The “Tip In” Technique
History
The patient is a 76-year-old gentleman with a history of coronary artery disease, hyperlipidemia, hypertension, diabetes, and vascular disease. He had previously undergone revascularization of the right lower extremity in-stent chronic total occlusion. He has been experiencing recurrent lifestyle-limiting claudication, and presented for angiography and revascularization.
Case Report
The left groin was accessed under ultrasound guidance, and a selective right lower-extremity angiogram revealed a patent profunda and proximal superficial femoral artery (SFA) occlusion with distal reconstitution (Figure 1) just distal to overlapping stents. There was a large posterior tibial artery providing single-vessel runoff.
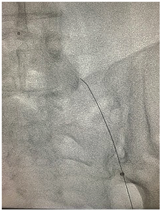
Following the angiogram, a 6 French (Fr), 45 cm sheath was inserted. An antegrade .035-inch Glidewire (Terumo) was advanced with a microcatheter to keep the knuckle small. The wire was able to enter the stent in what appeared to be a luminal fashion, but at the overlap of the two stents, the wire would prolapse behind the overlap. Stiff penetrative wires were utilized in an effort to redirect (Halberd 12 gm and Astato 30 gm [both from Asahi Intecc]). This attempt proved unsuccessful, as there continued to be prolapse between the stent overlap. After some effort, the foot was accessed with ultrasound in the posterior tibial with a 4 Fr sheath (Figure 1). A retrograde intermediate tip polymer-jacketed wire (.018-inch Gladius [Asahi Intecc]) was able to get retrograde through the stent. The antegrade-retrograde knuckles appeared to overlap and the plans was for a reverse CART. In the process of advancing an .035-inch Charger balloon (Boston Scientific) from above, the antegrade knuckle advanced and collapsed by the retrograde. A directional stiff wire (.018-inch Halberd) was able to retrograde wire into the antegrade system. The retrograde .018-inch microcatheter was advanced into the contralateral sheath. Instead of externalizing the wire, a tip in was performed (Figure 2, Video 1).
Video 1. The "tip in" technique.
The .035-inch microcatheter was advanced from the contralateral sheath to the bifurcation and the retrograde wire was advanced into the microcatheter. The .035-inch catheter was then advanced over the retrograde wire beyond the distal cap. The retrograde wire was removed, and an antegrade .014-inch ViperWire (CSI) was advanced and externalized. The Touhy Borst adaptor was placed on the externalized wire to prevent withdrawal and allowed work to be performed over the wire in a typical antegrade fashion. A 1.5 Auryon laser (AngioDynamics) (Figures 3-4) was used to perform atherectomy for a total time of approximately 3 minutes. Following atherectomy, a 6.0 mm x 240 mm noncompliant balloon was utilized to dilate the vessel. Inflation at 4 atmospheres resulted in patient pain, but a slightly higher pressure was done at the stent overlap. Angiography revealed brisk flow through the vessel, but there was clearly dissection proximal to the previous stents. Two prolonged inflations of 5 minutes were performed without significant improvement in the dissection. A stent was subsequently placed to address the dissection, followed by postdilation with the balloon at higher pressure, which resulted in good flow through the vessel without any residual angiographic dissection (Figure 3).
Image courtesy AngioDynamics.
Discussion
Peripheral chronic total occlusions (CTOs) occur in approximately 50% of patients with intermittent claudication or limb ischemia presenting for revascularization.1,2 Much like coronary CTOs, there are four ways to cross the lesion:
(1) antegrade wire escalation;
(2) antegrade dissection and re-entry;
(3) retrograde wire escalation;
(4) retrograde dissection and re-entry.
The approach may be guided by use of the CTOP classification, which is a validated method for using the proximal or distal cap morphology to determine the initial crossing strategy.3,4
Antegrade wire escalation typically uses a series of increasing tip load wires to traverse the lesion and re-enter at the distal cap. This may include polymer-jacketed wires and stiff penetrative wires supported by a microcatheter or even a dual-lumen catheter. If such attempts are unsuccessful, then one should consider either antegrade dissection and re-entry, or a retrograde approach.
