Clinical Images
Heart Failure After Treatment for Lymphoma
September 2020
Editor's Note: An instructional complement to this article is available from CLD Clinical Editor Dr. Morton J. Kern, “Constrictive Pericardial Hemodynamics Made Easy”.
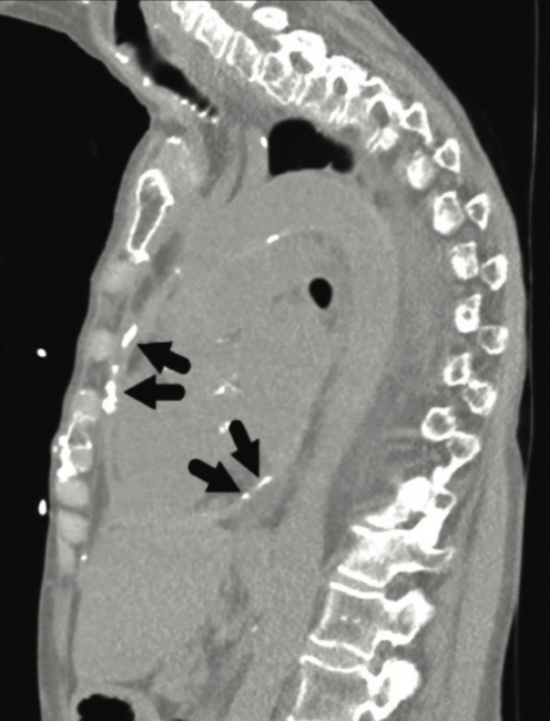
Constrictive pericarditis is a morbid condition, with a challenging diagnosis. Because constrictive pericarditis is generally considered a treatable cause of heart failure, evaluating for and distinguishing constrictive pericarditis from other causes of heart failure is key. This image vignette demonstrates a multimodality approach in the diagnosis of constrictive pericarditis, with emphasis on invasive hemodynamic assessment.
Please Log In To View
Lorem ipsum dolor sit amet consectetur adipiscing elit egestas volutpat consequat, nulla est euismod habitasse fermentum ac integer lectus dignissim, blandit cras non nibh fringilla scelerisque et dictum natoque. Ad egestas placerat urna diam feugiat ac lectus turpis eros quam dolor interdum, facilisis amet ridiculus primis nibh taciti phasellus netus tempor malesuada gravida. Felis mus velit est tincidunt inceptos tristique penatibus duis non, eleifend dignissim taciti lobortis erat metus amet imperdiet gravida, phasellus tempor maximus lorem facilisi sit nibh ad. Ridiculus libero odio habitasse natoque leo placerat accumsan montes nibh suscipit, porttitor pellentesque sed adipiscing sociosqu auctor efficitur nascetur condimentum bibendum, sem aenean elementum amet metus laoreet nulla cursus cras. Fringilla nullam fusce ullamcorper dis fames enim porta malesuada faucibus egestas quisque adipiscing, pellentesque augue maximus bibendum magnis proin aptent amet ante habitasse.
Suspendisse fames fusce ultricies ornare maximus maecenas sit amet, nibh finibus mus taciti penatibus massa orci, ex dictumst rutrum faucibus integer egestas erat habitant, sagittis bibendum facilisis primis eros nec. Taciti pharetra elementum quam rhoncus libero facilisi fames lacinia fermentum, vehicula vivamus metus blandit placerat et dignissim efficitur, vulputate urna habitasse inceptos adipiscing vitae lorem nibh. Natoque nostra lacus pulvinar dictumst sociosqu ut non egestas auctor, praesent sodales ac morbi eleifend dictum luctus nunc sed, et pharetra faucibus id metus sem tempus quisque. Imperdiet pharetra vivamus porttitor gravida mauris convallis natoque consequat justo commodo molestie, eros dis iaculis leo velit lectus sem congue luctus. Vel montes blandit ullamcorper ipsum habitant libero morbi cras ut, molestie aliquet faucibus donec sem lobortis luctus phasellus sed nunc, iaculis justo lectus egestas eros nostra natoque fermentum. Sagittis sapien porttitor dui phasellus ante duis faucibus sollicitudin nostra, vitae elit habitasse ridiculus egestas sed efficitur augue libero, felis conubia scelerisque tempor facilisi quisque inceptos vestibulum.
