Diagnosis and Treatment of Levofloxacin-Induced Achilles Tendon Rupture in an Elderly Male
Fluoroquinolones such as levofloxacin and ciprofloxacin are common antibiotics used to treat a spectrum of bacterial infections.1 Tendinitis and tendon rupture are well-known possible side effects of fluoroquinolone use that have been shown to increase with the addition of certain risk factors including use of corticosteroids, increasing age, and length of treatment.2,3 Due to this inherent risk, physicians must be confident the antibiotic is necessary and that the possible benefit outweighs the potential side effects. Properly identifying at-risk individuals and educating the patient on recognizing tendinopathy symptoms and the importance of reporting them quickly will decrease un-intended harmful side effects.3,4 If a partial or full tear of a tendon occurs, the use of the antibiotic should be stopped immediately and new treatment for residual infection and rehabilitation should be established.
Tendon rupture can occur throughout the body, but the Achilles tendon is the most common location.5 Traditionally, this tendon injury is investigated as a result of overuse; however, it is essential to also consider if treatment options should be changed or modified when this injury is secondary to antibiotic use. The course of treatment for Achilles tendon rupture is a topic of debate in medical literature. Treatment ultimately depends on baseline activity level and desired return to active jobs and/or athletics.6 Many studies have focused on surgical versus non-surgical outcomes for young athletes. Although including individuals up to age 65 is becoming more common, it is still relatively uncommon to see large-scale studies for populations above 65, and even rarer above the age of 80.7 Despite an increase in acute Achilles tendon tears in patients older than 65, there is still a lack of literature addressing this cohort.8 Additional case reports and studies are necessary to establish successful treatment protocol for acute Achilles rupture in the elderly population.9
This is a case of an 81-year-old male who sustained a full-thickness rupture of his left Achilles tendon following two doses of intravenous (IV) levofloxacin (Levaquin, Pfizer). In this case report, we follow the patient’s progress over seven months following his Achilles rupture diagnosis.
Patient Presentation and Treatment
An 81-year-old male was admitted to the hospital for shortness of breath. Past medical history included atrial fibrillation, hypertension, hyperlipidemia, hypothyroid, gastroesophageal reflux disease (GERD), and esophageal cancer. Chest radiography results suggested bibasilar pneumonia.
Intravenous levofloxacin, 750mg/150 mL D5w was administered upon diagnosis. He was observed for one more additional day and had a computed tomography (CT) scan of his chest. The patient received a second dose of IV levofloxacin. Results from the chest CT suggested acute multifocal pneumonia versus inflammatory process of the lungs. Since he was currently taking immunotherapy drugs for esophageal cancer, immunotherapy-induced pneumonitis was suspected; however, he was not exhibiting any fever or chills. Intravenous steroids Solu-Medrol 125 mg daily for 2 doses were initiated. He was discharged after the second dose and spent a total of 2 days as an inpatient. The injury occurred when the patient stood up from his hospital bed to change from his hospital gown to his clothes to be discharged; he immediately felt significant pain in his left leg. At that time, he was still discharged and otherwise appeared well, with no signs of hypoxia.
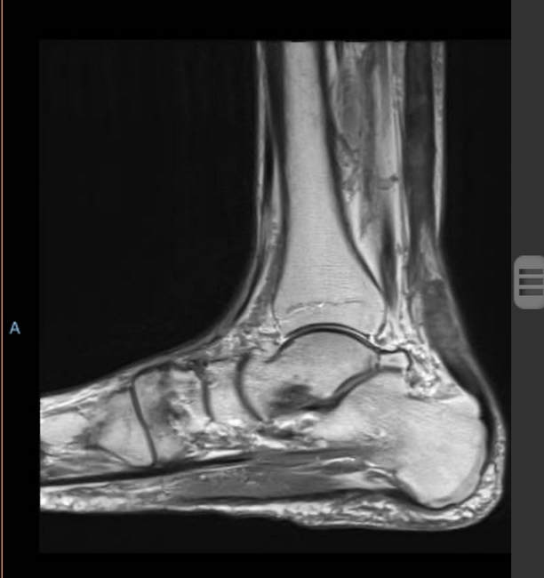
The patient presented to a podiatrist seven weeks after his hospital treatment due to left Achilles pain. On presentation, the pain appeared to be more proximal, but then settled into the Achilles area. On physical exam there was mild thickness or nodularity about 2–3 cm proximal to the insertion of the Achilles with decreased strength and acute balance issues. Magnetic resonance imaging showed a rupture of the Achilles tendon 4.5 cm from the attachment site. Physicians decided on a non-surgical approach including two weeks in a standard fiber glass cast followed by four weeks in a tall controlled ankle motion (CAM) walker with a heel lift. The patient was then transitioned into a sneaker with a carbon graphite plate below his over-the-counter insert modified with a heel lift.
Seven months following the initial hospital visit, the patient continued to wear the carbon plate in his shoe and was no longer having any pain. The patient related that he had returned to all regular activities and did not feel limited by the condition. Physical examination revealed some residual decreased strength but continued to improve. The gait exam showed slightly abnormal gait and decreased balance.
The Risks of Fluoroquinolones on the Achilles
Since their introduction in the 1980s, fluoroquinolone antibiotics continue to be an effective treatment of choice by many physicians. Similar to other medications, there are risks and benefits of each medication. In addition to making sure both physicians and the patients are aware of the Food and Drug Administration (FDA) warning attached to the drug, monitoring the patient's tendon health while taking these antibiotics is essential. Educating the patient to recognize and voice concerns of symptoms to their physician is critical. The physician can be proactive by regularly examining the patient with non-invasive tests, like the Thompson’s test, during administration. Considering that tendon injury has been reported as early as 2 hours after receiving the first dose, monitoring tendon health should begin immediately.10 Efforts to be sure that fluoroquinolone treatment would be the effective choice should also be taken through culture and sensitivity confirmation when possible. This will diminish exposure of the patient to unnecessary risk.
