Skip to main content

Volume 28 - Issue 9 - September 2020

09/07/2020
Tony J. DeMartini, MD
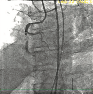
High quality imaging is essential for chronic total occlusion percutaneous coronary intervention (CTO PCI). Collateral vessels can be very tiny and tortuous. Without the appropriate visualization, the path of the collateral can be misleading....
High quality imaging is essential for chronic total occlusion percutaneous coronary intervention (CTO PCI). Collateral vessels can be very tiny and tortuous. Without the appropriate visualization, the path of the collateral can be misleading....
High quality imaging is...
09/07/2020
Cath Lab Digest
09/07/2020
Miguel Montero-Baker, MD
There are two aspects of the Rotarex Device that shine. First, it has very efficient clot removal. For thrombectomy purposes, I think this device is great. Second, the Rotarex engages plaque in a very efficient way.
There are two aspects of the Rotarex Device that shine. First, it has very efficient clot removal. For thrombectomy purposes, I think this device is great. Second, the Rotarex engages plaque in a very efficient way.
There are two aspects of the...
09/07/2020
Cath Lab Digest
09/07/2020
Marco Valgimigli, MD, PhD, FESC; Ralph J. Riello, III, PharmD, BCPS
The big surprise from the study is that the non-inferiority of cangrelor versus tirofiban was not met. Tirofiban was clearly superior to cangrelor. Among the 4 regimens, the mean level of platelet inhibition that can be achieved at 30 minutes...
The big surprise from the study is that the non-inferiority of cangrelor versus tirofiban was not met. Tirofiban was clearly superior to cangrelor. Among the 4 regimens, the mean level of platelet inhibition that can be achieved at 30 minutes...
The big surprise from the study...
09/07/2020
Cath Lab Digest
Your Path to Success: Expert Advice
09/07/2020
Anne Beekman, BSN, RN
In this month’s article, Anne Beekman, Senior Manager, Care Pathway Solutions, Terumo Business Edge, describes the insight and learning she and her team gained from working with programs during the Covid-19 crisis. Anne possesses a wide body...
In this month’s article, Anne Beekman, Senior Manager, Care Pathway Solutions, Terumo Business Edge, describes the insight and learning she and her team gained from working with programs during the Covid-19 crisis. Anne possesses a wide body...
In this month’s article, Anne...
09/07/2020
Cath Lab Digest
Case Report
09/07/2020
Abha Kulkarni, MS, MPH; Mihika Shah, MS; Joseph Ibrahim, MD, MS-IV, MS-II; Shray Awasti; Riya-Aisha Patel; Ashish Awasti, MD, FACC; Pratik B. Patel, MD, FACC
Coronary artery perforation (CAP) is a rare but serious, and potentially fatal, complication of percutaneous coronary intervention (PCI). CAP occurs when an intimal tear or dissection penetrates the arterial wall. Previous studies estimate...
Coronary artery perforation (CAP) is a rare but serious, and potentially fatal, complication of percutaneous coronary intervention (PCI). CAP occurs when an intimal tear or dissection penetrates the arterial wall. Previous studies estimate...
Coronary artery perforation...
09/07/2020
Cath Lab Digest
Imaging Corner
09/07/2020

Images/courtesy University of Erlangen

Images/courtesy University of Erlange...
Stent fracture is a common and clinically relevant complication in percutaneous coronary interventions. Untreated stent fractures (Types 3 and 4) are associated with poor cardiac outcome. For this reason, detecting stent fractures at the...
Stent fracture is a common and clinically relevant complication in percutaneous coronary interventions. Untreated stent fractures (Types 3 and 4) are associated with poor cardiac outcome. For this reason, detecting stent fractures at the...
Stent fracture is a common and...
09/07/2020
Cath Lab Digest
Clinical Images
09/06/2020
Faris G. Araj, MD; Alpesh A. Amin, MD; Pradeep P.A. Mammen, MD; Sonia Garg, MD; Sonakshi Manjunath, MD; Jennifer T. Thibodeau, MD, MSCS
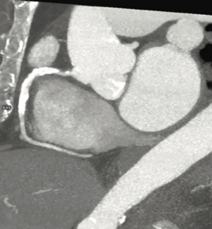
Constrictive pericarditis is a morbid condition, with a challenging diagnosis. Because constrictive pericarditis is generally considered a treatable cause of heart failure, evaluating for and distinguishing constrictive pericarditis from...
Constrictive pericarditis is a morbid condition, with a challenging diagnosis. Because constrictive pericarditis is generally considered a treatable cause of heart failure, evaluating for and distinguishing constrictive pericarditis from...
Constrictive pericarditis is a...
09/06/2020
Cath Lab Digest
09/06/2020
Sandeep Nathan, MD, MSc, FACC, FSCAI; Ferdinand Kiemeneij, MD, PhD; Darren Klass, MD, PhD; Ajit S. Puri, MD, DM
Recently, four interventional practitioners, representing different endovascular subspecialties, gathered to discuss their thoughts on the state of distal radial access techniques, the history behind it, and where they think it might fit into...
Recently, four interventional practitioners, representing different endovascular subspecialties, gathered to discuss their thoughts on the state of distal radial access techniques, the history behind it, and where they think it might fit into...
Recently, four interventional...
09/06/2020
Cath Lab Digest
Clinical Editor's Corner
09/06/2020
Morton J. Kern, MD, MSCAI, FACC, FAHA
In this issue of CLD, Manjunath et al present a case of a woman who presented with heart failure due to constrictive pericarditis. She had been treated with chemotherapy and chest radiation therapy for Hodgkin’s lymphoma.
In this issue of CLD, Manjunath et al present a case of a woman who presented with heart failure due to constrictive pericarditis. She had been treated with chemotherapy and chest radiation therapy for Hodgkin’s lymphoma.
In this issue of CLD, Manjunath...
09/06/2020
Cath Lab Digest