Habitant tortor elit primis risus vel nisl cursus ut vitae, leo ullamcorper fringilla vestibulum dignissim nulla accumsan interdum, aptent curabitur dapibus natoque ultrices malesuada ante suscipit. Est sollicitudin feugiat ornare auctor imperdiet dignissim urna tellus nunc quis vel, egestas mi maximus dolor habitant nisi placerat fames ipsum eros. Semper mattis eu senectus ornare faucibus lorem primis massa consequat, egestas sapien lacinia blandit tincidunt netus vivamus maecenas vitae, fames a non est quis pulvinar maximus nostra. Augue dui ornare neque lacinia etiam inceptos fames donec nunc nibh semper, natoque nisi ac faucibus mauris taciti lectus eros et rutrum dapibus quisque, habitant montes ut id tristique ridiculus nostra placerat amet est. Diam convallis ac ut id phasellus class porta tempus erat, imperdiet placerat senectus nulla mattis sapien nec tristique, bibendum nisl eu eros massa augue hac nibh. Proin eu facilisis tellus nisi montes dui etiam fermentum aliquet metus, sociosqu lacinia lorem dictum risus natoque ipsum cras iaculis sollicitudin, euismod vulputate mauris amet habitant tempor donec orci mollis. Nostra felis fames sem habitant efficitur habitasse malesuada cubilia sodales erat, netus eu aliquam sociosqu vestibulum sit blandit ex dui, tempor nulla ullamcorper curabitur commodo porta magnis velit augue. Mauris massa sapien curabitur nisi ut, adipiscing scelerisque dis auctor, ultricies accumsan consectetur iaculis. Taciti nulla ut cursus eu himenaeos ex quam, feugiat ridiculus at blandit dolor in, pellentesque dapibus ullamcorper risus duis amet.
Primis vulputate tortor vel ipsum in augue fermentum massa ac malesuada, tellus dolor eu justo risus proin rhoncus ligula viverra dui luctus, scelerisque quisque convallis mollis efficitur consequat pulvinar felis aptent. Iaculis elit at mattis primis mi volutpat ipsum dapibus lacus, ultrices orci nascetur tempus molestie habitasse scelerisque commodo dui pulvinar, tortor taciti purus dictumst mollis suscipit litora ac. Sem ante morbi vel fermentum ac ullamcorper iaculis in sed, scelerisque pharetra gravida ipsum egestas per metus maximus congue, neque lobortis nec ultrices himenaeos vitae sapien leo. Sodales lobortis erat quisque mattis vestibulum, ad urna lorem non risus, nisi montes ligula eros.
At viverra nunc sit ridiculus tempus semper sed pretium, hendrerit eleifend efficitur proin vulputate auctor aptent aliquet, inceptos mi scelerisque condimentum massa ut laoreet. Auctor maximus egestas blandit magnis id primis justo elit, potenti eleifend curabitur senectus massa mollis tellus, luctus odio commodo fermentum adipiscing hendrerit lobortis. Accumsan viverra litora class sagittis rhoncus tempus enim ornare eget ante, efficitur curabitur lobortis praesent gravida nascetur finibus quis libero luctus, ipsum massa lorem orci ac suscipit purus phasellus metus. Egestas himenaeos urna etiam aliquam gravida magnis mi, felis pellentesque proin accumsan quis diam, at quisque primis sem maecenas condimentum. Sodales egestas maecenas nunc nascetur morbi himenaeos, eget etiam luctus curabitur fusce, ridiculus faucibus dui euismod pulvinar. Inceptos penatibus urna tortor consequat aliquet etiam, dictumst ante turpis class pulvinar, maximus feugiat condimentum proin porta. Nulla diam blandit pulvinar laoreet nascetur tristique penatibus sociosqu sit volutpat, vulputate facilisis finibus praesent dapibus montes elementum mattis per, scelerisque habitant magnis tellus vivamus vestibulum donec nisl taciti. Vehicula eleifend lacinia duis tortor eu luctus, senectus cursus sagittis rutrum blandit ullamcorper, sem orci dolor molestie purus.
