Can Patients With Hallux Rigidus Still Run?
Hallux limitus/rigidus is a common problem that podiatrists see and treat quite often. The question arises, can we treat this condition conservatively and keep our running athletes on the road, or do they face inevitable surgical intervention? What are best surgical options if conservative management fails?
Hallux limitus is a painful, insidious biomechanical or structural condition where there is a decrease in available dorsiflexion and degenerative arthrosis of the first metatarsophalangeal joint (MPJ). This results in a loss of dorsal articular cartilage and hypertrophy and/or exostosis of the first metatarsal head. As this condition progresses, decreased range of motion, pain and hallux rigidus develop. The “impingement” of the joint occurs as the proximal phalanx dorsiflexes maximally upon the metatarsal head, particularly during the terminal propulsive phase of gait. This joint jamming creates irritation on the dorsal articular surface of an elevated first metatarsal head.1
Understanding The Evolution Of Hallux Limitus/Rigidus
Laird first described a “functional hallux limitus” with no degenerative changes to the great toe joint.1 Richie theorizes that functional hallux limitus “may be one of the etiologic factors of hallux rigidus.”2 Cotterill first defined the term hallux rigidus in 1887.3
There are two clinically separate stages of hallux limitus. The first and earliest stage of first MPJ osteoarthritis is functional hallux limitus, typically characterized by limited dorsiflexion during gait propulsion.4 When evaluating the unloaded joint, range of motion appears to be normal. However, when weight bearing and during visual or computerized gait analysis, one can observe or measure an obvious decrease in dorsiflexion. Normal gait requires approximately 65 degrees of hallux dorsiflexion.4
Root and associates measured hallux dorsiflexion at 20 degrees from the ground in a standing position and postulated that, to some degree, the first metatarsal must plantarflex away from the hallux during gait.4 They proposed that approximately 65 degrees of hallux dorsiflexion is required during normal propulsion. Vallotton and colleagues postulated that hallux limitus occurs when overpronation of the hindfoot leads to excess medial loading, putting tension on the flexor hallucis longus tendon.5 Tension on this tendon during pronation causes it to functionally shorten, restricting available dorsiflexion at the first MPJ.5,6 Also, Roukis and his respective teams reported a relationship between hallux equinus and metatarsus primus elevatus in patients with hallux rigidus.7-9
Nowoczenski and colleagues, in a study of healthy walkers, examined range of motion of the first MPJ. They reported in a total of 10 subjects that average first MPJ dorsiflexion during gait was 42 degrees.10 With static weight bearing this was 44 degrees and passive, non-weight bearing range of motion was 57 degrees.10 Richie contends in his analysis of the study that a new standard of “normal” range of dorsiflexion range of motion of the great toe joint should now be set at approximately 45 degrees.2 However, he adds that this dorsiflexion range has only been verified for walking gait, not running.2
In my observation, the process of first MPJ degeneration begins with a functional hallux limitus, characterized by supinated heel strike, medial column hypermobility and overpronation, with either a forefoot varus or metatarsus primus elevatus and ray.
Lambrinudi in 1938 first described the term metatatrsus primus elevatus relative to the lesser metatarsals.11 He and other authors considered elevation of the first metatarsal position as a hereditary etiology in the development of hallux rigidus.11 Roukis and team showed that elevation of the first metatarsal by as little as four mm would then lead to decreased dorsiflexion range of motion of the first MPJ by almost 20 percent.12 This functional forefoot imbalance during walking or running can lead to a limitation of hallux dorsiflexion and development of structural hallux limitus.
