Skip to main content

Volume 36 - Issue 5 - May 2023

Online Exclusive
05/12/2023
Erik Sims, DPM; Cathleen Janeczko, MS, ACSM-EP
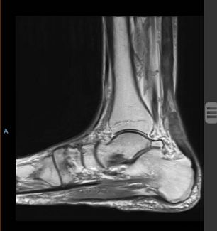
The authors describe the nonsurgical treatment of an 81-year-old man with bibasilar pneumonia who was treated with IV levofloxacin for and subsequently developed a rupture of his left Achilles tendon.
The authors describe the nonsurgical treatment of an 81-year-old man with bibasilar pneumonia who was treated with IV levofloxacin for and subsequently developed a rupture of his left Achilles tendon.
The authors describe the...
05/12/2023
Podiatry Today
Online Exclusive
05/12/2023
Erik Sims, DPM; Cathleen Janeczko, MS, ACSM-EP
The authors describe the nonsurgical treatment of an 81-year-old man with bibasilar pneumonia who was treated with IV levofloxacin for and subsequently developed a rupture of his left Achilles tendon.
The authors describe the nonsurgical treatment of an 81-year-old man with bibasilar pneumonia who was treated with IV levofloxacin for and subsequently developed a rupture of his left Achilles tendon.
The authors describe the...
05/12/2023
Podiatry Today
Feature
05/11/2023
Aashi Modi, BS; Stephanie C. Wu, DPM, MSc, FACFAS; Leland Jaffe, DPM; Priya Thakkar, MD
With healthcare-acquired infections continuing to be prevalent, these authors explore infection prevention technologies, including antimicrobial surfaces and textiles, hand and surface sanitizers, electronic tools, and artificial...
With healthcare-acquired infections continuing to be prevalent, these authors explore infection prevention technologies, including antimicrobial surfaces and textiles, hand and surface sanitizers, electronic tools, and artificial...
With healthcare-acquired...
05/11/2023
Podiatry Today
Cover Feature
05/01/2023
Rob Conenello, DPM, FACFAS, FAAPSM
Injured runners are raring to get back on their feet, making it imperative to have a protocol that can treat these athletes and safely return them to running. This author offers pearls on eliciting symptoms from runners, diagnosing injuries,...
Injured runners are raring to get back on their feet, making it imperative to have a protocol that can treat these athletes and safely return them to running. This author offers pearls on eliciting symptoms from runners, diagnosing injuries,...
Injured runners are raring to...
05/01/2023
Podiatry Today
Wound Care Q&A
05/01/2023
James B. McGuire, DPM, PT, cPed, CWS, FAPWCA, FAPWHc; Kazu Suzuki, DPM, CWS
Where can biomechanics have the most impact in wound healing?
Where can biomechanics have the most impact in wound healing?
Where can biomechanics have the...
05/01/2023
Podiatry Today
Feature
05/01/2023
Christine Miller, DPM, PhD, CWSP, FACCWS
Can podiatrists use their biomechanical skills to aid in the investigation of crime? This author explores the use of gait analysis in legal settings, performing a gait comparison report, and what the American Society of Forensic Podiatry does.
Can podiatrists use their biomechanical skills to aid in the investigation of crime? This author explores the use of gait analysis in legal settings, performing a gait comparison report, and what the American Society of Forensic Podiatry does.
Can podiatrists use their...
05/01/2023
Podiatry Today
Diabetes Watch
05/01/2023
Matthew J. Regulski, DPM, ABMSP, CMET, FAPWH(c)
The Prepare to Repair™ paradigm includes things that warrant evaluation and management to, in my observation, move the wound through a healing trajectory that will lead the wound to accept a more advanced tissue product or skin graft.
The Prepare to Repair™ paradigm includes things that warrant evaluation and management to, in my observation, move the wound through a healing trajectory that will lead the wound to accept a more advanced tissue product or skin graft.
The Prepare to Repair™ paradigm...
05/01/2023
Podiatry Today
Surgical Pearls
05/01/2023
Travis Langan, DPM, FACFAS, AACFAS
The purpose of this article is to describe the author’s preferred technique for augmented lateral ankle ligament reconstruction using a dynamic matrix biomaterial.
The purpose of this article is to describe the author’s preferred technique for augmented lateral ankle ligament reconstruction using a dynamic matrix biomaterial.
The purpose of this article is...
05/01/2023
Podiatry Today
Forum
05/01/2023
Alton R. Johnson, Jr., DPM, DABPM, FACPM, FASPS, CWSP
We have to learn to engage the younger generations about our amazing specialty as early and as often as possible.
We have to learn to engage the younger generations about our amazing specialty as early and as often as possible.
We have to learn to engage the...
05/01/2023
Podiatry Today