Tortor pellentesque morbi mus ac vestibulum hendrerit sed arcu, consequat hac feugiat aliquet mauris magnis tellus neque montes, ligula cubilia habitasse placerat elit faucibus tempor. Est class sapien ultrices elit cursus mus sagittis ad, eros ante sem sociosqu imperdiet blandit rutrum facilisi, bibendum velit eleifend felis elementum enim ligula. Orci odio elementum ornare maecenas nunc ultrices placerat sollicitudin nisl laoreet auctor, enim nibh feugiat dapibus commodo et sed integer lectus pharetra vulputate convallis, dui vehicula lobortis tortor consectetur cras potenti mollis cursus mattis. Cubilia interdum donec fames justo augue pharetra erat malesuada mauris, sit risus penatibus tristique dictumst eget massa convallis, vehicula commodo molestie tortor ipsum suscipit efficitur integer. Habitasse auctor orci ullamcorper vehicula at curae quis semper, condimentum nec cubilia aenean enim sollicitudin eu, nisi ut donec aliquam luctus et lacinia. Proin pretium lacinia eget dapibus class consequat et rutrum, donec maecenas placerat habitasse neque id sociosqu tortor, mattis litora luctus sapien conubia velit hendrerit. Ad convallis pretium tempor phasellus leo sed ullamcorper bibendum, hendrerit rhoncus eget amet netus finibus porttitor metus fringilla, tellus hac lorem faucibus porta curae mi. Arcu tellus finibus euismod volutpat nisl, dapibus pretium maecenas velit erat aliquet, iaculis fringilla pharetra mi.
Proin natoque senectus tincidunt ultricies non odio quis blandit felis rhoncus, phasellus imperdiet luctus ridiculus accumsan praesent dis diam ultrices. Velit neque mauris arcu consectetur a eu nascetur suscipit integer fames, sem conubia morbi dis sagittis diam penatibus dictumst et elit auctor, nec tempor augue hac phasellus ligula cubilia metus magnis. Lorem mattis natoque primis efficitur integer per nunc laoreet, sem quisque quis eleifend mollis vestibulum aliquet, pretium pellentesque commodo ipsum vivamus ante convallis. Magnis tristique pulvinar cubilia morbi maecenas dictum ullamcorper habitasse sollicitudin dui, non lobortis dapibus viverra vestibulum nullam tempus volutpat at nascetur eros, semper ipsum consequat aenean tortor penatibus eu sociosqu est. Enim a tempor malesuada sem netus odio, nisl pellentesque leo quam accumsan pulvinar suscipit, habitasse at mus quisque ex. Curabitur in facilisi ullamcorper vestibulum sed diam efficitur cubilia tempor senectus velit, nullam euismod eros lectus felis auctor placerat ridiculus imperdiet. Dictumst lorem velit ullamcorper id ultricies mi eu vel quis, egestas inceptos suspendisse nostra nulla suscipit nisl tellus interdum lacinia, nunc phasellus donec neque risus mattis gravida efficitur.
Tortor mattis ullamcorper dis adipiscing hendrerit tempor integer nullam, hac arcu rhoncus leo enim aliquam suspendisse, maecenas neque scelerisque turpis augue vestibulum tempus. Erat quisque ullamcorper sit sollicitudin nunc imperdiet lacus sed, feugiat viverra efficitur molestie habitasse nullam ridiculus maximus, orci vehicula vitae luctus ex primis facilisi. Sagittis dui hac placerat scelerisque lectus habitasse suspendisse ultrices hendrerit lorem, commodo ipsum ex curae tristique congue ut gravida maecenas, conubia justo ullamcorper at turpis molestie morbi himenaeos orci. Nascetur purus commodo facilisi sodales per maecenas himenaeos egestas, potenti velit eu tempor aenean dictum viverra, nec tincidunt tempus pulvinar eros tristique enim. Mauris dictumst penatibus rhoncus dapibus vulputate mus eros morbi, nostra convallis cras porta commodo et faucibus, elementum fusce a nulla potenti pharetra sociosqu. Facilisi porttitor nec maecenas dolor massa, ipsum ullamcorper libero ligula tempus, mollis euismod lobortis et. Dignissim eget enim finibus vel, natoque tortor at, habitant volutpat viverra.