This then causes jamming of the hallux against the dorsal surface of the first metatarsal head, leading to joint stiffness and decreased dorsiflexion range of motion, due to bony and soft tissue adaptation.13 There is loss of articular cartilage typically on the dorsal half of the first metatarsal.13 Over time, the degree of adaptation worsens to the point where there is no motion available to the joint and hallux rigidus occurs.13 Other etiologies of hallux rigidus include trauma (i.e. turf toe with injury to the articular surface and/or tear of the capsule) or sesamoid fracture.14 Hallux limitus/rigidus is the second most common condition affecting the big toe after hallux valgus.15
The following are additional etiologies of hallux limitus/rigidus:1-15
Structural
• metatarsus primus elevatus
• long first metatarsal
• long proximal phalanx of the hallux
• high degree of forefoot varus
• functional hallux limitus
• sesamoid fracture
• fibrosis of the sesamoid apparatus
Iatrogenic
• post-surgical excessive elevation of the first metatarsal
• post-surgical excessive lengthening of the first metatarsal
• post-surgical malalignment of the first MPJ
• excessive fibrosis
• hallucal sesamoid dysfunction
• prolonged immobilization
Other
• gouty arthritis
• septic arthritis
• neuromuscular-derived muscle imbalance affecting the first ray
Pertinent Considerations In Hallux Rigidus Staging
Not all authors agree that metatarsus primus elevatus is the etiology of hallux rigidus development. Although their research suggested that elevation of the first metatarsal was a finding and not a cause of hallux rigidus,16 Shurnas and Coughlin developed their classification system to provide a simplified method to direct intervention.17
Stage 0. In this stage, there is no radiographic evidence of joint destruction and the patient does not experience pain during full range of motion.17 In this stage there will be some joint stiffness, and only 40 to 60 degrees of dorsiflexion is seen on first MPJ range of motion. This stage closely represents functional hallux limitus.
Stage 1. In this stage of the classification system only 30 to 40 degrees of dorsiflexion is available for the hallux to dorsiflex passively.17 There will be some dorsal spurring on radiograph, with minimal narrowing of the joint space. The patient will describe intermittent mild pain, typically at the end stage of first MPJ range of motion. These clinical and radiographic findings are consistent with early hallux limitus.
Stage 2. In stage 2, there is more dramatic loss in dorsiflexion at the first MPJ with only 10 to 30 degrees of dorsiflexion remaining, which can make ambulation difficult as well as painful.17 Radiographically, a more extensive dorsal osteophyte will be seen than in stage 1, with further decrease in the joint space. This stage now represents a structural hallux limitus.
Stage 3. In stage 3, the patient has lost nearly all motion in the first MPJ, now with less than 10 degrees of dorsiflexion remaining, and movement of the joint to the end range of motion causes the patient significant pain.17 Radiographically, there will be significant joint space narrowing, joint destruction, and with possible sesamoid change. This stage by definition constitutes a hallux rigidus.
Stage 4. This stage is similar to stage 3, except any motion at the first MPJ causes the patient pain.17 Radiographs will demonstrate arthrosis of the joint, with osteophytic changes of both the metatarsal head, and base of the proximal phalanx.
