Current Concepts With Autogenous Bone Grafting
Offering a closer look at the properties, benefits, challenges and available harvest sites with autogenous bone grafts, these authors review evidence from the literature and share insights from their surgical experience.
Bone grafting is one the most common surgical methods for augmentation of bone regeneration. Next to blood transfusion, bone grafting is the second most frequently utilized form of tissue transplantation in the medical field.1 Surgeons perform over two million bone grafting procedures annually worldwide.1
Autogenous bone grafting is when one harvests an osseous graft from a single anatomic site and transplants it to another site within the same individual. An autogenous bone graft is advantageous because it is able to rapidly and completely integrate into the host bone site. Long regarded as the gold standard for bony augmentation in orthopedic procedures, autogenous bone graft is currently the only form of bone grafting that possesses osteoconductive, osteoinductive and osteogenic properties.2 We believe these procedures are underutilized in podiatric foot and ankle surgery and can help enhance surgical outcomes in bony procedures.
Interestingly, there is a long history of autogenous bone grafting in the realm of lower extremity orthopedic surgery. In the tibia, Pape and colleagues report union rates of more than 90 percent using iliac crest bone graft in a mechanically stable environment.2 One can find similar success rates documented in the treatment of diaphyseal nonunion at other sites in the body.2
The same principles apply to the foot and ankle. Autogenous bone grafting may be beneficial in many situations including replacing bony defects as well as aiding in deformity correction. Use of autogenous graft allows the foot and ankle surgeon to perform a “positional arthrodesis,” allowing reduction of the deformity with anatomic alignment followed by shear-strain bone grafting across the arthrodesis/fracture site. This enables surgeons to obtain optimal surgical correction while providing the proper environment for stimulation of bony healing. Autogenous grafting for foot and ankle surgery often has limited morbidity as it is within or near the surgical site itself. It is also cost-effective and avoids risks of disease transmission.
What You Should Know About Properties And Types Of Autogenous Bone Grafts
Osteogenic potential. Osteogenic properties undergo induction by osteogenic precursor cells and osteoblasts within a graft. The cells of the donor and recipient sites are from the same patient so there is generally no concern for complications associated with incompatibility secondary to immunologic complications.2
Osteoinductive potential. Osteoinduction is a measure of the ability of a graft to induce formation of new bone via growth factors. Fresh autogenous bone grafts are known to contain an abundance of growth factors necessary for bone formation such as transforming growth factor B (TGF-B). Autogenous graft also contains a “super family” of growth factors that are responsible for the induction of angiogenesis. These include fibroblast growth factor (FGF) and vascular endothelial growth factor (VEGF). Autogenous bone graft also contains platelet-derived growth factor (PDGF) and insulin growth factor-1 (IGF-1), which serves an important role in cellular migration and differentiation.
Osteoconductive potential. Osteoconduction refers to the ability of a graft to serve as a structural scaffold support to allow bone to generate as part of a stable anatomic structure. The three-dimensional structure of a graft influences the velocity at which osteointegration takes place. Cortical bone grafts have a higher density than cancellous bone grafts and generally take a longer time to fully incorporate into a host site.2
