Correcting Midfoot Charcot With a Hexapod Frame
Charcot neuroarthropathy may present as an acute or chronic destruction of bone and joints, a scenario not infrequent in our diabetic population. Still, Charcot may be present in conjunction with other forms of peripheral neuropathy. The incidence of this disease varies from 0.1–0.4% in patients with diabetes.1 The bone and joint destruction often leads to chronic deformity, which can, in turn, lead to ulceration. If left untreated, infection and amputation are not uncommon sequelae. Unbraceable deformities demand surgical consideration, provided the patient can medically support this intervention. Surgery aims to produce a shoeable plantigrade foot that allows independent weight-bearing with sustained remission from ulceration. Surgeons can achieve deformity correction either acutely or gradually by employing internal fixation, external fixation, or a combination of both.
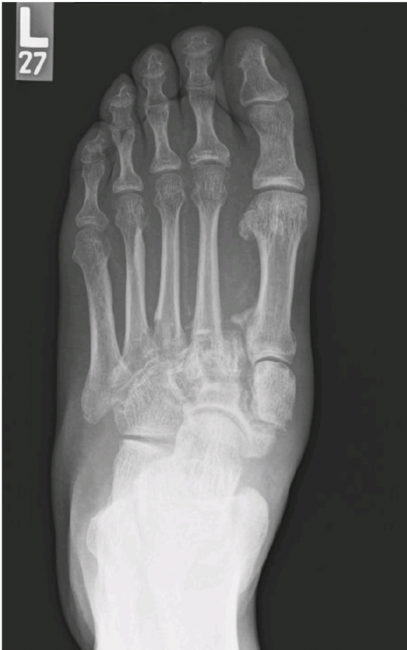
diastasis across the tarsometatarsal joint complex and subluxation of the midtarsal complex.
There is no existing standard protocol for the surgical management of Charcot arthropathy.2 External fixation can be a primary method of fixation/stabilization of the reconstruction or used as an adjunctive measure. The choice depends on the patient’s deformity, habitus/athleticism, presence of infection, and surgeon preference.3,4 In a systematic review, Ha and colleagues found no significant difference in limb salvage rates, complications, or post-procedure amputation when comparing surgical techniques in patients with Charcot foot.5 However, external fixation may offer advantages in allowing access to open wounds and potentially allowing earlier weight-bearing.
Dogmatically, we are trained not to intervene during the acute phase of Charcot and allow for transition to a chronic presentation—employing offloading devices such as controlled ankle mobility boots or the gold standard of the total contact cast. However, one may consider treatment for some of these presentations in the acute phase, when the foot is reducible. External fixation can be extremely useful here. Unlike internal fixation, which requires a robust bone structure to maintain integrity, the fixator provides that structure and form. It makes sense to relieve deforming forces—such as the equinus with Achilles contracture—realign bone and joint through the fixator, and allow consolidation in alignment with consideration after that to stabilize through internal fixation with appropriate fusion levels. We have been adopting acute correction when feasible in our practice.6
Due to its unique design with 6 adjustable struts, the hexapod frame can manipulate and stabilize the Charcot foot deformity. At our institution, we have used this construct for acute deformity correction with computer software employed when residual deformity is present. The software allows the surgeon to perform multiplanar correction without making significant adjustments to the frame. Several ring fixation systems are available today, but only some have Food and Drug Administration–approved software correction programs. Regardless of the system, the surgeon should become familiar with one system to realize its full potential.7
At our institution, we use the TL-Hex TrueLok Hexapod System™ (Orthofix). Here, we detail a case demonstrating our experience.
Case Study: Stabilizing Midfoot Charcot With a Hexapod Frame
A 58-year-old man with type 2 diabetes, peripheral neuropathy, and diabetic nephropathy presented to our outpatient clinic with increasing pain and deformity of the left foot. He had no history of trauma and denied having any constitutional symptoms. His most recent hemoglobin A1c was 8.1%. The physical exam revealed a warm and well-perfused foot with palpable and Dopplerable pulse, but the left foot had increased asymmetric warmth compared to the right. There were no open wounds. However, he presented with a rocker-bottom configuration confirmed by radiographs with a negative talometatarsal angle and appreciated ptosis of the cuboid below the midfoot horizon.
Plain radiographs of the foot revealed advancing destruction and diastasis across the tarsometatarsal joint complex and subluxation of the midtarsal complex. Given the complexity of the deformity in multiple planes and likely progression to an unbraceable foot, we offered the patient an acute correction. Stage 1 would be through a butted frame with hexapod configuration followed by consideration of intramedullary fixation as a second stage if necessary.
Stage 1: Application of external fixation. Surgical planning starts with entering data into the TL-Hex software. As with most programs, you must enter the case information, including case type (deformity or fracture), laterality, bone type, etc. Then one chooses the reference segment, which is typically proximal when addressing the midfoot Charcot deformity. There are then 2 methods to enter the deformity parameters: manual input of the required values (ie, angular measurements), and uploading radiographic images into the software. Two orthogonal (90°) images are required (ie, AP and lateral views) with any protected health information redacted, but the ruler must be included, as it is necessary for calibration. You will then need to calibrate the measurements of the image.
One may superimpose the calibration tool on the ruler and enter the value (ie, 40 mm) into the dialogue box. You will then be asked to determine the reference axis and moving axis, which will then provide you with the apex of the deformity where one would typically place the osteotomy. Select the ring diameter, followed by the latency period and correction rate. Latency is generally between 5–14 days, depending on patient comorbidities, and correction is typically 1mm/day. After inputting all values, the software will produce a visual representation of the corrected deformity as well as a plan that includes the length and color of each strut and their orientation on the rings. The system will create a daily strut adjustment program.