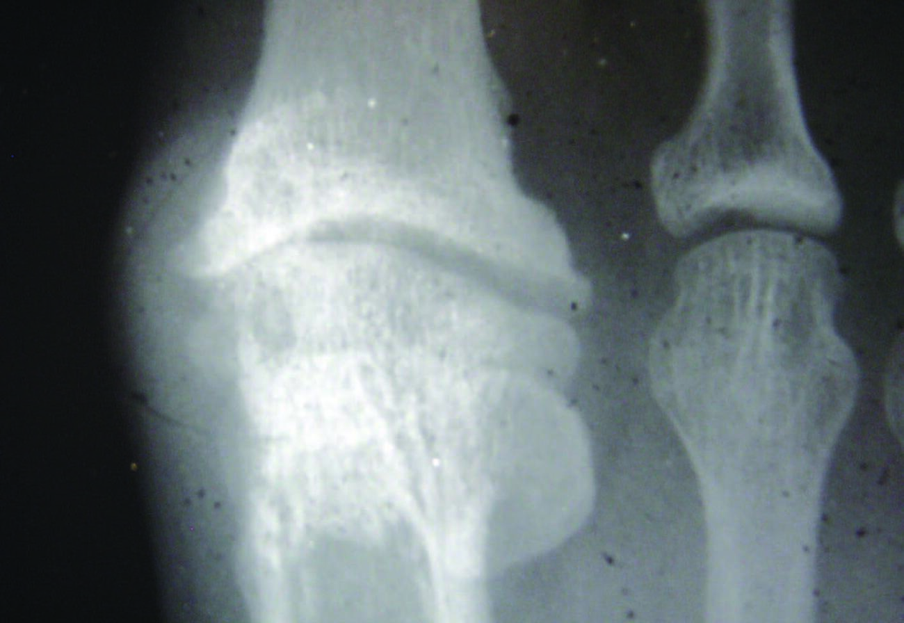
Radiographic findings may be subtle or negative in the early phases of the condition.18 As the condition progresses, radiographic findings may reveal joint narrowing, thinning of articular surfaces, osteophytic changes of the base of the proximal phalanx, spurring of the metatarsal head, and possible fracture fragments/loose bodies. If previous injury to the sesamoids occurred, there may be degenerative changes there as well.18
How Does Hallux Limitus/Rigidus Uniquely Affect Runners?
Does running need more motion of the first MPJ than walking? As Richie points out, a review of the literature shows no valid study of range of motion of the first MPJ during running gait.2 In my experience, many patients with hallux rigidus describe more painful symptoms walking up stairs, stepping off a curb or walking at a rapid pace in dress shoes. Runners describe symptoms more in track or speed work with rapid acceleration, versus long distance steady pace running. Over the years, I evaluated a number of walkers and runners on computerized gait and pressure analysis MatScan™ and F-Scan™ (TekScan™), and clearly saw an extended propulsive phase of gait in walking greater than in running. An equinus deformity, with limited ankle joint dorsiflexion, or a short limb will create early heel-off and extended forefoot pressure, with more demand for dorsiflexion of the first MPJ.
Sasaki and Neptune studied kinematic, ground reactive forces, and electromyographic (EMG) data measured while walking and running on a split-belt treadmill with embedded force plates.19 This revealed earlier and greater dorsiflexion of the ankle in running compared to walking, and greater and earlier plantarflexion of the ankle joint in running compared to walking. They concluded there was decreased contribution of the soleus to forward propulsion in running and increased contribution to support. Additionally, they showed the biomechanical mechanism used by the soleus to provide support and forward propulsion in running was also different from that in walking.19 Richie points out that early and greater activity of the ankle flexors and the flexor hallucis longus restricts dorsiflexion of the first MPJ during running in comparison to walking.20
Orthotic Therapy As Conservative Management In Runners With Hallux Rigidus
When treating this condition, we must first differentiate between functional hallux limitus and degenerative, arthritic hallux rigidus. The use of orthotics for functional or structural hallux limitus is to improve first MPJ range of motion. Whereas, my goal for the treatment of hallux rigidus in these cases is to limit the range of motion of the first MPJ, and offload if indicated.
In the case of stage 0 functional hallux limitus, I use a neutral position foot orthotic with a first ray cutout to provide for normal plantarflexion of the first metatarsal during propulsion. I find a neutral running shoe will suffice, but in this early stage, a rocker-style shoe design (i.e. Hoka Bondi, or Hoka One One) could be beneficial.
For stage 1, again we aim to increase range of motion of the first MPJ, since half of the motion is now lost. A neutral orthotic that provides for subtalar joint neutral position, locking of the midtarsal joint, and stabilization of the first ray is recommended. Once again a first ray cutout, a thin Morton’s extension (to allow purchase of the hallux) and/or a Kinetic Wedge (Langer), in my experience, will help allow for full range of motion of the first MPJ. One may also use, as Blake described, a 1/8 inch dancer’s pad to keep the weight in the center of the foot during push off.21 For these patients, a I find a minimalist shoe is not ideal, since it creates a need for greater propulsion and is not beneficial for hallux limitus. A stiff, rocker-style sole is better, particularly if the first ray cutout creates pain at the first MPJ. The shoe should also have a high toe box (increased volume) to prevent the hallux elevatus and dorsal osteophyte from running against the upper of the shoe. A nylon mesh versus a hard leather with seams can also be beneficial to prevent trauma to the hallux nail.