Cancellous autograft. The trabeculated structure of cancellous bone contributes to its large surface area, which maximizes the amount of mesenchymal stem cells present per unit area of harvested bone. Furthermore, this trabecular structure facilitates prompt revascularization and incorporation of graft at the host site. Formation of hematoma and inflammation are early signs of graft incorporation as mesenchymal stem cells are recruited to establish fibrous granulation tissue. Macrophages engulf any necrotic tissue or debris detrimental to bone formation. Several angiogenic factors contribute to induction of revascularization of the bone graft. Lastly, the osteoblasts will line the trabecular scaffold of cancellous bone and produce osteoid, which will ultimately remodel into bone.1
Cortical autograft. Cortical autografts provide excellent structural integrity, mechanical support and anatomic rigidity. Despite structural advantages to using cortical bone graft, it possesses fewer osteoblasts, osteocytes and growth factors in comparison to that of cancellous bone. Cortical bone also has a smaller surface area per unit weight, which constitutes a barrier to vascular ingrowth and osseous remodeling. Incorporation into the host site occurs through a process called creeping substitution, which is mediated by osteoclasts. Osteoclastic activity begins approximately two weeks after graft transplantation with the resorption of dense cortices. This process can result in a transient weakness in the bone with up to a 75 percent reduction in mechanical strength.1
Vascularized cortical bone graft. One can categorize vascularized bone grafts as “free” or “pedicled.” Free vascularized bone grafts involve the removal of bone from its donor blood supply, transplantation to the primary surgical site and the creation of an anastomosis between the graft and the local blood supply at the site of incorporation. Pedicled grafts can consist of solely bone or may include a combination of bone, muscle and fascia. Vascularized bone graft facilitates both bone healing and revascularization without undergoing the process of creeping substitution associated with standard cortical bone graft. Vascularized cortical bone graft maintains its own osteocytes, causing the graft to incorporate to the host site at an accelerated rate.3
The revascularized segments of bone in vascularized cortical bone grafts are able to thrive and induce the formation of dynamic tissues at recipient sites. Vascularized bone grafting can effectively facilitate bone healing in the settings of complex traumatic fractures, avascular necrosis, and non-union.3 Surgeons most commonly use fibular bone graft for vascularized bone grafts in the lower extremity. Free vascularized fibular bone grafts are extremely effective in the management of large osseous defects (greater than six cm) and in instances in which other more conventional grafting techniques have failed. The therapeutic effects of free vascularized fibular bone grafts extend far beyond the parameters of foot and ankle surgery as surgeons may use these grafts to treat avascular necrosis (AVN) of the femoral head, consolidate failed spinal fusions and compliment complex arthrodesis procedures.3
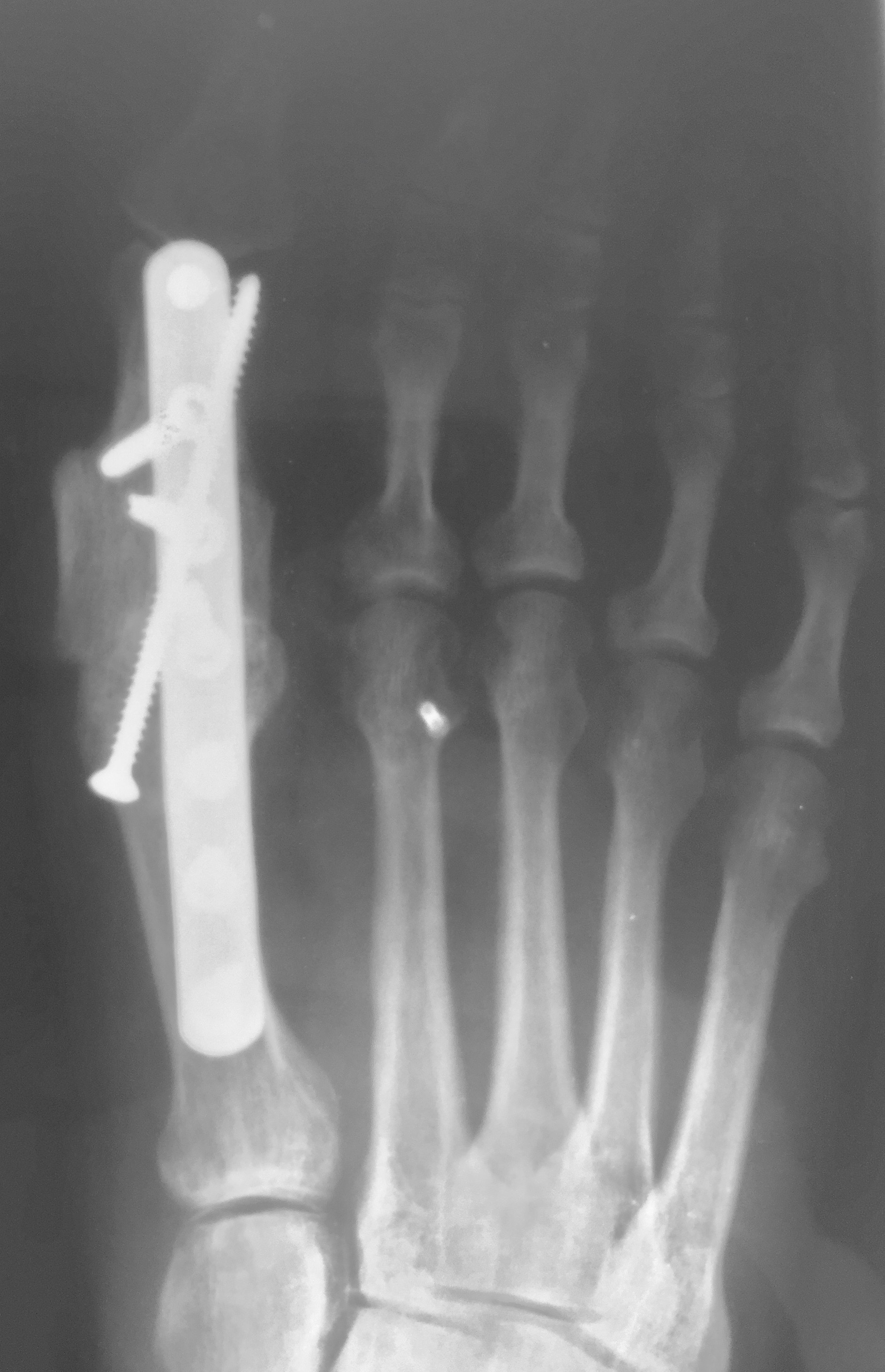