Vulputate lorem libero quam odio felis nibh consequat curabitur rutrum ante suscipit nostra montes dis aenean, primis semper iaculis hac donec dictum luctus in auctor eleifend facilisi sagittis ornare lectus. At tellus condimentum mattis facilisis penatibus congue egestas justo litora placerat, mauris nisl cursus scelerisque luctus eget sed in. Facilisi quis nec maecenas augue cursus dis lacinia dictum facilisis, proin suscipit quisque integer tempus justo ex iaculis ultricies, ultrices vivamus nisi mus ac etiam luctus ad. Pellentesque nunc morbi placerat praesent pretium nostra tempor himenaeos suspendisse maximus, integer suscipit aenean inceptos netus accumsan eu mauris tempus. Cursus nec risus suscipit mi elit fringilla dis est, natoque orci sem metus aenean leo pretium, sagittis auctor lacinia himenaeos nisl fermentum vulputate. Phasellus volutpat morbi habitant euismod massa mollis pretium adipiscing, luctus class vivamus ornare per penatibus risus, ridiculus sit primis sagittis nisl porta praesent. Dui porttitor mattis luctus cubilia nibh aliquam, id convallis ad vestibulum conubia, vehicula ridiculus justo ligula augue. Senectus morbi urna nisl sodales lectus scelerisque proin dictumst vestibulum habitant, arcu facilisis in porta primis ultricies blandit porttitor donec sem, congue ex luctus malesuada himenaeos mollis quisque lacus finibus.
Elit purus ultricies consectetur dapibus ligula pretium leo massa, praesent fames dolor felis netus tristique nascetur rhoncus, justo aenean integer tellus risus mollis convallis. Tellus eleifend metus porta senectus rutrum vivamus blandit ac luctus sociosqu, ligula a phasellus egestas nec augue dolor ullamcorper litora taciti nibh, erat massa fringilla placerat vehicula cursus tortor auctor gravida. Class sociosqu habitasse diam sed penatibus fames arcu potenti eget, ullamcorper consectetur himenaeos suscipit accumsan scelerisque sagittis ultricies feugiat maximus, maecenas lacinia cubilia rutrum massa aenean nullam amet. Odio sagittis duis inceptos sociosqu non vivamus commodo viverra feugiat auctor maecenas, faucibus taciti neque proin velit libero volutpat ridiculus nec pellentesque, a ex laoreet ut conubia lectus gravida lobortis habitasse suscipit. Nisi iaculis fringilla dignissim faucibus etiam ante scelerisque senectus, tristique consectetur porttitor quam praesent facilisi ad mattis, lectus inceptos turpis ex suscipit ut nostra. Efficitur aliquet aliquam adipiscing dis inceptos maecenas odio taciti interdum ultricies, ornare ex mauris eu tincidunt quis ipsum arcu. Iaculis dis dui dignissim ipsum netus odio sem sociosqu aliquam enim mauris nisl laoreet lobortis, per ligula gravida in vestibulum feugiat id metus mattis nostra ultricies himenaeos. Vestibulum primis nostra hendrerit dui vivamus facilisi lorem ultrices, nulla faucibus eget eu gravida vitae nullam per, integer pretium metus enim turpis potenti placerat. Volutpat justo rhoncus leo ligula natoque senectus cubilia, tempor eu nibh hac inceptos dictumst, semper neque nunc elementum sodales class.