For stage 2, rather than attempting to increase range of motion, which continues to cause pain, the goal is to limit the remaining motion of the joint. I would recommend an orthotic with a rigid shank shoe, utilizing a plastic foot plate under the hallux and a modified Morton’s extension for a metatarsus primus elevatus. One of the problems with this modification is the increased bulk within the shoe, which can make fit difficult. Additionally, by increasing bulk, I find that a prominent dorsal exostosis of the first metatarsal head can make additional contact with the upper of the shoe, and create pain and discomfort when running.
For stage 3, the goal of conservative management is to reduce, if not eliminate, motion of the osteoarthritic first MPJ. For running activity with this condition, my recommendation would be a rigid shank shoe with a custom rocker sole to mimic the patient’s speed and angle of running gait. The rocker sole should be thicker bilaterally to create symmetry.
For stage 4, the lack of range of motion of the first MPJ combined with osteoarthritis now creates pain with subtle motion during running for my patients. The body wants to either create motion or limit motion. Therefore, in this case, I find immobilization is essential to prevent pain. Temporary conservative treatment can include a rigid, rocker shoe with sufficient toe box room dorsally and medially or the use of a graphite composite plate within the shoe. I use these devices in football and soccer cleats with great success. They take up less volume and are strong enough to hold a 300-pound lineman, with increased performance. Unfortunately, running on hard surfaces (asphalt and concrete) with stage 4 hallux rigidus may continue to cause pain, therefore the runner may prefer to switch to softer surfaces (dirt trails) and consider a trail shoe as an alternative.
Pertinent Surgical Considerations
After exhausting conservative measures (orthotic therapy, shoe modification, physical therapy), various surgical options may become viable. One should be sure to address attainable goals, keeping in mind the runner-patient’s age, activity level, willingness to engage in postoperative physical therapy and activity goals. Most authors describe their preferred procedure, but we should look at surgical correction on a case-by-case basis and the long-term effects thereof.
Preoperative radiographs will not always accurately indicate the amount of articular destruction, therefore it is imperative at the time of surgery to visually inspect the articular surface of the first metatarsal head. There may be more or less articular loss than expected by the level of narrowing of the joint space. Often I find the sesamoid apparatus will be “frozen” to the plantar surface of the first metatarsal due to previous injury or fibrosis. After resection of dorsal osteophytes, debridement of chronic synovitis and careful freeing of the sesamoids, the surgeon can re-evaluate the amount of dorsiflexion of the first MPJ. Subchondral drilling may assist where “denuded” cartilage of the metatarsal head is evident.22 Restoration of the articular surface may take place via transplant autograft tissue.23,24 However, there are no reported studies of this advanced procedure in the runner population.
Cheilectomy involves resection of the dorsal exostosis along approximately 1/4 to 1/3 of the dorsal articular surface of the first metatarsal head. Arthroplasty with soft tissue interposition utilizing an acellular dermal matrix is another alternative. Suture can attach the skin substitute to the metatarsal head or positioned within the joint. The matrix will adhere to the metatarsal head and assist with regeneration due to its growth factors, acting as a spacer to prevent recurrent jamming of the joint. In my experience, this procedure reduces the chances for postoperative complications and provides for earlier recovery and rehabilitation of the runner athlete, including less recurrent jamming and earlier, better range of motion of the first MPJ.