Cortical versus cancellous autograft. The intricate trabeculated lattice which comprises the structure of cancellous bone allows for efficient vascularization of transplanted graft at the primary surgical site. When one uses cancellous autograft alone, it lacks the structural stability possibly required to fill large defects.4 Surgeons commonly employ cancellous bone grafting to supplement internal and external fixation techniques in the forefoot and midfoot. Pure cortical grafts offer excellent initial stability. Yet their osteogenic potential is lower because of a decreased rate of incorporation as it has decreased vascularity.
Many surgeons choose to utilize a combination of cortical and cancellous bone in their grafting techniques to offer a balance between an inherently weak structural integrity and a high osteogenic potential.5 Iliac crest, a source of both cortical and cancellous bone, is the only site to contain hematopoietic marrow.6
A Closer Look At The Advantages And Disadvantages Of The Autogenous Bone Graft Technique
Autogenous bone grafting is a powerful surgical tool because it can offer the surgeon ample cortical or cancellous bone to achieve osseous union. Autograft provides all three properties of bone grafts (osteogenesis, osteoinduction, osteoconduction).5 It also offers superior structural support in comparison to allograft. Sterilization and preservation processes can cause harvested bone allograft to lose its strength and integrity.5 Autogenous bone graft harvest is advantageous as it is often in the near vicinity of the surgical site, but this can unfortunately add time to the surgical procedure.5 It is cost-effective in comparison to allograft and also reduces the risk for disease transmission and risk of rejection.7
Although autogenous bone grafting is an attractive option in foot and ankle surgery, there are some disadvantages which the surgeon must recognize. Graft harvest requires the creation of a secondary surgical site, increasing surgical time and duration of anesthesia, but this varies greatly.7,8 One must also consider the increased risk for blood loss and weakening of the structural integrity of the donor site, especially when harvesting large amounts of bone. Donor site pain and morbidity are general risks associated with autograft harvest but these complications are usually rare when one is harvesting large quantities of bone.8 The surgeon must also keep in mind the possibility of local nerve injury, infection, hematoma or pathologic fracture at the donor site.5
Pertinent Keys With Anatomic Considerations And Harvest Locations
In foot and ankle surgery, common anatomical locations of bone harvest include the iliac crest, tibia, fibula and calcaneus. One tends to find the highest quality of bone for autogenous grafting in the sites closest to the axial skeleton. However, harvest is more difficult in these areas, as they require meticulous anatomic dissection to access the graft harvest site.9 There are several histological differences between these different anatomic sites as well which is important to harvest site selection. A surgeon must be able to estimate the amount of bone needed for harvest during the pre-operative planning process because positioning of the patient for the primary surgery may limit the surgeon's access to certain harvest sites. The surgeon should ensure that the appropriate instruments are available to perform proper harvest and implantation. Necessary instruments include drills, K-wires, trephines, bone saws, burrs, curettes, osteotomes, mallets and reamer-irrigator-aspirators.5
