Unplugged: A Case Study of a Left Atrial Appendage Leak
Atrial fibrillation is the most common arrhythmia seen in patients. The incidence and prevalence of atrial fibrillation is increasing globally. In 2016, it was estimated that the worldwide prevalence of atrial fibrillation (AF) was around 46.3 million individuals.1 AF has inherent risks for the patient, including heart failure, myocardial infarction, dementia, and stroke. The risk of stroke in patients with AF has been estimated to be between 1% and 20% annually, and is the leading cause of disability in industrialized countries.2,3 The source of the blood stasis and clot formation leading to stroke has most often been identified as the left atrial appendage (LAA). More than 90% of intracardiac thrombi in patients with cardioembolic events occur in this location.4 Patients are placed on anticoagulation as a first-line treatment. However, not all patients are candidates for anticoagulation. Anticoagulation issues include an increased risk of bleeding, dietary restriction issues, and difficulty in monitoring and maintaining levels of therapeutic anticoagulation. Alternative therapies are more desirable for patients who are not candidates for anticoagulation. Some of the treatments historically utilized include the surgical option of resecting the appendage as well as the maze procedure. These treatments are effective; however, they do involve a surgical event. Medical therapy has advanced to include less invasive treatment methods. A percutaneous approach involves the insertion of a device to occlude the LAA. One commonly used device for LAA occlusion is the Watchman (Boston Scientific). Placement of this device in the LAA can decrease blood stasis and thus, thrombus formation (Figure 1).
One of the challenges in placement of the Watchman device is due to the variation of shapes and sizes of the LAA; the use of a fixed device can lead to valvular leak. When there is failure to occlude the LAA, it can be due to a paradevice leak (Figure 2), often described as the “presence of a contrast-enhanced trail adjacent to the device”.5 Leaks are categorized as minimal (<1 mm), mild (1-3 mm), moderate (4-5 mm), or severe (>5 mm). If the paradevice leak is >5 mm, it is considered an “incomplete closure” of the LAA. This is viewed as significant, and computed tomography (CT) should be utilized to evaluate the leak. The CT is thought to hold a higher level of sensitivity than echocardiography. Common causes of paradevice leaks include failed endothelialization, malpositioning in the ostium (off axis), incorrect device sizing, size and shape of the LAA, or an inability to cover multiple lobes with a single device.
Image courtesy Boston Scientific. ©2023 Boston Scientific Corporation or its affiliates. All rights reserved.
Reprinted from Alkhouli M, Chaker Z, Clemetson E, et al. Management of persistent peri-device flow after percutaneous left atrial appendage occlusion. Structural Heart. 2019 Nov-Dec; 3(6): 491-498. This work is licensed under a Creative Commons Attribution-NonCommercial-NoDerivatives 4.0 International License. https://creativecommons.org/licenses/by-nc-nd/4.0/legalcode
The Watchman Left Atrial Appendage System for Embolic Protection in Patients with Atrial Fibrillation (PROTECT AF) study noted residual leaks occurred in 40.9% of patients at 45 days, in 33.8% of patients at 6 months, and in 31.2% of patients at 12 months.6 Leak closures ideally should be performed six months after the original left atrial appendage occlusion (LAAO) placement, which allows time for the device to endothelialize and stabilize.7 There is also a remodeling of the LAA during this waiting period.7 Hornung et al studied patients with large paradevice leaks (>3 mm). In the study, 12 patients underwent paradevice leak closure with an 83% success rate of complete sealing.3 Hence, postdevice sealing is feasible with moderate to severe leaks, utilizing an additional LAA closure device. One of the common treatment options involves placing a plug into the leak to assist in complete closure of the LAA and reduce the risk for embolic events.