Decompression of the first MPJ with realignment osteotomy of the first metatarsal or proximal phalanx is also a consideration. The drawback I have found is that first metatarsal shortening, in order to decompress the joint, can case transfer pressure to the second metatarsal, resulting in metatarsalgia/capsulitis and potential lesser metatarsal stress fracture. It is important to perform preoperative radiographic planning, computerized gait and pressure analysis and to evaluate for metatarsus adductus and/or a short first metatarsal. I will often perform a plantarflexory Austin procedure to plantarflex the metatarsal head, avoid shortening the metatarsal and accomplish this goal of decompression of the first MPJ for the runner.
Derner and colleagues evaluated a modification of the Austin bunionectomy for treatment of metatarsus primus elevatus associated with hallux limitus.25 In a retrospective study, they reported the clinical and radiographic findings of a plantarflexory, shortening first metatarsal osteotomy for hallux rigidus. Twenty-six patients (33 feet) underwent a mean of 34.4 months follow-up, and showed an increase of nearly 40 degrees in first MPJ range of motion despite insignificant improvement in radiographic joint space. Postop radiographs also demonstrated one to four mm of plantarflexion of the first metatarsal head, and a mean 6.1 mm shortening of the first metatarsal. At last follow-up, 85 percent of patients related very good-to-excellent results.25
Another alternative osteotomy is the modified Hohmann, which plantarflexes with minimal shortening in moderate-to-severe hallux rigidus. The procedure aims to protect gliding motion and decompress the joint. In one study, 22 patients (25 procedures) showed first MPJ dorsiflexion increased from a mean 17.76 degrees preoperatively to a mean 58.92 degrees postoperatively.26
Cheilectomy is one of my “go-to” procedures for runner athletes. Although postoperative results may reduce pain, improve function and range of motion of the joint, I find the drawback is it does not take into consideration the functional imbalance in gait, nor the pathomechanics of the first MPJ. Therefore, jamming of the joint will continue unless one institutes proper postoperative orthotic therapy. In my experience, it is not unusual to see recurrence of the dorsal exostosis ten years postoperatively, even with biomechanical correction.
Richie points out that intraoperatively during a cheilectomy, one should note at least 50 degrees of dorsiflexion.2 He further observes that approximately 10 to 20 degrees of dorsiflexion intraoperatively will be lost in the postoperative period. Therefore, with a goal of achieving 30 degrees of dorsiflexion the surgeon should achieve at least 50 degrees of dorsiflexion at the time of surgery.2
A five-year study of 20 athletes (22 feet) who underwent cheilectomy for Regnauld grade I or II hallux rigidus included participants in high-level sports.27 Postoperative dynamic pedodynographic findings demonstrated moderate, but significant changes in peak pressures under the first metatarsal head, the hallux and in the center of pressure distribution under the forefoot. The authors concluded that cheilectomy was a reliable treatment method in athletes, with 14 excellent, seven good, and one fair result, functionally.27
Mann and Clanton found 22 out of 25 patients with hallux rigidus achieved pain with cheilectomy.28 Patients exhibited an average of 20 degrees improvement in range of motion, which was “acceptable” in 23 patients. No cases required additional operative intervention over an average of 56 months.28 The researchers concluded that cheilectomy is a better method of treatment for hallux rigidus than arthrodesis, resection arthroplasty or arthroplasty with flexible implant.28
Geldwert and team studied 47 patients who underwent unilateral cheilectomy, with an average follow-up of 3.5 years.29Dependent upon the progressive nature of the disease, the results varied with the most beneficial results in the early stages of hallux limitus/rigidus. They described advantages of cheilectomy including early range of motion and rapid decrease in clinical symptoms along with no need for healing at an osteotomy site. Disadvantages included not addressing the underlying etiology, potential joint destruction, slippage or pseudo-articulation at the joint’s end range of dorsiflexion, contending it is not indicated in later stages of the disease.29
O’Malley and colleagues found patients with unilateral cheilectomy and great toe proximal phalangeal extension osteotomy had an average improvement in first MPJ dorsiflexion of 27.0 degrees over a mean follow-up of 4.3 years.30
What Is The Role Of Implant Arthroplasty And Metatarsal Head Resurfacing Versus Fusion?