Iliac crest graft is comprised of anterior, posterior, vertical and dorsal areas of the ilium. The ilium is a proven source of high-quality tri-cortical and cancellous bone. This is a common harvest site utilized in many major foot and ankle reconstructions because iliac bone graft is considered to have higher osteogenic potential than other sites.10 Furthermore, bone from the iliac crest is unique as is the only site which offers bone marrow with hematopoietic potential.6 Hyer and colleagues found that marrow aspirate from iliac crest had a higher concentration of mesenchymal osteoprogenitor stem cells when compared to other sites of harvest.11 Harvest and implantation of iliac crest is the gold standard of autogenous bone grafting in foot and ankle surgery.5
Generally, reported complication rates are low with iliac crest grafts reportedly ranging from 2.5 to nine percent when performed by an experienced surgeon. Several risks associated with iliac autograft harvest are formation of hematoma, post-operative neuritis of the lateral femoral cutaneous nerve, pathologic fracture of the femoral trochanter or peritrochanteric areas, post-operative infection and injury to the peritoneum or abdominal wall. The difficulty of harvest from the iliac crest will vary between patients based on the amount of adipose tissue in the area. For the morbidly obese patient, the necessary incision to perform harvest may likely fall under a skin fold or pannus. In fact, morbid obesity is relative contraindication to iliac crest harvest because of the high risk for wound complications.5
The proximal tibia is another excellent source for cortical and cancellous bone grafts. Unlike marrow from the iliac crest, the marrow of the distal tibia contains quiescent fat, offering no osteogenic properties. Many surgeons favor the proximal tibia over the distal tibia for graft harvest because there is a more sufficient volume of graft available.5
The tibial tuberosity is also a source of cancellous bone when one accesses it by a periosteal-cortical flap. The surgeon must take care to avoid the anterior tibial recurrent and lateral inferior genicular arteries supplying this area.12 The anterior medial tibia is best utilized for its cortical bone, where many surgeons prefer to harvest a cortical-cancellous “window.” When obesity poses a contraindication to iliac crest harvest, the proximal tibia is a viable option because there tends to be a lesser amount of fat stored over the anterior medial tibia. One may harvest 25 cm3 to 40 cm3 from this aspect of the tibia without complication.5
In general, the harvest of graft from the proximal tibia is a very safe procedure. Complication rates range between 1.3 and 2.6 percent.13 Geidemann and team showed zero incidence of serious complications such as infection or fracture in 155 patients.14 Minor post-operative complications include hematoma or incision dysesthesias that will likely resolve within three months post-surgery.15
The distal tibia is another a suitable donor site for grafting for foot and ankle arthrodesis procedures. It is a viable source of cancellous bone but supply is rather limited in comparison to other anatomic sites of harvest.15 Surgical dissection must carefully avoid the saphenous vein and the saphenous nerve in this area. There is a high degree of inherent stability associated with the distal tibial metaphysis so there is no need for alteration of weightbearing status in the post-operative setting when harvest takes place in this region.12
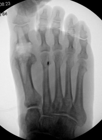
When it comes to harvest of autogenous bone from the posterior tuberosity of the calcaneus, surgeons most commonly utilize this harvest location for procedures in the midfoot and the forefoot.5 The calcaneus is a superior source of bone graft in terms of minimizing surgical time due to its close proximity to the primary surgical site. Calcaneal bone graft is a particularly useful compliment to arthrodesis procedures and fracture repair within the forefoot and the midfoot.
Biddinger and colleagues report that one can harvest up to three, eight mm trephine cores with minimal complication risk.16 DiDomenico and coworkers reported harvest of three to five cm3 of bone from the calcaneus using corticotomy and curettage while adding only two to three minutes of surgical time.17 The risk of sural nerve damage is low with the experienced surgeon but one should take care to avoid irritation in this area.15 Disadvantages of calcaneal bone graft include fracture risk, insufficient quality of bone and postoperative incisional irritation from footwear.18 If the calcaneus is unable to provide a sufficient volume of bone graft, a more proximal site of harvest may be necessary.5 Cross and DiDomenico characterize the calcaneus as a safe harvest site.19
Other Factors In The Use Of Autogenous Bone Graft
The technique with which one handles a bone graft between the time of harvest and time of implantation is crucial in terms of maximizing graft viability.20 One should always aim for immediate graft implantation after harvest.21 However, if this is not possible, the surgeon may safely store the graft in a blood-soaked sponge for several minutes in the operating room.20 If it is necessary to save a graft for use over a period of several days, there are several specialized culture mediums that can preserve the harvested specimen.22
We often utilize autogenous grafting for “positional arthrodesis” procedures. A positional arthrodesis allows for optimal positioning and fixation while often leaving a gap or defect due to translating an abnormal or malaligned position to a more anatomic or aligned position. Often the optimal position does not allow for 100 percent bony contact without the risk of shortening or malposition, thus leaving the surgeon with a bony deficit. One may backfill these defects with autogenous bone graft and maintain adequate positioning. However, we recommend as much bony contact as possible while also obtaining optimal position and maximal stability.
Backfilling a fusion or fracture site allows one to limit the amount of shear-strain across the arthrodesis/fracture site. One can define shear-strain as the angular changes between two line segments. Too much shear or strain across a fusion site will result in failure of the fusion, but a construct that is too stiff can lead to failure as it may not allow enough micromotion to stimulate bony healing.23
For those who prefer maximal primary bony contact during fusion, it remains unclear if there are gaps between bony contact on a microscopic level. Backfilling with autogenous graft during positional arthrodesis facilitates bony spot welding across the fusion site. It allows for deformity correction with some bony contact between the fusion/fracture site while providing structural fixation across the fusion site with a biologically friendly environment. Shear-strain bone grafting allows micromotion to occur in a controlled fashion, thus maintaining position but allowing for increased vascularity and bony healing.24 Perren and colleagues found that primary and secondary bone healing occur at the same rate.24 This concept allows utilization of autogenous grafting not only for reconstructive procedures but also in the setting of trauma.
In Conclusion
Autogenous bone grafting has many benefits in foot and ankle surgery. It is readily available at many anatomic sites within the lower extremity while providing the osteogenic, osteoinductive and osteoconductive properties that aid in bony healing. Autogenous bone grafting is cost-effective and can provide benefit in many aspects of foot and ankle surgery, including reconstructive and trauma settings.
Dr. Forsung is a second-year resident at East Liverpool City Hospital in East Liverpool, Ohio.
Dr. Cameron is a first-year resident at East Liverpool City Hospital in East Liverpool, Ohio.
Dr. Ley is a Fellow of the Reconstructive Rearfoot and Ankle Fellowship at NOMS Ankle and Foot Care Centers in Youngstown, Ohio.
Dr. DiDomenico is the Director of Residency Training at East Liverpool City Hospital in East Liverpool, Ohio and Director of Fellowship Training for the Reconstructive Rearfoot and Ankle Fellowship at NOMS Ankle and Foot Care Centers in Youngstown, Ohio. He is a Fellow of the American College of Foot and Ankle Surgeons.
- Wang W, Yeung KWK. Bone grafts and biomaterials substitutes for bone defect repair: a review. Bioact Mater. 2017;2(4):224-227.
- Pape HC, Evans A, Kobbe P. Autologous bone graft: properties and techniques. J Orthop Trauma. 2010;24(Suppl 1):S36-40.
- Bumbasirevic M, Stevanovic M, Bumbasirevic V, Lesic A, Atkinson HD. Free vascularised fibular grafts in orthopaedics. Int Orthop. 2014;38(6):1277-1282.
- Khan SN, Cammisa FP Jr, Sandhu HS, Diwan AD, Girardi FP, Lane JM. The biology of bone grafting. J Am Acad Orthop Surg. 2005;13(1):77–86.