Case Study
This is a 79-year-old male with a history of hypertension, diabetes, chronic obstructive pulmonary disease, ischemic cardiomyopathy (ejection fraction 35%), two-vessel coronary artery bypass graft surgery, severe aortic stenosis status post transcatheter aortic valve replacement (5/2016), recurrent gastrointestinal bleed (7/2019), recurrent left cerebellar cerebrovascular accident and right cerebellar subdural hemorrhage, acute kidney injury (creatinine 1.5), lung cancer status post resection, and chronic resynchronization therapy defibrillator (CRT-D) (10/20). Due to the patient’s history, he could not tolerate anticoagulation and received a 30 mm Watchman device (5/26/20) for treatment of his chronic atrial fibrillation. Post Watchman implant, the patient was placed on coumadin for 45 days. An immediate postprocedure echocardiogram identified only a trace paravalvular leak. Subsequent echocardiograms were ordered and completed. The echo from 4/1/22 noted a well-seated Watchman device in the left atrial appendage ostium. A posterior paradevice leak measuring 5.5 mm was noted. Due to the leak, placement of an Amplatzer Vascular device (Abbott Vascular) was considered. On 5/24/22, a 10 mm Amplatzer Vascular Plug II (AVP2) was inserted into the posterior-lateral aspect of the left atrial appendage. The AVP2 device was selected due to the round nature of the ostial leak. Complete resolution of the paradevice leak was noted on echo post plug deployment. The rest of the case was uneventful, and the patient was transferred to a floor for monitoring.
At 9:30 pm, the patient presented with mental status changes and expressive aphasia. A “stroke code” was called and neurology was immediately consulted. The patient underwent a noncontrast CT that demonstrated a high suspicion for an acute cerebral ischemic stroke. Tissue plasminogen activator (tPA) was administered per protocol. The following day, the patient underwent magnetic resonance imaging (MRI) without contrast. The MRI revealed resolution of the left middle cerebral inferior division occlusion evident on the recent CT. Noted were multiple punctate acute to subacute infarcts, predominantly in the left middle cerebral artery distribution, with additional infarction of the right occipital lobe and left insula.
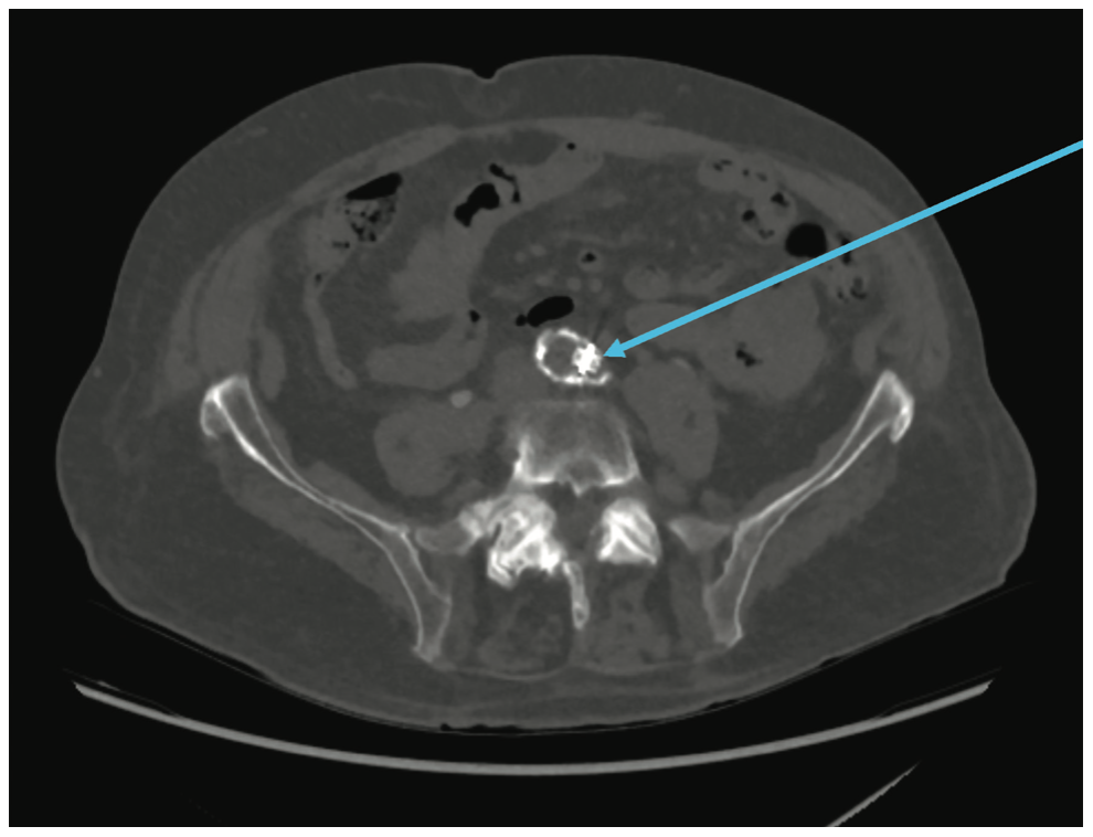
The patient’s speech improved; however, there was concern as to the cause of the diffuse acute stroke. A CTA of the thorax was ordered to evaluate the LAA/Watchman device. A leak was present in the LAA measuring approximately 5.88 mm (Figure 3), similar in size to the leak noted prior to the AVP2 device placement. Subsequent CTs of the lower abdomen, pelvis, and extremities revealed the AVP2 was lodged at the origin of the left common iliac artery (Figure 4). The plug had become dislodged from the LAA and traveled through the aortic arch to the abdominal aorta. Retrieval of the plug was planned for 5/31/22.