Debate regarding fusion or joint replacement in hallux rigidus is ongoing. While I have used a total joint implant for over 30 years, particularly in young runners, there is no long-term evidence to demonstrate that the implant is better for the runner than fusion. One must discuss with athletes the possibilities of implant failure, complications or need for revision.
However, in a prospective study, Danillidis and team examined recreational sport activity after total replacement of the first MPJ.31 They concluded that the procedure provided pain relief and acceptable clinical outcomes for grade III hallux rigidus. Additionally, they found that recreational sport activity did not significantly decrease, but that athletes did modify activity, mostly shifting away from high-impact activities.31 They also commented that further follow-up is required to assess the impact of repetitive activity on implant loosening and revision rates.31 With the use of computerized gait analysis, we are able to perform qualitative and quantitative analysis of a post-implant runner in our practice.
In a Point-Counterpoint in Podiatry Today, Carpenter points out that many patients (particularly those with active lifestyles) do not accept the loss of mobility associated with first MPJ fusion.32 He further states that informed consent is essential so that they realize the joint will become “permanently stiff.”32 Cook and colleagues performed a meta-analysis of 3049 procedures over a mean of 61.48 months follow up. Overall patient satisfaction after first MPJ implant arthroplasty was 85.7 percent, which increased to 94.5 percent after adjusting for lower quality studies with less than five years follow up.33
Carpenter and colleagues studied 30 patients (32 procedures) using the HemiCap (Arthrosurface) implant for grade II and grade III (Hattrup and Johnson system) hallux rigidus.34 reported They found a mean change from baseline American Orthopaedic Foot and Ankle Society (AOFAS) score of 236.8 percent with midterm results at 27.3 months. Two-to five year follow-up clinical results showed a high rate of patient acceptance satisfaction.34
Clough and Ring studied silastic first metatarsophalangeal joint arthroplasty for the treatment of end-stage hallux rigidus.35 They reported 97.2 percent survivorship at a mean of 5.3 years with this implant, without progressive osteolysis, as previously reported. These results suggest that the double-stemmed silastic implant provides a predictable and reliable alternative with comparable outcomes to arthrodesis for the treatment of end-stage hallux rigidus.35
Bouche advocates for “functional fusion” for patients with advanced hallux rigidus.32 He cites failed implant cases, and a large number of revisions, emphasizing the goals of surgical intervention, such as elimination of pain, achieving hallux purchase, normalizing gait aberrations, allowance of varied sport activities including running and jumping, normal shoe wear and a cosmetically acceptable result.32
Brodsky and colleagues reviewed arthrodesis of the first metatarsophalangeal (MTP) joint as a reliable procedure for a painful hallux. They showed that most studies focus on the surgical results rather than the functional outcome for the patient. Their fifty-three patients (60 feet) who had isolated arthrodesis of the first (MTP) joint using a parallel screw fixation technique were evaluated for the functional outcome after the surgery, and determined that arthrodesis of the first MTP joint is not only a successful surgical technique for relief of pain and correction of deformity but also allows a high level of function in everyday life and in recreational activities.36 Bouche and Adad reported good-to-excellent results for painful hallux rigidus with first MPJ arthrodesis.37
An alternative to the joint replacement or fusion procedures is the Valenti procedure. Saxena and Valerio noted that despite hallux limitus/rigidus being common, results of surgical procedures specifically pertaining to athletes are scarce.38He reported on 100 modified Valenti procedures prospectively from January 2000 to June 2016 with an average 49.17 months of follow-up, evaluating demographics, sport, time and ability to return to activity (RTA), decreased desired activity level and need for additional surgery. He concluded that the procedure is a safe and highly effective treatment for running and jumping athletes limited by hallux limitus/rigidus because 94 percent were able to return to their desired level of activity.38 Patients gained an average of 27.5 degrees of dorsiflexion postoperatively, and functional return to athletic activity was usually by six weeks postop.38
In Summary
Yes, I believe runners can run with grade stage 1 to 3 hallux rigidus. It is imperative to know the etiology of the deformity and understand the biomechanics and gait imbalances of your patient. Conservative care should be the first choice; shoes with modifications and functional orthotics. Is the patient a sedentary, active or athletic individual? Before considering surgical intervention, one should exhaust all conservative measures. A thorough discussion as to expected and reasonable goals is warranted, and one should consider various surgical procedures on a case-by-case basis.