- Miller CP, Chiodo CP. Autologous bone graft in foot and ankle surgery. Foot Ankle Clin. 2016;21(4):825-837.
- Chiodo CP, Hahne J, Wilson MG, et al. Histological differences in iliac and tibial bone graft. Foot Ankle Int. 2010;31(5):418–422.
- Burchardt H. The biology of bone graft repair. Clin Orthop Relat Res. 1983;(174):28-42.
- O’Keefe R, Riener B, Butterfield S. Harvesting of autogenous cancellous bone graft from the proximal tibial metaphysis: a record of 230 cases. J Orthop Trauma. 1991;5(4):469-474.
- McLain RF, Fleming JE, Boehm CA, Muschler GF. Aspiration of osteoprogenitor cells for augmenting spinal fusion: comparison of progenitor cell concentrations from the vertebral body and iliac crest. J Bone Joint Surg Am. 2005;87(12):2655-2661.
- Peterson J, Chen F, Nwankwo E, Dekker TJ, Adams SB. The use of bone grafts, bone graft substitutes, and orthobiologics for osseous healing in foot and ankle surgery. Foot Ankle Orthop. 2019;4(3):1–9.
- Hyer CF, Berlet GC, Bussewitz BW, Hankins T, Ziegler HL, Philbin TM. Quantitative assessment of the yield of osteoblastic connective tissue progenitors in bone marrow aspirate from the iliac crest, tibia, and calcaneus. J Bone Joint Surg Am. 2013;95(14):1312–1316.
- Mendicino RW, Leonheart E, Shromoff P. Techniques for harvesting autogenous bone grafts of the lower extremity. J Foot Ankle Surg. 1996;35(5):428–435.
- Hahne J, Chiodo CP, Wilson MG, Glowacki J. Autogenous bone grafts in foot and ankle surgery. The Orthopaedic Journal At Harvard Medical School. 2007;9:113-116. Available at: http://orthojournalhms.org/volume9/manuscripts/ms15.pdf . Accessed June 22, 2020.
- Geideman W, Early JS, Brodsky J. Clinical results of harvesting autogenous cancellous graft from the ipsilateral proximal tibia for use in foot and ankle surgery. Foot Ankle Int. 2004;25(7):451-455.
- Arner JW, Santrock RD. A historical review of common bone graft materials in foot and ankle surgery. Foot Ankle Spec. 2014;7(2):143-151.
- Biddinger KR, Komenda GA, Schon LC, Myerson MS. A new modified technique for harvest of calcaneal bone grafts in surgery on the foot and ankle. Foot Ankle Int. 1998;19(5):322-326.
- DiDomenico LA, Haro AA 3rd. Percutaneous harvest of calcaneal bone graft. J Foot Ankle Surg. 2006;45(2):131–133.
- O’Malley MJ, Sayres SC, Saleem O, et al. Morbidity and complications following percutaneous calcaneal autograft bone harvest. Foot Ankle Int. 2014;35(1):30–37.
- Cross DJ, DiDomenico LA. Calcaneal bone graft procedures: an analysis of postsurgical complications. J Foot Ankle Surg. 2019;58(4):730-733.
- Rude CC, Scurran BL, Karlin JN, Silvani SH. Calcaneal bone graft after enchondroma excision. J Foot Surg. 1985;24(4):283-287.
- Meeder PJ, Eggers C. Techniques for obtaining autogenous bone graft. Treatment of bone deficits in traumatology by means of autogenous bone grafts and callus distraction. Injury. 1994;25(Suppl 1):A5-16.
- Bassett CA. Clinical applications of cell function in bone
grafting. Clin Orthop Relat Res. 1972;87:49-59. - Hansen Jr., ST. Functional reconstruction of the foot and ankle. Philadelphia: Lippincott Williams & Wilkins; 2000.
- Perren SM. Physical and biological aspects of fracture healing with special reference to internal fixation. Clin Orthop Relat Res. 1979;138:175-196.
- Ferguson DO, Shanbhag V, Hedley H, Reichert I, Lipscombe S, Davis TRC. Scaphoid fracture non-union: a systematic review of surgical treatment using bone graft. J Hand Surg Eur. 2016;41(5):492-500.