The patient was brought to the cath lab. Under ultrasound guidance and with micropuncture technique, a 6 French (Fr) sheath was inserted in the right femoral artery and an 8 Fr sheath was placed in the left femoral artery. The left arterial access was “pre-closed” with the Perclose device (Abbott Vascular). The patient was appropriately anticoagulated. A 5 Fr balloon wedge pressure catheter was inserted into the right femoral artery. The balloon was inflated to assist with capturing the AVP2. The left femoral artery access was upsized to a 10 Fr Pinnacle 25 cm sheath (Terumo). A Judkins right (JR) 4 coronary guide catheter was advanced over a wire. A 6 Fr EN Snare device (Merit Medical) was advanced through the guide catheter and after multiple attempts, captured the AVP2. The EN Snare was retracted into the guide catheter (Figure 5) and the catheter system was removed (Figure 6). Digital subtraction of the abdominal aorta was performed, noting no evidence of a mobile clot, dissection, or perforation of the iliac artery. The balloon catheter and wires were removed, and the accesses were actively closed. Post procedure, the patient was taken to the intensive care unit for further monitoring.
The patient was discharged to home 6/9/22 with support of home skilled services. He returned to cardiology clinic on 6/15/22 with an improved neurological status. He still presented with some mild expressive aphasia, but otherwise had returned to his baseline status.
Discussion
Post placement, the Watchman device showed significant success after implant with only a trace paradevice leak. Nevertheless, over time, the device became unseated, and a 5.5 mm leak presented. The leak was successfully closed with the AVP2. The plug dislodged and became the source of an embolic event. There is controversy over the clinical significance of LAAO leaks and appropriate treatment modalities.8,9 Furthermore, recent studies have debated the correlation between paradevice leaks and thromboembolic episodes (9.9% vs 5.1%, average hazard ratio=2.0, 95% confidence interval 1.2-3.4, P<.001).10 However, in this case, due to the size of the leak, the option of closure seemed a reasonable approach.
The new generation of the Watchman device, the Watchman FLX, is available in five sizes (20, 24, 27, 31, and 35 mm) for ostia measuring from 15 mm to 32 mm in width, and therefore can treat both smaller and larger LAA ostia. American College of Cardiology National Cardiovascular Data Registry data demonstrate the Watchman FLX has slightly lower rate of large perivalvular leaks (>5 mm) (0.03% vs 0.06; P=.234).11 Patient-specific sizing may be more available in the future with a foam-based LAAO device such as the Conformal (Conformal Medical). The use of foam to conform to LAA morphology may enhance coaxiality and improve sealing.