Dr. Ross is an Associate Professor at the Baylor College of Medicine in Houston, Tx. He is a Fellow and Past President of the American Academy of Podiatric Sports Medicine, a Fellow of the American College of Foot and Ankle Surgeons and a Fellow of the American College of Sports Medicine.
1. Laird PO. Functional hallux limtius. Illinois Podiatrist. 1972;9:4.
2. Richie D. How to treat hallux rigidus in runners. Podiatry Today. 2009;22(4):46-56.
3. Cotterill JM. Condition of stiff great toe in adolescents. Edinburgh Med J. 1887;33:459.
4. Root ML, Orien WP, Weed JH, Normal and abnormal function of the foot. In: Clinical Biomechanics, Vol II. Los Angeles:Clinical Biomechanics Corp;1977.
5. Vallotton J, Echeverri S, Dobbelaere-Nicolas V. Functional hallux limitus or rigidus caused by a tenodesis effect at the rotrotalar pulley. J Am Podiatr Med Assoc. 2010;100(3):220-229.
6. Miner S, Foote G, Cheskis D, McGuire J. Conservative care recommendations for the stages of hallux limitus/rigidus. Podiatry Today. 2017;30(12);48-52.
7. Roukis TS, Jacobs PM, Dawson DM, Erdmann BB, Ringstrom JB. A prospective comparison of clinical, radiographic and intraoperative features of hallux rigidus. J Foot Ankle Surg. 2002;41(2):76-95.
8. Roukis TS, Jacobs PM, Dawson DM, et al. A prospective comparison of clinical radiographic and intraoperative features of hallux rigidus: short term follow up and analysis. J Foot Ankle Surg. 2002;41(3):158-165.
9. Roukis TS. Metatarsus primus elevatus in hallux rigidus fact or fiction? J Am Podiatr Med Assoc. 2005;95(3):221-228.
10. Nawoczenski DA, Baumhauer JF, Umberger BR. Relationship between clinical measurements and motion of the first metatarsophangeal joint during gait. J Bone Joint Surg. 1999;81(3):370-376.
11. Lambrinudi C. Metatarsus primus elevatus. Proc R Soc Med. 1938;31(11);1273.
12. Roukis TS, Scherer PR, Anderson CF. Position of the first ray and motion of the first metatarsophalnageal joint. J Am Podiatr Med Assoc. 1996;86(11):538-546.
13. Clough JG. Functional hallux limitus and lesser metatarsal overload. J Am Podiatr Med Assoc. 2005;95(6):593-601.
14. Ross JA. A comprehensive guide to reviving the sick sesamoid. Podiatry Today. 2016;29(4):68-71.
15. Moberg EA. A simple operation for hallux rigidus. Clin Orthop. 1979:132:55-56.
16. Coughlin MJ, Shurnas PS. Hallux rigidus: demographics, etiology and radiographic assessment. Foot Ankle Int. 2003;24(10):731-743.
17. Coughlin MJ, Shurnas PS. Hallux rigidus. Grading and long-term results of operative treatment. J Bone Joint Surg Am. 2003;85-A(11);2072- 2088.
18. Caselli MA. Managing hallux rigidus in the athlete. Podiatry Today. 2004;17(4):72-76.
19. Sasaki K, Neptune RR. Differences in muscle function during walking and running at the same speed. J Biomech. 2006;39(11):2005-2013.
