Current Insights On The Plantar Approach To Midfoot Charcot Reconstruction
Given the challenges of surgical reconstruction for midfoot Charcot neuroarthropathy, this author emphasizes the benefits and flexibility of the plantar approach, sharing step-by-step insights on perioperative planning, technique and postoperative considerations.
Charcot neuroarthropathy (CN) continues to challenge foot and ankle surgeons. Surgical techniques for this condition continue to evolve, including when to intervene, approaches, hardware categories and postoperative care. There is still little consensus and related literature continues to be mostly expert opinions and small case series. Adding to the difficulty are the issues of comorbidities and mortality associated with the disease process related to Charcot neuroarthropathy.
Addressing midfoot Charcot neuroarthropathy from a plantar approach has proven to be a reasonable, reproducible way to approach one of the most common variations of Charcot neuroarthropathy: the Charcot midfoot with an associated wound.1 The technique is a staged protocol. One would initially utilize a plantar-based wedge osteotomy with application of external fixation. Then the surgeon would employ more permanent internal fixation once the infection, wound and patient are optimized.
The initial surgical approach is plantar, which enables one to address the wound, infection and bone deformity directly. Surgeons can utilize this technique regardless of the presence of a wound or suspected infection. One can send resected bone for culture, not only removing part of the deformity but part of the potentially infected bone as well. The entire staged approach, osteotomy, fixation and overall technique is unchanged regardless of wound or infection status. This technique lends itself to addressing the entire pathology.
Understanding The Pre- And Perioperative Parameters Surrounding Patient Selection
When it comes to Charcot neuroarthropathy, one has to first recognize the pathophysiology of the process. This understanding allows one to manage issues with bone quality, infection management and postoperative care. Understanding when to intervene continues to be largely subjective with little quality data to help with any objective parameters.
Objectively, from a radiographic standpoint, the lateral talo-first metatarsal angle may be of some use with studies showing that an angle greater than negative 27 degrees correlates with midfoot Charcot neuroarthropathy and a greater likelihood of issues with wounds.2 However, any surgeon dealing with this process has seen this number be less useful in actual practice. Cuboid height on lateral radiographs is an additional piece of information that may be more predictive of wounds and I have found it to be useful postoperatively for predicting recurrence of wounds after reconstruction.3 Unfortunately, these objective parameters are still far from providing any real definitive answers.4
Most other parameters are subjective. These parameters include the presence of a wound, the amount of cellulitis, infection, instability, inability to offload or brace, recurrent wounds, etc. Certainly, not all midfoot Charcot neuroarthropathy needs surgical intervention but when there is enough objective and subjective data to warrant surgical planning, one should consider a smart, stepwise approach.
For any Charcot foot, understanding the deformity, in particular radiographic findings and relationships, is imperative. Although I am focusing on a technique to address midfoot Charcot neuroarthropathy in this article, it is clear that the rearfoot, in particular equinus, is an entity the surgeon needs to address.5 Multiple authors have shown the treatment is useful in the offloading and management of diabetic foot ulcers, and plays a role in midfoot Charcot neuroarthropathy changes.6-7 Dealing with this deforming force is mainly surgeon preference but the amount of correction, stability of correction and longevity of each technique is for another article.
With this staged procedure approach, we are ultimately striving for anatomic alignment of the major segments. Typically, I look at reducing the talus and calcaneus from the patient’s equinus anatomically under the tibia. I then make sure the first metatarsal is in line with the talar declination angle, trying to achieve a lateral talo-first metatarsal angle of zero with the talus and first metatarsal in line. This article focuses on a staged technique I have found to be reliable for this difficult population in my experience over many years at a large teaching institution. However you choose to proceed, it is important to realize there are multiple levels of deformity and therefore multiple areas to address.
Important Considerations In Surgical Planning For Midfoot Charcot
The following technique is for the typical Charcot neuroathropathy midfoot with a rigid, Eichenholtz stage 3 that has failed ulcer management. Acuteness of infection does not play as much of a role as one might think. Certainly, if there is an acute infection, purulence or cellulitis, then the initial surgery is more urgent. Otherwise, the staged approach works regardless because of the staged protocol. Preoperative workup is essential. Patients have to be cleared for the surgery, including clearances by medicine, cardiology and any other relevant services in accordance with the patient’s comorbidities. Vascular testing should be part of the normal surgical workup as well if time permits. One should also order and follow infection markers when applicable.
