. There was severe pressure dampening on guide engagement and the wire was quickly advanced into the distal RCA. We attempted to deliver 2.5 and 2.0 mm Takeru semi-compliant balloons, but the balloons would not cross the proximal RCA stenoses. We then used a 1.5 mm Takeru semi-compliant balloon and dilated the ostial and proximal RCA, followed by 2.0 and 2.5 mm noncompliant balloons at 14 atmospheres (atm) (Figure 2). The ostial lesion was further dilated with a 2.5 x 10 mm Wolverine cutting balloon (Boston Scientific) at 8 atm. Intravascular ultrasound (IVUS) was performed with a Refinity catheter (Philips) (Figure 3A), and using a 6 Fr Guideliner (Teleflex), 2.5 mm x 38 mm and 2.5 mm x 22 mm Onyx Frontier drug-eluting stents (Medtronic) were deployed from the ostium to the mid RCA at 12 atm. The stents were post dilated with 3.0 and 3.5 mm Takeru noncompliant balloons at 18 atm. There was an excellent angiographic result with no residual stenosis (Figure 4A). IVUS showed well-expanded and well-apposed stents without evidence of dissection (Figure 3B), and the ostial RCA minimal stent area was 10mm2. The entire intervention was performed with only 65 mL of contrast dye. The patient was maintained on dual antiplatelet therapy with aspirin 81 mg and clopidogrel 75 mg daily. The patient returned for staged intervention to the LAD with rotational atherectomy and intravascular lithotripsy (Shockwave Medical) (Figure 4B).
This case is supported by Terumo Interventional Systems.
PM-06537
Dr. Hussain can be contacted at yasin.hussain@yale.edu and Dr. Shah can be contacted at samit.shah@yale.edu
Keep Reading:
Having the Right Equipment for Solving Complex Radial to Peripheral Procedures


