Skip to main content

Volume 34 - Issue 6 - June 2021

Featured Article

Feature
06/24/2021
Paul Langer, DPM, DABPM, FAAPSM
As technology continues to evolve, what will this mean for the customized footwear industry? More specifically, what are the potential benefits and challenges that the podiatrist may face in light of this evolution? In this article, the...
As technology continues to evolve, what will this mean for the customized footwear industry? More specifically, what are the potential benefits and challenges that the podiatrist may face in light of this evolution? In this article, the...
As technology continues to...
06/24/2021
Podiatry Today
Diabetes Watch
06/17/2021
Harry P. Schneider, DPM, FACFAS; Karan Malani, DPM
The prevalence of diabetes continues to rise in the U.S. with 2018 statistics demonstrating the incidence of diabetes to be approximately 34.2 million people, or 10.5 percent of the population.1 The total cost of diabetes management in...
The prevalence of diabetes continues to rise in the U.S. with 2018 statistics demonstrating the incidence of diabetes to be approximately 34.2 million people, or 10.5 percent of the population.1 The total cost of diabetes management in...
The prevalence of diabetes...
06/17/2021
Podiatry Today
Feature
06/15/2021
Windy E. Cole, DPM, CWSP, FACCWS
Many patients presenting to podiatric practices may be on anticoagulant therapy. Thus, it behooves the physician to understand the impact of these medications on both development and healing of wounds, especially in older populations. Here...
Many patients presenting to podiatric practices may be on anticoagulant therapy. Thus, it behooves the physician to understand the impact of these medications on both development and healing of wounds, especially in older populations. Here...
Many patients presenting to...
06/15/2021
Podiatry Today
Residency Corner
06/08/2021
William Urbas, DPM, FACFAS; David Bernstein, DPM, FACFAS; Douglas Glod, DPM, FACFAS
How do residency directors and administrators handle the possibility of not matching available residency slots? What about if a resident vacates a slot due to transfer or other reasons? Here, three directors share their thoughts on these...
How do residency directors and administrators handle the possibility of not matching available residency slots? What about if a resident vacates a slot due to transfer or other reasons? Here, three directors share their thoughts on these...
How do residency directors and...
06/08/2021
Podiatry Today
Orthotics Q&A
06/08/2021
Joseph Agostinelli, DPM; Michael Donato, DPM; Alicia Canzanese, DPM, ATC, FAAPSM, CAQ-SM, DABPM; Jay Spector, DPM, FAAPSM
Seasonal changes in footwear, along with patient expectations, often result in inquiries to podiatrists about balancing shoe options with custom orthotic and biomechanical needs. Here the panelists discuss their personal experiences and...
Seasonal changes in footwear, along with patient expectations, often result in inquiries to podiatrists about balancing shoe options with custom orthotic and biomechanical needs. Here the panelists discuss their personal experiences and...
Seasonal changes in footwear,...
06/08/2021
Podiatry Today
06/07/2021
Anthony Tickner, DPM, FRCPS, FACCWS, FAPWH, FAPWCA; Elizabeth A. Ansert, MA, DPM, MBA
Here the authors present case vignettes as examples of when increasing the pressure setting in negative pressure wound therapy (NPWT) may have an impact, along with possible indications and physiologic ramifications.
Here the authors present case vignettes as examples of when increasing the pressure setting in negative pressure wound therapy (NPWT) may have an impact, along with possible indications and physiologic ramifications.
Here the authors present case...
06/07/2021
Podiatry Today
Dermatology Diagnosis
06/01/2021
Michael Casteel, DPM, DABPM, FAPWH(c); Lawrence A. DiDomenico, DPM, FACFAS; Jacob Rizkalla, DPM
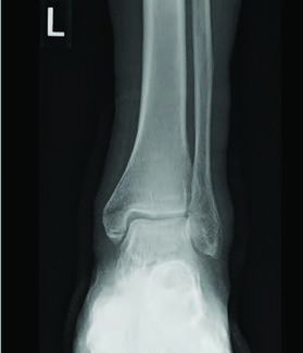
An 86-year-old male with type 2 diabetes presented to the office for evaluation and management of open ulcerations to his left anterior leg. The patient noted scraping the front of the leg on a bicycle pedal roughly one year prior with...
An 86-year-old male with type 2 diabetes presented to the office for evaluation and management of open ulcerations to his left anterior leg. The patient noted scraping the front of the leg on a bicycle pedal roughly one year prior with...
An 86-year-old male with type 2...
06/01/2021
Podiatry Today
Sports Medicine
05/28/2021
Jeffrey A. Ross, DPM, MD, FACFAS
Hallux limitus/rigidus is a common problem that podiatrists see and treat quite often. The question arises, can we treat this condition conservatively and keep our running athletes on the road, or do they face inevitable surgical...
Hallux limitus/rigidus is a common problem that podiatrists see and treat quite often. The question arises, can we treat this condition conservatively and keep our running athletes on the road, or do they face inevitable surgical...
Hallux limitus/rigidus is a...
05/28/2021
Podiatry Today
News and Trends
05/28/2021
Jennifer J. Spector, DPM, FACFAS
Despite its impact on a multitude of lower extremity pathologies, there is relatively little data regarding the true prevalence and laterality of ankle equinus in the literature. A recent study in the Journal of the American Podiatric...
Despite its impact on a multitude of lower extremity pathologies, there is relatively little data regarding the true prevalence and laterality of ankle equinus in the literature. A recent study in the Journal of the American Podiatric...
Despite its impact on a...
05/28/2021
Podiatry Today
Feature
05/28/2021
Garrett D. Nelson, DPM; Kyle W. Abben, DPM, FACFAS; Troy J. Boffeli, DPM, FACFAS; Chloe Sakow, DPM, MPH
Here the authors debate classic approaches to hallux rigidus, sharing their insights from the literature as well as their clinical experience.
Here the authors debate classic approaches to hallux rigidus, sharing their insights from the literature as well as their clinical experience.
Here the authors debate classic...
05/28/2021
Podiatry Today
Feature
05/28/2021
Michael W. Downey, DPM, FACFAS
Tarsal coalitions, in particular talocalcaneal coalitions, can present in a variety of ways, and there is no one-size-fits-all approach to treatment. Here the author shares his experience, along with evidence from the literature regarding...
Tarsal coalitions, in particular talocalcaneal coalitions, can present in a variety of ways, and there is no one-size-fits-all approach to treatment. Here the author shares his experience, along with evidence from the literature regarding...
Tarsal coalitions, in particular...
05/28/2021
Podiatry Today
Forum
05/26/2021
Alton R. Johnson, Jr., DPM, DABPM, FACPM, FASPS, CWSP
As I reflect on my post-graduate training over the last five years, I wish to express gratitude to all the podiatric, allopathic and osteopathic physicians that embraced me into the comradeship of medicine. Working alongside these various...
As I reflect on my post-graduate training over the last five years, I wish to express gratitude to all the podiatric, allopathic and osteopathic physicians that embraced me into the comradeship of medicine. Working alongside these various...
As I reflect on my post-graduate...
05/26/2021
Podiatry Today