From a surgical standpoint, glycemic control is one of the main considerations. One should monitor short-term glucose and it should be less than 200 mg/dL perioperatively.8 Long-term glycemic control with an HbA1c less than 8 percent can help reduce surgical complications, particularly during the later stages when utilizing permanent internal fixation.9-10
Unfortunately, many patients who have issues with wounds and infections are more urgent, and usually do not have glucose levels within these parameters. This is another reason this staged technique is so beneficial. With the first stage of reconstruction, one can correct the deformity, obtain bone cultures and maintain stability to aid in infection management while working with other members of the health-care team to optimize glucose and address other concerns. The second stage is usually around three months later, which allows more time to fully address medical issues such as glucose control. Staging can help facilitate the best outcome in comparison to trying to optimize a patient who has a difficult to control wound environment.
Essential Insights Into Incision Planning And Bone Resection
The first step of the staged plantar approach for midfoot Charcot neuroarthropathy is to perform a skin ellipse plantarly (see Figure 1). One makes the ellipse from medial to lateral and, for most patients, this will completely excise the plantar wound. The surgeon can remove the skin at full thickness and later completely close the incision without tension or leave a small area open to help manage infection and drainage. Either way, it is important to understand that one achieves correction of the rocker bottom deformity not only with removing the midfoot bone wedge but in the equinus correction as well. Correcting this aspect of the deformity brings the calcaneus and talus out of equinus. Combining this correction with removal of the midfoot bone wedge allows significant reduction of the plantar skin tension, facilitating closure in most cases.
Once one makes the incision and removes the skin ellipse, there is direct access to the rocker bottom deformity and bone. Surgeons should exercise caution with protecting the medial structures and hold these with a retractor during the osteotomy. Make the incision directly over the plantar eminence, extending through soft tissue and the periosteum overlying the bone prominence. For most patients, this plantar area is a chronic issue, leaving a combination of scar tissue and bursa with no vital structures of concern. This plantar area, which has been under pressure and displacing tissue for an extended period of time, is easy to access and prepare for osteotomy.
After identifying the bone under fluoroscopic guidance, utilize a power saw to cut a bone wedge. The osteotomy is medial to lateral with the wedge based plantarly to correct the rocker shape. If necessary, one can make the wedge bicorrectional to address the transverse plane at the same time. The surgeon can measure the amount of bone preoperatively or watch on fluoroscopy to determine how much is enough to recreate a collinear talus and first metatarsal. In my experience, most wedges are approximately two cm in width plantarly, tapering to zero at the apex of the deformity. The surgeon then removes the bone wedge and sends it for cultures.
Fluoroscopy allows the surgeon to verify that the medial column is now linear (see Figure 2). One should be careful to ensure the cuboid angle is not a negative value and remove portions if necessary.
How To Address Equinus And Rearfoot Instability
Now that the talus and first metatarsal are reduced, one can shift attention to the rearfoot equinus. At this time, my technique is to percutaneously transect the Achilles tendon in the watershed area with just a small 0.5 cm incision. In my opinion, equinus is a major driving force with all Charcot neuroarthropathy and is traditionally difficult to control, particularly long-term. Although the need for addressing midfoot deformity is well understood in midfoot Charcot neuroarthropathy, in my opinion, the rearfoot equinus is underestimated and requires aggressive management. Accordingly, I initially perform a percutaneous tenotomy, which allows for reduction of the rearfoot. Then I perform ankle and subtalar arthrodesis to achieve more permanent correction during the second stage.
After the midfoot bone osteotomy and the Achilles tenotomy, the surgeon can now reduce the talus. Utilizing fluoroscopy, one places a half pin plantarly through the subtalar joint to help fixate the talus and calcaneus. Now the surgeon uses the half pin as a “joystick,” pulling it to reduce the equinus (see Figure 3). Once the equinus is reduced, you can place a transfixation pin from the plantar heel into the tibia to hold the reduction. Most often, I utilize a 2.8 mm Steinmann pin. If possible, I have the pin exiting through the distal anterior tibia, advancing the pin until it is flush with the calcaneus plantarly. Burying the transfixation pin helps to minimize compromise of the plantar heel skin. It is best to leave no fixation plantarly as the surgeon will more than likely utilize that region for intramedullary nail fixation as part of the staged protocol for midfoot Charcot neuroarthropathy.