Antegrade dissection and re-entry involves subintimal passage of the wire and advancement to the distal cap prior to re-entry, and the use of a re-entry device to facilitate entry into true lumen distally. Failure to use a re-entry device may still allow for wire entry into the true lumen; however, this may not be a controlled re-entry and can result in loss of significant side branches or collaterals. This is typically referred to the STAR technique (subintimal tracking and re-entry). Antegrade dissection and re-entry may also be used in combination with a retrograde approach to achieve antegrade and retrograde wire entry into the same space. An “antegrade dissection and re-entry in combination” approach may include a variety of techniques such as confluent balloons (using a retrograde and antegrade balloon inflated at the same time in proximity to each other to connect the space), the CART technique (using a retrograde balloon to fenestrate the subintimal space and allow antegrade wire passage), or the reverse cart (RCART), which uses an antegrade balloon inflation to fenestrate the subintimal space and allow retrograde wire passage into the true space. Once the true lumen is entered either distally or proximally and the wire is externalized, this maneuver is called the SAFARI technique (subintimal arterial flossing with antegrade-retrograde intervention).4,5
Retrograde wire escalation is like antegrade wire escalation from a retrograde approach.
Retrograde dissection and re-entry, like antegrade dissection and re-entry, typically involves subintimal passage of a wire directed toward the proximal cap. Re-entry can be performed using the techniques mentioned above or the wire can be left in place as a marker wire to help direct antegrade wire escalation, particularly when there is an ambiguous proximal cap. Antegrade wire escalation or retrograde wire escalation can also be used to modify plaque and facilitate true lumen entry, as in our case. As our equipment was advanced to overlap the “knuckles” and set up for reverse CART, the antegrade knuckle collapsed, which suggests it had entered the same space as the retrograde equipment. The wire was advanced from the retrograde space into the contralateral sheath. A “tip in” technique was then utilized to externalize the wire in an antegrade fashion to complete the case.6 The “tip in” is similar to the “rendezvous” technique; however, in the latter, the retrograde microcatheter is intubated with the antegrade wire. The tip in technique is typically utilized when a retrograde wire crosses into the true lumen, but a microcatheter is unable to follow. The retrograde wire is advanced to the outer curve of the sheath (usually the iliac bifurcation) and the antegrade microcatheter is intubated by the retrograde wire. Physics dictates that both pieces of gear should meet at the outer curve. In the peripheral space, this can be facilitated, since one can use either an .018-inch or .035-inch microcatheter. Once the wire is intubated, the sheath can be advanced over the retrograde wire. In this case, once this was achieved, a ViperWire was advanced distally and externalized from the pedal access. Laser atherectomy was then performed with the Auryon laser with subsequent percutaneous transluminal angioplasty and stenting of the SFA with establishment of straight-line flow to the foot. The ViperWire serves as a good externalization wire, as it is a 325 cm wire. The R350 (Teleflex) is also a good externalization wire, as it is 350 cm in length.
There are limitations of the tip in technique. It may not be possible to intubate the antegrade microcatheter with the retrograde wire (although as stated earlier, one can use an .035-inch catheter in the periphery). The antegrade microcatheter may not fully advance over the retrograde wire past the CTO, and this procedure can require two microcatheters, which can increase procedural cost.
References
1. Hamur H, Onk OA, Vuruskan E, et al. Determinants of chronic total occlusion in patients with peripheral arterial occlusive disease. Angiology. 2017 Feb; 68(2): 151-158. doi: 10.1177/0003319716641827
2. van der Heijden FH, Eikelboom BC, Banga JD, Mali WP. Management of superficial femoral artery occlusive disease. Br J Surg. 1993 Aug; 80(8): 959-963. doi: 10.1002/bjs.1800800806
3. Saab F, Jaff MR, Diaz-Sandoval LJ, et al. Chronic total occlusion crossing approach based on plaque cap morphology: the CTOP classification. J Endovasc Ther. 2018 Jun; 25(3): 284-291. doi: 10.1177/1526602818759333
4. Banerjee S, Shishehbor MH, Mustapha JA, et al. A percutaneous crossing algorithm for femoropopliteal and tibial artery chronic total occlusions (PCTO algorithm). J Invasive Cardiol. 2019 Apr; 31(4): 111-119.
5. Brilakis ES, Grantham JA, Rinfret S, et al. A percutaneous treatment algorithm for crossing coronary chronic total occlusions. JACC Cardiovasc Interv. 2012;5:367-379.
6. Vo M, Ravandi A, Brilikis ES. “Tip in” technique for retrograde chronic total occlusion revascularization. J Invasive Cardiol. 2015,27(5): E62-E64.
Zaheed Tai, DO, can be contacted at zaheedtai@gmail.com
Find More:


