Low-Dose Imaging in Chronic Total Occlusions Without Sacrificing Image Quality Using the ARTIS Q.zen Angiography System
Why is it so beneficial to have good image quality in CTO interventions?
High quality imaging is essential for chronic total occlusion percutaneous coronary intervention (CTO PCI). Collateral vessels can be very tiny and tortuous. Without the appropriate visualization, the path of the collateral can be misleading. This can lead to prolonged procedure time, increased contrast usage, and increased risk to the patient.
The best scenario is to be able to adequately visualize collaterals with minimal radiation. In other situations, detail is equally important. Antegrade dissection reentry can be challenging when determining if the wire is in the true lumen distally. Without good visualization, this can lead to extensive dissections and greatly decrease the chances of success.
What are the typical concerns around low-dose radiation use and imaging?
There are certain aspects to consider when we think about image quality. First, in decreasing the radiation dose, the image can get a little grainy (although everyone has a different threshold for what is considered “too grainy”). Second, when changing directly from 15 frames to seven and a half frames, the image may initially appear choppy until your eye adjusts to the frame rate, and then it smooths out. It takes probably 10 to 15 cases for your eye to adjust to the different frame rate. As you are lowering radiation doses through either software or hardware changes, it will take some time to adjust. Working at 15 frames with an 8-inch field and then changing directly to seven and a half frames with a the 10-inch field is quite dramatic. I think lower radiation doses are something that people have to gradually work down to using. I have been using seven and a half frames for probably 10 years, so my eye is used to it. When I train people, I don’t have them use the bigger field and change to seven and a half frames at the same time, because they will have a hard time in that situation. I tell people to first go to seven and a half frames on every case — don’t learn it only on complex cases. Let your eyes get used to it on diagnostic caths and routine angioplasty. Start with the lower frame rate and only then go to a bigger field. Going from an 8-inch field to a 10-inch field will dramatically and significantly drop your radiation dose. At that point, you can start playing with the kV, the copper filter, and other things within the software to adjust how much radiation is actually delivered.
What does it mean to you, the staff, and the patients to have low radiation exposure during long CTO interventions?
For the entire team, it means less radiation. Operators try to be aware of where team members are located. I regularly stress this awareness to our fellows: always know where the team is and if you see them up by the camera, get off fluoro. There is no reason to radiate people unless you are in a dire emergency. The staff may need to walk up to the patient to help with a nose scratch, give drugs, and so on. If you don’t see them going up by the patient and are on fluoro or cine, then staff are going to get additional radiation that adds up over time. We all wear lead and use shields, but being in the lab regularly, our risks are much higher. Less radiation for the staff is best for them long-term, especially for the younger members of our teams. People coming out of school tend to not be as aware of radiation, and feel young and indestructible. These team members are the ones we need to watch the closest, because they are going to be working in the field for a long time. In terms of patients, when we started CTO intervention, we didn’t have seven and a half frames, and were using the traditional 8-inch field. There were cases we would have to abort because we reached the radiation limit. Going beyond that limit, you are exposing the patient to burns or even worse. Today, I can’t remember the last time we stopped a case because we reached a radiation limit. There are times when we are on our usual low settings that we actually have to increase our radiation dose, typically in the caudal angles where we tend to be going through more tissue. As a result, the image gets a little grainier and the wires can be harder to see, so in those cases, we will transiently increase our radiation dose. For CTO work in particular, our system has two settings. One setting is for <33 body mass index (BMI) and one is for >34 BMI. We always start on the <33 BMI setting and then can bump it up to the >34 BMI setting if we need to improve visualization. The higher BMI setting increases the radiation dose delivered by about 10-15%, but in some of the heavier patients, we will go up on the radiation dose, because seeing the balloon dots and seeing the wires can be a struggle.
Do you maintain an awareness of the total radiation dosage in real time during procedures?
Yes, I keep a constant eye on our dosing during the case. I know that if we are at a certain angle, for example, the dose will be going up faster than at a different angle. Awareness of our current radiation dose in real time is extremely important. I am not using this awareness to see if we are going to hit the limit, because that is so rare, but more as a tool in order to see where I am delivering more radiation and at what angles, and also as a way to educate the staff and fellows. You can say, “We just did this procedure. This is how much gray we used.” It tends to drive home the point. With one of my former partners, the way that I was able to show him the difference is by making an AVI of one of my films and an AVI of one of his films. When we saved it on the hard drive, his cine was four times the AVI file size compared to mine. For whatever reason, that file size difference really made him pay attention. He could tell the image difference and the quality difference, because it was my extreme versus his extreme. He concluded that any change in image quality certainly didn’t justify the increased radiation he was using.
How has moving to low-dose imaging affected your ability to evaluate images?
Over time, my eye has changed. People will come in who don’t use any of the low-dose settings and say they simply can’t see anything, because it is such a drastic change. Similarly, if I go into one of their cases with the high settings, what I am looking at with the faster frame rate is overwhelming. I can confidently say my eye has become adjusted to the low-dose settings. There are also tools that can replace your eye or the fluoro. People will use cine to make sure they don’t have an edge dissection, for example, which uses a lot of radiation. Imaging with either intravascular ultrasound (IVUS) or optical coherence tomography (OCT) provides that same information, but without the radiation. We typically will use IVUS, because I am as anti-contrast as I am anti-radiation, although sometimes OCT can be used with saline instead of contrast. We use IVUS in probably 75% of our cases to make sure the stent is the right size, properly deployed, and there are no edge dissections.
What has been your overall experience with Siemens’ ARTIS Q.zen?
I have been shocked at how responsive Siemens has been and how much they have driven down the radiation. It has been impressive and quite positive. Our CTO success rate has not been affected at all when compared to our previous experience. We have been able to retain our very high success rate with the use of low radiation and imaging quality that allows us to be successful. I think the overall function and the flow of the system works. I am very happy with the system, with the low radiation dosing, and with the image quality. Our lab is a full Siemens lab, and our ultimate low settings are only in one lab, because of limitations on how many programs we can do in each lab. Our hospital also hosted a CTO course in January and did four CTO cases as part of the course. The longest case took 2 hours (the others ranged from an hour to an hour and a half in length), with a total 6 hours of case time. Our gray total for all four cases was 1.7 gray. Without the use of low-dose imaging, shorter cases would be 1.5 to 2 gray each, and for 2 to 3 hour-long cases, perhaps 5-6 gray each.
You share an accompanying case of a CTO in the right coronary artery that uses a Stingray Coronary CTO Re-Entry System (Boston Scientific). Can you share more about your use of this device in CTO work?
A Stingray is a must-have piece of equipment for CTO intervention in regards to antegrade dissection reentry. It has two balloons at the tip that make a flat device and it sits against the wall of the artery. There are two ports, one out each side of the flat balloon, that will either direct you towards the wall of the artery or towards the lumen. Retrograde injections allow you to determine the direction to the lumen. You can reenter, get through that tissue plane with stiff wires, and get back into the artery. Then you are able to go from the true lumen proximal to the true lumen distal, and reestablish blood flow. There is no other device similar to it in the market.
Do you have any final advice for operators who would like to explore low-dose imaging?
If people try and just flip a switch, and go from one extreme to the other, they are going to be miserable and most likely abandon any plans for using low-dose imaging. The change should be gradual. First, lower the frame rate, and adapt over 10-15 cases. Once your eye has adjusted, then start slowly working on other aspects. Everybody wins with less radiation: the doc wins, the staff wins, and the patient wins, especially some of these patients with complex disease who have multiple procedures. Since radiation is cumulative, these patients are getting a lot of radiation over a lifetime just from being in the cath lab.
---
Case Report
Successful Angioplasty of Chronic Totally Occluded Right Coronary Artery With Minimal Radiation and Contrast Use With the ARTIS Q.zen
Mukul Bhattarai, MD, Tony DeMartini, MD, SIU Heart & Vascular Center, Memorial Medical Center, Springfield, Illinois
A chronic total occlusion (CTO) in the coronary arteries has remained the most challenging lesion to treat. With the advancement of coronary interventional therapy and innovative technology and instruments, an antegrade dissection and re-entry (ADR) strategy can be employed in percutaneous coronary intervention (PCI) to open CTO lesions. The Stingray Coronary CTO Re-Entry System (Boston Scientific) allows for the accurate targeting and reentry of the true lumen from a subintimal position, facilitating ADR.1 The Stingray is designed for reliability, safety, and predictability in order to achieve revascularization. However, its use is low in some regions2,3 due to lack of experience. The patient’s exposure to radiation and contrast has always been of concern in CTO procedures.1 We present a case of successful angioplasty of a chronic totally occluded right coronary artery (RCA) utilizing a Stingray catheter. The patient had 467 mGy fluoro dose and fluoro time was 22.4 minutes. The procedural strategy that we used in our case emphasized successful recanalization of the CTO in the shortest possible period, using a lesser amount of radiation, contrast, and equipment.
Case Description
This is a 48-year-old man with known coronary artery disease (CAD) and a CTO of the RCA. He had a history of two failed attempts of CTO revascularization. He continued to have Canadian Cardiovascular Society (CCS) class 3 angina on 3 anti-anginal medications and was referred to our center for percutaneous intervention.
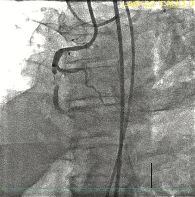
Bilateral femoral access was obtained with placement of an 8 French (Fr) sheath and 6 Fr sheath. An 8 Fr Amplatz Left (AL)-1 guide with side holes was used to engage the RCA. A 90 cm Extra Backup (EBU) 4 guide was used to engage the left main. Dual angiography demonstrated the mid-RCA occlusion (Figure 1, Video 1).
A Corsair Pro microcatheter (Asahi Intecc) was brought antegrade initially with a Gladius Mongo wire (Asahi Intecc); the wire crossed the proximal cap but entered the subintimal space. Both a Pilot 200 (Abbott Vascular) and Hornet 14 wire (Boston Scientific) failed to enter the true lumen distally. A Mongo wire was then advanced with a knuckle fashion to the distal landing zone, followed by the Corsair Pro microcatheter. The Mongo wire was removed and replaced with a Miracle 12 wire (Asahi Intecc), followed by removal of the Corsair Pro and placement of a Stingray balloon (Figure 2). The Miracle 12 wire was removed and a Hornet 14 wire was used to reenter the vessel. Subsequently, the Hornet 14 was removed and swapped for a Pilot 200 wire, which was advanced into the true lumen distally and confirmed on retrograde injection. The Stingray balloon was removed and replaced with a Corsair Pro microcatheter. The Pilot 200 was removed and replaced with a Sion Blue (Asahi Intecc). The Sion Blue was used to wire the distal posterior descending artery (PDA). The Corsair Pro microcatheter was removed. The RCA was pre-dilated with a 3.5 noncompliant balloon, followed by intravascular ultrasound (IVUS). After IVUS, the RCA was stented with 4.0 mm x 38 mm, 4.0 mm x 38 mm, and 4.0 mm x 32 mm Synergy drug-eluting stents (Boston Scientific), all of which were post-dilated with a 5.0 noncompliant balloon. Repeat IVUS showed no edge dissection and good stent apposition. Final angiography showed no residual stenosis (100% to 0%) and TIMI-3 flow distally (Figure 3, Video 2).

Perclose devices (Abbott Vascular) were deployed at both access sites for hemostasis. The patient had 467 mGy radiation dose and fluoro time was 22.4 minutes. The cine dose was 5331 DAP uGym2. The total contrast (Omnipaque 350 [GE Healthcare]) used for the procedure was 100 mL.
Discussion
We present a case demonstrating the successful use of a Stingray catheter to revascularize the RCA. There was a significantly low radiation dose. CTO lesions are frequently left unrevascularized due to perceptions of high failure rates and technical complexity, even if patients have symptoms of ischemia.1
ADR-based techniques utilizing the Stingray balloon and guidewires use the subintimal space for crossing the occlusion, followed by reentry into the distal true lumen. This hybrid technique has become the key component of contemporary CTO PCI, especially for crossing more complex occlusions.4 The Stingray balloon is 2.5 mm in diameter, 10 mm in length, and has a flat shape with two side exit ports opposed 180 degrees apart; upon low pressure (4 atmospheres) inflation, it orients with one exit port facing the true lumen and one exit port pointing away from the true lumen. This configuration allows for wire puncture into the distal true lumen when oriented toward the appropriate port. Once the lumen has been punctured, the guidewire can be advanced after a retrograde contrast injection confirms the guidewire is in the true lumen, or exchanged for a stiff-jacketed wire (“stick and swap”). The Stingray balloon is then deflated and exchanged for an over-the-wire catheter to perform subsequent dilatation and stenting of the CTO.4
Careful attention to fluoroscopy use throughout the case is important to minimize the risks associated with radiation exposure in any CTO procedure. Often to get these low radiation doses for CTO work, operators are forced to sacrifice image quality — the image becomes grainier and harder to evaluate. Use of >5 Gy dose can lead to skin injury, and >10 Gy significantly increase this possibility; therefore, the procedure is usually stopped before exceeding 10 Gy.1 Minimizing fluoroscopy time, routine utilization of non-magnified viewing, decreasing frame rate, coning, fluoroscopy storage, shallow angles, and image intensifier positional adjustment/rotation can limit skin exposure to radiation. ARTIS Q.zen has a flat-emitter tube technology that allows for shorter pulse lengths for sharper images. It uses less voltage for more filtration, meaning a lower dose and enhanced image quality.