References
1. Benjamin EJ, Muntner P, Alonso A, et al; American Heart Association Council on Epidemiology and Prevention Statistics Committee and Stroke Statistics Subcommittee. Heart Disease and Stroke Statistics-2019 update: a report from the American Heart Association. Circulation. 2019 Mar 5; 139(10): e56-e528. doi: 10.1161/CIR.0000000000000659.
2. Furie KL, Goldstein LB, Albers GW, et al; American Heart Association Stroke Council; Council on Quality of Care and Outcomes Research; Council on Cardiovascular Nursing; Council on Clinical Cardiology; Council on Peripheral Vascular Disease. Oral antithrombotic agents for the prevention of stroke in nonvalvular atrial fibrillation: a science advisory for healthcare professionals from the American Heart Association/American Stroke Association. Stroke. 2012 Dec; 43(12): 3442-3453. doi: 10.1161/STR.0b013e318266722a.
3. Hornung M, Gafoor S, Id D, et al. Catheter-based closure of residual leaks after percutaneous occlusion of the left atrial appendage. Catheter Cardiovasc Interv. 2016 Jun; 87(7): 1324-1330. doi: 10.1002/ccd.26318
4. Naeini PS, Rasekh A. A review of clinical trials on LARIAT device. J Atr Fibrillation. 2015 Oct 31; 8(3): 1317. doi: 10.4022/jafib.1317
5. Lindner S, Behnes M, Wenke A, et al. Assessment of peri-device leaks after interventional left atrial appendage closure using standardized imaging by cardiac computed tomography angiography. Int J Cardiovasc Imaging. 2019 Apr; 35(4): 725-731. doi: 10.1007/s10554-018-1493-z
6. Reddy VY, Doshi SK, Kar S, et al; PREVAIL and PROTECT AF Investigators. 5-Year outcomes after left atrial appendage closure: from the PREVAIL and PROTECT AF trials. J Am Coll Cardiol. 2017 Dec 19; 70(24): 2964-2975. doi: 10.1016/j.jacc.2017.10.021
7. Viles-Gonzalez JF, Kar S, Douglas P, et al. The clinical impact of incomplete left atrial appendage closure with the Watchman device in patients with atrial fibrillation: a PROTECT AF (Percutaneous Closure of the Left Atrial Appendage Versus Warfarin Therapy for Prevention of Stroke in Patients With Atrial Fibrillation) substudy. J Am Coll Cardiol. 2012 Mar 6; 59(10): 923-929. doi: 10.1016/j.jacc.2011.11.028
8. Suradi HS, Hijazi ZM. Left atrial appendage closure: outcomes and challenges. Neth Heart J. 2017 Feb; 25(2): 143-151. doi: 10.1007/s12471-016-0929-0
9. Alkhouli M, Du C, Killu A, et al. Clinical impact of residual leaks following left atrial appendage occlusion: insights from the NCDR LAAO registry. JACC Clin Electrophysiol. 2022 Jun; 8(6): 766-778. doi: 10.1016/j.jacep.2022.03.001
10. Alkhouli MA, Killu, AM, Simard TJ, Holmes, DR. Residual leaks post atrial appendage occlusion. July 6, 2022. Accessed February 7, 2023. https://www.acc.org/Latest-in-Cardiology/Articles/2022/07/05/18/58/Residual-Leaks-Post-Left-Atrial-Appendage-Occlusion.
11. Freeman JV. Safety and acute procedural outcomes of LAAO with the first-generation Watchman and next-generation Watchman FLX devices. Presented at: HRS 2022. May 1, 2022. San Francisco, CA.
Bernadette Speiser can be contacted at bernadette.speiser@va.gov
Patrick Burchfiel can be contacted at patrick.burchfiel@va.gov
Jessica Finster can be contacted at jessica.finster@va.gov
Find More:
Best Practices for Left Atrial Appendage Closure: A Data-Driven Webcast
“Water Gun:” A New Morphology of Left Atrial Appendage
What to Do With the Left Atrial Appendage?