One of the main driving forces of the midfoot deformity is the contracture of the Achilles tendon. The plantarflexion force on the hindfoot further drives superior dislocation of the midfoot. We typically perform an open Z-lengthening technique. Make a medial incision adjacent to the tendon. Make a stab incision centrally within the tendon. Place 2 curved hemostats within the incision and split the tendon longitudinally. Then perform a tenotomy medially and laterally to achieve the Z-lengthening. Place a Steinmann pin through the plantar aspect of the calcaneal tuber. Use the pin as a joystick to bring the calcaneus out of equinus. Then drive the Steinmann pin into the posterior malleolus of the tibia to hold the position of the calcaneus. Take care to restore appropriate physiological tension, so as not to produce a calcaneal gait.
Apply the hexapod frame after restoring the calcaneus from equinus. We typically use skinny wires versus half pins, but this is up to surgeon preference. With all connecting struts loosened, manipulate the reducible foot deformity in all planes. This occasionally demands strategically placed small incisions to relieve bone or joint impediments with release using osteotomes and or elevators. When satisfied with the gross appearance of foot architecture, tighten the struts and obtain intraoperative images to confirm anatomic alignment.
It is now necessary to perform final reads of both acute and gradual strut alignment numbers. If these numbers remain consistent with preoperative planning, make no changes to the established deformity correction prescription. If identified changes result from acute corrections performed during the surgery, enter these numbers into the program and develop an updated prescription. Our experience has shown that acute correction mitigates significant postsurgical gradual deformity correction. Regardless, once achieving full correction, osseous consolidation is then permitted. Commonly, our patients remain in these frames for at least 6 weeks and up to 12 weeks. In this recovery time, we determine, based on clinical and radiographic findings, whether the patient will proceed to a staged internal fixation or move directly to extremity bracing.
Stage 2: Transition to internal fixation. In Charcot patients undergoing staged reconstruction with an application of internal fixation, we have employed a minimally invasive approach to our joint preparation due to their increased risk for nonhealing wounds, necrosis, and infection (if not already present). Using fluoroscopy as a vital tool with this approach, we utilize the mini-C arm for accessibility and maneuverability. Position the bed so there is ample room for the C-arm to move with ease.
It is also essential to have an excellent understanding of the anatomy of the area one is fusing, as you will need to maneuver the burr around the contours of bone to ensure appropriate joint preparation as well as to avoid critical vascular structures. Using the medial column as an example, we mark out the location of each joint (first tarsometatarsal joint, medial cuneiform-navicular, and talonavicular) both on the dorsal and medial aspects of the foot using the AP and lateral projections. Then make a stab incision centrally over each joint and carry blunt dissection down to the bone. We then introduce a percutaneous burr to remove cartilage and subchondral bone. This can be under live fluoroscopy, but if the surgeon is comfortable with utilizing the percutaneous burr, then one can use fluoroscopy more sparingly to ensure adequate joint preparation. Be sure to “milk” each incision to remove the bony-cartilaginous debris. Intramedullary beams and bolts have served us well and allow for a limited skin incision approach.
In Conclusion
Regardless of the technique, the hexapod frame is a valuable tool in the foot and ankle surgeon’s armamentarium when used to correct the Charcot foot deformity in either an acute or gradual manner. There are multiple benefits if done acutely, less reliance on patient adherence (need for less strut adjustment), manual manipulation through the frame, and stabilization during the acute phase of the disease.
Shane Sato, DPM, is the Chief Resident at Cambridge Health Alliance.
Michael H. Theodoulou, DPM, FACFAS, is an Assistant Professor of Surgery at Harvard Medical School. He is the Division Chief, of Foot and Ankle Surgery at Cambridge Health Alliance.
References
1. Dardari D. An overview of Charcot’s neuroarthropathy. J Clin Transl Endocrinol. 2020 Oct 28;22:100239. doi: 10.1016/j.jcte.2020.100239. PMID: 33251117; PMCID: PMC7677697.
2 Ong SL, Bajuri MY, Mazli N. Outcome of surgical fixation for midfoot Charcot neuroarthropathy - a systematic review. Malays Orthop J. 2023 Mar;17(1):27-33. doi: 10.5704/MOJ.2303.004. PMID: 37064618; PMCID: PMC10103930.
3. Bajuri MY, Ong SL, Das S, Mohamed IN. Charcot neuroarthropathy: current surgical management and update. a systematic review. Front Surg. 2022 Mar 8;9:820826. doi: 10.3389/fsurg.2022.820826. PMID: 35345422; PMCID: PMC8957099.
4. Capobianco CM, Ramanujam CL, Zgonis T. Charcot foot reconstruction with combined internal and external fixation: case report. J Orthop Surg Res. 2010 Feb 11;5:7. doi: 10.1186/1749-799X-5-7. PMID: 20181223; PMCID: PMC2831018.
5. Ha J, Hester T, Foley R, Reichert ILH, Vas PRJ, Ahluwalia R, Kavarthapu V. Charcot foot reconstruction outcomes: A systematic review. J Clin Orthop Trauma. 2020 May-Jun;11(3):357-368. doi: 10.1016/j.jcot.2020.03.025. Epub 2020 Apr 20. PMID: 32405193; PMCID: PMC7211810.
6. Stuto AC, Stapleton JJ. Surgical considerations for the acute and chronic Charcot neuroathropathy of the foot and ankle. Clin Podiatr Med Surg. 2022 Apr;39(2):331-341. doi: 10.1016/j.cpm.2021.11.005. PMID:35365330
7. LaPorta GA, Begum M, Guzelak S, D’Andelet A. The use of hexapod external fixation in the management of Charcot foot and ankle deformities. Clin Podiatr Med Surg. 2022 Oct;39(4):629-642. doi: 10.1016/j.cpm.2022.05.010. PMID: 36180193.