During most CTO procedures, a 26 cm field is used with a frame rate of 7.5 fps for both fluoroscopy and acquisition. Frequent use of fluoro save rather than acquisition will significantly lower radiation dosing as well.
Nevertheless, radiation dosing, monitored closely during the procedure, is a significant factor in strategic intraprocedural strategy.1 The CTO procedure should be performed in a way that is safe and results in a complete revascularization, minimizing the risk of patient’s exposure to radiation and contrast.
The lesions most amenable to an ADR strategy are occlusions with defined proximal cap anatomy and, with long courses (>20 mm) where wire-based approaches are less likely to succeed.5 Such lesions can be identified either by angiographically or by IVUS. There should be good target vessel to attempt re-entry.5 The distal landing zone needs to have a good caliber without severe calcification or disease.5 Furthermore, the landing zone should be far from and proximal to major side branches and sites of bifurcation in the distal vessel. This strategy helps avoiding the loss of significant territories after stent deployment. The vessels that have donor arteries providing complex or non-interventional collaterals should also be strongly considered for ADR which is an efficient means to successfully cross a CTO lesion.5
Conclusion
Antegrade dissection re-entry (ADR) is an important technique for the revascularization of chronic total occlusions of the coronary arteries. CTO revascularization can be done with significantly lower radiation doses than historical data, with the use of appropriate technology and simple techniques to minimize exposure.
Disclosure: Dr. DeMartini reports he is a consultant to Siemens Healthineers, and a proctor for Boston Scientific and Asahi Intecc.
Dr. Tony DeMartini can be contacted at tdemartini79@siumed.edu
- Brilakis ES, Grantham JA, Rinfret S, et al. A percutaneous treatment algorithm for crossing coronary chronic total occlusions. JACC Cardiovasc Interv. 2012;5(4):367-379. doi:10.1016/j.jcin.2012.02.006
- Tian B, Jing QM, Wang B, Su YB. A new buddy stingray and stick technique for antegrade dissection and re-entry during chronic total occlusion recanalization: a case report. J Geriatr Cardiol. 2019;16(11):835-839. doi:10.11909/j.issn.1671-5411.2019.11.009
- Wu EB, Brilakis ES, Lo S, et al. Advances in CrossBoss/Stingray use in antegrade dissection reentry from the Asia Pacific Chronic Total Occlusion Club [published online ahead of print, 2019 Nov 26]. Catheter Cardiovasc Interv. 2019;10.1002/ccd.28607. doi:10.1002/ccd.28607
- Kern MJ, Seto AH. A primer on chronic total occlusion (CTO) percutaneous coronary intervention for the cath lab. Cath Lab Digest. 2018 June; 26(6):6-12. Available online at https://www.cathlabdigest.com/article/Primer-Chronic-Total-Occlusion-CTO-Percutaneous-Coronary-Intervention-Cath-Lab. Accessed July 20, 2020.
- Walsh S. When and how to perform an antegrade dissection/re-entry approach using the CrossBoss and Stingray catheters. In: Rinfret S. (eds) Percutaneous Intervention for Coronary Chronic Total Occlusion. Springer, Cham; 2016: 53-63. https://doi.org/10.1007/978-3-319-21563-1_6. Also available online at https://thoracickey.com/when-and-how-to-perform-an-antegrade-dissectionre-entry-approach-using-the-crossboss-and-stingray-catheters/. Accessed July 20, 2020.