Pertinent Pearls With Midfoot Reduction And External Fixation
The rearfoot is now reduced and stable. Next, one pulls the midfoot plantarly to reduce the medial column. After noting appropriate alignment on fluoroscopy, place two similar Steinmann pins across the osteotomy from distal to proximal. I attempt placement of one pin in the first metatarsal and a second at the base of the third and fourth metatarsals with both aimed toward the talar neck. The foot and ankle are now reduced, and held temporarily. One can now close the wound or at least a majority of the wound, depending on the presence of infection.
The next step is applying a multiplane external fixator to the foot and leg in the fashion most suitable to the patient and the surgeon’s preference. I have a typical midfoot external fixator that I believe allows for more flexibility in the sense of adjusting intraoperatively and even postoperatively if required, although that is atypical. The fixator I apply for midfoot Charcot neuroarthropathy has a midfoot ring with no foot plate, which helps keep the patient non-weightbearing due to the design. It also allows the construct to turn or compress to fine tune the fixator and osteotomy (see Figure 4). Given the location of this deformity and the patient population, one should emphasize non-weightbearing to minimize shear forces through the midfoot and to optimize the chances of solid midfoot consolidation.
plantarly (left) and can twist like a “steering wheel” (right) until correction is satisfactory.
Key Insights On The Postoperative Protocol After The First Stage Procedure
With the deformity corrected, cultures taken and the fixator in place, the first stage is complete. Most patients require admission for a few days in order to finalize culture results, make appropriate antibiotic adjustments and determine optimal fixation placement. Most patients have a fixator for just over two months, facilitating time for the antibiotic therapy, completion of any wound care and non-weightbearing to allow some consolidation of the midfoot osteotomy. Typical pin care is once- or twice-a-week soap and water to the fixator pin sites, and dry dressings.
In order to help with wound and pin care decisions, I have patients follow up in the office every two weeks while they are in the fixator. After the appropriate time, I remove most fixators in the office and apply a below-knee cast for one or two weeks to allow the pin sites to heal.
Second Stage Planning: What The Surgeon Should Know
At this point, I plan for the second stage of the reconstruction and salvage. Pre-operative planning here is imperative. Surgeons need to make decisions about hardware, incision placement and what joints to address. I believe most surgeons at this point feel long-term arthrodesis or a solid pseudoarthrodesis is preferable, but there is still debate about what joints to address.
I believe the only way to really control the rearfoot influence and equinus long-term is to include the ankle into my arthrodesis construct. Most surgeons agree on some sort of superconstruct for this patient population but that is a very difficult concept to achieve with issues including missing bones, limited bone size and poor bone quality. At the very least, one needs to include the subtalar joint but in my experience, the ankle deforming force is difficult to reproducibly control any other way. In contrast, I have actually gone to less actual foot fixation as I feel that is easier to control and manage post-operatively in comparison to ankle deformity issues. So, although this started as a midfoot Charcot neuroarthropathy deformity, I include the ankle in the final stages of surgery.
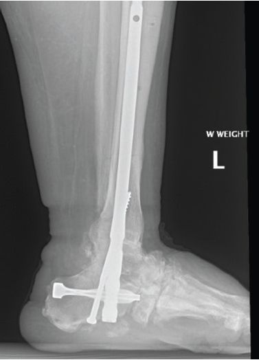
My typical construct for the second stage of midfoot Charcot neuroarthropathy reconstruction is to make the rearfoot and tibia-ankle-calcaneus relationship permanent with a tibiotalocalcaneal fusion (see Figure 5). I place very little midfoot hardware. My preferred method is intramedullary fixation but that varies based on individual patient factors such as old wounds or incisions. For example, if there had been old wounds or infection involving the plantar heel, then I would choose either anterior or lateral plating. The fixation is surgeon-dependent but I feel intramedullary fixation is the most reliable, especially in cases of pseudoarthrosis.
The patient is non-weightbearing for another two to three months after this stage until the fusion and osteotomy sites appear stable. I recommend long-term bracing, most often with upright bracing and rigid or rocker bottom accommodations as necessary. Patients follow up monthly for most of this time as the surgeon sees fit.