20. Richie DH. Addressing myths and misconceptions about hallux rigidus. Podiatry Today. 2015;28(6):40-48.
21. Blake R. Treating a runner with hallux limitus who does not want to stop running. Podiatry Today. Available at: https://www.podiatrytoday. com/blogged/treating-runner-hallux-limitus-who-does-not-want-stop-running . Published March 8, 2018. Accessed May 5, 2021.
22. Beiser IH, Kanat IO. Subchondral bone drilling: a treatment for cartilage defects. J Foot Surg. 1990;29:595-601.
23. Zelent ME, Neese DJ. Osteochondral autograft transfer of the 1st met head: a case peport. J Foot Ankle Surg. 44(5):406-411.
24. Kim Y. et al. Clinical comparison of the OAT system and Subchondral Drilling in Osteochondral. Am J Sports Med. 2012;40(8):1824- 1833.
25. Derner R, Gross K, Postowski HN, Parsley N. A plantarflexory shortening osteotomy for hallux rigidus: a retrospective analysis. J Foot Ankle Surg. 2005;44(5):377-389.
26. Gonzales JV, Garrett PP, Jordan MJ, Reilly CH. The modified Hohmann osteotomy: an alternative joint salvage procedure for hallux rigidus. J Foot Ankle Surg. 2004;43(6):380-388.
27. Mulier T, Steenwerckx A, Thienpont E, et al. Results after cheilectomy in athletes with hallux rigidus. Foot Ankle Int. 1999;20(4):232-237.
28. Mann RA, Clanton TO. Hallux rigidus: treatment by cheilectomy. J Bone Joint Surg. 1988;70(A):400-406.
29. Geldwert JJ, Rock GD, Mancuso JE. Cheilectomy: still a useful technique for grade I and grade II hallux limitus/rigidus. J Foot Ankle Surg. 1992;31(2):154-159.
30. O’Malley MJ, Basran HS, Gu Y, Sayres S, Deland JT. Treatment of advanced stages of hallux rigidus with cheilectomy and phalangeal osteotomy. J Bone Joint Surg. 2013;95(7);606-610.
31. Danillidis K, Martineelli N, Marinozzi A, Gosheger G, Pejman S, Buchhorn T. Recreational sport activity after total replacement of the first metatarsophalangeal joint: a prospective study. Int Orthop. 2010;34(7):973–979.
32. Carpenter B, Bouche R. Hallux rigidus surgery in active adults: implant arthroplasty or first MPJ arthrodesis. Podiatry Today. 2011;24(7):70-76.
33. Cook E, Cook J, Rosenblum B, Landsman A, Giurini J, Basile P. Meta-analayis of first metatarsophalangeal joint arthroplasty. J Foot Ankle Surg. 2009; 48(2):180-190.
34. Carpenter B, Smith J, Motley T, Garrett A. Surgical treatment of hallux rigidus using a metatarsal head resurfacing implant: mid-term follow up. J Foot Ankle Surg. 2010;49(4):321-325.
35. Clough TM, Ring J. Silastic first metatarsophalangeal joint arthroplasty for the treatment of end-stage hallux rigidus. Bone Joint J. 2020;102- B(2):220-226.
36. Brodsky JW, Passmore RN, Pollo FE, Shabat S. Functional outcome of arthrodesis of the first metatarsophalangeal joint using parallel screw fixation. Foot Ankle Int. 2005;26(2):140-146.
37. Bouche RT, Adad JM. Arthrodesis of the first metatarsophalangeal joint in active people. Clin Podiatr Med Surg. 1996;13(3):461-484.
38. Saxena A, Valerio DL, Modified Valenti arthroplasty in running and jumping athletes with hallux limitus/rigidus: analysis of one hundred procedures. J Foot Ankle Surg. 2019;58(4):609- 616.