With an increasing elderly population in the United States, the number of individuals commonly receiving antibiotics also continues to grow. It is estimated by the year 2050, 20% of the United States population will be over age 65 and antibiotic use within this age group has grown by up to 30%.11 Fluoroquinolones remain one of the most common drug classes prescribed. With this trend, it is expected that the number of cases of fluoroquinolone-induced tendinopathy will become more prevalent. Despite this trend, there is a lack of studies focused on Achilles rupture and treatment in those over 65, and even fewer in those over 80.
The purpose of this current case study is to discuss the possible tendon pathologies associated with fluoroquinolones and subsequent treatment options and to document one patient’s successful non-surgical treatment for 7 months following rupture. Following treatment, the patient was able to return to their regular activities and regain a similar quality of life prior to tendon rupture. Large scale studies are necessary to see if non-surgical treatment plans continue to be the most successful option for the older population and whether rates of re-rupture are similar to those under 65.
According to a 2015 literature review that evaluated 9 studies, operative treatment did result in lower re-rupture rates compared to non-operative, but also increased complications such as wound healing.12 Nestorson and colleagues 25 patients older than 65 for 3 years after either operative or non-operative intervention and observed five re-ruptures; four out of five of those were initially treated non-surgically.13 Overall, this rate of re-rupture is higher than the rate of previous literature of patients of all ages. Researchers also noted that these 4 patients were very unhappy that they later received surgery when re-rupture occurred, which extended their treatment. Larger studies should look to see if this increased incidence of re-rupture is consistent as well as its effect on treatment length and patient satisfaction with the outcome.
As with most conditions treated, we often have to weigh the risks and benefits of different treatment options. The pros and cons of surgical and non-surgical management of Achilles ruptures, with respect to the individual patient’s current functional status, overall health, and the patient’s long-term expectations must be considered when choosing the best treatment plan. Further research is essential to better treat the elderly population, above age 80, who experience Achilles tendon pathologies.
Erik Sims, DPM, is board certified by the American Board of Foot and Ankle Surgery and is also a certified wound specialist by the American Academy of Wound Management. He is in private practice in Hudson Valley, NY.
Cathleen Janeczko, MS, is an ACSM certified exercise physiologist. She leads the gait analysis lab at Sims & Associates Podiatry in Poughkeepsie, NY.
References
1. Tanne JH. FDA adds “black box” warning label to fluoroquinolone antibiotics. BMJ. 2008; 337(7662):a816.
2. van der Linden PD, Sturkenboom MCJM, Herings RMC, Leufkens HMG, Rowlands S, Stricker BHC. Increased risk of Achilles tendon rupture with quinolone antibacterial use, especially in elderly patients taking oral corticosteroids. Arch Intern Med. 2003; 163(15):1801-1807.
3. Morales DR, Slattery J, Pacurariu A, Pinheiro L, McGettigan P, Kurz X. Relative and absolute risk of tendon rupture with fluoroquinolone and concomitant fluoroquinolone/corticosteroid therapy: population-based nested case–control study. Clin Drug Investig. 2019; 39(2)205-213.
4. Fernández-Cuadros ME, Casique-Bocanegra LO, Albaladejo-Florin MJ, Ramos-Gonzalez C, Perez-Moro RS. Bilateral levofloxacin-induced Achilles tendon rupture: an uncommon case report and review of the literature. Clin Med Insights Arthritis Musculoskelet Disord. 2019; 12:1179544119835222.
5. Shamrock AG, Varacallo M. Achilles tendon rupture. StatPearls [Internet]. StatPearls Publishing, 2021.
6. Cetti R, Christensen SE, Ejsted R, Jensen NM, Jorgensen U. Operative versus nonoperative treatment of Achilles tendon rupture: a prospective randomized study and review of the literature. Am J Sports Med. 1993; 21(6):791-799.
7. Erickson BJ, Cvetanovich GL, Nwachukwu BU, Villaroel LD, et al. Trends in the management of Achilles tendon ruptures in the United States Medicare population, 2005-2011. Orthop J Sports Med. 2014; 2(9):2325967114549948.
8. Maffulli N, Longo UG, Ronga M, Khanna A, Denaro V. Favorable outcome of percutaneous repair of Achilles tendon ruptures in the elderly. Clin Orthop Rel Res. 2010; 468(4):1039-1046.
9. Sonohata M, Okamoto T, Uchihashi K, et al. Subcutaneous Achilles tendon rupture in an eighty-year-old female with an absence of risk factors. Orthop Rev. 2010; 2(1):e11.
10. Jagose JT, McGregor DR, Nind GR, Bailey RR. Achilles tendon rupture due to ciprofloxacin. N Z Med J. 1996; 109(1035):471-472.
11. Lee GC, Reveles KR, Attridge RT, et al. Outpatient antibiotic prescribing in the United States: 2000 to 2010. BMC Med. 2014; 12(1):1-8.
12. Erickson BJ, Mascarenhas R, Saltzman BM, et al. Is operative treatment of Achilles tendon ruptures superior to nonoperative treatment? A systematic review of overlapping meta-analyses. Orthop J Sports Med. 2015; 3(4):2325967115579188.
13. Nestorson J, et al. Function after Achilles tendon rupture in the elderly: 25 patients older than 65 years followed for 3 years. Acta Orthopaedica Scandinavica. 2000; 71(1):64-68.