Assessing The Benefits Of The Staged Approach To Midfoot Charcot Neuroarthropathy
This staged method is a reliable approach to midfoot Charcot neuroarthropathy in a difficult population. Staging this pathology allows for more predictable outcomes. It allows the appropriate time for wound care and infection management, but also allows time for the patient to become medically optimized before the surgeon determines placement of the final permanent hardware. The plantar approach to the osteotomy makes the bone cut easier to achieve since it is the apex of the deformity. The bone resection reduces deformity, reduces skin tension and allows for accurate cultures.
I personally think many overlook the rearfoot or do not understand the significant deforming force present at the ankle, even though there are clear radiographic deviations of talar and calcaneal angles with Charcot neuroarthropathy. Correcting the midfoot with an osteotomy and the rearfoot by releasing the Achilles allows for correction of these issues as well as significant skin laxity plantarly to assist in wound and infection management. The fixator allows maintenance of correction and, in some cases, can add to the correction. It also provides stability, limiting irritation and inflammation while permitting the soft tissue to rest and repair, which is advantageous to wound healing.
As part of a staged procedure, the patient and local tissue are optimized for final fixation to allow for the best possible attempt at salvage. I believe including the ankle in the final arthrodesis is essential as well, even with what is primarily perceived to be a midfoot issue. The rearfoot and ankle are clearly involved, and the surgeon should consider this for long-term control of equinus forces. There may be other advantages with a staged protocol as well, including reduced operating room time and surgeon fatigue that goes with longer procedures. Staging cuts this into more manageable parts, which some may find helpful. Staging also limits issues with open wounds and internal hardware. It allows hardware placement at a more opportune time and often allows better hardware placement. The surgeon has more freedom in the placement, the amount and the size of the hardware that one can place at the second stage.
Final Thoughts
In closing, the staged plantar approach to midfoot Charcot neuroarthropathy is reproducible and offers surgeons great flexibility. It allows for controlled management of a difficult issue, utilization for many locations and amounts of deformity, and use with or without infection.
Dr. Burns is an Assistant Professor of Orthopaedic Surgery at the University of Pittsburgh School of Medicine. He is the Director of the University of Pittsburgh Medical Center Podiatric Medicine and Surgery Residency Program, and the Lower Extremity Reconstruction/Trauma Fellowship. Dr. Burns is the Chief of the Podiatry Section at the University of Pittsburgh Medical Center Mercy Hospital.
1. Persky JD, Langan T, Smith CN, Burns PR. Plantar approach for midfoot wedge resection to reconstruct the rockerbottom foot. J Foot Ankle Surg. 2019; 58(5):1030-1035.
2. Bevan WP, Tomlinson MP. Radiographic measures as predictor of ulcer formation in diabetic charcot midfoot. Foot Ankle Int. 2008; 29(6):568-573.
3. Wukich DK, Raspovic KM, Hobizal KB, Rosario B. Radiographic analysis of diabetic midfoot charcot neuroarthropathy with and without midfoot ulceration. Foot Ankle Int. 2014; 35(11):1108-1115.
4. Meyr AJ, Sebag JA. Relationship of cuboid height to plantar ulceration and other radiographic parameters in midfoot charcot neuroarthopathy. J Foot Ankle Surg. 2017; 56(4):748-755.
5. Laborde JM, Philbin TM, Chandler PJ, Daigre J. Preliminary results of primary gastrocnemius-soleus recession for midfoot charcot arthropathy. Foot Ankle Spec. 2016:9(2):140-144.
6. Greenhagen RM, Johnson AR, and Bevilacqua NJ. Gastrocnemius recession or tendo-achilles lengthening for equinus deformity in the diabetic foot? Clin Podiatr Med Surg. 2012;29:413-424
7. Ramanujam CL, Zgonis T. Surgical correction of the Achilles tendon for diabetic foot ulcerations and charcot neuroarthropathy. Clin Podiatr Med Surg. 2017;34(2):275-280.
8. Sadoskas D, Suder NC, Wukick DK. Perioperative glycemic control and the effect on surgical site infection in diabetic patients undergoing foot and ankle surgery. Foot Ankle Spec. 2016;9(1):24-30.
9. Wukick DK, Crim BE, Frykberg RG, Rosario BL. Neuropathy and poorly controlled diabetes increase the rate of surgical site infection after foot and ankle surgery. J Bone Joint Surg Am. 2014;96(10):823-839.
10. Domek N, Dux K, Pinzur M, Weaver F, Rogers T. Association between hemoglobin A1c and surgical morbidity in elective foot and ankle surgery. J Foot Ankle Surg. 2016;55(5):939-943.


