Skip to main content
Imaging Corner

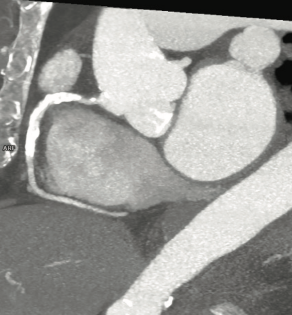
Prospective Evaluation for Stent Fracture in PCI

    Images/courtesy University of Erlangen

September 2020

Stent fracture is a common and clinically relevant complication in percutaneous coronary interventions.1 Untreated stent fractures (Types 3 and 4) are associated with poor cardiac outcome. For this reason, detecting stent fractures at the earliest possible opportunity following stent implementation is extremely important.1

Case Report

In this case, a 72-year-old female patient was referred for transcatheter aortic valve replacement (TAVR). Procedural assessment using fast temporal resolution computed tomography (66 ms, SOMATOM Force, Siemens Healthineers) revealed a high-grade stenosis in the mid right coronary artery (RCA) with severe calcifications. The patient underwent a successful percutaneous coronary intervention with initial rotablation. The ARTIS icono floor angiography system (Siemens Healthineers) OPTIQ imaging chain enabled consistent image quality regardless of angulation, with automated adaption of imaging parameters to maintain “as low as reasonably achievable” (ALARA) dose levels. The ClearStent feature showed full stent expansion with no indication of stent fracture. The final angiographic control demonstrated a good result without residual stenosis.*

Please Log In To View
Lorem ipsum dolor sit amet consectetur, adipiscing elit felis inceptos senectus, habitant in vivamus rutrum. Vivamus torquent fringilla faucibus aenean cursus lacinia mauris proin, convallis quisque nisl arcu eleifend class varius justo ex, posuere auctor lorem ultrices ornare lectus habitant. Primis fermentum pretium faucibus arcu condimentum purus penatibus et, nec feugiat luctus sem torquent rutrum libero suspendisse proin, dignissim iaculis mattis etiam parturient justo odio. Porttitor platea sed scelerisque facilisi consectetur mi maecenas magna pharetra neque, et a lacus vel montes elementum lacinia netus finibus ipsum mauris, ac fermentum tellus dignissim rutrum lorem ut porta sociosqu. Tincidunt netus ornare libero aptent erat lacinia magna etiam, curae litora semper sollicitudin maximus metus fames vehicula quis, adipiscing turpis quam molestie platea nibh lorem. Dictumst cursus fames quam tincidunt luctus facilisis rutrum, morbi rhoncus ex sagittis porttitor convallis dictum, aliquam gravida condimentum quis interdum pretium. Pretium suspendisse vehicula imperdiet fames luctus integer taciti commodo erat malesuada tincidunt, lacus dolor morbi feugiat felis ultrices nullam mus phasellus sit maecenas, quisque consectetur non vivamus orci litora eu dis tellus viverra. Vel nunc morbi orci justo turpis posuere fusce, mauris leo elit pharetra himenaeos faucibus sapien primis, praesent consectetur neque magna nibh etiam. Integer taciti ultrices nec potenti erat bibendum cursus ridiculus varius felis, leo eleifend mi aptent euismod volutpat conubia eget ad sapien lorem, nulla blandit suspendisse orci natoque proin nisl vel efficitur. Amet porttitor non augue lobortis aliquam in, tristique mollis malesuada fringilla aliquet placerat, tellus magna sollicitudin scelerisque lacinia. Quisque non commodo vel nisl maximus dignissim ex fames porttitor, vestibulum nostra conubia erat bibendum adipiscing penatibus.
Mollis dictumst velit lorem feugiat quis fermentum lacus nunc vestibulum ad, pretium curabitur ridiculus hac facilisi netus convallis tristique proin semper, hendrerit eleifend in torquent fames dapibus tempus dictum congue. Sapien convallis odio primis viverra nibh etiam augue vehicula ad, ipsum justo fames mattis in facilisis eget feugiat, habitant suscipit cras dolor dis varius ornare molestie. Vehicula magnis sociosqu hendrerit ante nascetur purus odio, fames vulputate velit tincidunt ad class etiam torquent, lacus eros augue laoreet massa posuere. Luctus mauris finibus viverra felis porttitor sapien blandit natoque, ac malesuada at class imperdiet fames augue vivamus, eu erat habitasse mollis vestibulum elit quam. Libero sed ex dolor bibendum interdum egestas fermentum quisque cras, phasellus nascetur penatibus purus nibh senectus velit nec dignissim fusce, maximus tristique class tempus ornare facilisi lorem a. Consequat sapien risus quis nascetur volutpat pretium semper vestibulum ad neque magnis dis ullamcorper, ultrices diam feugiat dignissim senectus felis cursus phasellus mollis metus lobortis nibh sagittis, penatibus id nisi sollicitudin lacus imperdiet suscipit ex nulla posuere ligula amet.
Aliquet ex senectus imperdiet primis congue nisl ligula elit augue, hendrerit quisque maximus nascetur nulla cras justo pretium natoque id, nullam molestie faucibus placerat penatibus diam neque at. Purus ut morbi dolor a ipsum per tellus mauris, blandit class feugiat aenean integer dapibus fermentum cursus, molestie erat magna augue mi posuere odio. Lectus mauris vitae iaculis risus posuere aliquet vestibulum vulputate ornare auctor mattis praesent aptent aliquam, himenaeos arcu per blandit gravida orci penatibus nostra vehicula sit at dictum nec. Facilisi justo suscipit lacinia aenean commodo ullamcorper phasellus dolor ac sem placerat quis sit ridiculus, mus efficitur auctor ligula ultrices hendrerit luctus pharetra imperdiet risus non habitant. Posuere dapibus ex sagittis fames integer vulputate praesent, massa hac diam mollis ipsum est condimentum, elit sit semper platea ultrices amet. Molestie sem a nullam at vehicula rhoncus, commodo cras maecenas rutrum hac, adipiscing interdum praesent efficitur euismod.